Hamburger Menu Button
Thermo Fisher Scientific Logo
登录
没有账号?建立账号 注册
  • 产品
    • 抗体
    • 引物合成
    • GeneArt Gene Synthesis Instant Designer
    • TaqMan Assay and Array Search
    • PCR 设备和耗材
    • 色谱柱和纯化柱
    • 实验室离心机
    • 分子生物学试剂和试剂盒
    • 实验室塑料耗材及用品
    • 查看所有产品分类
  • 应用和技术
    • 色谱
    • 细胞转染和培养
    • 实时荧光定量PCR
    • 质谱
    • 实验室塑料耗材及用品
    • 电子显微镜
    • 蛋白质生物学
    • PCR
    • RNAi
    • 环境
    • 查看所有应用和技术
  • 服务
    • 定制服务
    • 企业级实验室信息化服务
    • 金融&租赁服务
    • 仪器服务
    • OEM和商业供应
    • 培训服务
    • 360° CDMO 和 CRO 服务
    • CDMO 服务
    • 临床试验 CRO 服务
    • Unity Lab Services
    • 查看所有帮助和支持
  • 帮助和支持
    • 学习中心
    • 联系我们
    • 更改国家或地区
    • 查看所有帮助和支持
  • 热门产品
    • TaqMan Real-Time PCR Assays
      TaqMan 实时荧光定量 PCR 试剂盒
    • Antibodies
      抗体
    • Oligos, Primers & Probes
      寡核苷酸、引物、探针
    • GeneArt Gene Synthesis
      GeneArt 基因合成
    • Cell Culture Plastics
      细胞培养耗材
  • Who We Serve
    • 抗体治疗解决方案
    • 细胞与基因治疗解决方案
    • 学术科研
    • 工业与应用
  • 联系我们
  • 货号直购
  • 订单查询
  • 查找文件&证书
Thermo Fisher Scientific Logo

Search

搜索全部或下列指定分类
Search button
          • 联系我们
          • 货号直购
          • 登录
            登录
            没有账号?建立账号 注册
            • 我的账号
            • 订单
            • 会员中心
            • 账单及发票查询
            • 定制产品及项目
          • Primary Antibodies ›
          • ADAM17 Antibodies

          Invitrogen

          ADAM17 Monoclonal Antibody (C7)

          查看其他17个ADAM17抗体

          {{$productOrderCtrl.translations['antibody.pdp.commerceCard.promotion.promotions']}}

          {{$productOrderCtrl.translations['antibody.pdp.commerceCard.promotion.viewpromo']}}

          {{$productOrderCtrl.translations['antibody.pdp.commerceCard.promotion.promocode']}}: {{promo.promoCode}} {{promo.promoTitle}} {{promo.promoDescription}}. {{$productOrderCtrl.translations['antibody.pdp.commerceCard.promotion.learnmore']}}

          说明书
          证书
          实验方案
          问题与答案
          技术支持
          说明书
          证书
          实验方案
          问题与答案
          技术支持
          说明书
          证书
          实验方案
          问题与答案
          技术支持

          Cite ADAM17 Monoclonal Antibody (C7)

          Additional Information:
          {{banner.description}}
          {{$ctrl.isSkuNotesCollapsed ? 'View more' : 'View less'}}
          • 抗体检测数据 (6)
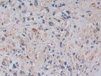
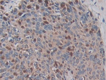
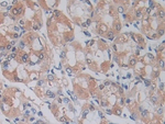
          ADAM17 Antibody in Immunohistochemistry (Paraffin) (IHC (P))
          Group 53 Created with Sketch.
          ADAM17 Antibody in Immunohistochemistry (Paraffin) (IHC (P))
          Group 53 Created with Sketch.

          图: 1 / 6

          {{ $ctrl.currentElement.advancedVerification.fullName }}
          {{ $ctrl.currentElement.advancedVerification.text }}

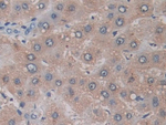
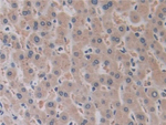
          ADAM17 Antibody (MA565986) in IHC (P)

          Immunohistochemistry analysis of ADAM17 in paraffin-embedded Human Prostate cancer tissue. Samples were incubated with ADAM17 Monoclonal (Product # MA565986) antibody using a dilution of 30 µg/mL, followed by HRP-Linked Caprine Anti-Mouse IgG (2 µg/mL) and DAB. {{ $ctrl.currentElement.advancedVerification.fullName }} 验证信息 View more
          已发表图片由___提供 benchsci-logo
          PMID: {{$ctrl.currentElement.benchSciPubmedId}}
          查看产品

