in vitro転写 (IVT) のDNAテンプレートの調製法としてPCRが利用できます。
PCRテンプレートは プラスミドベクターのように 大腸菌ホストの培養や精製、制限酵素処理などが必要なく、コンパクトなラボスペースでDNAテンプレートを増幅できるので、多種類の遺伝子を扱う場合に適しています。
本稿では翻訳効率の高いCap-1アナログを採用しているInvitrogen™ mMESSAGE mMACHINE™ T7 mRNA Kit with CleanCap™ Reagent AGにフォーカスし、タンパク質翻訳に適したmRNA合成のためのDNAテンプレートの『デザインと合成』をご紹介します。
前回記事(翻訳効率高いCap-1構造のmRNAを高収量で合成!)はこちら
▼もくじ
GeneArt Strings DNA FragmentsとGeneArt 遺伝子合成サービスの選択のポイント
in vitro転写(IVT)のDNAテンプレートをPCRで調製する場合、まずPCRの鋳型となるPCRテンプレートを用意する必要があります。サーモフィッシャーサイエンティフィックでは以下の2つのサービスがあり、目的に合わせて選択できます。
- Invitrogen™ GeneArt™ Strings DNA Fragmentsは 200 bp ~ 3.0 kbのサイズの直鎖状の二本鎖DNAフラグメントを安価、かつ短い納期で合成できます。
- Invitrogen™ GeneArt™ 遺伝子合成は 100 bp ~ 12 kbの合成が可能です。合成難易度の高い配列も可能です。GeneArt遺伝子合成サービスはプラスミドベクターにクローニングされるので、PCRを行わず直接DNAテンプレートとしても使用でき汎用性が高いです(注:プラスミドは環状での納品になるので、PCRを行わない場合は IVTの前に制限酵素で直鎖状にする必要があります。PCRを行う場合は環状のままでも利用できます)。
実験に適した合成サービスを選択してください。

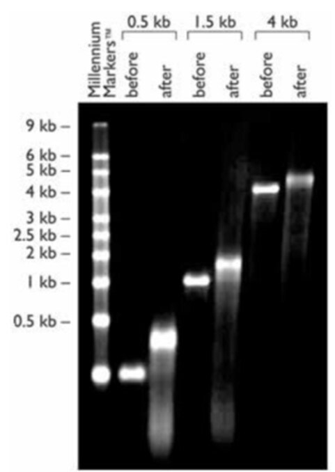
真核生物では効率的なタンパク質翻訳のために、mRNAの5’末端にキャップ構造、3’末端にPoly(A)テール配列の付加が推奨されています。mMESSAGE mMACHINE T7 mRNA Kit with CleanCap Reagent AGでは IVT反応中にキャップ構造を付加しますが、Poly(A)テールの付加は、あらかじめDNAテンプレートにPoly(A)テールの鋳型配列を付加するか、もしくは IVT後のmRNAにE. coli Poly(A) polymerase(Invitrogen™ Poly(A) Tailing Kit)で酵素的に付加する必要があります。E. coli Poly(A) polymeraseによって付加されるPoly(A)の鎖長は大きくばらつき、電気泳動のチェックでは、図1のようにスメアなバンドで確認されます。mRNAのサイズを均一にそろえて以後の実験に進むことを望む場合、Poly(A)テールの鋳型配列を付加したDNAテンプレートを用意する必要があります。

図1. Poly(A) polymeraseでPoly(A)テールを付加したmRNA の電気泳動図
“before”はPoly(A)テールを付加する前のmRNAで、“after”は付加後のmRNAです。
しかしながらPoly(A)テール(Aの連続配列)の鋳型配列の付加は遺伝子合成の技術上困難なため、合成期間が長くなり、コストも高くなります(合成ができないケースもあります)。ベクター骨格内にPoly(A)鋳型配列が付加されたクローニングベクターが市販されていますが、UTR配列などのコンポーネンツが固定されているため、配列の最適化に制限が生じ最高なパフォーマンスのDNAテンプレートの検証ができません。
本稿で紹介するPCRを介した調製法ではリバースプライマーの5’末端にPoly(T)配列を付加することによって、PCR産物の3’末端部分にPoly(A)テールの鋳型を持つDNAテンプレートを簡単に調製することができます(図2)。これにより遺伝子合成の困難さを回避し、短期間で安価に、そして幅広い配列の最適化ができます。

図2. PCRによるin vitro転写(IVT)テンプレートの調製の概要
