Hamburger Menu Button
Thermo Fisher Scientific Logo
登录
没有账号?建立账号 注册
  • 产品
    • 抗体
    • 引物合成
    • GeneArt Gene Synthesis Instant Designer
    • TaqMan Assay and Array Search
    • PCR 设备和耗材
    • 色谱柱和纯化柱
    • 实验室离心机
    • 分子生物学试剂和试剂盒
    • 实验室塑料耗材及用品
    • 查看所有产品分类
  • 应用和技术
    • 色谱
    • 细胞转染和培养
    • 实时荧光定量PCR
    • 质谱
    • 实验室塑料耗材及用品
    • 电子显微镜
    • 蛋白质生物学
    • PCR
    • RNAi
    • 环境
    • 查看所有应用和技术
  • 服务
    • 定制服务
    • 企业级实验室信息化服务
    • 金融&租赁服务
    • 仪器服务
    • OEM和商业供应
    • 培训服务
    • 360° CDMO 和 CRO 服务
    • CDMO 服务
    • 临床试验 CRO 服务
    • Unity Lab Services
    • 查看所有帮助和支持
  • 帮助和支持
    • 学习中心
    • 联系我们
    • 更改国家或地区
    • 查看所有帮助和支持
  • 热门产品
    • TaqMan Real-Time PCR Assays
      TaqMan 实时荧光定量 PCR 试剂盒
    • Antibodies
      抗体
    • Oligos, Primers & Probes
      寡核苷酸、引物、探针
    • GeneArt Gene Synthesis
      GeneArt 基因合成
    • Cell Culture Plastics
      细胞培养耗材
  • Who We Serve
    • 抗体治疗解决方案
    • 细胞与基因治疗解决方案
    • 学术科研
    • 工业与应用
  • 联系我们
  • 货号直购
  • 订单查询
  • 查找文件&证书
Thermo Fisher Scientific Logo

Search

搜索全部或下列指定分类
Search button
          • 联系我们
          • 货号直购
          • 登录
            登录
            没有账号?建立账号 注册
            • 我的账号
            • 订单
            • 会员中心
            • 账单及发票查询
            • 定制产品及项目
          • Primary Antibodies ›
          • CCL21 Antibodies

          Invitrogen

          CCL21 Polyclonal Antibody

          高级验证
          查看其他21个CCL21抗体

          {{$productOrderCtrl.translations['antibody.pdp.commerceCard.promotion.promotions']}}

          {{$productOrderCtrl.translations['antibody.pdp.commerceCard.promotion.viewpromo']}}

          {{$productOrderCtrl.translations['antibody.pdp.commerceCard.promotion.promocode']}}: {{promo.promoCode}} {{promo.promoTitle}} {{promo.promoDescription}}. {{$productOrderCtrl.translations['antibody.pdp.commerceCard.promotion.learnmore']}}

          说明书
          证书
          实验方案
          问题与答案
          技术支持
          说明书
          证书
          实验方案
          问题与答案
          技术支持
          说明书
          证书
          实验方案
          问题与答案
          技术支持

          Cite CCL21 Polyclonal Antibody

          Additional Information:
          {{banner.description}}
          {{$ctrl.isSkuNotesCollapsed ? 'View more' : 'View less'}}
          • 抗体检测数据 (5)
          • 高级验证 (1)
          CCL21 Antibody in Immunohistochemistry (Paraffin) (IHC (P))
          Group 53 Created with Sketch.
          CCL21 Antibody in Immunohistochemistry (Paraffin) (IHC (P))
          Group 53 Created with Sketch.

          图: 1 / 6

          {{ $ctrl.currentElement.advancedVerification.fullName }}
          {{ $ctrl.currentElement.advancedVerification.text }}