          {{$ctrl.videoDesc}}

          {{$ctrl.videoLongDesc}}

          ADAM17 Antibody in Immunohistochemistry (Paraffin) (IHC (P))
          ADAM17 Antibody in Immunohistochemistry (Paraffin) (IHC (P))
          ADAM17 Antibody in Immunohistochemistry (Paraffin) (IHC (P))
          ADAM17 Antibody in Immunohistochemistry (Paraffin) (IHC (P))
          ADAM17 Antibody in Immunohistochemistry (Paraffin) (IHC (P))
          ADAM17 Antibody in Immunohistochemistry (Paraffin) (IHC (P))
          ADAM17 Monoclonal Antibody (C7)

          产品信息

          MA565986

          应用
          建议稀释比
          已发表文章

          免疫组化(石蜡) (IHC (P))

          5-30 µg/mL
          -
          产品规格

          种属反应

          Human, Mouse, Rat

          宿主/亚型

          Mouse / IgG2b, kappa

          分类

          Monoclonal

          类型

          Antibody

          克隆号

          C7

          抗原

          Recombinant A Disintegrin And Metalloprotease 17 (ADAM17) (Lys226-Arg473)
          3D表位/免疫原

          偶联物

          Unconjugated Unconjugated Unconjugated

          形式

          Liquid

          浓度

          1 mg/mL

          规格

          200 µg

          纯化类型

          Protein A/G

          保存液

          PBS, pH 7.4, with 50% glycerol

          内含物

          0.05% ProClin 300

          保存条件

          Store at 4°C short term. For long term storage, store at -20°C, avoiding freeze/thaw cycles.

          运输条件

          Ambient (domestic); Wet ice (international)

          RRID

          AB_3715134

          靶标信息

          ADAM17 (disintegrin and metalloproteinase domain-containing protein 17) cleaves the membrane bound precusor of TNF-alpha to its mature soluble form. ADAM 17 is responsbile for the proteolytical release of soluble JAM3 from endothelial cells surface and the proteolytic release of several other cell-surface proteins, including p75 TNF-receptor, interleukin receptor type II, p55 TNF-receptor, transforming growth factor-alpha, L-selectin, growth hormone receptor, MUC1, and the amyloid precursor protein. It acts as an activator of the Notch pathway by mediating cleavage of Notch and generating the membrane-associated intermediate fragment called Notch extracellular truncation (NEXT). Mutations in the gene can result in inflammatory skin and bowel disease, neonatal 1.

          仅用于科研。不用于诊断过程。未经明确授权不得转售。

          篇参考文献 (0)

          您是否在文献中引用过该产品?请点击下方按钮邮件告知我们。
          引用该产品

          生物信息学

          蛋白别名: a disintegrin and metallopeptidase domain 17; a disintegrin and metalloprotease domain 17; a disintegrin and metalloproteinase; a disintegrin and metalloproteinase 17; a disintegrin and metalloproteinase domain 17; a disintegrin and metalloproteinase domain 17 (tumor necrosis factor, alpha, converting enzyme); ADAM; ADAM 17; ADAM metallopeptidase domain 18; ADAMs; cartilage snake venom-like protease; CD156b; CD156b antigen; Disintegrin and metalloproteinase domain-containing protein 17; metalloendopeptidases; Snake venom-like protease; TNF-alpha convertase; TNF-alpha convertase enzyme; TNF-alpha converting enzyme; TNF-alpha-converting enzyme; tumor necrosis factor, alpha, converting enzyme; tumor overexpression; unnamed protein product

