Applied Biosystems™ QuantStudio™ Absolute Q™ デジタルPCRシステムの活用例として、今回はMekala et al. (2024)が報告したミトコンドリアDNAの定量を紹介します。
Mekala N, Trivedi J, Bhoj P, Togre N, Rom S, Sriram U, Persidsky Y. Alcohol and e-cigarette damage alveolar-epithelial barrier by activation of P2X7r and provoke brain endothelial injury via extracellular vesicles. Cell Commun Signal. 2024 Jan 15;22(1):39. doi: 10.1186/s12964-023-01461-1. PMID: 38225580; PMCID: PMC10789007.
はじめに
アルコールと電子タバコの使用は、健康にさまざまな影響を及ぼすことが知られています。本研究ではアルコールと電子タバコが肺の肺胞上皮細胞(hPAEpiC)および脳の微小血管内皮細胞(hBMVEC)に与える影響を解析するための手段の一つとして、Absolute QデジタルPCRシステムを用いた高精度なミトコンドリアDNAの定量を実施しました。
イントロダクション
アルコールやニコチンを含む電子タバコはミトコンドリア膜の脱分極を引き起こし、ATPやミトコンドリアDNAの放出を促進して炎症反応を媒介します。慢性的なアルコール摂取は肺の免疫反応を弱め、炎症を引き起こします。炎症やストレスを受けた細胞から放出されるATP(eATP)は、隣接する細胞のプリン受容体P2X7(P2X7r)を活性化します。
本研究はアルコールや電子タバコがミトコンドリアおよびERストレスを促進し、P2X7受容体シグナル伝達を介して細胞機能を破壊することを議論しています。
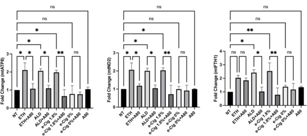
Absolute QデジタルPCRシステムを用いた細胞外小胞(EV)におけるミトコンドリアDNAの定量
hPAEpiCを100 mMエタノール(ETH)、100 μMアセトアルデヒド(ALD)、電子タバコ(1.75 μg/mLの1.8%または0%ニコチン)に一晩曝露し、培養上清からEVを単離しました。さらにEVからDNAを抽出してデジタルPCRの鋳型としました。
3種類のミトコンドリアDNAをターゲットとし、Applied Biosystems™ TaqMan™プローブとプライマーは下記のApplied Biosystems™ TaqMan™ Gene Expression Assayを使用しました。
| ターゲット | Assay ID |
| ATP8 (mt-ATP8] | Hs02596863_g1 |
| NADH dehydrogenase 2 (mt-ND2) | Hs02596874_g1 |
| ferritin heavy chain 1 (mt-FTH1) | Hs02596865_g1 |
結果
ETH、ALD、e-Cig(1.8%ニコチン)を添加した培地で一晩刺激すると、EV中のmt-ATP8、mt-ND2、mt-FTH1のコピー数がコントロール区(NT)と比べて約2倍に増加したのに対し、P2X7r拮抗薬A804598(A80)で前処理するとmtDNAは変動しませんでした。また、e-Cig(0%ニコチン)は、未処理のコントロール区と比較してmtDNAレベルに有意な変化を示しませんでした。

図. Absolute QデジタルPCRシステムによるミトコンドリアDNAの定量
棒グラフは未処理のコントロール区のEVを基準とした処理区における倍率変化を示しました。統計解析にはOne-way ANOVAを使用しました。
*P≤0.05, **P≤0.001, and ns (not significant) (n=3)
編集後記
本論文ではAbsolute QデジタルPCRシステムを用いて、コントロール区と処理区のEVにおけるミトコンドリアDNAの正確な少差識別を報告しています。遺伝子発現解析も含め、リアルタイムPCRのCT値の比較では明確な差を議論しにくい実験系では絶対値で評価できるデジタルPCRの活用が有効かもしれません。
【無料ダウンロード】デジタルPCRアプリケーションガイド
デジタルPCRによる定量が有用な複数のアプリケーションについて紹介しています。これからデジタルPCR実験を考えている方におすすめです。
ダウンロードはこちら
研究用にのみ使用できます。診断目的およびその手続き上での使用はできません。
TaqMan is a trademark of Roche Molecular Systems, Inc., used under permission and license.



