Hamburger Menu Button
Thermo Fisher Scientific Logo
登录
没有账号?建立账号 注册
  • 产品
    • 抗体
    • 引物合成
    • GeneArt Gene Synthesis Instant Designer
    • TaqMan Assay and Array Search
    • PCR 设备和耗材
    • 色谱柱和纯化柱
    • 实验室离心机
    • 分子生物学试剂和试剂盒
    • 实验室塑料耗材及用品
    • 查看所有产品分类
  • 应用和技术
    • 色谱
    • 细胞转染和培养
    • 实时荧光定量PCR
    • 质谱
    • 实验室塑料耗材及用品
    • 电子显微镜
    • 蛋白质生物学
    • PCR
    • RNAi
    • 环境
    • 查看所有应用和技术
  • 服务
    • 定制服务
    • 企业级实验室信息化服务
    • 金融&租赁服务
    • 仪器服务
    • OEM和商业供应
    • 培训服务
    • 360° CDMO 和 CRO 服务
    • CDMO 服务
    • 临床试验 CRO 服务
    • Unity Lab Services
    • 查看所有帮助和支持
  • 帮助和支持
    • 学习中心
    • 联系我们
    • 更改国家或地区
    • 查看所有帮助和支持
  • 热门产品
    • TaqMan Real-Time PCR Assays
      TaqMan 实时荧光定量 PCR 试剂盒
    • Antibodies
      抗体
    • Oligos, Primers & Probes
      寡核苷酸、引物、探针
    • GeneArt Gene Synthesis
      GeneArt 基因合成
    • Cell Culture Plastics
      细胞培养耗材
  • Who We Serve
    • 抗体治疗解决方案
    • 细胞与基因治疗解决方案
    • 学术科研
    • 工业与应用
  • 联系我们
  • 货号直购
  • 订单查询
  • 查找文件&证书
Thermo Fisher Scientific Logo

Search

搜索全部或下列指定分类
Search button
          • 联系我们
          • 货号直购
          • 登录
            登录
            没有账号?建立账号 注册
            • 我的账号
            • 订单
            • 会员中心
            • 账单及发票查询
            • 定制产品及项目
          • Primary Antibodies ›
          • BAK Antibodies

          Invitrogen

          BAK1 Monoclonal Antibody (4C2)

          高级验证
          2 篇参考文献
          查看其他20个BAK抗体

          {{$productOrderCtrl.translations['antibody.pdp.commerceCard.promotion.promotions']}}

          {{$productOrderCtrl.translations['antibody.pdp.commerceCard.promotion.viewpromo']}}

          {{$productOrderCtrl.translations['antibody.pdp.commerceCard.promotion.promocode']}}: {{promo.promoCode}} {{promo.promoTitle}} {{promo.promoDescription}}. {{$productOrderCtrl.translations['antibody.pdp.commerceCard.promotion.learnmore']}}

          说明书
          证书
          实验方案
          问题与答案
          技术支持
          说明书
          证书
          实验方案
          问题与答案
          技术支持
          说明书
          证书
          实验方案
          问题与答案
          技术支持

          Cite BAK1 Monoclonal Antibody (4C2)

          Additional Information:
          {{banner.description}}
          {{$ctrl.isSkuNotesCollapsed ? 'View more' : 'View less'}}
          • 抗体检测数据 (16)
          • 高级验证 (1)
          BAK1 Antibody in Immunocytochemistry (ICC/IF)
          Group 53 Created with Sketch.
          BAK1 Antibody in Immunocytochemistry (ICC/IF)
          Group 53 Created with Sketch.

          图: 1 / 17

          {{ $ctrl.currentElement.advancedVerification.fullName }}
          {{ $ctrl.currentElement.advancedVerification.text }}

          BAK1 Antibody (MA5-36225) in ICC/IF

          Immunofluorescence analysis of BAK1 was performed using 70% confluent log phase A-431 cells. The cells were fixed with 4% paraformaldehyde for 10 minutes, permeabilized with 0.01% Triton™ X-100 for 15 minutes, and blocked with 2% BSA for 45 minutes at room temperature. The cells were labeled with BAK1 Monoclonal Antibody (4C2) (Product # MA5-36225) at 1:100 dilution in 0.1% BSA, incubated at 4 degree celsius overnight and then labeled with Goat anti-Mouse IgG (H+L) Superclonal™ Recombinant Secondary Antibody, Alexa Fluor® 488 conjugate (Pr... View More {{ $ctrl.currentElement.advancedVerification.fullName }} 验证信息 View more
          已发表图片由___提供 benchsci-logo
          PMID: {{$ctrl.currentElement.benchSciPubmedId}}
          查看产品

