Hamburger Menu Button
Thermo Fisher Scientific Logo
Sign in
Don't have an account ? Create Account
  • Products
    • Antibodies
    • Custom DNA Oligos
    • GeneArt Gene Synthesis Instant Designer
    • TaqMan Assay and Array Search
    • PCR Equipment and Supplies
    • Chromatography Columns and Cartridges
    • Lab Centrifuges
    • Molecular Biology Reagents and Kits
    • Lab Plasticware and Supplies
    • See all product categories
  • Applications
    • Chromatography
    • Cell Culture
    • Real-Time PCR
    • Mass Spectrometry
    • Lab Plasticware and Supplies
    • Electron Microscopy
    • Protein Biology
    • PCR
    • RNAi
    • Environmental
    • See all applications and techniques
  • Services
    • Custom Services
    • Enterprise-Level Lab Informatics
    • Enterprise Services
    • Financial and Leasing Services
    • Instrument Services
    • OEM and Commercial Supply
    • Training Services
    • 360° CDMO and CRO Solutions
    • CDMO Services
    • CRO Services
    • See all services
  • Help and Support
    • Learning Centers
    • Contact Us
    • Change Location
    • See all help and support topics
  • Popular
    • TaqMan Real-Time PCR Assays
      TaqMan Real-Time PCR Assays
    • Antibodies
      Antibodies
    • Oligos, Primers & Probes
      Oligos, Primers & Probes
    • GeneArt Gene Synthesis
      GeneArt Gene Synthesis
    • Cell Culture Plastics
      Cell Culture Plastics
  • Contact Us
  • Quick Order
  • Order Status and Tracking
  • Documents and Certificates
Thermo Fisher Scientific Logo

Search

Search All
Search button
          • Contact Us
          • Quick Order
          • Sign in
            Sign in
            Don't have an account ? Create Account
            • Account
            • Check Order Status
            • AR Statement & Invoice Inquiry
            • Custom Products & Projects
            • Instrument Management
          • Primary Antibodies ›
          • by Target

          ETS1 Antibodies

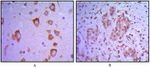
          Antibodies that detect ETS1 can be used in several scientific applications, including Western Blot, Immunohistochemistry, Immunocytochemistry, ELISA and Flow Cytometry. These antibodies target ETS1 in Human, Mouse, Rat, Chicken and Rabbit samples. Our ETS1 polyclonal, recombinant... Antibodies that detect ETS1 can be used in several scientific applications, including Western Blot, Immunohistochemistry, Immunocytochemistry, ELISA and Flow Cytometry. These antibodies target ETS1 in Human, Mouse, Rat, Chicken and Rabbit samples. Our ETS1 polyclonal, recombinant monoclonal and monoclonal antibodies... Antibodies that detect ETS1 can be used in several scientific applications, including Western Blot, Immunohistochemistry, Immunocytochemistry, ELISA and Flow Cytometry. These antibodies target ETS1 in Human, Mouse, Rat, Chicken and Rabbit samples. Our ETS1 polyclonal, recombinant monoclonal and monoclonal antibodies are developed in Rabbit and Mouse. These antibodies have been verified by Cell treatment, Relative expression and Knockdown to confirm specificity to ETS1. Find the ETS1 antibody that fits your needs. Choose from 1 of 38 ETS1 antibodies, which have been validated in experiments with 25 publications and 86 images featured in our data gallery.

          Browse primary antibodies for WB, Flow, IHC, ICC/IF, ELISA, IP,...
          Antibodies that detect ETS1 can be used in several scientific applications, including Western Blot, Immunohistochemistry, Immunocytochemistry, ELISA and Flow Cytometry. These antibodies target ETS1 in Human, Mouse, Rat, Chicken and Rabbit samples. Our ETS1 polyclonal, recombinant monoclonal and monoclonal antibodies are developed in Rabbit and Mouse. These antibodies have been verified by Cell treatment, Relative expression and Knockdown to confirm specificity to ETS1. Find the ETS1 antibody that fits your needs. Choose from 1 of 38 ETS1 antibodies, which have been validated in experiments with 25 publications and 86 images featured in our data gallery.

