Hamburger Menu Button
Thermo Fisher Scientific Logo
登录
没有账号?建立账号 注册
  • 产品
    • 抗体
    • 引物合成
    • GeneArt Gene Synthesis Instant Designer
    • TaqMan Assay and Array Search
    • PCR 设备和耗材
    • 色谱柱和纯化柱
    • 实验室离心机
    • 分子生物学试剂和试剂盒
    • 实验室塑料耗材及用品
    • 查看所有产品分类
  • 应用和技术
    • 色谱
    • 细胞转染和培养
    • 实时荧光定量PCR
    • 质谱
    • 实验室塑料耗材及用品
    • 电子显微镜
    • 蛋白质生物学
    • PCR
    • RNAi
    • 环境
    • 查看所有应用和技术
  • 服务
    • 定制服务
    • 企业级实验室信息化服务
    • 企业服务
    • 金融&租赁服务
    • 仪器服务
    • OEM和商业供应
    • 培训服务
    • 360° CDMO 和 CRO 服务
    • CDMO 服务
    • 临床试验 CRO 服务
    • 查看所有帮助和支持
  • 帮助和支持
    • 学习中心
    • 联系我们
    • 更改国家或地区
    • 查看所有帮助和支持
  • 热门产品
    • TaqMan Real-Time PCR Assays
      TaqMan 实时荧光定量 PCR 试剂盒
    • Antibodies
      抗体
    • Oligos, Primers & Probes
      寡核苷酸、引物、探针
    • GeneArt Gene Synthesis
      GeneArt 基因合成
    • Cell Culture Plastics
      细胞培养耗材
  • 联系我们
  • 货号直购
  • 订单查询
  • 查找文件&证书
Thermo Fisher Scientific Logo

Search

搜索全部或下列指定分类
Search button
          • 联系我们
          • 货号直购
          • 登录
            登录
            没有账号?建立账号 注册
            • 我的账号
            • 订单
            • 账单及发票查询
            • 定制产品及项目

          Disclaimer

          Clicking the images or links will redirect you to a website hosted by BenchSci that provides third-party scientific content. Neither the content nor the BenchSci technology and processes for selection have been evaluated by us; we are providing them as-is and without warranty of any kind, including for use or application of the Thermo Fisher Scientific products presented.

          • Primary Antibodies ›
          • CD4 Antibodies
          Now also available in recombinant format (Product # 740028T) and additional conjugated formats in both full and sample sizes. Search using the clone ID "4SM95" or explore the "Additional formats" section on this page.

          Invitrogen

          CD4 Monoclonal Antibody (4SM95), eBioscience™

          高级验证
          50个已发表图片
          160 篇参考文献
          查看其他476个CD4抗体

          {{$productOrderCtrl.translations['antibody.pdp.commerceCard.promotion.promotions']}}

          {{$productOrderCtrl.translations['antibody.pdp.commerceCard.promotion.viewpromo']}}

          {{$productOrderCtrl.translations['antibody.pdp.commerceCard.promotion.promocode']}}: {{promo.promoCode}} {{promo.promoTitle}} {{promo.promoDescription}}. {{$productOrderCtrl.translations['antibody.pdp.commerceCard.promotion.learnmore']}}

          说明书
          证书
          实验方案
          问题与答案
          技术支持
          说明书
          证书
          实验方案
          问题与答案
          技术支持
          说明书
          证书
          实验方案
          问题与答案
          技术支持

          Cite CD4 Monoclonal Antibody (4SM95), eBioscience™

          • 抗体检测数据 (1)
          • 已发表图片 (50)
          • 高级验证 (1)
          CD4 Antibody in Immunohistochemistry (Paraffin) (IHC (P))
          Group 53 Created with Sketch.
          CD4 Antibody in Immunohistochemistry (Paraffin) (IHC (P))
          Group 53 Created with Sketch.

