Hamburger Menu Button
Thermo Fisher Scientific Logo
Sign in
Don't have an account ? Create Account
  • Products
    • Antibodies
    • Custom DNA Oligos
    • GeneArt Gene Synthesis Instant Designer
    • TaqMan Assay and Array Search
    • PCR Equipment and Supplies
    • Chromatography Columns and Cartridges
    • Lab Centrifuges
    • Molecular Biology Reagents and Kits
    • Lab Plasticware and Supplies
    • See all product categories
  • Applications
    • Chromatography
    • Cell Culture
    • Real-Time PCR
    • Mass Spectrometry
    • Lab Plasticware and Supplies
    • Electron Microscopy
    • Protein Biology
    • PCR
    • RNAi
    • Environmental
    • See all applications and techniques
  • Services
    • Custom Services
    • Enterprise-Level Lab Informatics
    • Enterprise Services
    • Financial and Leasing Services
    • Instrument Services
    • OEM and Commercial Supply
    • Training Services
    • 360° CDMO and CRO Solutions
    • CDMO Services
    • CRO Services
    • See all services
  • Help and Support
    • Learning Centers
    • Contact Us
    • Change Location
    • See all help and support topics
  • Popular
    • TaqMan Real-Time PCR Assays
      TaqMan Real-Time PCR Assays
    • Antibodies
      Antibodies
    • Oligos, Primers & Probes
      Oligos, Primers & Probes
    • GeneArt Gene Synthesis
      GeneArt Gene Synthesis
    • Cell Culture Plastics
      Cell Culture Plastics
  • Contact Us
  • Quick Order
  • Order Status and Tracking
  • Documents and Certificates
Thermo Fisher Scientific Logo

Search

Search All
Search button
          • Contact Us
          • Quick Order
          • Sign in
            Sign in
            Don't have an account ? Create Account
            • Account
            • Check Order Status
            • AR Statement & Invoice Inquiry
            • Custom Products & Projects
            • Instrument Management
          • Primary Antibodies ›
          • by Target

          PTCHD3 Antibodies

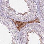
          Antibodies that detect PTCHD3 can be used in several scientific applications, including Immunohistochemistry, Western Blot, ELISA and Immunocytochemistry. These antibodies target PTCHD3 in Human, Mouse and Rat samples. Our PTCHD3 polyclonal antibodies are developed in... Antibodies that detect PTCHD3 can be used in several scientific applications, including Immunohistochemistry, Western Blot, ELISA and Immunocytochemistry. These antibodies target PTCHD3 in Human, Mouse and Rat samples. Our PTCHD3 polyclonal antibodies are developed in Rabbit and Goat. Find the PTCHD3 antibody that fits your... Antibodies that detect PTCHD3 can be used in several scientific applications, including Immunohistochemistry, Western Blot, ELISA and Immunocytochemistry. These antibodies target PTCHD3 in Human, Mouse and Rat samples. Our PTCHD3 polyclonal antibodies are developed in Rabbit and Goat. Find the PTCHD3 antibody that fits your needs. Choose from 1 of 3 PTCHD3 antibodies, which have been validated in experiments with 2 images featured in our data gallery.

          Browse primary antibodies for WB, Flow, IHC, ICC/IF, ELISA, IP, and other applications. Antibodies with Advanced Verification data have been validated for specificity to ensure that the antibody binds to the antigen stated. If you cannot find the antibody you’re looking for,...
          Antibodies that detect PTCHD3 can be used in several scientific applications, including Immunohistochemistry, Western Blot, ELISA and Immunocytochemistry. These antibodies target PTCHD3 in Human, Mouse and Rat samples. Our PTCHD3 polyclonal antibodies are developed in Rabbit and Goat. Find the PTCHD3 antibody that fits your needs. Choose from 1 of 3 PTCHD3 antibodies, which have been validated in experiments with 2 images featured in our data gallery.

          Browse primary antibodies for WB, Flow, IHC, ICC/IF, ELISA, IP, and other applications. Antibodies with Advanced Verification data have been validated for specificity to ensure that the antibody binds to the antigen stated. If you cannot find the antibody you’re looking for, contact us today to develop custom antibodies for specific targets, species and applications.