          Browse primary antibodies for WB, Flow, IHC, ICC/IF, ELISA, IP, and other applications. Antibodies with Advanced Verification data have been validated for specificity to ensure that the antibody binds to the antigen stated. If you cannot find the antibody you’re looking for, contact us today to develop custom antibodies for specific targets, species and applications.

          Target Information

          ETS1 (c-Ets-1; v-ets erythroblastosis virus E26 oncogene homlog 1 (avian); ETS-1; EWSR2; p54), a 441 A. A protein, is a member of DNA-binding ETS protein family. It is a multifunctional protein consisting of an N-terminal pointed domain, a central transactivation domain and 2 auto inhibitory domains flanked on both sides of conserved C-terminal Ets domain. It interacts with factors including PEBP2alphaA, p300/CBP and mediates transactivation of Osteopontin, Presenilin-1, Stromelysin and Collagenase. It is activated by Ras/MAPK signaling and its expression is up-regulated in resting T-cells. Its activity is modulated by various factors including AP-1, Sp-1, c-myb and MafB. Sp100 activates ETS1 in nuclear bodies. It interacts with EAP1/Daxx and causes repression of MMP1 and BCL2 transactivation. It interacts with STAT6 and modulates Socs-1 expression induced by IL-4. It interacts with GATA3 and positively regulates Tax-1 dependent IL-5 expression.

          Synonyms

          AI196000; AI448617; Avian erythroblastosis virus E26 (v-ets) oncogene homolog-1; avian erythroblastosis virus E26 oncogene 1; c-ets protein; c-ets1; c-ets-1; c-ets-1 oncogene; c-ets-1 protein; c-ets-alpha; c-ets-beta; D230050P06; E26 avian leukemia oncogene 1, 5' domain; Ets avian erythroblastosis virus E2 oncogene homolog 1 (tumor progression locus 1); ets protein; ETS proto-oncogene 1, transcription factor; Ets1; ETS-1; ETS-1A; ETS-1B; Ets-1Delta(III-VI); Etsoncb; EWSR2; FLJ10768; oncoprotein; p54; p54 transcription factor; protein C-ets-1; TNFAIP3 interacting protein 1; TNIP1; Tpl1; transforming protein p54/c-ets-1; transforming protein p68/c-ets-1; tumor progression locus 1; unnamed protein product; v-ets avian erythroblastosis virus E2 oncogene homolog 1; v-ets avian erythroblastosis virus E26 oncogene homolog 1; v-ets erythroblastosis virus E26 oncogene homolog 1; virion-associated nuclear-shuttling protein

          View more
          View less
          • Search by
          • Products
          • Images
          • Epitopes
          • Panel Builder Link Try our free panel design service
          • Wyoming Western Blot Tool Link Match your protein to the right gel
          • Wyoming Stain-iT Tool Link Try the Stain-iT cell staining simulator
          • Wyoming ELISA Tool Link Customize assays with the ELISA Builder
          Filters

          Disclaimer

          Clicking the images or links will redirect you to a website hosted by BenchSci that provides third-party scientific content. Neither the content nor the BenchSci technology and processes for selection have been evaluated by us; we are providing them as-is and without warranty of any kind, including for use or application of the Thermo Fisher Scientific products presented.

          Filters
          Filters
          Show Less
          +-2
          Clear All
          More
          Less
          32 results
          Target
          Details
          Application
          Price
          Compare
          32 results
          Invitrogen
          ETS1 Recombinant Rabbit Monoclonal Antibody (JM92-32)
          Invitrogen
          ETS1 Recombinant Rabbit Monoclonal Antibody (JM92-32)
          Advanced Verification
          8
          Target
          Human Mouse
          Details
          Rabbit Recombinant Monoclonal
          Application
          WB IHC (P) ICC/IF
          Price
          Special offer
          Online exclusive
          Online offer:
          Cat # MA5-32732

