Hamburger Menu Button
Thermo Fisher Scientific Logo
登录
没有账号?建立账号 注册
  • 产品
    • 抗体
    • 引物合成
    • GeneArt Gene Synthesis Instant Designer
    • TaqMan Assay and Array Search
    • PCR 设备和耗材
    • 色谱柱和纯化柱
    • 实验室离心机
    • 分子生物学试剂和试剂盒
    • 实验室塑料耗材及用品
    • 查看所有产品分类
  • 应用和技术
    • 色谱
    • 细胞转染和培养
    • 实时荧光定量PCR
    • 质谱
    • 实验室塑料耗材及用品
    • 电子显微镜
    • 蛋白质生物学
    • PCR
    • RNAi
    • 环境
    • 查看所有应用和技术
  • 服务
    • 定制服务
    • 企业级实验室信息化服务
    • 金融&租赁服务
    • 仪器服务
    • OEM和商业供应
    • 培训服务
    • 360° CDMO 和 CRO 服务
    • CDMO 服务
    • 临床试验 CRO 服务
    • Unity Lab Services
    • 查看所有帮助和支持
  • 帮助和支持
    • 学习中心
    • 联系我们
    • 更改国家或地区
    • 查看所有帮助和支持
  • 热门产品
    • TaqMan Real-Time PCR Assays
      TaqMan 实时荧光定量 PCR 试剂盒
    • Antibodies
      抗体
    • Oligos, Primers & Probes
      寡核苷酸、引物、探针
    • GeneArt Gene Synthesis
      GeneArt 基因合成
    • Cell Culture Plastics
      细胞培养耗材
  • Who We Serve
    • 抗体治疗解决方案
    • 细胞与基因治疗解决方案
    • 学术科研
    • 工业与应用
  • 联系我们
  • 货号直购
  • 订单查询
  • 查找文件&证书
Thermo Fisher Scientific Logo

Search

搜索全部或下列指定分类
Search button
          • 联系我们
          • 货号直购
          • 登录
            登录
            没有账号?建立账号 注册
            • 我的账号
            • 订单
            • 账单及发票查询
            • 定制产品及项目
          • Primary Antibodies ›
          • Calmodulin Antibodies

          Invitrogen

          Calmodulin Polyclonal Antibody

          查看其他18个Calmodulin抗体

          {{$productOrderCtrl.translations['antibody.pdp.commerceCard.promotion.promotions']}}

          {{$productOrderCtrl.translations['antibody.pdp.commerceCard.promotion.viewpromo']}}

          {{$productOrderCtrl.translations['antibody.pdp.commerceCard.promotion.promocode']}}: {{promo.promoCode}} {{promo.promoTitle}} {{promo.promoDescription}}. {{$productOrderCtrl.translations['antibody.pdp.commerceCard.promotion.learnmore']}}

          说明书
          证书
          实验方案
          问题与答案
          技术支持
          说明书
          证书
          实验方案
          问题与答案
          技术支持
          说明书
          证书
          实验方案
          问题与答案
          技术支持

          Cite Calmodulin Polyclonal Antibody

          Additional Information:
          {{banner.description}}
          {{$ctrl.isSkuNotesCollapsed ? 'View more' : 'View less'}}
          • 抗体检测数据 (3)
          Calmodulin Antibody in Immunohistochemistry (Paraffin) (IHC (P))
          Group 53 Created with Sketch.
          Calmodulin Antibody in Immunohistochemistry (Paraffin) (IHC (P))
          Group 53 Created with Sketch.

          图: 1 / 3

          {{ $ctrl.currentElement.advancedVerification.fullName }}
          {{ $ctrl.currentElement.advancedVerification.text }}

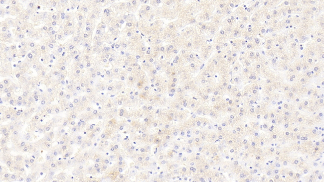
          Calmodulin Antibody (PA5150143) in IHC (P)

          Immunohistochemistry analysis of Calmodulin in paraffin-embedded Human Liver tissue. Samples were incubated with Calmodulin Polyclonal (Product # PA5150143) antibody using a dilution of 20 µg/mL, followed by HRP-Linked Caprine Anti-Rabbit IgG (2 µg/mL) and DAB. {{ $ctrl.currentElement.advancedVerification.fullName }} 验证信息 View more
          已发表图片由___提供 benchsci-logo
          PMID: {{$ctrl.currentElement.benchSciPubmedId}}
          查看产品

          {{$ctrl.videoDesc}}

          {{$ctrl.videoLongDesc}}

          Calmodulin Antibody in Immunohistochemistry (Paraffin) (IHC (P))
          Calmodulin Antibody in Western Blot (WB)
          Calmodulin Antibody in Western Blot (WB)
          Calmodulin Polyclonal Antibody

