Hamburger Menu Button
Thermo Fisher Scientific Logo
Sign in
Don't have an account ? Create Account
  • Products
    • Antibodies
    • Custom DNA Oligos
    • GeneArt Gene Synthesis Instant Designer
    • TaqMan Assay and Array Search
    • PCR Equipment and Supplies
    • Chromatography Columns and Cartridges
    • Lab Centrifuges
    • Molecular Biology Reagents and Kits
    • Lab Plasticware and Supplies
    • See all product categories
  • Applications
    • Chromatography
    • Cell Culture
    • Real-Time PCR
    • Mass Spectrometry
    • Lab Plasticware and Supplies
    • Electron Microscopy
    • Protein Biology
    • PCR
    • RNAi
    • Environmental
    • See all applications and techniques
  • Services
    • Custom Services
    • Enterprise-Level Lab Informatics
    • Financial and Leasing Services
    • Instrument Services
    • OEM and Commercial Supply
    • Training Services
    • 360° CDMO and CRO Solutions
    • CDMO Services
    • CRO Services
    • Unity Lab Services
    • See all services
  • Help and Support
    • Learning Centers
    • Contact Us
    • Change Location
    • See all help and support topics
  • Popular
    • TaqMan Real-Time PCR Assays
      TaqMan Real-Time PCR Assays
    • Antibodies
      Antibodies
    • Oligos, Primers & Probes
      Oligos, Primers & Probes
    • GeneArt Gene Synthesis
      GeneArt Gene Synthesis
    • Cell Culture Plastics
      Cell Culture Plastics
  • Who We Serve
    • Antibody Therapy Solution
    • Cell and Gene Therapy Solution
    • Academic
    • Industrial and Applied Sciences
  • Contact Us
  • Quick Order
  • Order Status and Tracking
  • Documents and Certificates
Thermo Fisher Scientific Logo

Search

Search All
Search button
          • Contact Us
          • Quick Order
          • Sign in
            Sign in
            Don't have an account ? Create Account
            • Account
            • Check Order Status
            • AR Statement & Invoice Inquiry
            • Custom Products & Projects
            • Instrument Management
          • Primary Antibodies ›
          • by Target

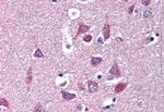
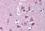
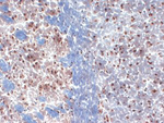
          KV1.3 (KCNA3) Antibodies

          Antibodies that detect KV1.3 (KCNA3) can be used in several scientific applications, including Immunohistochemistry, Western Blot, ELISA, Immunocytochemistry and Flow Cytometry. These antibodies target KV1.3 (KCNA3) in Human, Mouse, Rat, Bovine and Canine samples. Our KV1.3... Antibodies that detect KV1.3 (KCNA3) can be used in several scientific applications, including Immunohistochemistry, Western Blot, ELISA, Immunocytochemistry and Flow Cytometry. These antibodies target KV1.3 (KCNA3) in Human, Mouse, Rat, Bovine and Canine samples. Our KV1.3 (KCNA3) polyclonal, monoclonal and recombinant monoclonal... Antibodies that detect KV1.3 (KCNA3) can be used in several scientific applications, including Immunohistochemistry, Western Blot, ELISA, Immunocytochemistry and Flow Cytometry. These antibodies target KV1.3 (KCNA3) in Human, Mouse, Rat, Bovine and Canine samples. Our KV1.3 (KCNA3) polyclonal, monoclonal and recombinant monoclonal antibodies are developed in Rabbit, Mouse, Alpaca and Guinea Pig. Find the KV1.3 (KCNA3) antibody that fits your needs. Choose from 1 of 25 KV1.3 (KCNA3) antibodies, which have been validated in experiments with 9 publications and 47 images featured in our data gallery.

          Browse primary antibodies for WB, Flow, IHC, ICC/IF, ELISA, IP, and other applications. Antibodies with Advanced Verification data...
          Antibodies that detect KV1.3 (KCNA3) can be used in several scientific applications, including Immunohistochemistry, Western Blot, ELISA, Immunocytochemistry and Flow Cytometry. These antibodies target KV1.3 (KCNA3) in Human, Mouse, Rat, Bovine and Canine samples. Our KV1.3 (KCNA3) polyclonal, monoclonal and recombinant monoclonal antibodies are developed in Rabbit, Mouse, Alpaca and Guinea Pig. Find the KV1.3 (KCNA3) antibody that fits your needs. Choose from 1 of 25 KV1.3 (KCNA3) antibodies, which have been validated in experiments with 9 publications and 47 images featured in our data gallery.