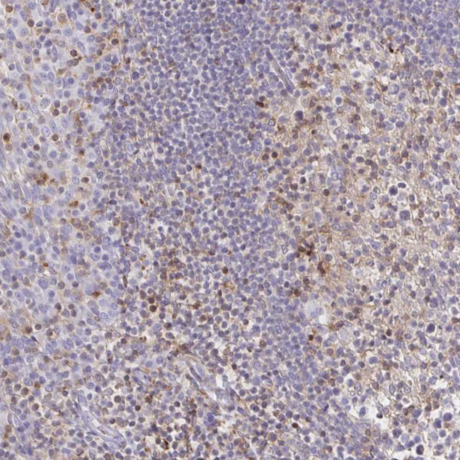
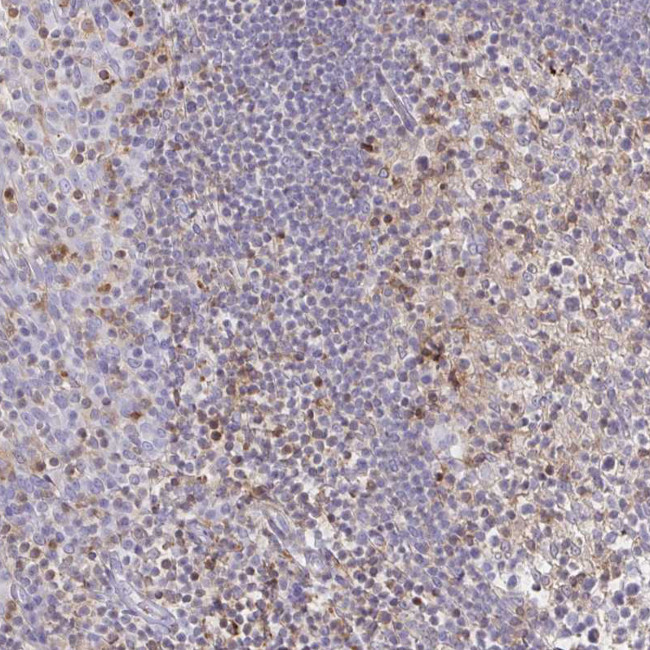
          CCL21 Antibody (PA5-84055) in IHC (P)

          Immunohistochemical analysis of CCL21 in human tonsil using CCL21 Polyclonal Antibody (Product # PA5-84055) shows moderate to strong cytoplasmic positivity in germinal center cells. {{ $ctrl.currentElement.advancedVerification.fullName }} 验证信息 View more
          已发表图片由___提供 benchsci-logo
          PMID: {{$ctrl.currentElement.benchSciPubmedId}}
          查看产品

          {{$ctrl.videoDesc}}

          {{$ctrl.videoLongDesc}}

          CCL21 Antibody in Immunohistochemistry (Paraffin) (IHC (P))
          CCL21 Antibody in Immunohistochemistry (Paraffin) (IHC (P))
          CCL21 Antibody in Immunohistochemistry (Paraffin) (IHC (P))
          CCL21 Antibody in Immunohistochemistry (Paraffin) (IHC (P))
          CCL21 Antibody in Immunohistochemistry (Paraffin) (IHC (P))
          CCL21 Antibody
          CCL21 Polyclonal Antibody

          产品信息

          PA5-84055

          应用
          建议稀释比
          已发表文章

          免疫组化(石蜡) (IHC (P))

          1:500-1:1,000
          -
          产品规格

          种属反应

          Human

          宿主/亚型

          Rabbit / IgG

          分类

          Polyclonal

          类型

          Antibody

          抗原

          Recombinant protein corresponding to Human CCL21. Recombinant protein control fragment (Product #RP-103090).
          3D表位/免疫原

          偶联物

          Unconjugated Unconjugated Unconjugated

          形式

          Liquid

          浓度

          0.1 mg/mL

          规格

          10 µg

          纯化类型

          Antigen affinity chromatography

          保存液

          PBS, pH 7.2, with 40% glycerol

          内含物

          0.02% sodium azide

          保存条件

          Store at 4°C short term. For long term storage, store at -20°C, avoiding freeze/thaw cycles.

          运输条件

          Ambient (domestic); Wet ice (international)

          RRID

          AB_2791207

          产品详细信息

          Immunogen sequence: KELWVQQLMQ HLDKTPSPQK PAQGCRKDRG ASKTGKKGKG SKGCKRTERS QT

          Highest antigen sequence indentity to the following orthologs: Rat - 60%, Mouse - 65%.

          靶标信息

          This gene is one of several CC cytokine genes clustered on the p-arm of chromosome 9. Cytokines are a family of secreted proteins involved in immunoregulatory and inflammatory processes. The CC cytokines are proteins characterized by two adjacent cysteines. Similar to other chemokines the protein encoded by this gene inhibits hemopoiesis and stimulates chemotaxis. This protein is chemotactic in vitro for thymocytes and activated T cells, but not for B cells, macrophages, or neutrophils. The cytokine encoded by this gene may also play a role in mediating homing of lymphocytes to secondary lymphoid organs. It is a high affinity functional ligand for chemokine receptor 7 (CCR7) that is expressed on T and B lymphocytes and a known receptor for another member of the cytokine family (small inducible cytokine A19).