          {{$ctrl.videoDesc}}

          {{$ctrl.videoLongDesc}}

          BAK1 Antibody in Immunocytochemistry (ICC/IF)
          BAK1 Antibody in Immunocytochemistry (ICC/IF)
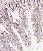
          BAK1 Antibody in Immunohistochemistry (Paraffin) (IHC (P))
          BAK1 Antibody in Immunohistochemistry (Paraffin) (IHC (P))
          BAK1 Antibody in Immunohistochemistry (Paraffin) (IHC (P))
          BAK1 Antibody in Immunohistochemistry (Paraffin) (IHC (P))
          BAK1 Antibody in Immunohistochemistry (Paraffin) (IHC (P))
          BAK1 Antibody in Immunohistochemistry (Paraffin) (IHC (P))
          BAK1 Antibody in Immunohistochemistry (Paraffin) (IHC (P))
          BAK1 Antibody in Immunohistochemistry (Paraffin) (IHC (P))
          BAK1 Antibody in Immunohistochemistry (Paraffin) (IHC (P))
          BAK1 Antibody in Immunohistochemistry (Paraffin) (IHC (P))
          BAK1 Antibody in Western Blot (WB)
          BAK1 Antibody in Western Blot (WB)
          BAK1 Antibody in Western Blot (WB)
          BAK1 Antibody in Flow Cytometry (Flow)
          BAK1 Antibody
          BAK1 Monoclonal Antibody (4C2)

          产品信息

          MA5-36225

          应用
          建议稀释比
          已发表文章

          免疫印迹 (WB)

          0.1-0.5 µg/mL
          查看1篇已发表文章 1篇已发表文章

          免疫组化(石蜡) (IHC (P))

          0.5-1 µg/mL
          -

          免疫细胞化学 (ICC/IF)

          2 µg/mL
          -

          流式细胞分析 (Flow)

          1-3 µg/1x10^6 cells
          -

          酶联免疫吸附实验 (ELISA)

          -
          查看1篇已发表文章 1篇已发表文章
          产品规格

          种属反应

          Human, Mouse, Rat

          已发表种属

          Human

          宿主/亚型

          Mouse / IgG2b

          分类

          Monoclonal

          类型

          Antibody

          克隆号

          4C2

          抗原

          E.coli-derived human BAK/BAK1 recombinant protein (Position: A22-S211).
          3D表位/免疫原

          偶联物

          Unconjugated Unconjugated Unconjugated

          形式

          Lyophilized

          浓度

          500 µg/mL

          规格

          100 µg

          纯化类型

          Antigen affinity chromatography

          保存液

          PBS with 4mg trehalose

          内含物

          0.05mg sodium azide

          保存条件

          -20°C

          运输条件

          Ambient (domestic); Wet ice (international)

          RRID

          AB_2884059

          产品详细信息

          Reconstitute with 0.2 mL of distilled water to yield a concentration of 500 µg/mL.

          Positive Control - WB: human 293T whole cell, human A431 whole cell, human THP-1 whole cell, human MCF-7 whole cell, human PC-3 whole cell. IHC: human intestinal cancer tissue, human mammary cancer tissue, human tonsil tissue, human lung cancer tissue, mouse intestine tissue, rat intestine tissue. ICC/IF: A431 cell. Flow: PC-3 cell.|Store at -20°C for one year from date of receipt. After reconstitution, at 4°C for one month. It can also be aliquotted and stored frozen at -20°C for six months. Avoid repeated freeze-thaw cycles.

          靶标信息

          The protein encoded by this gene belongs to the BCL2 protein family. BCL2 family members form oligomers or heterodimers and act as anti- or pro-apoptotic regulators that are involved in a wide variety of cellular activities. This protein localizes to mitochondria, and functions to induce apoptosis. It interacts with and accelerates the opening of the mitochondrial voltage-dependent anion channel, which leads to a loss in membrane potential and the release of cytochrome c. This protein also interacts with the tumor suppressor P53 after exposure to cell stress.

          仅用于科研。不用于诊断过程。未经明确授权不得转售。

          生物信息学

          蛋白别名: Apoptosis regulator BAK; ATBAK1; ATSERK3; BAK1; Bcl-2 homologous antagonist/killer; bcl-2 homologous antagonist/killer, isoform 2; bcl-2 homologous antagonist/killer, isoform 4; bcl-2 homologous antagonist/killer, isoform 5; Bcl-2-like protein 7; Bcl2 homologous antagonist/killer; Bcl2-L-7; BCL2-like 7 protein; BCL2-like 7protein; BRI1-associated receptor kinase; ELG; ELONGATED; F17M5.190; F17M5_190; MGC117255; MGC3887; pro-apoptotic protein BAK; RECEPTOR KINASES LIKE SERK 10; RKS10; SERK3; SOMATIC EMBRYOGENESIS RECEPTOR-LIKE KINASE 3; unnamed protein product

