Hamburger Menu Button
Thermo Fisher Scientific Logo
登录
没有账号?建立账号 注册
  • 产品
    • 抗体
    • 引物合成
    • GeneArt Gene Synthesis Instant Designer
    • TaqMan Assay and Array Search
    • PCR 设备和耗材
    • 色谱柱和纯化柱
    • 实验室离心机
    • 分子生物学试剂和试剂盒
    • 实验室塑料耗材及用品
    • 查看所有产品分类
  • 应用和技术
    • 色谱
    • 细胞转染和培养
    • 实时荧光定量PCR
    • 质谱
    • 实验室塑料耗材及用品
    • 电子显微镜
    • 蛋白质生物学
    • PCR
    • RNAi
    • 环境
    • 查看所有应用和技术
  • 服务
    • 定制服务
    • 企业级实验室信息化服务
    • 金融&租赁服务
    • 仪器服务
    • OEM和商业供应
    • 培训服务
    • 360° CDMO 和 CRO 服务
    • CDMO 服务
    • 临床试验 CRO 服务
    • Unity Lab Services
    • 查看所有帮助和支持
  • 帮助和支持
    • 学习中心
    • 联系我们
    • 更改国家或地区
    • 查看所有帮助和支持
  • 热门产品
    • TaqMan Real-Time PCR Assays
      TaqMan 实时荧光定量 PCR 试剂盒
    • Antibodies
      抗体
    • Oligos, Primers & Probes
      寡核苷酸、引物、探针
    • GeneArt Gene Synthesis
      GeneArt 基因合成
    • Cell Culture Plastics
      细胞培养耗材
  • Who We Serve
    • 抗体治疗解决方案
    • 细胞与基因治疗解决方案
    • 学术科研
    • 工业与应用
  • 联系我们
  • 货号直购
  • 订单查询
  • 查找文件&证书
Thermo Fisher Scientific Logo

Search

搜索全部或下列指定分类
Search button
          • 联系我们
          • 货号直购
          • 登录
            登录
            没有账号?建立账号 注册
            • 我的账号
            • 订单
            • 会员中心
            • 账单及发票查询
            • 定制产品及项目
          • Primary Antibodies ›
          • CYP11A1 Antibodies

          Invitrogen

          CYP11A1 Polyclonal Antibody

          查看其他11个CYP11A1抗体

          {{$productOrderCtrl.translations['antibody.pdp.commerceCard.promotion.promotions']}}

          {{$productOrderCtrl.translations['antibody.pdp.commerceCard.promotion.viewpromo']}}

          {{$productOrderCtrl.translations['antibody.pdp.commerceCard.promotion.promocode']}}: {{promo.promoCode}} {{promo.promoTitle}} {{promo.promoDescription}}. {{$productOrderCtrl.translations['antibody.pdp.commerceCard.promotion.learnmore']}}

          说明书
          证书
          实验方案
          问题与答案
          技术支持
          说明书
          证书
          实验方案
          问题与答案
          技术支持
          说明书
          证书
          实验方案
          问题与答案
          技术支持

          Cite CYP11A1 Polyclonal Antibody

          Additional Information:
          {{banner.description}}
          {{$ctrl.isSkuNotesCollapsed ? 'View more' : 'View less'}}
          • 抗体检测数据 (2)
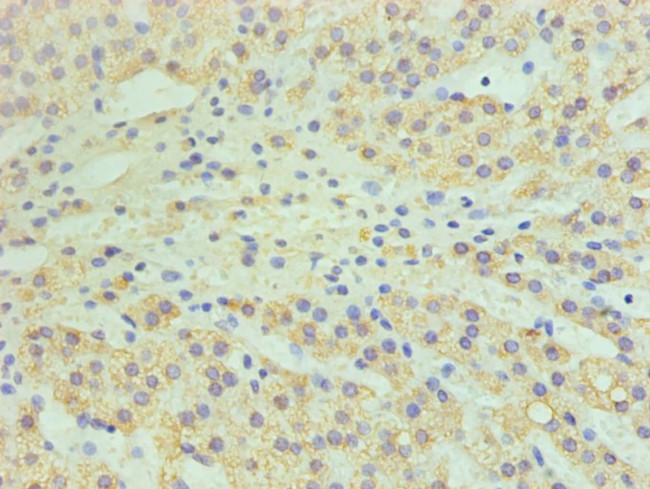
          CYP11A1 Antibody in Immunohistochemistry (Paraffin) (IHC (P))
          Group 53 Created with Sketch.
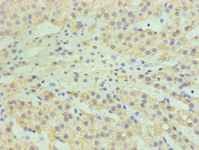
          CYP11A1 Antibody in Immunohistochemistry (Paraffin) (IHC (P))
          Group 53 Created with Sketch.