          图: 1 / 52

          {{ $ctrl.currentElement.advancedVerification.fullName }}
          {{ $ctrl.currentElement.advancedVerification.text }}

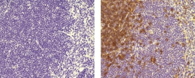
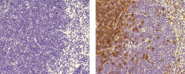
          CD4 Antibody (14-9766-82) in IHC (P)

          Immunohistochemistry of formalin-fixed paraffin embedded mouse spleen using 5 µg/mL of Rat IgG1 K Isotype Control Purified (left) or 5 µg/mL of Anti-Mouse CD4 Purified (right) followed by Anti-Rat IgG Biotin, Streptavidin HRP, and DAB visualization.Nuclei are counterstained with hematoxylin. {{ $ctrl.currentElement.advancedVerification.fullName }} 验证信息 View more
          已发表图片由___提供 benchsci-logo
          PMID: {{$ctrl.currentElement.benchSciPubmedId}}
          查看产品

          {{$ctrl.videoDesc}}

          {{$ctrl.videoLongDesc}}

          CD4 Antibody in Immunohistochemistry (Paraffin) (IHC (P))
          CD4 Antibody in Immunohistochemistry (Paraffin) (IHC (P))
          CD4 Antibody in Immunohistochemistry (Paraffin), Immunocytochemistry (IHC (P), ICC/IF)
          CD4 Antibody in Immunocytochemistry (ICC/IF)
          CD4 Antibody in Immunohistochemistry, Immunocytochemistry (IHC, ICC/IF)
          CD4 Antibody in Immunohistochemistry, Immunohistochemistry (Paraffin), Immunocytochemistry (IHC, IHC (P), ICC/IF)
          CD4 Antibody in Immunohistochemistry, Immunocytochemistry (IHC, ICC/IF)
          CD4 Antibody in Immunohistochemistry, Immunohistochemistry (Paraffin) (IHC, IHC (P))
          CD4 Antibody in Immunohistochemistry, Immunohistochemistry (Paraffin) (IHC, IHC (P))
          CD4 Antibody in Immunohistochemistry, Immunohistochemistry (Paraffin) (IHC, IHC (P))
          CD4 Antibody in Immunohistochemistry, Immunohistochemistry (Paraffin) (IHC, IHC (P))
          CD4 Antibody in Immunohistochemistry (IHC)
          CD4 Antibody in Immunohistochemistry (IHC)
          CD4 Antibody in Immunohistochemistry (IHC)
          CD4 Antibody in Immunohistochemistry (IHC)
          CD4 Antibody in Immunohistochemistry (IHC)
          CD4 Antibody in Immunohistochemistry (IHC)
          CD4 Antibody in Immunohistochemistry (IHC)
          CD4 Antibody in Immunohistochemistry (IHC)
          CD4 Antibody in Immunohistochemistry (IHC)
          CD4 Antibody in Immunohistochemistry (IHC)
          CD4 Antibody in Immunohistochemistry (IHC)
          CD4 Antibody in Immunohistochemistry (IHC)
          CD4 Antibody in Immunohistochemistry (IHC)
          CD4 Antibody in Immunohistochemistry (IHC)
          CD4 Antibody in Immunohistochemistry (IHC)
          CD4 Antibody in Immunohistochemistry (IHC)
          CD4 Antibody in Immunohistochemistry (IHC)
          CD4 Antibody in Immunohistochemistry (IHC)
          CD4 Antibody in Immunohistochemistry (IHC)
          CD4 Antibody in Immunohistochemistry (IHC)
          CD4 Antibody in Immunohistochemistry (IHC)
          CD4 Antibody in Immunohistochemistry (IHC)
          CD4 Antibody in Immunohistochemistry (IHC)
          CD4 Antibody in Immunohistochemistry (IHC)
          CD4 Antibody in Immunohistochemistry (IHC)
          CD4 Antibody in Immunohistochemistry (IHC)
          CD4 Antibody in Immunohistochemistry (IHC)
          CD4 Antibody in Immunohistochemistry (IHC)
          CD4 Antibody in Immunohistochemistry (IHC)
          CD4 Antibody in Immunohistochemistry (IHC)
          CD4 Antibody in Immunohistochemistry (IHC)
          CD4 Antibody in Immunohistochemistry (IHC)
          CD4 Antibody in Immunohistochemistry (IHC)
          CD4 Antibody in Immunohistochemistry (IHC)
          CD4 Antibody in Immunohistochemistry (IHC)
          CD4 Antibody in Immunohistochemistry (IHC)
          CD4 Antibody in Western Blot (WB)
          CD4 Antibody in Flow Cytometry (Flow)
          CD4 Antibody in Flow Cytometry (Flow)
          CD4 Antibody in Flow Cytometry (Flow)
          CD4 Antibody

