Hamburger Menu Button
Thermo Fisher Scientific Logo
登录
没有账号?建立账号 注册
  • 产品
    • 抗体
    • 引物合成
    • GeneArt Gene Synthesis Instant Designer
    • TaqMan Assay and Array Search
    • PCR 设备和耗材
    • 色谱柱和纯化柱
    • 实验室离心机
    • 分子生物学试剂和试剂盒
    • 实验室塑料耗材及用品
    • 查看所有产品分类
  • 应用和技术
    • 色谱
    • 细胞转染和培养
    • 实时荧光定量PCR
    • 质谱
    • 实验室塑料耗材及用品
    • 电子显微镜
    • 蛋白质生物学
    • PCR
    • RNAi
    • 环境
    • 查看所有应用和技术
  • 服务
    • 定制服务
    • 企业级实验室信息化服务
    • 企业服务
    • 金融&租赁服务
    • 仪器服务
    • OEM和商业供应
    • 培训服务
    • 360° CDMO 和 CRO 服务
    • CDMO 服务
    • 临床试验 CRO 服务
    • 查看所有帮助和支持
  • 帮助和支持
    • 学习中心
    • 联系我们
    • 更改国家或地区
    • 查看所有帮助和支持
  • 热门产品
    • TaqMan Real-Time PCR Assays
      TaqMan 实时荧光定量 PCR 试剂盒
    • Antibodies
      抗体
    • Oligos, Primers & Probes
      寡核苷酸、引物、探针
    • GeneArt Gene Synthesis
      GeneArt 基因合成
    • Cell Culture Plastics
      细胞培养耗材
  • 联系我们
  • 货号直购
  • 订单查询
  • 查找文件&证书
Thermo Fisher Scientific Logo

Search

搜索全部或下列指定分类
Search button
          • 联系我们
          • 货号直购
          • 登录
            登录
            没有账号?建立账号 注册
            • 我的账号
            • 订单
            • 账单及发票查询
            • 定制产品及项目

          Disclaimer

          Clicking the images or links will redirect you to a website hosted by BenchSci that provides third-party scientific content. Neither the content nor the BenchSci technology and processes for selection have been evaluated by us; we are providing them as-is and without warranty of any kind, including for use or application of the Thermo Fisher Scientific products presented.

          • Primary Antibodies ›
          • CD86 Antibodies

          NeoBiotechnologies

          CD86 (Dendritic Cells Maturation Marker) Monoclonal Antibody (rC86/1146)

          查看其他140个CD86抗体

          {{$productOrderCtrl.translations['antibody.pdp.commerceCard.promotion.promotions']}}

          {{$productOrderCtrl.translations['antibody.pdp.commerceCard.promotion.viewpromo']}}

          {{$productOrderCtrl.translations['antibody.pdp.commerceCard.promotion.promocode']}}: {{promo.promoCode}} {{promo.promoTitle}} {{promo.promoDescription}}. {{$productOrderCtrl.translations['antibody.pdp.commerceCard.promotion.learnmore']}}

          说明书
          证书
          实验方案
          问题与答案
          技术支持
          说明书
          证书
          实验方案
          问题与答案
          技术支持
          说明书
          证书
          实验方案
          问题与答案
          技术支持

          Cite CD86 (Dendritic Cells Maturation Marker) Monoclonal Antibody (rC86/1146)

          Additional Information:
          {{banner.description}}
          {{$ctrl.isSkuNotesCollapsed ? 'View more' : 'View less'}}
          • 抗体检测数据 (4)
          CD86 (Dendritic Cells Maturation Marker) Antibody in Immunocytochemistry (ICC/IF)
          Group 53 Created with Sketch.
          CD86 (Dendritic Cells Maturation Marker) Antibody in Immunocytochemistry (ICC/IF)
          Group 53 Created with Sketch.