          Browse primary antibodies for WB, Flow, IHC, ICC/IF, ELISA, IP, and other applications. Antibodies with Advanced Verification data have been validated for specificity to ensure that the antibody binds to the antigen stated. If you cannot find the antibody you’re looking for, contact us today to develop custom antibodies for specific targets, species and applications.

          Target Information

          In neurons voltage-dependent potassium channels are key determinants of the resting membrane potential and of membrane excitability, conditioning the frequency, and shape of action potential.

          Synonyms

          HGK5; HLK3; HPCN3; HUK3; HUKIII; Kca1-3; Kcna3; Kv1.3; KV3; MK3; Mk-3; PCN3; potassium channel 3; potassium channel, voltage gated shaker related subfamily A, member 3; potassium voltage gated channel, shaker related subfamily, member 3; potassium voltage-gated channel subfamily A member 3; potassium voltage-gated channel, shaker-related subfamily, member 3; RCK3; RGK5; type n potassium channel; voltage-gated K(+) channel HuKIII; voltage-gated potassium channel protein Kv1.3; Voltage-gated potassium channel protein Kv1.3 (RGK5) (RCK3) (KV3); voltage-gated potassium channel subunit Kv1.3; Voltage-gated potassium channel subunit Kv3

          View more
          View less
          • Search by
          • Products
          • Images
          • Epitopes
          • Panel Builder Link Try our free panel design service
          • Wyoming Western Blot Tool Link Match your protein to the right gel
          • Wyoming Stain-iT Tool Link Try the Stain-iT cell staining simulator
          • Wyoming ELISA Tool Link Customize assays with the ELISA Builder
          Filters

          Disclaimer

          Close

          Clicking the images or links will redirect you to a website hosted by BenchSci that provides third-party scientific content. Neither the content nor the BenchSci technology and processes for selection have been evaluated by us; we are providing them as-is and without warranty of any kind, including for use or application of the Thermo Fisher Scientific products presented.

          Filters
          Filters
          Show Less
          +-2
          Clear All
          More
          Less
          18 results
          Target
          Details
          Application
          Price
          Compare
          18 results
          Invitrogen
          KV1.3 (KCNA3) Polyclonal Antibody
          Invitrogen
          KV1.3 (KCNA3) Polyclonal Antibody
          3
          Target
          Human Mouse
          Details
          Rabbit Polyclonal
          Application
          WB IHC (P)
          Price
          Special offer
          Online exclusive
          Online offer:
          Cat # PA5-115486

          100 µL

          Invitrogen
          KV1.3 (KCNA3) Polyclonal Antibody
          Invitrogen
          KV1.3 (KCNA3) Polyclonal Antibody
          2
          Target
          Dog Hamster Human Mouse Non-human primate Pig Rabbit Rat
          Details
          Rabbit Polyclonal
          Application
          IHC (P)
          Price
          Special offer
          Online exclusive
          Online offer:
          Cat # PA5-33863

          50 µg

          Invitrogen
          KV1.3 (KCNA3) Polyclonal Antibody
          Invitrogen
          KV1.3 (KCNA3) Polyclonal Antibody
          1
          Target
          Human Mouse Rat
          Details
          Rabbit Polyclonal
          Application
          WB
          Price
          Special offer
          Online exclusive
          Online offer:
          Cat # PA1-12654

          100 µg

          Invitrogen
          KV1.3 (KCNA3) Polyclonal Antibody
          Invitrogen
          KV1.3 (KCNA3) Polyclonal Antibody
          1
          Target
          Human
          Details
          Rabbit Polyclonal
          Application
          IHC (P)
          Price
          Special offer
          Online exclusive
          Online offer:
          Cat # PA5-33862

          50 µg

          Abnova
          KCNA3 Monoclonal Antibody (1D8)
          Abnova
          KCNA3 Monoclonal Antibody (1D8)
          4
          Target
          Human
          Details
          Mouse Monoclonal
          Application
          WB ELISA
          Price
          Special offer
          Online exclusive
          Online offer:
          Cat # H00003738-M01