          产品信息

          14-9766-82

          应用
          建议稀释比
          已发表文章

          免疫印迹 (WB)

          5 µg/mL
          查看1篇已发表文章 1篇已发表文章

          免疫组化 (IHC)

          -
          查看122篇已发表文章 122篇已发表文章

          免疫组化(石蜡) (IHC (P))

          5 µg/mL
          查看21篇已发表文章 21篇已发表文章

          免疫组化(冰冻) (IHC (F))

          -
          查看5篇已发表文章 5篇已发表文章

          免疫细胞化学 (ICC/IF)

          -
          查看4篇已发表文章 4篇已发表文章

          流式细胞分析 (Flow)

          -
          查看7篇已发表文章 7篇已发表文章
          产品规格

          种属反应

          Mouse

          已发表种属

          C. elegans, Human, Mouse

          宿主/亚型

          Rat / IgG1, kappa

          分类

          Monoclonal

          类型

          Antibody

          克隆号

          4SM95

          偶联物

          Unconjugated Unconjugated Unconjugated
          • Biotin 
          • eFluor 570
          • eFluor 660
          • Request custom conjugation

          形式

          Liquid

          浓度

          0.5 mg/mL

          纯化类型

          Affinity chromatography

          保存液

          PBS, pH 7.2

          内含物

          0.09% sodium azide

          保存条件

          4°C

          运输条件

          Ambient (domestic); Wet ice (international)

          RRID

          AB_2573008

          产品详细信息

          Description: This 4SM95 monoclonal antibody reacts with the mouse CD4 molecule, a 55 kDa cell surface receptor expressed by a majority of thymocytes, a subpopulation of mature T cells, and dendritic cells. CD4 binds to MHC class II on the surface of antigen presenting cells and plays an important role both in T cell development and in optimal functioning of mature T cells. In T cells, CD4 associates with protein tyrosine kinase p56lck through its cytoplasmic tail.

          The 4SM95 monoclonal antibody is not recommended for immunohistochemistry of frozen mouse tissue. For detection of mouse CD4 using immunohistochemistry of frozen tissue please refer to alternate products Anti-Mouse CD4 Purified (Product # 14-0041 and 14-0042).

          Applications Reported: This 4SM95 antibody has been reported for use in western blotting, microscopy, and immunohistochemical staining of formalin-fixed paraffin embedded tissue sections.

          Applications Tested: This 4SM95 antibody has been tested by immunohistochemistry of formalin-fixed paraffin embedded mouse tissue using low or high pH antigen retrieval and can be used at less than or equal to 5 µg/mL. This 4SM95 antibody has also been tested by western blot of reduced mouse spleen lysate and can be used at less than or equal to 5 µg/mL. It is recommended that the antibody be carefully titrated for optimal performance in the assay of interest.

          Purity: Greater than 90%, as determined by SDS-PAGE.

          Aggregation: Less than 10%, as determined by HPLC.

          Filtration: 0.2 µm post-manufacturing filtered.

