Hamburger Menu Button
Thermo Fisher Scientific Logo
Sign in
Don't have an account ? Create Account
  • Products
    • Antibodies
    • Custom DNA Oligos
    • GeneArt Gene Synthesis Instant Designer
    • TaqMan Assay and Array Search
    • PCR Equipment and Supplies
    • Chromatography Columns and Cartridges
    • Lab Centrifuges
    • Molecular Biology Reagents and Kits
    • Lab Plasticware and Supplies
    • See all product categories
  • Applications
    • Chromatography
    • Cell Culture
    • Real-Time PCR
    • Mass Spectrometry
    • Lab Plasticware and Supplies
    • Electron Microscopy
    • Protein Biology
    • PCR
    • RNAi
    • Environmental
    • See all applications and techniques
  • Services
    • Custom Services
    • Enterprise-Level Lab Informatics
    • Enterprise Services
    • Financial and Leasing Services
    • Instrument Services
    • OEM and Commercial Supply
    • Training Services
    • 360° CDMO and CRO Solutions
    • CDMO Services
    • CRO Services
    • See all services
  • Help and Support
    • Learning Centers
    • Contact Us
    • Change Location
    • See all help and support topics
  • Popular
    • TaqMan Real-Time PCR Assays
      TaqMan Real-Time PCR Assays
    • Antibodies
      Antibodies
    • Oligos, Primers & Probes
      Oligos, Primers & Probes
    • GeneArt Gene Synthesis
      GeneArt Gene Synthesis
    • Cell Culture Plastics
      Cell Culture Plastics
  • Contact Us
  • Quick Order
  • Order Status and Tracking
  • Documents and Certificates
Thermo Fisher Scientific Logo

Search

Search All
Search button
          • Contact Us
          • Quick Order
          • Sign in
            Sign in
            Don't have an account ? Create Account
            • Account
            • Check Order Status
            • AR Statement & Invoice Inquiry
            • Custom Products & Projects
            • Instrument Management

          Disclaimer

          Clicking the images or links will redirect you to a website hosted by BenchSci that provides third-party scientific content. Neither the content nor the BenchSci technology and processes for selection have been evaluated by us; we are providing them as-is and without warranty of any kind, including for use or application of the Thermo Fisher Scientific products presented.

          • Primary Antibodies ›
          • SCO2 Antibodies

          Proteintech

          SCO2 Polyclonal Antibody

          9 References
          View all (9) SCO2 antibodies

          {{$productOrderCtrl.translations['antibody.pdp.commerceCard.promotion.promotions']}}

          {{$productOrderCtrl.translations['antibody.pdp.commerceCard.promotion.viewpromo']}}

          {{$productOrderCtrl.translations['antibody.pdp.commerceCard.promotion.promocode']}}: {{promo.promoCode}} {{promo.promoTitle}} {{promo.promoDescription}}. {{$productOrderCtrl.translations['antibody.pdp.commerceCard.promotion.learnmore']}}

          Datasheet
          Certificates
          Protocols
          Questions & Answers
          Tech Support
          Datasheet
          Certificates
          Protocols
          Questions & Answers
          Tech Support
          Datasheet
          Certificates
          Protocols
          Questions & Answers
          Tech Support

          Cite SCO2 Polyclonal Antibody

          • Antibody Testing Data (7)
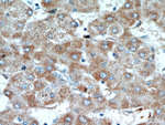
          SCO2 Antibody in Immunohistochemistry (Paraffin) (IHC (P))
          Group 53 Created with Sketch.
          SCO2 Antibody in Immunohistochemistry (Paraffin) (IHC (P))
          Group 53 Created with Sketch.

          FIGURE: 1 / 7

          {{ $ctrl.currentElement.advancedVerification.fullName }}
          {{ $ctrl.currentElement.advancedVerification.text }}

          SCO2 Antibody (21223-1-AP) in IHC (P)

          Immunohistochemistry of paraffin-embedded human hepatocirrhosis using 21223-1-AP (SCO2 antibody) at dilution of 1:100 (under 40x lens). {{ $ctrl.currentElement.advancedVerification.fullName }} validation info. View more
          Published figure supplied by benchsci-logo
          PMID: {{$ctrl.currentElement.benchSciPubmedId}}
          View Product

          {{$ctrl.videoDesc}}

          {{$ctrl.videoLongDesc}}

          SCO2 Antibody in Immunohistochemistry (Paraffin) (IHC (P))
          SCO2 Antibody in Immunohistochemistry (Paraffin) (IHC (P))
          SCO2 Antibody in Immunohistochemistry (Paraffin) (IHC (P))
          SCO2 Antibody in Immunohistochemistry (Paraffin) (IHC (P))
          SCO2 Antibody in Western Blot (WB)
          SCO2 Antibody in Western Blot (WB)
          SCO2 Antibody in Western Blot (WB)
          SCO2 Polyclonal Antibody

          Product Details

          21223-1-AP

          Applications
          Tested Dilution
          Publications

          Western Blot (WB)

          1:500-1:1,000
          View 7 publications 7 publications

          Immunohistochemistry (IHC)

          -
          View 2 publications 2 publications

          Immunohistochemistry (Paraffin) (IHC (P))