          图: 1 / 4

          {{ $ctrl.currentElement.advancedVerification.fullName }}
          {{ $ctrl.currentElement.advancedVerification.text }}

          CD86 (Dendritic Cells Maturation Marker) Antibody (942-MSM3-P0) in ICC/IF

          Confocal Immunofluorescence image of Raji cells using CD86 Mouse Recombinant Monoclonal Antibody (rC86/1146) followed by goat anti-Mouse IgG conjugated with CF488 (green). Red Dot is used to label the Nuclei (red). {{ $ctrl.currentElement.advancedVerification.fullName }} 验证信息 View more
          已发表图片由___提供 benchsci-logo
          PMID: {{$ctrl.currentElement.benchSciPubmedId}}
          查看产品

          {{$ctrl.videoDesc}}

          {{$ctrl.videoLongDesc}}

          CD86 (Dendritic Cells Maturation Marker) Antibody in Immunocytochemistry (ICC/IF)
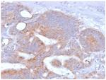
          CD86 (Dendritic Cells Maturation Marker) Antibody in Immunohistochemistry (Paraffin) (IHC (P))
          CD86 (Dendritic Cells Maturation Marker) Antibody in Flow Cytometry (Flow)
          CD86 (Dendritic Cells Maturation Marker) Antibody in SDS-PAGE (SDS-PAGE)
          CD86 (Dendritic Cells Maturation Marker) Monoclonal Antibody (rC86/1146)

          产品信息

          942-MSM3-P0

          应用
          建议稀释比
          已发表文章

          免疫组化(石蜡) (IHC (P))

          Assay-dependent
          -

          免疫组织化学(多聚甲醛固定) (IHC (PFA))

          2-4 µg/mL
          -

          免疫细胞化学 (ICC/IF)

          1-2 µg/mL
          -

          流式细胞分析 (Flow)

          1-2 µg/10^6 cells
          -

          免疫电镜技术 (IM)

          Assay-dependent
          -
          产品规格

          种属反应

          Human, Mouse, Rat

          宿主/亚型

          Mouse / IgG1, kappa

          分类

          Monoclonal

          类型

          Antibody

          克隆号

          rC86/1146

          抗原

          Recombinant human full-length CD86 protein
          查看免疫原

          偶联物

          Unconjugated Unconjugated Unconjugated

          形式

          Liquid

          浓度

          200 µg/mL

          纯化类型

          Protein A/G

          保存液

          PBS, pH 7.4, with 0.05% BSA

          内含物

          0.05% sodium azide

          保存条件

          4°C, do not freeze

          运输条件

          Ambient (domestic); Wet ice (international)

          靶标信息

          CD86, along with CD80, is a member of the B7 family of costimulatory molecules and plays a crucial role in T cell activation and immune response regulation. CD86 is expressed at low levels on B cells, macrophages, and dendritic cells, and its expression is upregulated on B cells through various stimuli, including the BCR complex, CD40, and certain cytokine receptors. As a type I membrane protein and member of the immunoglobulin superfamily, CD86 serves as a ligand for the T cell surface proteins CD28 and CTLA-4 (CD152). The interaction between CD86 and CD28 provides a costimulatory signal essential for T cell activation during antigen presentation, while binding with CTLA-4 negatively regulates T cell activation, diminishing the immune response. This interaction is critical for T-B cell crosstalk, T cell costimulation, autoantibody production, and Th2-mediated Ig production. The kinetics of CD86 upregulation upon stimulation suggest its significant contribution during the primary phase of an immune response. CD86 and CD80 have distinct roles in T helper cell differentiation, and insufficient co-stimulation involving these molecules can induce tolerance. Alternative splicing of CD86 results in two transcript variants encoding different isoforms, with additional variants described but not fully sequenced. Dysfunction in CD86 is associated with diseases such as gallbladder squamous cell carcinoma and myocarditis.