          图: 1 / 2

          {{ $ctrl.currentElement.advancedVerification.fullName }}
          {{ $ctrl.currentElement.advancedVerification.text }}

          CYP11A1 Antibody (PA5-97646) in IHC (P)

          Immunohistochemical analysis of CYP11A1 in paraffin embedded human adrenal gland tissue using a CYP11A1 polyclonal antibody (Product # PA5-97646) at a dilution of 1:100. {{ $ctrl.currentElement.advancedVerification.fullName }} 验证信息 View more
          已发表图片由___提供 benchsci-logo
          PMID: {{$ctrl.currentElement.benchSciPubmedId}}
          查看产品

          {{$ctrl.videoDesc}}

          {{$ctrl.videoLongDesc}}

          CYP11A1 Antibody in Immunohistochemistry (Paraffin) (IHC (P))
          CYP11A1 Antibody in Western Blot (WB)
          CYP11A1 Polyclonal Antibody

          产品信息

          PA5-97646

          应用
          建议稀释比
          已发表文章

          免疫印迹 (WB)

          1:1,000-1:5,000
          -

          免疫组化(石蜡) (IHC (P))

          1:20-1:200
          -

          酶联免疫吸附实验 (ELISA)

          Assay-Dependent
          -
          产品规格

          种属反应

          Human, Rat

          宿主/亚型

          Rabbit / IgG

          分类

          Polyclonal

          类型

          Antibody

          抗原

          Recombinant Human Cholesterol side-chain cleavage enzyme, mitochondrial protein (40-521AA)
          3D表位/免疫原

          偶联物

          Unconjugated Unconjugated Unconjugated

          形式

          Liquid

          浓度

          3.5 mg/mL

          规格

          100 µg

          纯化类型

          Protein G

          保存液

          PBS, pH 7.4, with 50% glycerol

          内含物

          0.03% ProClin 300

          保存条件

          -20°C or -80°C if preferred

          运输条件

          Ambient (domestic); Wet ice (international)

          RRID

          AB_2812261

          靶标信息

          CYP11A1, also known as cytochrome P450C11A1, cytochrome P450scc and cytochrome P450, subfamily XIA, is an enzyme that catalyzes the first step of steroid biosynthesis under the modulation of cAMP signal. CYP11A1 in steroidogenic cells converts cholesterol to pregnenolone, which is determined by hormonal control of cholesterol availability. Expression of the CYP11A1 gene is controlled by the transcription factor SF-1, and the upstream SF-1 binding site in the CYP11A1 gene is required for hormonal stimulation. c-Jun and SF-1 may act synergistically to activate CYP11A1 gene expression. Both Forskolin and 8-Br-cAMPS elevate CYP11A1 mRNA levels in the interstitial cell monolayer, which has a fully functional adenylate cyclase.

          仅用于科研。不用于诊断过程。未经明确授权不得转售。

          篇参考文献 (0)

          您是否在文献中引用过该产品?请点击下方按钮邮件告知我们。
          引用该产品

          生物信息学

          蛋白别名: cholesterol 20-22 desmolase; Cholesterol desmolase; cholesterol monooxygenase (side-chain cleaving); cholesterol side-chain cleavage cytochrome P450; cholesterol side-chain cleavage enzyme P450scc (EC 1.14.15.67); Cholesterol side-chain cleavage enzyme, mitochondrial; CYPXIA1; cytochrome P450 11a cholesterol side chain cleavage; Cytochrome P450 11A1; cytochrome P450 family 11 subfamily A polypeptide 1; cytochrome P450 side-chain cleavage enzyme; cytochrome P450 subfamily 11A; Cytochrome P450(scc); cytochrome P450, subfamily XIA (cholesterol side chain cleavage); P450(scc); steroid 20-22-lyase; unnamed protein product