またPCRの増幅によって、DNAテンプレートを簡単に大量に増やせるという利点もあります。IVT反応では 標準的な20 µLの反応でも0.5~1.0 µgと 比較的大量のDNAテンプレートを必要とするため、反復してIVT反応を行う場合もPCR反応でのDNAテンプレート調製は有効です。
AppendixにはGenaArtサービスで合成したDNAからPCRでDNAテンプレートを調製する “参考プロトコル” をまとめています。PCRの条件検討を行う際に参考にしてください。
PCRテンプレートのデザイン
in vitro転写のDNAテンプレートに必要な配列を確認
T7 RNAポリメラーゼを用いたin vitro転写反応(IVT)でmRNAを合成する場合、以後のタンパク質の翻訳効率を考慮し、以下の図のコンポーネントを含んだDNAテンプレートを用意することを推奨します。まず必要なコンポーネントを確認し、DNAテンプレートのデザインを行ってください。
DNAテンプレートのデザインは、IVTでのmRNAの収量および正確性に大きく影響します。以下の注意点を参考に、最適な配列をデザインしてください。

| シンボル | 説明 |
| T7 | T7 RNAポリメラーゼ プロモーター配列 T7プロモーター配列(下線配列)は、T7 RNAポリメラーゼが鋳型に結合し、mRNAを合成するために必須です。高効率の転写のためにT7プロモーター下流に3塩基のinitiation配列を付加しますが、IVT反応中に5’末端にキャップ構造を付加させる場合、initiation配列は使用するCap analogによって変える必要があります。 CleanCap™ Reagent AGは『AGG』を配置します。 その他の従来型のCap analogは『GGG』を配置します。 注:CleanCap Reagent AGは initiation配列が『GGG』のDNAテンプレートではキャップ構造が付加されませんので注意してください。 |
| 5’UTR 3’UTR |
mRNA上の非翻訳領域の配列(UTR:untranslated region) IVTで合成したmRNAをタンパク質翻訳に利用する場合、mRNAの両末端に 5’-UTRおよび 3’-UTRの付加をお勧めします。mRNAの安定性と翻訳制御に有効です。ヒトの遺伝子の場合、mRNAの安定性や翻訳効率が向上するとして、α-グロビン(alpha globin)またはβ-グロビン(beta globin)のUTR配列が利用されることが多いです。 他生物種の場合は、ホスト由来の遺伝子のUTR 配列を選択することが多いです。 |
| Kozak | コザック(Kozak)配列 コード配列(CDS: coding sequence)の開始コドン(ATG)配列の直前にKozak配列(CACCなど)を付加します。Kozak配列はリボソームが正確に翻訳の開始位置を認識し、効率的にタンパク質の合成を開始するのに役立ちます。 Kozack配列についてもバラエティがあり、『GCC』、『ACC』、『GCCACC』などさまざまです。IVTで発現させる配列に効果的なものを検証し、選択されるのが理想的です。 |
| CDS | コード配列(CDS: coding sequence) 翻訳するタンパク質のアミノ酸配列をコードする配列です。開始コドン(ATG)から終止コドン(TAA、TAG、TGA)までの配列をDNAテンプレートに組み込みます。 合成前に以下を確認してください。
|
| Poly(A) | Poly(A)テール配列 mRNAの3’末端の A(アデニン)の連続配列です。Poly(A)を付加することでmRNAの安定性とタンパク質の翻訳効率が向上します。DNAテンプレートには 80~120ヌクレオチドの長さのPoly(A)配列を付加することをお勧めしています。 PCRによるDNAテンプレート調製では、PCR時にPoly(A)テールの鋳型配列を付加しますので、GeneArtサービスの合成でテンプレートDNAに付加する必要はありません。 |
| RE site | 制限酵素認識 配列 PCRテンプレートに付加する必要はありません。 ただし プラスミドDNAを直接DNAテンプレートとして利用する場合は必須です。GeneArt遺伝子合成を利用する場合、RE siteを付加すると汎用性が高くなります。 |
| 配列の例 | ヒトαグロビンUTRを用いた場合の例