          靶标信息

          The CD4 antigen is involved in the recognition of MHC class II molecules and is a co-receptor for HIV. CD4 is primarily expressed in a subset of T-lymphocytes, also referred to as T helper cells, but may also be expressed by other cells in the immune system, such as monocytes, macrophages, and dendritic cells. At the tissue level, CD4 expression may be detected in thymus, lymph nodes, tonsils, and spleen, and also in specific regions of the brain, gut, and other non-lymphoid tissues. CD4 functions to initiate or augment the early phase of T-cell activation through its association with the T-cell receptor complex and protein tyrosine kinase, Lck. It may also function as an important mediator of direct neuronal damage in infectious and immune-mediated diseases of the central nervous system. Multiple alternatively spliced transcripts have been identified in this gene [RefSeq, July 2017].

          仅用于科研。不用于诊断过程。未经明确授权不得转售。

          生物信息学

          蛋白别名: CD4; CD4 antigen p55; cd4a; fCD4; Leu-3; T-cell differentiation antigen L3T4; T-cell surface antigen T4/Leu-3; T-cell surface glycoprotein CD4; T-cell surface glycoprotein CD4 precursor (T-cell surface antigen T4/Leu-3) (T-cell differentiation antigen L3T4)

          查看更多 收起

          基因别名: Cd4; L3T4; Ly-4

          查看更多 收起

          UniProt ID: (Mouse) P06332

          查看更多 收起

          Entrez Gene ID: (Mouse) 12504

          查看更多 收起

          功能
          glycoprotein binding protein binding zinc ion binding coreceptor activity enzyme binding protein kinase binding protein homodimerization activity
          参与通路
          cytokine production immune system process induction by virus of host cell-cell fusion immune response cell adhesion cell surface receptor signaling pathway T cell differentiation maintenance of protein location in cell T cell activation T cell selection protein palmitoleylation positive regulation of protein kinase activity positive regulation of peptidyl-tyrosine phosphorylation defense response to Gram-negative bacterium positive regulation of calcium-mediated signaling regulation of T cell activation positive regulation of T cell activation
          It has to be done as per old AB suggested Products section.
          guarantee_icon

          性能保障

          只要您发现Invitrogen抗体在实验中的表现与网站或说明书的所述内容不符,您即可享受免费退换货服务。*

          了解更多
          help_icon

          随时为您服务

          获取常见问题的专家解答,或者直接联系我们的技术专家,咨询应用、设备、常规产品使用问题。

          联系技术支持
          订购 Plus Icon Minus Icon
          • 订单状态查询
          • 订单支持
          • 货号直购
          • 现货供应中心
          • 电子采购
          支持 Plus Icon Minus Icon
          • 帮助&支持
          • 联系我们 - 400 820 8982
          • 技术支持中心
          • 查找文件&证书
          • 报告网站问题
          资源 Plus Icon Minus Icon
          • 学习中心
          • 促销
          • 活动&研讨会
          • 社交媒体
          关于赛默飞 Plus Icon Minus Icon
          • 关于我们
          • 招聘 招聘
          • 投资者关系 投资者关系
          • 新闻 新闻
          • 社会责任 社会责任
          • 商标
          • 政策和通知
          品牌 Plus Icon Minus Icon
          • Thermo Scientific
          • Applied Biosystems
          • Invitrogen
          • Gibco
          • Ion Torrent
          • Patheon
          • PPD
          • 服务条款
          • 隐私政策
          • 定价和运输保险政策
          © 2006-2026 Thermo Fisher Scientific Inc. All rights reserved. All trademarks are the property of Thermo Fisher Scientific and its subsidiaries unless otherwise specified.
          China flag icon
          China
          本网站销售的所有产品均不得用于人类或动物之临床诊断或治疗,仅可用于工业或者科研等非医疗目的。
             电子营业执照 | 经营证照公示 | ICP备案号:沪ICP备11003924号 | 沪公网安备 31011502006935号

          Your items have has been added!


          Host server : magellan-search-blue-55ff9ddd88-2lcrw:80/100.66.78.62:80.
          git-commit: d366ff9721d93504b2ac26a183b2b3e3d0e7d9ec
          git-url: https://github.com/thermofisher/magellan-search
          git-branch: release/2.42.0-2026.01.03-1.0