          Target Information

          May play a role in sperm development or sperm function.

          Synonyms

          4930451E13Rik; 4933440L20Rik; FLJ44037; MGC129888; patched domain containing 3; patched domain-containing protein 3; Patched-related protein; PTCHD3; PTR; RNDEu-3; RND-type protein RNDEu-3

          View more
          View less
          • Search by
          • Products
          • Images
          • Epitopes
          • Panel Builder Link Try our free panel design service
          • Wyoming Western Blot Tool Link Match your protein to the right gel
          • Wyoming Stain-iT Tool Link Try the Stain-iT cell staining simulator
          • Wyoming ELISA Tool Link Customize assays with the ELISA Builder
          Filters

          Disclaimer

          Clicking the images or links will redirect you to a website hosted by BenchSci that provides third-party scientific content. Neither the content nor the BenchSci technology and processes for selection have been evaluated by us; we are providing them as-is and without warranty of any kind, including for use or application of the Thermo Fisher Scientific products presented.

          Filters
          Filters
          Show Less
          +-2
          Clear All
          More
          Less
          2 results
          Target
          Details
          Application
          Price
          Compare
          2 results
          Invitrogen
          PTCHD3 Polyclonal Antibody
          Invitrogen
          PTCHD3 Polyclonal Antibody
          1
          Target
          Human
          Details
          Goat Polyclonal
          Application
          WB
          Price
          Special offer
          Online exclusive
          Online offer:
          Cat # PA5-38002

          100 µg

          Invitrogen
          PTCHD3 Polyclonal Antibody
          Invitrogen
          PTCHD3 Polyclonal Antibody
          1
          Target
          Human
          Details
          Rabbit Polyclonal
          Application
          IHC (P)
          Price
          Special offer
          Online exclusive
          Online offer:
          Cat # PA5-60778

          100 µL

          Custom Antibody Service

          Searching for an antibody we don't offer? We make custom antibodies for specific targets, species and applications.

          More than 18,000 custom antibodies created so far.

          Talk to a specialist now
          guarantee_icon

          Performance Guarantee

          If an Invitrogen™ antibody doesn't perform as described on our website or datasheet,we'll replace the product at no cost to you, or provide you with a credit for a future purchase.*

          Learn more
          help_icon

          We're here to help

          Get expert recommendations for common problems or connect directly with an on staff expert for technical assistance related to applications, equipment and general product use.

          Contact tech support
          Ordering Plus Icon Minus Icon
          • Order Status
          • Order Help
          • Quick Order
          • Supply Center
          • eProcurement
          Support Plus Icon Minus Icon
          • Help and Support
          • Contact Us - 400 820 8982
          • Technical Support Centers
          • Documents and Certificates
          • Report a Site Issue
          Resources Plus Icon Minus Icon
          • Learning Centers
          • Promotions
          • Events and Webinars
          • Social Media
          About Thermo Fisher Plus Icon Minus Icon
          • About Us About Us
          • Careers Careers
          • Investors Investors
          • News News
          • Social Responsibility Social Responsibility
          • Trademarks
          • Policies and Notices
          Our Portfolio Plus Icon Minus Icon
          • Thermo Scientific
          • Applied Biosystems
          • Invitrogen
          • Gibco
          • Ion Torrent
          • Patheon
          • PPD
          • Terms & Conditions
          • Privacy Policy
          • Price & Freight Policy
          © 2006-2026 Thermo Fisher Scientific Inc. All rights reserved. All trademarks are the property of Thermo Fisher Scientific and its subsidiaries unless otherwise specified.
          China flag icon
          China
          本网站销售的所有产品均不得用于人类或动物之临床诊断或治疗,仅可用于工业或者科研等非医疗目的。
             电子营业执照 | 经营证照公示 | ICP备案号:沪ICP备11003924号 | 沪公网安备 31011502006935号

          Your items have has been added!


          Host server : magellan-search-blue-55ff9ddd88-lffdw:80/100.66.79.31:80.
          git-commit: d366ff9721d93504b2ac26a183b2b3e3d0e7d9ec
          git-url: https://github.com/thermofisher/magellan-search
          git-branch: release/2.42.0-2026.01.03-1.0