Cancer remains one of the most challenging diseases to study and treat due to its complex nature. One of the key challenges in cancer research is accurately modeling the three-dimensional (3D) growth of tumors, as it occurs in the human body, in a laboratory setting. Traditional two-dimensional (2D) cell culture models fall short in this regard, leading researchers to develop more sophisticated 3D cell culture models. Two such examples of these models are spheroids and tumoroids, also known as cancer organoids (Figure 1A,B). Both models aim to mimic the architecture, oxygen and nutrient gradients, and microenvironment of tumors more closely than 2D cancer cell models, but they have distinct differences, strengths, and weaknesses. Here, we define these models and discuss the advantages and disadvantages of working with each.
Cancer spheroids: Simplified 3D aggregates
What are spheroids?
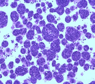
In cancer research, spheroids are 3D aggregates of immortalized cancer cell lines (Figure 1A). Immortalized cell lines are usually grown as adherent 2D monolayers on cell culture plastic, typically using traditional cell culture basal media supplemented with serum. To form spheroids, these cells can be forced to aggregate by constraining their geometry and preventing adhesion, often using ultra-low adhesion U-bottom dishes. In some cases, spheroids can form without the addition of any extracellular matrix (ECM) proteins, while other models may require the addition of basement membrane extract (BME) or collagen to the media for more effective spheroid formation. Once generated, spheroids are typically compact and have similar cell density throughout, with little variation in morphology from core to edge. Because spheroids can be formed from traditional cancer cell lines, they are an accessible 3D model available to many cancer research labs using existing resources and materials.
Strengths of spheroids
- Simplified modeling: Spheroids offer a simplified and relatively easy-to-reproduce model for studying tumor growth and drug responses. Immortalized cancer cell lines are widely available, and many assays and cell stains developed for 2D monolayers translate well to spheroid models.
- Cost-effectiveness: Spheroid models are generally more cost-effective to produce compared to more complex patient-derived models, with lower cell culture media and reagent costs.
- Increased throughput: Spheroids can be used in high-throughput screening, which is valuable for drug discovery and testing.
Weaknesses of Spheroids
- Lack of heterogeneity: Spheroids lack heterogeneity in terms of both structure and gene expression signatures. This uniformity can limit their ability to accurately mimic the complex nature of human tumors.
- Genetic differences inherent to immortalized cell lines: Cancer cell lines are often hypermutated compared to patient cancers (Figure 1C,D), and this hypermutated status is also present in spheroids generated from these cell lines. The lack of patient-representative characteristics inherent to the use of cell line models can therefore affect the relevance of findings made using spheroids.
Tumoroids: Patient-derived 3D cancer models
What are tumoroids?
In contrast to spheroids, tumoroids (also known as cancer organoids) are 3D patient-derived cancer models. These 3D cell culture units are established from a sample of a patient’s tumor tissue, allowing the models to retain many of the characteristics of the original tumor. Tumoroids are heterogeneous, both in terms of the complexity of their morphology (Figure 1B) and the inter- and intra-model diversity of their gene expression profiles. This makes them a more accurate representation of the patient-specific tumor microenvironment.
Strengths of tumoroids
- High relevance: Tumoroids offer a higher degree of relevance to human tumors due to their patient-specific origin, typically retaining mutations found in the originating material. On average, the mutational profiles of tumoroid models more closely reflect those seen in clinical settings compared to immortalized cell lines (Figure 1C,D). Additionally, the inclusion of BME proteins in most tumoroid culture protocols provides relevant extracellular matrix cues to drive tumoroid growth and morphology.
- Heterogeneity: Tumoroids exhibit complex, donor-dependent morphologies (Figure 1B) and diverse gene expression profiles, which can better mimic the in vivo conditions of tumors. Cell-to-cell interactions and structural polarization are often maintained in tumoroid models for better representation of the tumor microenvironment.
- Personalized medicine: Tumoroids can be used for personalized medicine approaches, allowing for the testing of drug responses on a patient-specific basis.
Weaknesses of Tumoroids
- Complexity and cost: The process of establishing tumoroids is more complex and costly compared to cancer spheroids. It requires specialized techniques and conditions, and there is often a learning curve in moving from traditional 2D cancer cell culture to tumoroid culture.
- Limited throughput: Due to their complexity and the requirement for temperature-sensitive BME proteins for routine culture and most applications, tumoroids are less amenable to high-throughput screening, which can limit their use in large-scale drug discovery efforts.
Increased Accessibility to Tumoroid Models
To address roadblocks to the adoption of tumoroid models, we have recently developed Gibco OncoPro Tumoroid Culture Medium, which is broadly compatible with the in vitro culture of tumoroids from multiple epithelial-origin cancers and provides a standardized approach for tumoroid culture. OncoPro medium is compatible with a suspension culture method that decreases the complexity of tumoroid culture and enables scaling to tens of millions of cells in standard culture flasks to increase throughput. The availability of validated, well-characterized OncoPro Tumoroid Cell Lines enables researchers to jump start their work with cancer organoids instead of having to derive novel tumoroid lines from fresh donor material.
Conclusion
Both spheroids and tumoroids offer valuable insights into tumor biology and drug responses, but their applications and limitations must be carefully considered. Spheroids provide a simplified, cost-effective, and high-throughput model, albeit with limitations in heterogeneity and patient-specific relevance. On the other hand, tumoroids offer a more accurate and patient-specific model, capturing the complexity of human tumors, but at the cost of increased complexity and lower throughput. Both models recapitulate 3D architecture found in vivo and can be used to generate oxygen and nutrient profiles relevant to drug transport and resistance. By understanding the strengths and weaknesses of each model, researchers can better choose the appropriate system for their specific research needs, ultimately advancing our understanding and treatment of cancer. As tumoroid culture becomes more accessible, easy to use, and standardized, we anticipate that they will be widely adopted in cancer research due to their increased biological relevance compared to spheroids generated from immortalized cancer cell lines.
Learn more about tumoroid culture and explore available resources at thermofisher.com/tumoroid.

Figure 1. Representative images and characteristics of spheroid and tumoroid cancer models. (A) Image of HCT-116 colorectal cancer spheroids. (B) Images of colorectal cancer tumoroids derived from three distinct donors. (C) Count of clinically relevant mutations and (D) tumor mutation load between unmatched colorectal cancer tumoroid lines, patient tissue samples, and immortalized cell lines.*
*For panels (C,D), data was replotted from Paul, C.D. et al., bioRxiv 2024.06.10.598331 (2024), and details on sequencing and analysis can be found there.
For Research Use Only. Not for use in diagnostic procedures.



