Hamburger Menu Button
Thermo Fisher Scientific Logo
登录
没有账号?建立账号 注册
  • 产品
    • 抗体
    • 引物合成
    • GeneArt Gene Synthesis Instant Designer
    • TaqMan Assay and Array Search
    • PCR 设备和耗材
    • 色谱柱和纯化柱
    • 实验室离心机
    • 分子生物学试剂和试剂盒
    • 实验室塑料耗材及用品
    • 查看所有产品分类
  • 应用和技术
    • 色谱
    • 细胞转染和培养
    • 实时荧光定量PCR
    • 质谱
    • 实验室塑料耗材及用品
    • 电子显微镜
    • 蛋白质生物学
    • PCR
    • RNAi
    • 环境
    • 查看所有应用和技术
  • 服务
    • 定制服务
    • 企业级实验室信息化服务
    • 金融&租赁服务
    • 仪器服务
    • OEM和商业供应
    • 培训服务
    • 360° CDMO 和 CRO 服务
    • CDMO 服务
    • 临床试验 CRO 服务
    • Unity Lab Services
    • 查看所有帮助和支持
  • 帮助和支持
    • 学习中心
    • 联系我们
    • 更改国家或地区
    • 查看所有帮助和支持
  • 热门产品
    • TaqMan Real-Time PCR Assays
      TaqMan 实时荧光定量 PCR 试剂盒
    • Antibodies
      抗体
    • Oligos, Primers & Probes
      寡核苷酸、引物、探针
    • GeneArt Gene Synthesis
      GeneArt 基因合成
    • Cell Culture Plastics
      细胞培养耗材
  • Who We Serve
    • 抗体治疗解决方案
    • 细胞与基因治疗解决方案
    • 学术科研
    • 工业与应用
  • 联系我们
  • 货号直购
  • 订单查询
  • 查找文件&证书
Thermo Fisher Scientific Logo

Search

搜索全部或下列指定分类
Search button
          • 联系我们
          • 货号直购
          • 登录
            登录
            没有账号?建立账号 注册
            • 我的账号
            • 订单
            • 会员中心
            • 账单及发票查询
            • 定制产品及项目
          • Primary Antibodies ›
          • BCL-10 Antibodies

          Proteintech

          BCL10 Polyclonal Antibody

          查看其他34个BCL-10抗体

          {{$productOrderCtrl.translations['antibody.pdp.commerceCard.promotion.promotions']}}

          {{$productOrderCtrl.translations['antibody.pdp.commerceCard.promotion.viewpromo']}}

          {{$productOrderCtrl.translations['antibody.pdp.commerceCard.promotion.promocode']}}: {{promo.promoCode}} {{promo.promoTitle}} {{promo.promoDescription}}. {{$productOrderCtrl.translations['antibody.pdp.commerceCard.promotion.learnmore']}}

          说明书
          证书
          实验方案
          问题与答案
          技术支持
          说明书
          证书
          实验方案
          问题与答案
          技术支持
          说明书
          证书
          实验方案
          问题与答案
          技术支持

          Cite BCL10 Polyclonal Antibody

          Additional Information:
          {{banner.description}}
          {{$ctrl.isSkuNotesCollapsed ? 'View more' : 'View less'}}
          • 抗体检测数据 (9)
          BCL10 Antibody in Immunohistochemistry (Paraffin) (IHC (P))
          Group 53 Created with Sketch.
          BCL10 Antibody in Immunohistochemistry (Paraffin) (IHC (P))
          Group 53 Created with Sketch.

          图: 1 / 9

          {{ $ctrl.currentElement.advancedVerification.fullName }}
          {{ $ctrl.currentElement.advancedVerification.text }}

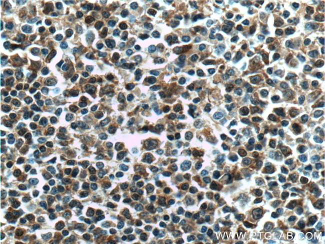
          BCL10 Antibody (17732-1-AP) in IHC (P)

          Immunohistochemistry of paraffin-embedded human lymphoma tissue slide using 17732-1-AP (BCL10 antibody) at dilution of 1:200 (under 40x lens) heat mediated antigen retrieved with Tris-EDTA buffer (pH 9). {{ $ctrl.currentElement.advancedVerification.fullName }} 验证信息 View more
          已发表图片由___提供 benchsci-logo
          PMID: {{$ctrl.currentElement.benchSciPubmedId}}
          查看产品

