Hamburger Menu Button
Thermo Fisher Scientific Logo
Sign in
Don't have an account ? Create Account
  • Products
    • Antibodies
    • Cell Culture Media
    • Chemicals
    • Chromatography Columns and Cartridges
    • Lab Equipment
    • Lab Plasticware and Supplies
    • Microplates
    • Oligos, Primers, Probes and Genes
    • TaqMan Real-Time PCR Assays
    • Greener Products
    • See all product categories
  • Applications
    • Bioprocessing
    • Cell Culture and Transfection
    • Cell and Gene Therapy
    • Chromatography
    • Molecular Testing
    • Digital Solutions
    • DNA and RNA Extraction and Analysis
    • Spectroscopy, Elemental and Isotope Analysis
    • See all applications and techniques
  • Services
    • 360° CDMO and CRO Solutions
    • CDMO Services
    • CRO Services
    • Custom Services
    • Enterprise Services
    • Financial and Leasing Services
    • Instrument Services
    • Lab Informatics
    • OEM and Commercial Supply
    • Training Services
    • Unity Lab Services
    • See all services
  • Help and Support
    • How to Order
    • Instrument Support
    • Learning Centers
    • Register for an Account
    • Technical Support Centers
    • See all help and support topics
  • Popular
    • TaqMan Real-Time PCR Assays
      TaqMan Real-Time PCR Assays
    • Antibodies
      Antibodies
    • Oligos, Primers & Probes
      Oligos, Primers & Probes
    • GeneArt Gene Synthesis
      GeneArt Gene Synthesis
    • Cell Culture Plastics
      Cell Culture Plastics
  • Who We Serve
    • Biotech
    • Biopharma
    • CDMO
    • Lab Diagnostics
    • Industrial and Applied Sciences
  • Promotions
  • Contact Us
  • Quick Order
  • Order Status and Tracking
  • Documents and Certificates
Thermo Fisher Scientific Logo

Search

Search All
Search button
          • Order Status
          • Quick Order
          • Promos
          • Sign in
            Sign in
            Don't have an account ? Create Account
            • Account
            • Check Order Status
            • Aspire Member Program
            • Connect: Lab, Data, Apps
            • Custom Products & Projects
            • Services Central

          Disclaimer

          Clicking the images or links will redirect you to a website hosted by BenchSci that provides third-party scientific content. Neither the content nor the BenchSci technology and processes for selection have been evaluated by us; we are providing them as-is and without warranty of any kind, including for use or application of the Thermo Fisher Scientific products presented.

          • Primary Antibodies ›
          • CT83 Antibodies

          Invitrogen

          CT83 Polyclonal Antibody

          查看其他11个CT83抗体

          {{$productOrderCtrl.translations['antibody.pdp.commerceCard.promotion.promotions']}}

          {{$productOrderCtrl.translations['antibody.pdp.commerceCard.promotion.viewpromo']}}

          {{$productOrderCtrl.translations['antibody.pdp.commerceCard.promotion.promocode']}}: {{promo.promoCode}} {{promo.promoTitle}} {{promo.promoDescription}}. {{$productOrderCtrl.translations['antibody.pdp.commerceCard.promotion.learnmore']}}

          说明书
          实验方案
          问题与答案
          技术支持
          说明书
          实验方案
          问题与答案
          技术支持
          说明书
          实验方案
          问题与答案
          技术支持

          Cite CT83 Polyclonal Antibody

          • 抗体检测数据 (2)
          CT83 Antibody in Immunohistochemistry (IHC)
          Group 53 Created with Sketch.
          CT83 Antibody in Immunohistochemistry (IHC)
          Group 53 Created with Sketch.

          图: 1 / 2

          {{ $ctrl.currentElement.advancedVerification.fullName }}
          {{ $ctrl.currentElement.advancedVerification.text }}

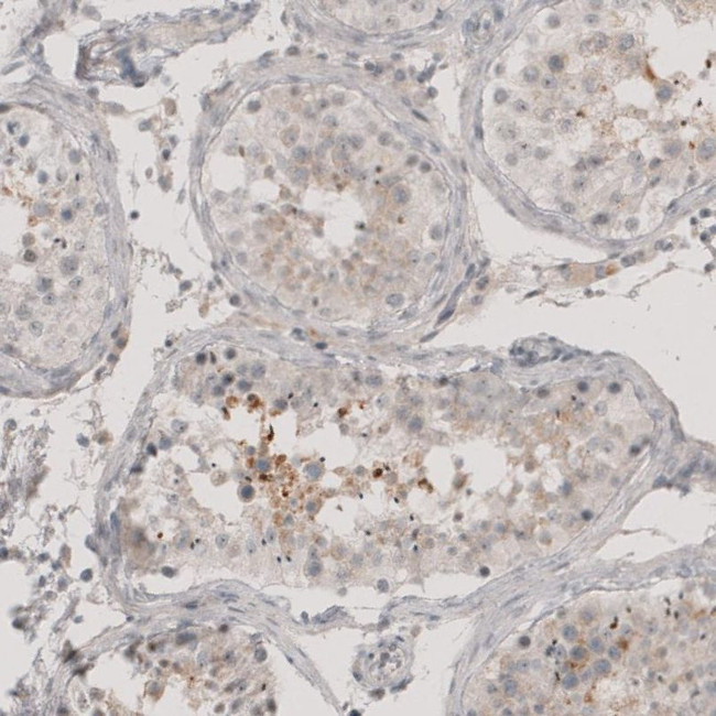
          CT83 Antibody (PA5-52102) in IHC