|
例: CleanCap Reagent AG キャッピング用にデザインしたPCRテンプレートのデザイン(Human IL10)
GeneArt Strings DNA Fragmentsで合成する場合:
TAATACGACTCACTATAAGGAGAACTCTTCTGGTCCCCACAGACTCAGAGAGAACCCACCATGCACAGCTCAGCA
CTGCTCTGTTGCCTGGTCCTCCTGACTGGGGTGAGGGCCAGCCCAGGCCAGGGCACCCAGTCTGAGAACAGCTG
CACCCACTTCCCAGGCAACCTGCCTAACATGCTTCGAGATCTCCGAGATGCCTTCAGCAGAGTGAAGACTTTCTT
TCAAATGAAGGATCAGCTGGACAACTTGTTGTTAAAGGAGTCCTTGCTGGAGGACTTTAAGGGTTACCTGGGTTG
CCAAGCCTTGTCTGAGATGATCCAGTTTTACCTGGAGGAGGTGATGCCCCAAGCTGAGAACCAAGACCCAGACAT
CAAGGCGCATGTGAACTCCCTGGGGGAGAACCTGAAGACCCTCAGGCTGAGGCTACGGCGCTGTCATCGATTTC
TTCCCTGTGAAAACAAGAGCAAGGCCGTGGAGCAGGTGAAGAATGCCTTTAATAAGCTCCAAGAGAAAGGCATC
TACAAAGCCATGAGTGAGTTTGACATCTTCATCAACTACATAGAAGCCTACATGACAATGAAGATACGAAACTGA
GCTGGAGCCTCGGTGGCCATGCTTCTTGCCCCTTGGGCCTCCCCCCAGCCCCTCCTCCCCTTCCTGCACCCGTACC
CCCGTGGTCTTTGAATAAAGTCTGAGTGGGCGGCA
GeneArt 遺伝子合成で合成する場合:
基本的にはGeneArt Strings DNA Fragments と同様です。ただし3’末端に制限酵素認識配列(RE sites)を付加しておくと、ベクターDNAテンプレートとしても利用できるので便利です。末端が『5’オーバーハング』または『ブラントエンド』になる酵素で、合成配列中に一致する配列のない制限酵素配列を選択してください。以下の例では EcoRI認識配列です。
TAATACGACTCACTATAAGGAGAACTCTTCTGGTCCCCACAGACTCAGAGAGAACCCACCATGCACAGCTCAGCA
CTGCTCTGTTGCCTGGTCCTCCTGACTGGGGTGAGGGCCAGCCCAGGCCAGGGCACCCAGTCTGAGAACAGCTG
CACCCACTTCCCAGGCAACCTGCCTAACATGCTTCGAGATCTCCGAGATGCCTTCAGCAGAGTGAAGACTTTCTT
TCAAATGAAGGATCAGCTGGACAACTTGTTGTTAAAGGAGTCCTTGCTGGAGGACTTTAAGGGTTACCTGGGTTG
CCAAGCCTTGTCTGAGATGATCCAGTTTTACCTGGAGGAGGTGATGCCCCAAGCTGAGAACCAAGACCCAGACAT
CAAGGCGCATGTGAACTCCCTGGGGGAGAACCTGAAGACCCTCAGGCTGAGGCTACGGCGCTGTCATCGATTTC
TTCCCTGTGAAAACAAGAGCAAGGCCGTGGAGCAGGTGAAGAATGCCTTTAATAAGCTCCAAGAGAAAGGCATC
TACAAAGCCATGAGTGAGTTTGACATCTTCATCAACTACATAGAAGCCTACATGACAATGAAGATACGAAACTGA
GCTGGAGCCTCGGTGGCCATGCTTCTTGCCCCTTGGGCCTCCCCCCAGCCCCTCCTCCCCTTCCTGCACCCGTACC
CCCGTGGTCTTTGAATAAAGTCTGAGTGGGCGGCAGAATTC
GeneArt Instant DesignerでPCRテンプレートをオーダー