          查看更多 收起

          基因别名: BAK; BAK-LIKE; BAK1; BCL2L7; CDN1; N-Bak; N-BAK1

          查看更多 收起

          UniProt ID: (Human) Q16611, (Mouse) O08734

          查看更多 收起

          Entrez Gene ID: (Human) 578, (Mouse) 12018, (Rat) 116502

          查看更多 收起

          功能
          protein binding channel activity porin activity heat shock protein binding identical protein binding protein homodimerization activity ion channel binding macromolecular complex binding metal ion binding protein heterodimerization activity chaperone binding BH domain binding
          参与通路
          leukocyte homeostasis B cell homeostasis B cell apoptotic process release of cytochrome c from mitochondria blood vessel remodeling myeloid cell homeostasis B cell negative selection apoptotic process mitochondrial fusion negative regulation of cell proliferation intrinsic apoptotic signaling pathway in response to DNA damage response to xenobiotic stimulus response to fungus response to mycotoxin response to UV-C establishment or maintenance of transmembrane electrochemical gradient response to gamma radiation positive regulation of calcium ion transport into cytosol negative regulation of gene expression endocrine pancreas development organ regeneration positive regulation of protein complex assembly endoplasmic reticulum calcium ion homeostasis negative regulation of endoplasmic reticulum calcium ion concentration ion transmembrane transport cellular response to unfolded protein cellular response to UV limb morphogenesis response to hydrogen peroxide regulation of apoptotic process positive regulation of apoptotic process fibroblast apoptotic process response to ethanol positive regulation of proteolysis regulation of mitochondrial membrane permeability post-embryonic camera-type eye morphogenesis homeostasis of number of cells epithelial cell proliferation regulation of transport establishment of localization in cell regulation of cell cycle regulation of mitochondrial membrane potential vagina development calcium ion transport into cytosol regulation of biological quality intrinsic apoptotic signaling pathway in response to endoplasmic reticulum stress thymocyte apoptotic process cellular response to mechanical stimulus positive regulation of release of cytochrome c from mitochondria negative regulation of release of cytochrome c from mitochondria apoptotic signaling pathway extrinsic apoptotic signaling pathway in absence of ligand intrinsic apoptotic signaling pathway negative regulation of mitochondrial outer membrane permeabilization involved in apoptotic signaling pathway positive regulation of mitochondrial outer membrane permeabilization involved in apoptotic signaling pathway apoptotic process involved in patterning of blood vessels regulation of intracellular signal transduction positive regulation of IRE1-mediated unfolded protein response regulation of apoptotic signaling pathway activation of cysteine-type endopeptidase activity involved in apoptotic process cell proliferation activation of cysteine-type endopeptidase activity involved in apoptotic process by cytochrome c cytolysis negative regulation of peptidyl-serine phosphorylation regulation of protein homodimerization activity regulation of protein heterodimerization activity activation of cysteine-type endopeptidase activity positive regulation of endoplasmic reticulum unfolded protein response brain development aging response to organic cyclic compound response to drug
          It has to be done as per old AB suggested Products section.

          Disclaimer

          Close

          Clicking the images or links will redirect you to a website hosted by BenchSci that provides third-party scientific content. Neither the content nor the BenchSci technology and processes for selection have been evaluated by us; we are providing them as-is and without warranty of any kind, including for use or application of the Thermo Fisher Scientific products presented.

          guarantee_icon

          性能保障

          只要您发现Invitrogen抗体在实验中的表现与网站或说明书的所述内容不符,您即可享受免费退换货服务。*

          了解更多
          help_icon

          随时为您服务

          获取常见问题的专家解答,或者直接联系我们的技术专家,咨询应用、设备、常规产品使用问题。

          联系技术支持
          订购 Plus Icon Minus Icon
          • 订单状态查询
          • 订单支持
          • 货号直购
          • 现货供应中心
          • 电子采购
          支持 Plus Icon Minus Icon
          • 帮助&支持
          • 联系我们 - 400 820 8982
          • 技术支持中心
          • 查找文件&证书
          • 报告网站问题
          资源 Plus Icon Minus Icon
          • 学习中心
          • 促销
          • 活动&研讨会
          • 社交媒体
          关于赛默飞 Plus Icon Minus Icon
          • 关于我们
          • 招聘 招聘
          • 投资者关系 投资者关系
          • 新闻 新闻
          • 社会责任 社会责任
          • 商标
          • 政策和通知
          品牌 Plus Icon Minus Icon
          • Thermo Scientific
          • Applied Biosystems
          • Invitrogen
          • Gibco
          • Ion Torrent
          • Unity Lab Services
          • Patheon
          • PPD
          • 服务条款
          • 隐私政策
          • 定价和运输保险政策
          © 2006-2026 Thermo Fisher Scientific Inc. All rights reserved. All trademarks are the property of Thermo Fisher Scientific and its subsidiaries unless otherwise specified.
          China flag icon
          China
          本网站销售的所有产品均不得用于人类或动物之临床诊断或治疗,仅可用于工业或者科研等非医疗目的。
             电子营业执照 | 经营证照公示 | ICP备案号:沪ICP备11003924号 | 沪公网安备 31011502006935号

          Your items have has been added!


          Host server : magellan-search-green-6479c7f679-sz4vp:80/100.66.76.236:80.
          git-commit: b70c0dceb888abc3b0dcebb5bc3a5b8753e7e816
          git-url: https://github.com/thermofisher/magellan-search
          git-branch: release/2.50.0-Offline