          100 µL

          Invitrogen
          ETS1 Monoclonal Antibody (8A8)
          Invitrogen
          ETS1 Monoclonal Antibody (8A8)
          5
          Target
          Human
          Details
          Mouse Monoclonal
          Application
          WB IHC (P) ICC/IF Flow ELISA
          Price
          Special offer
          Online exclusive
          Online offer:
          Cat # MA5-15609

          100 µL

          Invitrogen
          Phospho-ETS1 (Ser282, Ser285) Polyclonal Antibody
          Invitrogen
          Phospho-ETS1 (Ser282, Ser285) Polyclonal Antibody
          Advanced Verification
          7
          Target
          Human Rat
          Details
          Rabbit Polyclonal
          Application
          WB IHC (P) ICC/IF ChIP
          Price
          Special offer
          Online exclusive
          Online offer:
          Cat # 44-1111G

          100 µL

          Invitrogen
          ETS1 Polyclonal Antibody
          Invitrogen
          ETS1 Polyclonal Antibody
          Advanced Verification
          5
          Target
          Human
          Details
          Rabbit Polyclonal
          Application
          WB
          Price
          Special offer
          Online exclusive
          Online offer:
          Cat # PA5-77974

          100 µL

          Invitrogen
          Phospho-ETS1 (Thr38) Polyclonal Antibody
          Invitrogen
          Phospho-ETS1 (Thr38) Polyclonal Antibody
          Advanced Verification
          4
          Target
          Chicken Human Mouse Rabbit Rat Xenopus
          Details
          Rabbit Polyclonal
          Application
          WB
          Price
          Special offer
          Online exclusive
          Online offer:
          Cat # 44-1104G

          100 µL

          Invitrogen
          ETS1 Polyclonal Antibody
          Invitrogen
          ETS1 Polyclonal Antibody
          3
          Target
          Human
          Details
          Rabbit Polyclonal
          Application
          WB ICC/IF
          Price
          Special offer
          Online exclusive
          Online offer:
          Cat # PA5-84591

          100 µL

          Invitrogen
          ETS1 Recombinant Rabbit Monoclonal Antibody (23GB1160)
          Invitrogen
          ETS1 Recombinant Rabbit Monoclonal Antibody (23GB1160)
          3
          Target
          Human
          Details
          Rabbit Recombinant Monoclonal
          Application
          WB ICC/IF Flow
          Price
          Special offer
          Online exclusive
          Online offer:
          Cat # MA5-53120
          Invitrogen
          ETS1 Monoclonal Antibody (10D2)
          Invitrogen
          ETS1 Monoclonal Antibody (10D2)
          2
          Target
          Human
          Details
          Mouse Monoclonal
          Application
          WB IHC (P) ELISA
          Price
          Special offer
          Online exclusive
          Online offer:
          Cat # MA5-15610

          100 µL

          Invitrogen
          ETS1 Recombinant Rabbit Monoclonal Antibody (K01_2K47)
          Invitrogen
          ETS1 Recombinant Rabbit Monoclonal Antibody (K01_2K47)
          1
          Target
          Human Mouse
          Details
          Rabbit Recombinant Monoclonal
          Application
          WB
          Price
          Special offer
          Online exclusive
          Online offer:
          Cat # MA563947
          Invitrogen
          ETS1 Recombinant Rabbit Monoclonal Antibody (5P4K1)
          Invitrogen
          ETS1 Recombinant Rabbit Monoclonal Antibody (5P4K1)
          1
          Target
          Human
          Details
          Rabbit Recombinant Monoclonal
          Application
          WB ELISA
          Price
          Special offer
          Online exclusive
          Online offer:
          Cat # MA5-35316