Invitrogen™ GeneArt™ Instant Designerは、カスタム遺伝子合成用の注文ツールです。注文の工程で配列の妥当性の確認、コドンの最適化、カスタムベクターの選択などが行えるため、目的遺伝子の発現に必要な配列のデザイン完了後、GeneArt Instant Designerを用いて配列の妥当性を再確認してから、インターネット注文を進めることができます。
GeneArt Instant Designerは、以下に簡易的な注文方法をまとめています。
GeneArt Instant Designerはさまざまな便利な機能を有しています。機能をフル活用することにより、実験にフィットした配列をデザインできます。詳細はご利用マニュアルを確認してください。
Appendix
PCR反応による IVTテンプレートの増幅(PCRで Poly(A)テール鋳型を付加)CleanCap Reagent AGのキャッピング用テンプレートの例
1. 用意する試薬
- 標的遺伝子に対するPCR用 テンプレート(GeneArt Strings DNA FragmentsまたはGeneArt遺伝子合成で用意したDNA)
このプロトコルで使用した配列例:

- Invitrogen™ Platinum™ SuperFi™ II Green PCR Master Mix(製品番号:12369010)
- (オプション) Invitrogen™ Anza™ 10 DpnI(製品番号:IVGN0106)
注:大腸菌から精製したベクターDNAテンプレートを分解します。GeneArt遺伝子合成で注文したDNAテンプレートに利用できます。GeneArt Strings DNA Fragmentでは利用できません。 - Invitrogen™ PureLink™ PCR Purification Kit(製品番号: K310001)
- 電気泳動用機器・消耗品一式
- プライマーセット(注:上記配列に使用できるプライマー配列です。必要に応じてデザインをしてください)
| プライマー | |
| Forward primer | 1 AGTAATACGA CTCACTATAA GGAGA |
| Reverse primer | 1 TTTTTTTTTT TTTTTTTTTT TTTTTTTTTT TTTTTTTTTT TTTTTTTTTT |
| 51 TTTTTTTTTT TTTTTTTTTT TTTTTTTTTT TTTTTGCCGC CCACTCAGAC |
2. PCRセットアップ
Platinum SuperFi II Green PCR Master Mixは、室温でのセットアップが可能です。
| コンポーネント | 添加量 (50 µLの反応系) |
終濃度 |
| Nuclease-free water | 19 µL | – |
| 2x Platinum SuperFi II Green PCR Master Mix |
25 µL | ✕ 1 |
| 10 µM Forward Primer | 2.5 µL | 0.5 µM |
| 10 µM Reverse Primer | 2.5 µL | 0.5 µM |
| テンプレートDNA(1 ng/µL) | 1 µL | – |
GeneArt Strings DNA Fragmentsの場合:
まず10 ng/µLストックを作成します。さらに10 ng/µLストックから1 µL分取し9 µLのNuclease free waterで希釈すると1 ng/µLのテンプレートDNAの調製ができます。
GeneArt遺伝子合成の場合:
まず100 ng/µLストックを作成します。さらに100 ng/µLストックを1 µL分取し 99 µLのNuclease free waterで希釈すると1 ng/µLのテンプレートDNAの調製ができます。
3. PCR反応
以下のサーマルサイクル条件でPCR反応を行います。
| サイクルステップ | 温度 | 時間 | サイクル数 |
| 熱変性 | 98 ℃ | 30秒 | 1 |
| 熱変性 | 98 ℃ | 10秒 | 35 |
| アニーリング | 60 ℃ | 10秒 | |
| 伸長 | 72 ℃ | 35秒 | |
| 伸長 | 72 ℃ | 5分 | 1 |
| 4 ℃ | ホールド |
4.(オプション)
1 µLのAnza 10 DpnI (製品番号: IVGN0106)を添加し、37 ℃で15分間インキュベートします。