          100 µg

          Antibodies Inc
          Kv1.3 K+ Channel Monoclonal Antibody (L23/27)
          Antibodies Inc
          Kv1.3 K+ Channel Monoclonal Antibody (L23/27)
          3
          Target
          Human Mouse Rat
          Details
          Mouse Monoclonal
          Application
          WB IHC (F) ICC/IF ELISA IP
          Price
          Special offer
          Online exclusive
          Online offer:
          Cat # 75-009

          100 µL

          Rockland
          Kv1.3 Monoclonal Antibody (S23-27)
          Rockland
          Kv1.3 Monoclonal Antibody (S23-27)
          1
          Target
          Human Mouse Rat
          Details
          Mouse Monoclonal
          Application
          WB IHC (F)
          Price
          Special offer
          Online exclusive
          Online offer:
          Cat # 200-301-F93

          100 µg

          Invitrogen
          KV1.3 (KCNA3) VHH-8His-Cys-tag Recombinant Alpaca Monoclonal Antibody (SAA0971)
          Invitrogen
          KV1.3 (KCNA3) VHH-8His-Cys-tag Recombinant Alpaca Monoclonal Antibody (SAA0971)
          Target
          Human
          Details
          Alpaca Recombinant Monoclonal
          Application
          ELISA
          Price
          Special offer
          Online exclusive
          Online offer:
          Cat # MA5-54616

          100 µg

          Alomone Labs, LTD
          KV1.3 (KCNA3) (extracellular) Polyclonal Antibody
          Alomone Labs, LTD
          KV1.3 (KCNA3) (extracellular) Polyclonal Antibody
          5
          Target
          Human Mouse Rat
          Details
          Rabbit Polyclonal
          Application
          WB ICC/IF Flow
          Price
          Special offer
          Online exclusive
          Online offer:
          Cat # APC-101-200UL
          Alomone Labs, LTD
          KV1.3 (KCNA3) (extracellular) Polyclonal Antibody, Biotin
          Alomone Labs, LTD
          KV1.3 (KCNA3) (extracellular) Polyclonal Antibody, Biotin
          3
          Target
          Human Mouse Rat
          Details
          Rabbit Polyclonal
          Application
          WB mIHC IHC (F) Flow
          Price
          Special offer
          Online exclusive
          Online offer:
          Cat # APC-101-B-50UL

          50 µL

          Alomone Labs, LTD
          KV1.3 (KCNA3) (extracellular) Polyclonal Antibody
          Alomone Labs, LTD
          KV1.3 (KCNA3) (extracellular) Polyclonal Antibody
          2
          Target
          Human Mouse Rat
          Details
          Guinea pig Polyclonal
          Application
          WB IHC (F)
          Price
          Special offer
          Online exclusive
          Online offer:
          Cat # APC-101-GP200UL
          Alomone Labs, LTD
          KV1.3 (KCNA3) (extracellular) Polyclonal Antibody, PE
          Alomone Labs, LTD
          KV1.3 (KCNA3) (extracellular) Polyclonal Antibody, PE
          2
          Target
          Human Mouse Rat
          Details
          Rabbit Polyclonal
          Application
          Flow
          Price
          Special offer
          Online exclusive
          Online offer:
          Cat # APC-101-PE-50UL

          50 µL

          Alomone Labs, LTD
          KV1.3 (KCNA3) Polyclonal Antibody
          Alomone Labs, LTD
          KV1.3 (KCNA3) Polyclonal Antibody
          1
          Target
          Human Mouse Rat
          Details
          Rabbit Polyclonal
          Application
          WB
          Price
          Special offer
          Online exclusive
          Online offer:
          Cat # APC-002-200UL
          Alomone Labs, LTD
          KV1.3 (KCNA3) (extracellular) Polyclonal Antibody, FITC
          Alomone Labs, LTD
          KV1.3 (KCNA3) (extracellular) Polyclonal Antibody, FITC
          1
          Target
          Human Mouse Rat
          Details
          Rabbit Polyclonal
          Application
          Flow
          Price
          Special offer
          Online exclusive
          Online offer:
          Cat # APC-101-F-50UL
          Antibodies Inc
          Kv1.3 K+ Channel Monoclonal Antibody (L23/27), FL490
          Antibodies Inc
          Kv1.3 K+ Channel Monoclonal Antibody (L23/27), FL490
          Target
          Human Mouse Rat
          Details
          Mouse Monoclonal
          Application
          IHC (F) ICC/IF ELISA
          Price
          Special offer
          Online exclusive
          Online offer:
          Cat # 75-009-FL490