          查看更多 收起

          基因别名: ADAM17; ADAM18; CD156B; CSVP; NISBD; NISBD1; TACE

          查看更多 收起

          UniProt ID: (Human) P78536, (Mouse) Q9Z0F8, (Rat) Q9Z1K9

          查看更多 收起

          Entrez Gene ID: (Human) 6868, (Mouse) 11491, (Rat) 57027

          查看更多 收起

          功能
          endopeptidase activity metalloendopeptidase activity Notch binding interleukin-6 receptor binding integrin binding protein binding peptidase activity metallopeptidase activity hydrolase activity SH3 domain binding cytokine binding PDZ domain binding tumor necrosis factor binding metal ion binding metallodipeptidase activity metalloendopeptidase activity involved in amyloid precursor protein catabolic process zinc ion binding protease
          参与通路
          response to hypoxia neutrophil mediated immunity germinal center formation production of molecular mediator involved in inflammatory response positive regulation of leukocyte chemotaxis proteolysis membrane protein ectodomain proteolysis cell adhesion epidermal growth factor receptor signaling pathway Notch signaling pathway Notch receptor processing positive regulation of cell proliferation response to xenobiotic stimulus positive regulation of signal transduction positive regulation of T cell chemotaxis negative regulation of neuron projection development protein processing signal release B cell differentiation positive regulation of cell growth positive regulation of cell migration negative regulation of transforming growth factor beta receptor signaling pathway response to lipopolysaccharide positive regulation of chemokine production positive regulation of tumor necrosis factor production regulation of mast cell apoptotic process T cell differentiation in thymus cell adhesion mediated by integrin wound healing, spreading of epidermal cells amyloid precursor protein catabolic process protein kinase B signaling positive regulation of blood vessel endothelial cell migration positive regulation of epidermal growth factor receptor signaling pathway spleen development regulation of axon regeneration cell motility defense response to Gram-positive bacterium cellular response to high density lipoprotein particle stimulus commissural neuron axon guidance negative regulation of cold-induced thermogenesis cytokine precursor processing signaling receptor ligand precursor processing positive regulation of G1/S transition of mitotic cell cycle positive regulation of tumor necrosis factor-mediated signaling pathway positive regulation of vascular endothelial cell proliferation regulation of neuron migration positive regulation of protein phosphorylation positive regulation of transforming growth factor beta receptor signaling pathway positive regulation of cyclin-dependent protein serine/threonine kinase activity involved in G1/S transition of mitotic cell cycle epidermal growth factor-activated receptor transactivation by G-protein coupled receptor signaling pathway response to drug negative regulation of apoptotic process positive regulation of epidermal growth factor-activated receptor activity PMA-inducible membrane protein ectodomain proteolysis positive regulation of cellular component movement response to high density lipoprotein particle integrin-mediated signaling pathway negative regulation of interleukin-8 production
          It has to be done as per old AB suggested Products section.

          Disclaimer

          Close

          Clicking the images or links will redirect you to a website hosted by BenchSci that provides third-party scientific content. Neither the content nor the BenchSci technology and processes for selection have been evaluated by us; we are providing them as-is and without warranty of any kind, including for use or application of the Thermo Fisher Scientific products presented.

          guarantee_icon

          性能保障

          只要您发现Invitrogen抗体在实验中的表现与网站或说明书的所述内容不符,您即可享受免费退换货服务。*

          了解更多
          help_icon

          随时为您服务

          获取常见问题的专家解答,或者直接联系我们的技术专家,咨询应用、设备、常规产品使用问题。

          联系技术支持
          订购 Plus Icon Minus Icon
          • 订单状态查询
          • 订单支持
          • 货号直购
          • 现货供应中心
          • 电子采购
          支持 Plus Icon Minus Icon
          • 帮助&支持
          • 联系我们 - 400 820 8982
          • 技术支持中心
          • 查找文件&证书
          • 报告网站问题
          资源 Plus Icon Minus Icon
          • 学习中心
          • 促销
          • 活动&研讨会
          • 社交媒体
          关于赛默飞 Plus Icon Minus Icon
          • 关于我们
          • 招聘 招聘
          • 投资者关系 投资者关系
          • 新闻 新闻
          • 社会责任 社会责任
          • 商标
          • 政策和通知
          品牌 Plus Icon Minus Icon
          • Thermo Scientific
          • Applied Biosystems
          • Invitrogen
          • Gibco
          • Ion Torrent
          • Unity Lab Services
          • Patheon
          • PPD
          • 服务条款
          • 隐私政策
          • 定价和运输保险政策
          © 2006-2026 Thermo Fisher Scientific Inc. All rights reserved. All trademarks are the property of Thermo Fisher Scientific and its subsidiaries unless otherwise specified.
          China flag icon
          China
          本网站销售的所有产品均不得用于人类或动物之临床诊断或治疗,仅可用于工业或者科研等非医疗目的。
             电子营业执照 | 经营证照公示 | ICP备案号:沪ICP备11003924号 | 沪公网安备 31011502006935号

          Your items have has been added!


          Host server : magellan-search-green-6479c7f679-rv8h9:80/100.66.78.195:80.
          git-commit: b70c0dceb888abc3b0dcebb5bc3a5b8753e7e816
          git-url: https://github.com/thermofisher/magellan-search
          git-branch: release/2.50.0-Offline