注:大腸菌から精製したベクターDNAテンプレートを分解できます。GeneArt 遺伝子合成で注文したDNAテンプレートに利用できます。GeneArt Fragmentでは利用できません。
5. PCR産物のチェック
PCR産物を電気泳動し、目的のサイズの産物が増幅していることを確認します。
PCR産物はPureLink PCR Purification Kit(製品番号: K310001)で精製することをお勧めしています。精製後、Thermo Scientific™ NanoDrop™微量分光光度計などで濃度測定し、濃度調整を行います。PCR産物は IVT反応(20 µLの反応系)あたり 約500 ng分を使用します。
まとめ
in vitro転写(IVT)は、プラスミドDNAやPCR産物を鋳型としてRNAを合成する手法です。合成したRNAの収量、安定性、細胞内での翻訳効率の向上ためにDNAテンプレート配列のデザインは重要な役割を果たします。発現するCDS(Coding Sequence、コーディング領域)と相性のよいUTRやKozak配列などのコンポーネンツの選択も重要です。『遺伝子合成とPCR法を組み合わせた方法 』では、こうした配列の最適化も短期間に低コストで行えるため、多くの組み合わせを試すことができます。
また小規模なIVTで、さまざまな配列の異なるDNAテンプレートでスループット性の高いRNA合成を行う際のテンプレート調製にも適しています。
PCRを組み合わせることで、DNAテンプレートにPoly(A)テール鋳型配列を簡単に付加することができることも優位点として挙げられます。
これからIVTをはじめられる場合や、あらたにテンプレートDNAのデザイン検討を行う際に『遺伝子合成とPCR法を組み合わせた方法』を検討されることをお勧めします。
| 製品名 | サイズ | 製品番号 |
| mMESSAGE mMACHINE T7 mRNA Kit with CleanCap Reagent AG |
50反応 | A57620 |
| 1,000反応 | A57621 | |
| Invitrogen™ MegaScript™ T7 Transcription Kit Plus | 50反応 | A57622 |
| 1,000反応 | A57623 | |
| Platinum SuperFi II Green PCR Master Mix | 100反応 | 12369010 |
| Invitrogen™ Platinum™ SuperFi™ II PCR Master Mix | 100反応 | 12368010 |
| Anza 10 DpnI | 800 units | IVGN0106 |
| PureLink PCR Purification Kit | 50反応 | K310001 |
| Poly(A) Tailing Kit | 25反応 | AM1350 |
| Invitrogen™ MEGAclear™ Transcription Clean-Up Kit | 20反応 | AM1908 |
GeneArt遺伝子合成およびタンパク質合成サービス(Webオーダー)
|
||
DNA/RNAリファレンスガイドPDF版 無料ダウンロード
当社ではRNA抽出やリアルタイムPCR、他にも細胞培養、ウェスタンブロッティングなど、実際に実験(実習)を行いつつ学べる各種ハンズオントレーニングを開催しています。その中で今回のような実験結果もご紹介していますので、これから新しい実験を始められる方、より理解を深めたい方はぜひご参加ください!
今回の記事に関連するページ
- 従来品(Cap-0 キャップアナログ)をベースとした基本編
in vitro転写システムでRNA合成を行う際のポイント - 今だからこそin vitro転写システムのmRNA合成に再注目(1)翻訳効率高いCap-1構造のmRNAを高収量で合成!新製品mMESSAGE mMACHINE T7 mRNA Kit with CleanCap Reagent AGのご紹介
- 今だからこそin vitro転写システムのmRNA合成に再注目(3)
プラスミドDNAテンプレートの構築は 遺伝子合成で大幅に省力化
研究用にのみ使用できます。診断用には使用いただけません。
CleanCap is a trademark of TriLink BioTechnologies.