          200 µL

          Antibodies Inc
          Kv1.3 K+ Channel Monoclonal Antibody (L23/27), FL550
          Antibodies Inc
          Kv1.3 K+ Channel Monoclonal Antibody (L23/27), FL550
          Target
          Human Mouse Rat
          Details
          Mouse Monoclonal
          Application
          IHC (F) ICC/IF ELISA
          Price
          Special offer
          Online exclusive
          Online offer:
          Cat # 75-009-FL550

          200 µL

          Antibodies Inc
          Kv1.3 K+ Channel Monoclonal Antibody (L23/27), FL594
          Antibodies Inc
          Kv1.3 K+ Channel Monoclonal Antibody (L23/27), FL594
          Target
          Human Mouse Rat
          Details
          Mouse Monoclonal
          Application
          IHC (F) ICC/IF ELISA
          Price
          Special offer
          Online exclusive
          Online offer:
          Cat # 75-009-FL594

          200 µL

          Antibodies Inc
          Kv1.3 K+ Channel Monoclonal Antibody (L23/27), FL650
          Antibodies Inc
          Kv1.3 K+ Channel Monoclonal Antibody (L23/27), FL650
          Target
          Human Mouse Rat
          Details
          Mouse Monoclonal
          Application
          IHC (F) ICC/IF ELISA
          Price
          Special offer
          Online exclusive
          Online offer:
          Cat # 75-009-FL650

          200 µL

          Custom Antibody Service

          Searching for an antibody we don't offer? We make custom antibodies for specific targets, species and applications.

          More than 18,000 custom antibodies created so far.

          Talk to a specialist now
          guarantee_icon

          Performance Guarantee

          If an Invitrogen™ antibody doesn't perform as described on our website or datasheet,we'll replace the product at no cost to you, or provide you with a credit for a future purchase.*

          Learn more
          help_icon

          We're here to help

          Get expert recommendations for common problems or connect directly with an on staff expert for technical assistance related to applications, equipment and general product use.

          Contact tech support
          Ordering Plus Icon Minus Icon
          • Order Status
          • Order Help
          • Quick Order
          • Supply Center
          • eProcurement
          Support Plus Icon Minus Icon
          • Help and Support
          • Contact Us - 400 820 8982
          • Technical Support Centers
          • Documents and Certificates
          • Report a Site Issue
          Resources Plus Icon Minus Icon
          • Learning Centers
          • Promotions
          • Events and Webinars
          • Social Media
          About Thermo Fisher Plus Icon Minus Icon
          • About Us About Us
          • Careers Careers
          • Investors Investors
          • News News
          • Social Responsibility Social Responsibility
          • Trademarks
          • Policies and Notices
          Our Portfolio Plus Icon Minus Icon
          • Thermo Scientific
          • Applied Biosystems
          • Invitrogen
          • Gibco
          • Ion Torrent
          • Unity Lab Services
          • Patheon
          • PPD
          • Terms & Conditions
          • Privacy Policy
          • Price & Freight Policy
          © 2006-2026 Thermo Fisher Scientific Inc. All rights reserved. All trademarks are the property of Thermo Fisher Scientific and its subsidiaries unless otherwise specified.
          China flag icon
          China
          本网站销售的所有产品均不得用于人类或动物之临床诊断或治疗,仅可用于工业或者科研等非医疗目的。
             电子营业执照 | 经营证照公示 | ICP备案号:沪ICP备11003924号 | 沪公网安备 31011502006935号

          Your items have has been added!


          Host server : magellan-search-blue-64dd947b88-fkn7b:80/100.66.79.246:80.
          git-commit: 0f46c0ba67a87c24f5ac662a3edafcaba07cd08c
          git-url: https://github.com/thermofisher/magellan-search
          git-branch: release/2.45.0-Offline