          1:20-1:200
          -
          Product Specifications

          Species Reactivity

          Human

          Published species

          Human, Mouse

          Host/Isotype

          Rabbit / IgG

          Class

          Polyclonal

          Type

          Antibody

          Immunogen

          SCO2 Fusion Protein Ag15663 (1-266 aa encoded by BC102025)
          View immunogen

          Conjugate

          Unconjugated Unconjugated Unconjugated

          Form

          Liquid

          Concentration

          0.22 mg/mL

          Purification

          Antigen affinity chromatography

          Storage buffer

          PBS, pH 7.3, with 50% glycerol

          Contains

          0.02% sodium azide

          Storage conditions

          -20°C

          Shipping conditions

          Wet ice (domestic); Dry ice (international)

          Product Specific Information

          Immunogen sequence: MLLLTRSPT AWHRLSQLKP RVLPGTLGGQ ALHLRSWLLS RQGPAETGGQ GQPQGPGLRT RLLITGLFGA GLGGAWLALR AEKERLQQQK RTEALRQAAV GQGDFHLLDH RGRARCKADF RGQWVLMYFG FTHCPDICPD ELEKLVQVVR QLEAEPGLPP VQPVFITVDP ERDDVEAMAR YVQDFHPRLL GLTGSTKQVA QASHSYRVYY NAGPKDEDQD YIVDHSIAIY LLNPDGLFTD YYGRSRSAEQ ISDSVRRHMA AFRSVLS (1-266 aa encoded by BC102025)

          Target Information

          Synthesis of cytochrome c oxidase 2 was initially identified in yeast as one of two cytochrome c oxidase (COX) assembly proteins that enable the assembly of cytochrome c holoenzyme, a complex that catalyzes the transfer of reducing equivalents from cytochrome c to molecular oxygen and pumps protons across the inner mitochondrial membrane. Like their yeast homologs, the function of both SCO2 and SCO1 are dependent on copper ion binding. Recent studies suggest that SCO2 expression is regulated by p53, so that a decrease in p53 expression, such as in numerous tumors and cells lines, the drop in SCO2 expression leads to a shift from normal aerobic respiration towards the production of glycolytic ATP. Defects in the SCO2 protein are also associated with fatal infantile cardioencephalomyopathy and COX deficiency.

          For Research Use Only. Not for use in diagnostic procedures. Not for resale without express authorization.

          Bioinformatics

          Protein Aliases: Protein SCO2 homolog, mitochondrial; SCO cytochrome oxidase deficient homolog 2

          View more View less

          Gene Aliases: CEMCOX1; MYP6; SCO1L; SCO2

          View more View less

          UniProt ID: (Human) O43819

          View more View less

          Entrez Gene ID: (Human) 9997

          View more View less

          Function(s)
          copper ion binding protein binding oxidase
          Process(es)
          eye development in utero embryonic development muscle system process copper ion transport cellular copper ion homeostasis respiratory chain complex IV assembly response to activity respiratory electron transport chain cell redox homeostasis oxidation-reduction process
          It has to be done as per old AB suggested Products section.
          guarantee_icon

          Performance Guarantee

          If an Invitrogen™ antibody doesn't perform as described on our website or datasheet,we'll replace the product at no cost to you, or provide you with a credit for a future purchase.*

          Learn more
          help_icon

          We're here to help

          Get expert recommendations for common problems or connect directly with an on staff expert for technical assistance related to applications, equipment and general product use.

          Contact tech support
          Ordering Plus Icon Minus Icon
          • Order Status
          • Order Help
          • Quick Order
          • Supply Center
          • eProcurement
          Support Plus Icon Minus Icon
          • Help and Support
          • Contact Us - 400 820 8982
          • Technical Support Centers
          • Documents and Certificates
          • Report a Site Issue
          Resources Plus Icon Minus Icon
          • Learning Centers
          • Promotions
          • Events and Webinars
          • Social Media
          About Thermo Fisher Plus Icon Minus Icon
          • About Us About Us
          • Careers Careers
          • Investors Investors
          • News News
          • Social Responsibility Social Responsibility
          • Trademarks
          • Policies and Notices
          Our Portfolio Plus Icon Minus Icon
          • Thermo Scientific
          • Applied Biosystems
          • Invitrogen
          • Gibco
          • Ion Torrent
          • Patheon
          • PPD
          • Terms & Conditions
          • Privacy Policy
          • Price & Freight Policy
          © 2006-2026 Thermo Fisher Scientific Inc. All rights reserved. All trademarks are the property of Thermo Fisher Scientific and its subsidiaries unless otherwise specified.
          China flag icon
          China
          本网站销售的所有产品均不得用于人类或动物之临床诊断或治疗,仅可用于工业或者科研等非医疗目的。
             电子营业执照 | 经营证照公示 | ICP备案号:沪ICP备11003924号 | 沪公网安备 31011502006935号

          Your items have has been added!


          Host server : magellan-search-blue-55ff9ddd88-lffdw:80/100.66.79.31:80.
          git-commit: d366ff9721d93504b2ac26a183b2b3e3d0e7d9ec
          git-url: https://github.com/thermofisher/magellan-search
          git-branch: release/2.42.0-2026.01.03-1.0