          Immunohistochemical staining of CT83 in human testis using a CT83 Polyclonal Antibody (Product # PA5-52102) shows moderate cytoplasmic positivity in a subset of cells in seminiferous tubules. {{ $ctrl.currentElement.advancedVerification.fullName }} 验证信息 View more
          已发表图片由___提供 benchsci-logo
          PMID: {{$ctrl.currentElement.benchSciPubmedId}}
          查看产品

          {{$ctrl.videoDesc}}

          {{$ctrl.videoLongDesc}}

          CT83 Antibody in Immunohistochemistry (IHC)
          CT83 Antibody in Immunohistochemistry (IHC)
          CT83 Polyclonal Antibody

          产品信息

          PA5-52102

          应用
          建议稀释比
          已发表文章

          免疫组化(石蜡) (IHC (P))

          1:500-1:1,000
          -
          产品规格

          种属反应

          Human

          宿主/亚型

          Rabbit / IgG

          分类

          Polyclonal

          类型

          Antibody

          抗原

          Recombinant protein corresponding to Human CT83. Recombinant protein control fragment (Product #RP-92344).
          查看免疫原

          偶联物

          Unconjugated Unconjugated Unconjugated

          形式

          Liquid

          浓度

          0.2 mg/mL

          纯化类型

          Antigen affinity chromatography

          保存液

          PBS, pH 7.2, with 40% glycerol

          内含物

          0.02% sodium azide

          保存条件

          Store at 4°C short term. For long term storage, store at -20°C, avoiding freeze/thaw cycles.

          运输条件

          Ambient (domestic); Wet ice (international)

          RRID

          AB_2640217

          产品详细信息

          Immunogen sequence: QRNTGEMSSN STALALVRPS SSGLINSNTD NNLAVYDLSR DILNNFPHSI ARQKRILVNL SMVENKLVEL EHTLLSKGFR GASPHRKST

          Highest antigen sequence identity to the following orthologs: Mouse - 30%, Rat - 30%.

          靶标信息

          CT83 is a protein coding gene.

          仅用于科研。不用于诊断过程。未经明确授权不得转售。

          篇参考文献 (0)

          您是否在文献中引用过该产品?请点击下方按钮邮件告知我们。
          引用该产品

          生物信息学

          蛋白别名: Cancer/testis antigen 83; Kita-kyushu lung cancer antigen 1; KK-LC-1

          查看更多 收起

          基因别名: CT83; CXorf61; KK-LC-1; KKLC1

          查看更多 收起

          UniProt ID: (Human) Q5H943

          查看更多 收起

          Entrez Gene ID: (Human) 203413

          查看更多 收起

          It has to be done as per old AB suggested Products section.
          guarantee_icon

          性能保障

          只要您发现Invitrogen抗体在实验中的表现与网站或说明书的所述内容不符,您即可享受免费退换货服务。*

          了解更多
          help_icon

          随时为您服务

          获取常见问题的专家解答,或者直接联系我们的技术专家,咨询应用、设备、常规产品使用问题。

          联系技术支持
          Ordering Plus Icon Minus Icon
          • Order Status
          • Order Help
          • Quick Order
          • Supply Center
          • eProcurement
          Support Plus Icon Minus Icon
          • Help and Support
          • Contact Us
          • Technical Support Centers
          • Documents and Certificates
          • Report a Site Issue
          Resources Plus Icon Minus Icon
          • Learning Centers
          • Promotions
          • Events and Webinars
          • Social Media
          About Thermo Fisher Plus Icon Minus Icon
          • About Us About Us
          • Careers Careers
          • Investors Investors
          • News News
          • Social Responsibility Social Responsibility
          • Trademarks
          • Consumer Health Data Privacy Policy Consumer Health Data Privacy Policy
          • Policies and Notices
          Our Portfolio Plus Icon Minus Icon
          • Thermo Scientific
          • Applied Biosystems
          • Invitrogen
          • Gibco
          • Ion Torrent
          • Fisher Scientific
          • Unity Lab Services
          • Patheon
          • PPD
          • Terms & Conditions
          • Privacy Information Center
          • Price & Freight Policy
          © 2006-2025 Thermo Fisher Scientific Inc. All rights reserved. All trademarks are the property of Thermo Fisher Scientific and its subsidiaries unless otherwise specified.
          United States flag icon
          United States

          Your items have has been added!


          Host server : magellan-search-green-55658555d6-qfdf2:80/100.66.76.55:80.
          git-commit: ec8e7df5f8fec8d765bd419205f1b5046a016d37
          git-url: https://github.com/thermofisher/magellan-search
          git-branch: release/2.41.0-Offline