          仅用于科研。不用于诊断过程。未经明确授权不得转售。

          篇参考文献 (0)

          您是否在文献中引用过该产品?请点击下方按钮邮件告知我们。
          引用该产品

          生物信息学

          蛋白别名: Activation B7-2 antigen; B lymphocyte activation antigen B72; B-lymphocyte activation antigen B7-2; B70; BU63; CD28 antigen ligand 2; CD86; cd86 antigen; CD86 antigen (CD28 antigen ligand 2, B7-2 antigen); CTLA-4 counter-receptor B7.2; early T cell costimulatory molecule-1; Early T-cell co-stimulatory molecule 1; Early T-cell costimulatory molecule 1; ETC-1; FUN-1; membrane glycoprotein; MGC34413; T-lymphocyte activation antigen CD86

          查看更多 收起

          基因别名: B7; B7-2; B7.2; B70; Cd28l2; CD28LG2; CD86; CLS1; ETC-1; LAB72; Ly-58; Ly58; MB7; MB7-2; TS/A-2

          查看更多 收起

          UniProt ID: (Human) P42081, (Mouse) P42082

          查看更多 收起

          Entrez Gene ID: (Human) 942, (Rat) 56822, (Mouse) 12524

          查看更多 收起

          功能
          virus receptor activity receptor activity receptor binding protein binding coreceptor activity phosphatidylinositol-4,5-bisphosphate 3-kinase activity immunoglobulin receptor superfamily
          参与通路
          response to yeast adaptive immune response T cell proliferation involved in immune response negative regulation of T cell anergy immune response cell-cell signaling aging positive regulation of cell proliferation regulation of phosphatidylinositol 3-kinase signaling T cell costimulation toll-like receptor 3 signaling pathway response to interferon-gamma positive regulation of activated T cell proliferation T cell activation B cell activation response to drug myeloid dendritic cell differentiation positive regulation of lymphotoxin A biosynthetic process positive regulation of interleukin-2 biosynthetic process positive regulation of interleukin-4 biosynthetic process positive regulation of T-helper 2 cell differentiation positive regulation of transcription, DNA-templated viral entry into host cell phosphatidylinositol phosphorylation phosphatidylinositol-mediated signaling defense response to virus cellular response to lipopolysaccharide cellular response to metal ion cellular response to cytokine stimulus toll-like receptor signaling pathway response to lipopolysaccharide positive regulation of T cell proliferation immune system process
          It has to be done as per old AB suggested Products section.
          guarantee_icon

          性能保障

          只要您发现Invitrogen抗体在实验中的表现与网站或说明书的所述内容不符,您即可享受免费退换货服务。*

          了解更多
          help_icon

          随时为您服务

          获取常见问题的专家解答,或者直接联系我们的技术专家,咨询应用、设备、常规产品使用问题。

          联系技术支持
          订购 Plus Icon Minus Icon
          • 订单状态查询
          • 订单支持
          • 货号直购
          • 现货供应中心
          • 电子采购
          支持 Plus Icon Minus Icon
          • 帮助&支持
          • 联系我们 - 400 820 8982
          • 技术支持中心
          • 查找文件&证书
          • 报告网站问题
          资源 Plus Icon Minus Icon
          • 学习中心
          • 促销
          • 活动&研讨会
          • 社交媒体
          关于赛默飞 Plus Icon Minus Icon
          • 关于我们
          • 招聘 招聘
          • 投资者关系 投资者关系
          • 新闻 新闻
          • 社会责任 社会责任
          • 商标
          • 政策和通知
          品牌 Plus Icon Minus Icon
          • Thermo Scientific
          • Applied Biosystems
          • Invitrogen
          • Gibco
          • Ion Torrent
          • Patheon
          • PPD
          • 服务条款
          • 隐私政策
          • 定价和运输保险政策
          © 2006-2026 Thermo Fisher Scientific Inc. All rights reserved. All trademarks are the property of Thermo Fisher Scientific and its subsidiaries unless otherwise specified.
          China flag icon
          China
          本网站销售的所有产品均不得用于人类或动物之临床诊断或治疗,仅可用于工业或者科研等非医疗目的。
             电子营业执照 | 经营证照公示 | ICP备案号:沪ICP备11003924号 | 沪公网安备 31011502006935号

          Your items have has been added!


          Host server : magellan-search-blue-55ff9ddd88-mtn5c:80/100.66.73.196:80.
          git-commit: d366ff9721d93504b2ac26a183b2b3e3d0e7d9ec
          git-url: https://github.com/thermofisher/magellan-search
          git-branch: release/2.42.0-2026.01.03-1.0