          产品信息

          PA5150143

          应用
          建议稀释比
          已发表文章

          免疫印迹 (WB)

          0.5-2 µg/mL
          -

          免疫组化(石蜡) (IHC (P))

          5-20 µg/mL
          -

          免疫细胞化学 (ICC/IF)

          5-20 µg/mL
          -
          产品规格

          种属反应

          Human, Mouse, Pig, Rat

          宿主/亚型

          Rabbit

          分类

          Polyclonal

          类型

          Antibody

          抗原

          Recombinant Calmodulin 1 (CALM1) (Met1-Lys149)
          3D表位/免疫原

          偶联物

          Unconjugated Unconjugated Unconjugated

          形式

          Liquid

          浓度

          0.5 mg/mL

          规格

          100 µg

          纯化类型

          Protein A

          保存液

          PBS, pH 7.4, with 50% glycerol

          内含物

          0.05% ProClin 300

          保存条件

          Store at 4°C short term. For long term storage, store at -20°C, avoiding freeze/thaw cycles.

          运输条件

          Ambient (domestic); Wet ice (international)

          RRID

          AB_3716178

          靶标信息

          Calmodulin mediates the control of a large number of enzymes, ion channels, aquaporins and other proteins by Ca2+. Among the enzymes to be stimulated by the calmodulin-Ca2+ complex are a number of protein kinases and phosphatases. Together with CCP110 and centrin, is involved in a genetic pathway that regulates the centrosome cycle and progression through cytokinesis. Calmodulin is a small, highly conserved calcium binding protein found in all eukaryotic cells. With the capacity to bind up to four calcium ions, this 17 kDa protein acts as an important intracellular receptor for regulatory calcium signals. As it binds calcium, calmodulin undergoes conformational changes which can increase its affinity for target proteins. It acts both directly, through interaction with key target enzymes, and indirectly, via specific kinases. Studies have found that calmodulin participates in the regulation of several biological processes including energy and biosynthetic metabolism, cell motility, exocytosis, cytoskeletal assembly, and intracellular modulation of both cAMP and calcium concentrations. Calmodulin is the archetype of the family of calcium-modulated proteins of which nearly 20 members have been found. They are identified by their occurrence in the cytosol or on membranes facing the cytosol and by a high affinity for calcium. Calmodulin contains 149 amino acids and has 4 calcium-binding domains. Its functions include roles in growth and the cell cycle as well as in signal transduction and the synthesis and release of neurotransmitters.

          仅用于科研。不用于诊断过程。未经明确授权不得转售。

          篇参考文献 (0)

          您是否在文献中引用过该产品?请点击下方按钮邮件告知我们。
          引用该产品

          生物信息学

          蛋白别名: calcium binding gene, DD112; Calcium-binding protein Dd112; CALM 1; CALM2; calmodulin; Calmodulin 1 (phosphorylase kinase, delta); calmodulin 2 (phosphorylase kinase, delta); calmodulin 5; Calmodulin III; Calmodulin-1; Calmodulin-2; Calmodulin-3; Calmodulin-4; caM; CAMI; DD312; epididymis secretory protein Li 72; LP7057 protein; phosphorylase kinase delta; phosphorylase kinase subunit delta; phosphorylase kinase subunit delta 1; phosphorylase kinase subunit delta 2; phosphorylase kinase subunit delta 3; phosphorylase kinase, delta subunit; prepro-calmodulin 1; prepro-calmodulin 2; prepro-calmodulin 3; skin calmodulin-related factor; unnamed protein product

          查看更多 收起

          基因别名: 1500001E21Rik; 2310037J09Rik; AI256814; AI327027; AI461935; AI649108; AL024000; AL024017; AY314008; CALM; CALM1; CALM2; CALM3; Calm4; CALML2; CAM; CAM1; CAM2; CAM3; CaMA; CAMB; CAMC; CAMI; CAMII; CAMIII; CPVT4; CPVT6; DD112; DD132; HEL-S-72; LQT14; LQT15; LQT16; PHKD; PHKD1; PHKD2; PHKD3; R75142; RNCAMIII; Scarf; Scarf2

          查看更多 收起

          UniProt ID: (Human) P0DP23, (Rat) P0DP29, (Mouse) P0DP26, (Mouse) P0DP27, (Rat) P0DP31, (Mouse) Q9JM83

          查看更多 收起

          Entrez Gene ID: (Human) 801, (Pig) 100154056, (Human) 805, (Pig) 100522926, (Pig) 396838, (Human) 808, (Rat) 24242, (Mouse) 12313, (Rat) 50663, (Mouse) 12314, (Rat) 24244, (Mouse) 12315, (Mouse) 80796, (Mouse) 494124