          100 µL

          NeoBiotechnologies
          ETS1 (Marker of Tumor Metastasis) Recombinant Mouse Monoclonal Antibody (r1G11)
          NeoBiotechnologies
          ETS1 (Marker of Tumor Metastasis) Recombinant Mouse Monoclonal Antibody (r1G11)
          2
          Target
          Human
          Details
          Mouse Recombinant Monoclonal
          Application
          WB IHC (P)
          Price
          Special offer
          Online exclusive
          Online offer:
          Cat # 2113-MSM8-P1
          NeoBiotechnologies
          ETS1 (Marker of Tumor Metastasis) Recombinant Mouse Monoclonal Antibody (r1G11)
          NeoBiotechnologies
          ETS1 (Marker of Tumor Metastasis) Recombinant Mouse Monoclonal Antibody (r1G11)
          2
          Target
          Human
          Details
          Mouse Recombinant Monoclonal
          Application
          WB IHC (P)
          Price
          Special offer
          Online exclusive
          Online offer:
          Cat # 2113-MSM8-P1ABX

          100 µg

          Invitrogen
          ETS1 Monoclonal Antibody (1601CT512.35.61)
          Invitrogen
          ETS1 Monoclonal Antibody (1601CT512.35.61)
          2
          Target
          Human
          Details
          Mouse Monoclonal
          Application
          WB Flow
          Price
          Special offer
          Online exclusive
          Online offer:
          Cat # MA5-37698

          200 µL

          Abnova
          ETS1 Recombinant Rabbit Monoclonal Antibody
          Abnova
          ETS1 Recombinant Rabbit Monoclonal Antibody
          1
          Target
          Human Mouse
          Details
          Rabbit Recombinant Monoclonal
          Application
          WB
          Price
          Special offer
          Online exclusive
          Online offer:
          Cat # RAB01806

          100 µL

          Invitrogen
          ETS1 Polyclonal Antibody
          Invitrogen
          ETS1 Polyclonal Antibody
          3
          Target
          Human Mouse Rat
          Details
          Rabbit Polyclonal
          Application
          WB ICC/IF ELISA
          Price
          Special offer
          Online exclusive
          Online offer:
          Cat # PA5-90605

          100 µL

          Invitrogen
          ETS1 Polyclonal Antibody
          Invitrogen
          ETS1 Polyclonal Antibody
          3
          Target
          Human
          Details
          Rabbit Polyclonal
          Application
          WB ICC/IF Flow
          Price
          Special offer
          Online exclusive
          Online offer:
          Cat # PA5-24211

          400 µL

          Invitrogen
          ETS1 Polyclonal Antibody
          Invitrogen
          ETS1 Polyclonal Antibody
          2
          Target
          Human Mouse Rat
          Details
          Rabbit Polyclonal
          Application
          WB IHC (P)
          Price
          Special offer
          Online exclusive
          Online offer:
          Cat # PA5-86080

          100 µL

          Invitrogen
          ETS1 Polyclonal Antibody
          Invitrogen
          ETS1 Polyclonal Antibody
          2
          Target
          Mouse Rat Human
          Details
          Rabbit Polyclonal
          Application
          WB IHC (P) ICC/IF
          Price
          Special offer
          Online exclusive
          Online offer:
          Cat # PA5-86282

          100 µL

          Invitrogen
          ETS1 Polyclonal Antibody
          Invitrogen
          ETS1 Polyclonal Antibody
          1
          Target
          Human
          Details
          Rabbit Polyclonal
          Application
          ICC/IF
          Price
          Special offer
          Online exclusive
          Online offer:
          Cat # PA5-81170

          100 µL

          Invitrogen
          ETS1 Polyclonal Antibody
          Invitrogen
          ETS1 Polyclonal Antibody
          1
          Target
          Human Mouse
          Details
          Rabbit Polyclonal
          Application
          WB
          Price
          Special offer
          Online exclusive
          Online offer:
          Cat # PA5-79222