          {{$ctrl.videoDesc}}

          {{$ctrl.videoLongDesc}}

          BCL10 Antibody in Immunohistochemistry (Paraffin) (IHC (P))
          BCL10 Antibody in Immunohistochemistry (Paraffin) (IHC (P))
          BCL10 Antibody in Immunohistochemistry (Paraffin) (IHC (P))
          BCL10 Antibody in Immunohistochemistry (Paraffin) (IHC (P))
          BCL10 Antibody in Western Blot (WB)
          BCL10 Antibody in Western Blot (WB)
          BCL10 Antibody in Western Blot (WB)
          BCL10 Antibody in Western Blot (WB)
          BCL10 Antibody in Flow Cytometry (Flow)
          BCL10 Polyclonal Antibody

          产品信息

          17732-1-AP

          应用
          建议稀释比
          已发表文章

          免疫印迹 (WB)

          1:750-1:3000
          -

          免疫组化(石蜡) (IHC (P))

          1:50-1:500
          -

          流式细胞分析 (Flow)

          Assay-dependent
          -
          产品规格

          种属反应

          Human, Mouse, Rat

          宿主/亚型

          Rabbit / IgG

          分类

          Polyclonal

          类型

          Antibody

          抗原

          BCL10 Fusion Protein Ag12170 (1-233 aa encoded by BC053617)
          3D表位/免疫原

          偶联物

          Unconjugated Unconjugated Unconjugated

          形式

          Liquid

          浓度

          0.2 mg/mL

          规格

          30 µg

          纯化类型

          Antigen affinity chromatography

          保存液

          PBS, pH 7.3, with 50% glycerol

          内含物

          0.02% sodium azide

          保存条件

          -20°C

          运输条件

          Wet ice (domestic); Dry ice (international)

          产品详细信息

          Immunogen sequence: MEPTAPSLT EEDLTEVKKD ALENLRVYLC EKIIAERHFD HLRAKKILSR EDTEEISCRT SSRKRAGKLL DYLQENPKGL DTLVESIRRE KTQNFLIQKI TDEVLKLRNI KLEHLKGLKC SSCEPFPDGA TNNLSRSNSD ESNFSEKLRA STVMYHPEGE SSTTPFFSTN SSLNLPVLEV GRTENTIFSS TTLPRPGDPG APPLPPDLQL EEEGTCANSS EMFLPLRSRT VSRQ (1-233 aa encoded by BC053617)

          靶标信息

          BCL-10 is an N-terminal CARD (Caspase Recruitment Domain) containing protein that is involved in the adaptive immune response. It promotes apoptosis, pro-caspase-9 maturation, and activation of NF-kappa-B via NIK and IKK. BCL-10 is also an adapter protein between upstream TNFR1-TRADD-RIP complex and the downstream NIK-IKK-IKAP complex. It is a substrate for MALT1. Mutations in the gene can lead to Immmunodeficiency 37 or Lymphoma, mucosa-associated lymphoid type.

          仅用于科研。不用于诊断过程。未经明确授权不得转售。

          篇参考文献 (0)

          您是否在文献中引用过该产品?请点击下方按钮邮件告知我们。
          引用该产品

          生物信息学

          蛋白别名: B cell CLL/lymphoma 10; B-cell CLL/lymphoma 10; B-cell leukemia/lymphoma 10; B-cell lymphoma/leukemia 10; Bcl-10; c-E10; CARD containing molecule enhancing NF-kB; CARD-containing apoptotic signaling protein; CARD-containing molecule enhancing NF-kappa-B; CARD-containing proapoptotic protein; CARD-like apoptotic protein; CARMEN; caspase-recruiting domain-containing protein; cCARMEN; CED-3/ICH-1 prodomain homologous E10-like regulator; Cellular homolog of vCARMEN; Cellular-E10; CIPER; hCLAP; Mamm; Mammalian CARD-containing adapter molecule E10; mCIPER; mCLAP; mE10; OTTHUMP00000011647; OTTHUMP00000036080; protein binding; signal transducer activity; R-RCD1; RCD; RP11-234D19.2; unnamed protein product