          查看更多 收起

          基因别名: CYP11A; Cyp11a-1; CYP11A1; CYPXIA1; P450SCC

          查看更多 收起

          UniProt ID: (Human) P05108, (Rat) P14137

          查看更多 收起

          Entrez Gene ID: (Human) 1583, (Rat) 29680

          查看更多 收起

          功能
          monooxygenase activity iron ion binding protein binding cholesterol monooxygenase (side-chain-cleaving) activity steroid hydroxylase activity oxidoreductase activity oxidoreductase activity, acting on paired donors, with incorporation or reduction of molecular oxygen oxidoreductase activity, acting on paired donors, with incorporation or reduction of molecular oxygen, reduced iron-sulfur protein as one donor, and incorporation of one atom of oxygen heme binding metal ion binding cholesterol binding
          参与通路
          organic acid metabolic process steroid biosynthetic process C21-steroid hormone biosynthetic process progesterone biosynthetic process estrogen biosynthetic process response to nutrient mating behavior cholesterol metabolic process male gonad development response to salt stress response to organic substance response to ionizing radiation response to gamma radiation Schwann cell differentiation response to organic cyclic compound response to insecticide biphenyl metabolic process dibenzo-p-dioxin metabolic process phenol-containing compound metabolic process phthalate metabolic process cerebellum development hippocampus development response to vitamin E Leydig cell differentiation response to L-ascorbic acid response to genistein response to gonadotropin response to drug response to hydrogen peroxide response to amino acid response to alkaloid response to peptide hormone response to estrogen cellular response to fibroblast growth factor stimulus response to antibiotic response to cadmium ion response to steroid hormone response to corticosterone response to cAMP oxidation-reduction process granulosa cell differentiation maternal process involved in female pregnancy response to fungicide testosterone biosynthetic process cellular response to lipopolysaccharide cellular response to antibiotic cellular response to cadmium ion cellular response to cAMP cellular response to interleukin-1 cellular response to tumor necrosis factor cellular response to gonadotropin stimulus cellular response to follicle-stimulating hormone stimulus cellular response to peptide hormone stimulus cellular response to transforming growth factor beta stimulus alcohol metabolic process lipid metabolic process glucocorticoid biosynthetic process steroid metabolic process C21-steroid hormone metabolic process sterol metabolic process cortisol metabolic process vitamin D metabolic process steroid hormone biosynthetic process
          It has to be done as per old AB suggested Products section.

          Disclaimer

          Close

          Clicking the images or links will redirect you to a website hosted by BenchSci that provides third-party scientific content. Neither the content nor the BenchSci technology and processes for selection have been evaluated by us; we are providing them as-is and without warranty of any kind, including for use or application of the Thermo Fisher Scientific products presented.

          guarantee_icon

          性能保障

          只要您发现Invitrogen抗体在实验中的表现与网站或说明书的所述内容不符,您即可享受免费退换货服务。*

          了解更多
          help_icon

          随时为您服务

          获取常见问题的专家解答,或者直接联系我们的技术专家,咨询应用、设备、常规产品使用问题。

          联系技术支持
          订购 Plus Icon Minus Icon
          • 订单状态查询
          • 订单支持
          • 货号直购
          • 现货供应中心
          • 电子采购
          支持 Plus Icon Minus Icon
          • 帮助&支持
          • 联系我们 - 400 820 8982
          • 技术支持中心
          • 查找文件&证书
          • 报告网站问题
          资源 Plus Icon Minus Icon
          • 学习中心
          • 促销
          • 活动&研讨会
          • 社交媒体
          关于赛默飞 Plus Icon Minus Icon
          • 关于我们
          • 招聘 招聘
          • 投资者关系 投资者关系
          • 新闻 新闻
          • 社会责任 社会责任
          • 商标
          • 政策和通知
          品牌 Plus Icon Minus Icon
          • Thermo Scientific
          • Applied Biosystems
          • Invitrogen
          • Gibco
          • Ion Torrent
          • Unity Lab Services
          • Patheon
          • PPD
          • 服务条款
          • 隐私政策
          • 定价和运输保险政策
          © 2006-2026 Thermo Fisher Scientific Inc. All rights reserved. All trademarks are the property of Thermo Fisher Scientific and its subsidiaries unless otherwise specified.
          China flag icon
          China
          本网站销售的所有产品均不得用于人类或动物之临床诊断或治疗,仅可用于工业或者科研等非医疗目的。
             电子营业执照 | 经营证照公示 | ICP备案号:沪ICP备11003924号 | 沪公网安备 31011502006935号

          Your items have has been added!


          Host server : magellan-search-green-6479c7f679-jmhj8:80/100.66.74.142:80.
          git-commit: b70c0dceb888abc3b0dcebb5bc3a5b8753e7e816
          git-url: https://github.com/thermofisher/magellan-search
          git-branch: release/2.50.0-Offline