          仅用于科研。不用于诊断过程。未经明确授权不得转售。

          篇参考文献 (0)

          您是否在文献中引用过该产品?请点击下方按钮邮件告知我们。
          引用该产品

          生物信息学

          蛋白别名: 6 Ckine; 6Ckine; 6Ckine; CC chemokine; beta chemokine exodus-2; Beta-chemokine exodus-2; C-C motif chemokine 21; CCL21; chemokine (C-C motif) ligand 21; Efficient Chemoattractant for Lymphocytes; secondary lymphoid tissue chemokine; Secondary lymphoid-tissue chemokine; SLC; small inducible cytokine subfamily A (Cys-Cys), member 21; Small-inducible cytokine A21; unnamed protein product

          查看更多 收起

          基因别名: 6Ckine; CCL21; CKb9; ECL; SCYA21; SLC; TCA4; UNQ784/PRO1600

          查看更多 收起

          UniProt ID: (Human) O00585

          查看更多 收起

          Entrez Gene ID: (Human) 6366

          查看更多 收起

          功能
          cytokine activity protein binding chemokine activity CCR7 chemokine receptor binding chemokine receptor binding CCR chemokine receptor binding
          参与通路
          establishment of T cell polarity immunological synapse formation positive regulation of cell-matrix adhesion dendritic cell chemotaxis positive regulation of dendritic cell antigen processing and presentation chemotaxis inflammatory response immune response G-protein coupled receptor signaling pathway cell-cell signaling positive regulation of glycoprotein biosynthetic process positive regulation of T cell chemotaxis cell migration positive regulation of cell migration positive regulation of actin filament polymerization positive regulation of pseudopodium assembly T cell costimulation ruffle organization killing of cells of other organism positive regulation of cell adhesion mediated by integrin mesangial cell-matrix adhesion chemokine (C-C motif) ligand 21 signaling pathway CCL21-activated CCR7 signaling pathway positive regulation of I-kappaB kinase/NF-kappaB signaling positive regulation of JNK cascade eosinophil chemotaxis positive regulation of receptor-mediated endocytosis cell maturation positive regulation of chemotaxis release of sequestered calcium ion into cytosol positive regulation of filopodium assembly positive regulation of protein kinase B signaling cell chemotaxis antimicrobial humoral immune response mediated by antimicrobial peptide chemokine-mediated signaling pathway positive regulation of ERK1 and ERK2 cascade cellular response to prostaglandin E stimulus positive regulation of neutrophil chemotaxis dendritic cell dendrite assembly positive regulation of phospholipase C/protein kinase C signal transduction negative regulation of leukocyte tethering or rolling cellular response to chemokine positive regulation of cell motility positive regulation of T cell migration positive regulation of myeloid dendritic cell chemotaxis negative regulation of dendritic cell dendrite assembly negative regulation of dendritic cell apoptotic process
          It has to be done as per old AB suggested Products section.

          Disclaimer

          Close

          Clicking the images or links will redirect you to a website hosted by BenchSci that provides third-party scientific content. Neither the content nor the BenchSci technology and processes for selection have been evaluated by us; we are providing them as-is and without warranty of any kind, including for use or application of the Thermo Fisher Scientific products presented.

          guarantee_icon

          性能保障

          只要您发现Invitrogen抗体在实验中的表现与网站或说明书的所述内容不符,您即可享受免费退换货服务。*

          了解更多
          help_icon

          随时为您服务

          获取常见问题的专家解答,或者直接联系我们的技术专家,咨询应用、设备、常规产品使用问题。

          联系技术支持
          订购 Plus Icon Minus Icon
          • 订单状态查询
          • 订单支持
          • 货号直购
          • 现货供应中心
          • 电子采购
          支持 Plus Icon Minus Icon
          • 帮助&支持
          • 联系我们 - 400 820 8982
          • 技术支持中心
          • 查找文件&证书
          • 报告网站问题
          资源 Plus Icon Minus Icon
          • 学习中心
          • 促销
          • 活动&研讨会
          • 社交媒体
          关于赛默飞 Plus Icon Minus Icon
          • 关于我们
          • 招聘 招聘
          • 投资者关系 投资者关系
          • 新闻 新闻
          • 社会责任 社会责任
          • 商标
          • 政策和通知
          品牌 Plus Icon Minus Icon
          • Thermo Scientific
          • Applied Biosystems
          • Invitrogen
          • Gibco
          • Ion Torrent
          • Unity Lab Services
          • Patheon
          • PPD
          • 服务条款
          • 隐私政策
          • 定价和运输保险政策
          © 2006-2026 Thermo Fisher Scientific Inc. All rights reserved. All trademarks are the property of Thermo Fisher Scientific and its subsidiaries unless otherwise specified.
          China flag icon
          China
          本网站销售的所有产品均不得用于人类或动物之临床诊断或治疗,仅可用于工业或者科研等非医疗目的。
             电子营业执照 | 经营证照公示 | ICP备案号:沪ICP备11003924号 | 沪公网安备 31011502006935号

          Your items have has been added!


          Host server : magellan-search-green-6479c7f679-zb4k5:80/100.66.74.142:80.
          git-commit: b70c0dceb888abc3b0dcebb5bc3a5b8753e7e816
          git-url: https://github.com/thermofisher/magellan-search
          git-branch: release/2.50.0-Offline