          100 µg

          NeoBiotechnologies
          ETS1 (Marker of Tumor Metastasis) Monoclonal Antibody (ETS1/1801)
          NeoBiotechnologies
          ETS1 (Marker of Tumor Metastasis) Monoclonal Antibody (ETS1/1801)
          2
          Target
          Human
          Details
          Mouse Monoclonal
          Application
          ELISA Array
          Price
          Special offer
          Online exclusive
          Online offer:
          Cat # 2113-MSM1-P0
          NeoBiotechnologies
          ETS1 (Marker of Tumor Metastasis) Monoclonal Antibody (ETS1/1801)
          NeoBiotechnologies
          ETS1 (Marker of Tumor Metastasis) Monoclonal Antibody (ETS1/1801)
          2
          Target
          Human
          Details
          Mouse Monoclonal
          Application
          ELISA Array
          Price
          Special offer
          Online exclusive
          Online offer:
          Cat # 2113-MSM1-P1ABX

          100 µg

          Bethyl Laboratories
          Ets-1 Polyclonal Antibody
          Bethyl Laboratories
          Ets-1 Polyclonal Antibody
          1
          Target
          Human
          Details
          Rabbit Polyclonal
          Application
          WB IP
          Price
          Special offer
          Online exclusive
          Online offer:
          Cat # A303-500A
          Bethyl Laboratories
          Ets-1 Polyclonal Antibody
          Bethyl Laboratories
          Ets-1 Polyclonal Antibody
          1
          Target
          Human
          Details
          Rabbit Polyclonal
          Application
          WB IP
          Price
          Special offer
          Online exclusive
          Online offer:
          Cat # A303-501A
          Abnova
          ETS1 Polyclonal Antibody, MaxPab™
          Abnova
          ETS1 Polyclonal Antibody, MaxPab™
          1
          Target
          Human Mouse
          Details
          Rabbit Polyclonal
          Application
          WB PLA
          Price
          Special offer
          Online exclusive
          Online offer:
          Cat # H00002113-D01P

          100 µg

          Custom Antibody Service

          Searching for an antibody we don't offer? We make custom antibodies for specific targets, species and applications.

          More than 18,000 custom antibodies created so far.

          Talk to a specialist now
          guarantee_icon

          Performance Guarantee

          If an Invitrogen™ antibody doesn't perform as described on our website or datasheet,we'll replace the product at no cost to you, or provide you with a credit for a future purchase.*

          Learn more
          help_icon

          We're here to help

          Get expert recommendations for common problems or connect directly with an on staff expert for technical assistance related to applications, equipment and general product use.

          Contact tech support
          Ordering Plus Icon Minus Icon
          • Order Status
          • Order Help
          • Quick Order
          • Supply Center
          • eProcurement
          Support Plus Icon Minus Icon
          • Help and Support
          • Contact Us - 400 820 8982
          • Technical Support Centers
          • Documents and Certificates
          • Report a Site Issue
          Resources Plus Icon Minus Icon
          • Learning Centers
          • Promotions
          • Events and Webinars
          • Social Media
          About Thermo Fisher Plus Icon Minus Icon
          • About Us About Us
          • Careers Careers
          • Investors Investors
          • News News
          • Social Responsibility Social Responsibility
          • Trademarks
          • Policies and Notices
          Our Portfolio Plus Icon Minus Icon
          • Thermo Scientific
          • Applied Biosystems
          • Invitrogen
          • Gibco
          • Ion Torrent
          • Patheon
          • PPD
          • Terms & Conditions
          • Privacy Policy
          • Price & Freight Policy
          © 2006-2025 Thermo Fisher Scientific Inc. All rights reserved. All trademarks are the property of Thermo Fisher Scientific and its subsidiaries unless otherwise specified.
          China flag icon
          China
          本网站销售的所有产品均不得用于人类或动物之临床诊断或治疗,仅可用于工业或者科研等非医疗目的。
             电子营业执照 | 经营证照公示 | ICP备案号:沪ICP备11003924号 | 沪公网安备 31011502006935号

          Your items have has been added!


          Host server : magellan-search-green-55658555d6-pnd5g:80/100.66.79.83:80.
          git-commit: ec8e7df5f8fec8d765bd419205f1b5046a016d37
          git-url: https://github.com/thermofisher/magellan-search
          git-branch: release/2.41.0-Offline