          查看更多 收起

          基因别名: AI132454; BCL-10; BCL10; c-E10; C81403; CARMEN; cE10; CIPER; CLAP; IMD37; ME10

          查看更多 收起

          UniProt ID: (Human) O95999, (Rat) Q9QYN5, (Mouse) Q9Z0H7

          查看更多 收起

          Entrez Gene ID: (Human) 8915, (Rat) 83477, (Mouse) 12042

          查看更多 收起

          功能
          protease binding transcription coactivator activity protein binding kinase activator activity protein binding, bridging ubiquitin protein ligase binding signaling adaptor activity identical protein binding protein kinase B binding macromolecular complex binding CARD domain binding NF-kappaB binding general transcription initiation factor binding protein C-terminus binding transcription factor binding enzyme binding kinase binding protein kinase binding ubiquitin binding protein self-association cysteine-type endopeptidase activator activity involved in apoptotic process protein homodimerization activity protein heterodimerization activity
          参与通路
          B cell apoptotic process positive regulation of cytokine production neural tube closure toll-like receptor signaling pathway adaptive immune response immune system process negative regulation of mature B cell apoptotic process apoptotic process cellular defense response response to fungus programmed cell death immunoglobulin mediated immune response positive regulation of protein ubiquitination lipopolysaccharide-mediated signaling pathway response to food response to lipopolysaccharide positive regulation of interleukin-6 production positive regulation of interleukin-8 production positive regulation of lymphotoxin A production positive regulation of mast cell cytokine production NIK/NF-kappaB signaling positive regulation of phosphorylation regulation of apoptotic process positive regulation of apoptotic process positive regulation of I-kappaB kinase/NF-kappaB signaling innate immune response positive regulation of transcription, DNA-templated T cell receptor signaling pathway regulation of T cell receptor signaling pathway positive regulation of T cell receptor signaling pathway positive regulation of T cell activation positive regulation of NF-kappaB transcription factor activity protein homooligomerization antifungal innate immune response T cell apoptotic process cellular response to lipopolysaccharide cellular response to mechanical stimulus apoptotic signaling pathway positive regulation of extrinsic apoptotic signaling pathway response to molecule of bacterial origin I-kappaB kinase/NF-kappaB signaling cell death positive regulation of cysteine-type endopeptidase activity involved in apoptotic process fibroblast apoptotic process positive regulation of interleukin-8 biosynthetic process protein oligomerization protein heterooligomerization thymocyte apoptotic process activation of cysteine-type endopeptidase activity involved in apoptotic process activation of JUN kinase activity mast cell activation positive regulation of execution phase of apoptosis
          It has to be done as per old AB suggested Products section.

          Disclaimer

          Close

          Clicking the images or links will redirect you to a website hosted by BenchSci that provides third-party scientific content. Neither the content nor the BenchSci technology and processes for selection have been evaluated by us; we are providing them as-is and without warranty of any kind, including for use or application of the Thermo Fisher Scientific products presented.

          guarantee_icon

          性能保障

          只要您发现Invitrogen抗体在实验中的表现与网站或说明书的所述内容不符,您即可享受免费退换货服务。*

          了解更多
          help_icon

          随时为您服务

          获取常见问题的专家解答,或者直接联系我们的技术专家,咨询应用、设备、常规产品使用问题。

          联系技术支持
          订购 Plus Icon Minus Icon
          • 订单状态查询
          • 订单支持
          • 货号直购
          • 现货供应中心
          • 电子采购
          支持 Plus Icon Minus Icon
          • 帮助&支持
          • 联系我们 - 400 820 8982
          • 技术支持中心
          • 查找文件&证书
          • 报告网站问题
          资源 Plus Icon Minus Icon
          • 学习中心
          • 促销
          • 活动&研讨会
          • 社交媒体
          关于赛默飞 Plus Icon Minus Icon
          • 关于我们
          • 招聘 招聘
          • 投资者关系 投资者关系
          • 新闻 新闻
          • 社会责任 社会责任
          • 商标
          • 政策和通知
          品牌 Plus Icon Minus Icon
          • Thermo Scientific
          • Applied Biosystems
          • Invitrogen
          • Gibco
          • Ion Torrent
          • Unity Lab Services
          • Patheon
          • PPD
          • 服务条款
          • 隐私政策
          • 定价和运输保险政策
          © 2006-2026 Thermo Fisher Scientific Inc. All rights reserved. All trademarks are the property of Thermo Fisher Scientific and its subsidiaries unless otherwise specified.
          China flag icon
          China
          本网站销售的所有产品均不得用于人类或动物之临床诊断或治疗,仅可用于工业或者科研等非医疗目的。
             电子营业执照 | 经营证照公示 | ICP备案号:沪ICP备11003924号 | 沪公网安备 31011502006935号

          Your items have has been added!


          Host server : magellan-search-blue-7c59b9b899-7wltc:80/100.66.72.81:80.
          git-commit: 8ef7cf686e3c81d28b13492708ce56d167b2f995
          git-url: https://github.com/thermofisher/magellan-search
          git-branch: release/2.49.0-Offline