          查看更多 收起

          功能
          calcium channel regulator activity calcium ion binding protein binding adenylate cyclase activator activity calcium channel inhibitor activity protein kinase binding titin binding protein serine/threonine kinase activator activity ion channel binding metal ion binding calcium-dependent protein binding protein phosphatase activator activity transporter inhibitor activity adenylate cyclase binding protein domain specific binding nitric-oxide synthase regulator activity type 3 metabotropic glutamate receptor binding phosphatidylinositol 3-kinase binding nitric-oxide synthase binding enzyme regulator activity thioesterase binding N-terminal myristoylation domain binding phospholipase binding protein N-terminus binding molecular_function calmodulin-related
          参与通路
          G2/M transition of mitotic cell cycle regulation of heart rate detection of calcium ion G-protein coupled receptor signaling pathway JAK-STAT cascade regulation of release of sequestered calcium ion into cytosol by sarcoplasmic reticulum regulation of cardiac muscle contraction by regulation of the release of sequestered calcium ion autophagosome membrane docking substantia nigra development regulation of cytokinesis cellular response to interferon-beta positive regulation of JAK-STAT cascade regulation of calcium-mediated signaling response to calcium ion regulation of cardiac muscle contraction long-term synaptic potentiation regulation of ryanodine-sensitive calcium-release channel activity negative regulation of ryanodine-sensitive calcium-release channel activity cellular response to interferon-gamma calcineurin-mediated signaling regulation of cardiac muscle cell action potential organelle localization by membrane tethering presynaptic endocytosis negative regulation of high voltage-gated calcium channel activity regulation of cell communication by electrical coupling involved in cardiac conduction negative regulation of calcium ion export across plasma membrane mitochondrion-ER tethering response to amphetamine response to corticosterone establishment of protein localization to membrane establishment of protein localization to mitochondrial membrane regulation of synaptic vesicle endocytosis regulation of synaptic vesicle exocytosis activation of adenylate cyclase activity calcium-mediated signaling positive regulation of cyclic nucleotide metabolic process positive regulation of phosphoprotein phosphatase activity positive regulation of protein dephosphorylation positive regulation of DNA binding positive regulation of nitric-oxide synthase activity positive regulation of cyclic-nucleotide phosphodiesterase activity positive regulation of ryanodine-sensitive calcium-release channel activity regulation of store-operated calcium channel activity regulation of high voltage-gated calcium channel activity regulation of catalytic activity biological_process
          It has to be done as per old AB suggested Products section.

          Disclaimer

          Close

          Clicking the images or links will redirect you to a website hosted by BenchSci that provides third-party scientific content. Neither the content nor the BenchSci technology and processes for selection have been evaluated by us; we are providing them as-is and without warranty of any kind, including for use or application of the Thermo Fisher Scientific products presented.

          guarantee_icon

          性能保障

          只要您发现Invitrogen抗体在实验中的表现与网站或说明书的所述内容不符,您即可享受免费退换货服务。*

          了解更多
          help_icon

          随时为您服务

          获取常见问题的专家解答,或者直接联系我们的技术专家,咨询应用、设备、常规产品使用问题。

          联系技术支持
          订购 Plus Icon Minus Icon
          • 订单状态查询
          • 订单支持
          • 货号直购
          • 现货供应中心
          • 电子采购
          支持 Plus Icon Minus Icon
          • 帮助&支持
          • 联系我们 - 400 820 8982
          • 技术支持中心
          • 查找文件&证书
          • 报告网站问题
          资源 Plus Icon Minus Icon
          • 学习中心
          • 促销
          • 活动&研讨会
          • 社交媒体
          关于赛默飞 Plus Icon Minus Icon
          • 关于我们
          • 招聘 招聘
          • 投资者关系 投资者关系
          • 新闻 新闻
          • 社会责任 社会责任
          • 商标
          • 政策和通知
          品牌 Plus Icon Minus Icon
          • Thermo Scientific
          • Applied Biosystems
          • Invitrogen
          • Gibco
          • Ion Torrent
          • Unity Lab Services
          • Patheon
          • PPD
          • 服务条款
          • 隐私政策
          • 定价和运输保险政策
          © 2006-2026 Thermo Fisher Scientific Inc. All rights reserved. All trademarks are the property of Thermo Fisher Scientific and its subsidiaries unless otherwise specified.
          China flag icon
          China
          本网站销售的所有产品均不得用于人类或动物之临床诊断或治疗,仅可用于工业或者科研等非医疗目的。
             电子营业执照 | 经营证照公示 | ICP备案号:沪ICP备11003924号 | 沪公网安备 31011502006935号

          Your items have has been added!


          Host server : magellan-search-green-6b469b8bb7-msbq7:80/100.66.78.64:80.
          git-commit: a334af76dff23450325448aedefe62379591458a
          git-url: https://github.com/thermofisher/magellan-search
          git-branch: release/2.48.1-2026.04.16-1.0