Hamburger Menu Button
Thermo Fisher Scientific Logo
登录
没有账号?建立账号 注册
  • 产品
    • 抗体
    • 引物合成
    • GeneArt Gene Synthesis Instant Designer
    • TaqMan Assay and Array Search
    • PCR 设备和耗材
    • 色谱柱和纯化柱
    • 实验室离心机
    • 分子生物学试剂和试剂盒
    • 实验室塑料耗材及用品
    • 查看所有产品分类
  • 应用和技术
    • 色谱
    • 细胞转染和培养
    • 实时荧光定量PCR
    • 质谱
    • 实验室塑料耗材及用品
    • 电子显微镜
    • 蛋白质生物学
    • PCR
    • RNAi
    • 环境
    • 查看所有应用和技术
  • 服务
    • 定制服务
    • 企业级实验室信息化服务
    • 金融&租赁服务
    • 仪器服务
    • OEM和商业供应
    • 培训服务
    • 360° CDMO 和 CRO 服务
    • CDMO 服务
    • 临床试验 CRO 服务
    • Unity Lab Services
    • 查看所有帮助和支持
  • 帮助和支持
    • 学习中心
    • 联系我们
    • 更改国家或地区
    • 查看所有帮助和支持
  • 热门产品
    • TaqMan Real-Time PCR Assays
      TaqMan 实时荧光定量 PCR 试剂盒
    • Antibodies
      抗体
    • Oligos, Primers & Probes
      寡核苷酸、引物、探针
    • GeneArt Gene Synthesis
      GeneArt 基因合成
    • Cell Culture Plastics
      细胞培养耗材
  • Who We Serve
    • 抗体治疗解决方案
    • 细胞与基因治疗解决方案
    • 学术科研
    • 工业与应用
  • 联系我们
  • 货号直购
  • 订单查询
  • 查找文件&证书
Thermo Fisher Scientific Logo

Search

搜索全部或下列指定分类
Search button
          • 联系我们
          • 货号直购
          • 登录
            登录
            没有账号?建立账号 注册
            • 我的账号
            • 订单
            • 会员中心
            • 账单及发票查询
            • 定制产品及项目
          • Primary Antibodies ›
          • CDH17 Antibodies

          Proteintech

          Cadherin-17 Monoclonal Antibody (3B10A9)

          查看其他49个CDH17抗体

          {{$productOrderCtrl.translations['antibody.pdp.commerceCard.promotion.promotions']}}

          {{$productOrderCtrl.translations['antibody.pdp.commerceCard.promotion.viewpromo']}}

          {{$productOrderCtrl.translations['antibody.pdp.commerceCard.promotion.promocode']}}: {{promo.promoCode}} {{promo.promoTitle}} {{promo.promoDescription}}. {{$productOrderCtrl.translations['antibody.pdp.commerceCard.promotion.learnmore']}}

          说明书
          证书
          实验方案
          问题与答案
          技术支持
          说明书
          证书
          实验方案
          问题与答案
          技术支持
          说明书
          证书
          实验方案
          问题与答案
          技术支持

          Cite Cadherin-17 Monoclonal Antibody (3B10A9)

          Additional Information:
          {{banner.description}}
          {{$ctrl.isSkuNotesCollapsed ? 'View more' : 'View less'}}
          • 抗体检测数据 (21)
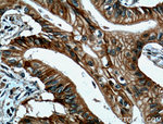
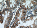
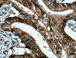
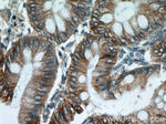
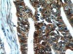
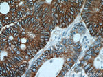
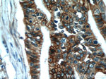
          Cadherin-17 Antibody in Immunohistochemistry (Paraffin) (IHC (P))
          Group 53 Created with Sketch.
          Cadherin-17 Antibody in Immunohistochemistry (Paraffin) (IHC (P))
          Group 53 Created with Sketch.

          图: 1 / 21

          {{ $ctrl.currentElement.advancedVerification.fullName }}
          {{ $ctrl.currentElement.advancedVerification.text }}

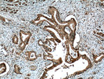
          Cadherin-17 Antibody (60351-1-IG) in IHC (P)

          Immunohistochemical analysis of paraffin-embedded Human colon tissue slide using (Product # 60351-1-Ig) Cadherin-17 antibody at dilution of 1:32,000 (under 40x lens). Heat mediated antigen retrieval with Tris-EDTA buffer (pH 9.0). {{ $ctrl.currentElement.advancedVerification.fullName }} 验证信息 View more
          已发表图片由___提供 benchsci-logo
          PMID: {{$ctrl.currentElement.benchSciPubmedId}}
          查看产品

          {{$ctrl.videoDesc}}

          {{$ctrl.videoLongDesc}}

          Cadherin-17 Antibody in Immunohistochemistry (Paraffin) (IHC (P))
          Cadherin-17 Antibody in Immunohistochemistry (Paraffin) (IHC (P))
          Cadherin-17 Antibody in Immunohistochemistry (Paraffin) (IHC (P))
          Cadherin-17 Antibody in Immunohistochemistry (Paraffin) (IHC (P))
          Cadherin-17 Antibody in Immunohistochemistry (Paraffin) (IHC (P))
          Cadherin-17 Antibody in Immunohistochemistry (Paraffin) (IHC (P))
          Cadherin-17 Antibody in Immunohistochemistry (Paraffin) (IHC (P))
          Cadherin-17 Antibody in Immunohistochemistry (Paraffin) (IHC (P))
          Cadherin-17 Antibody in Immunohistochemistry (Paraffin) (IHC (P))
          Cadherin-17 Antibody in Immunohistochemistry (Paraffin) (IHC (P))
          Cadherin-17 Antibody in Immunohistochemistry (Paraffin) (IHC (P))
          Cadherin-17 Antibody in Immunohistochemistry (Paraffin) (IHC (P))
          Cadherin-17 Antibody in Immunohistochemistry (Paraffin) (IHC (P))
          Cadherin-17 Antibody in Immunohistochemistry (Paraffin) (IHC (P))
          Cadherin-17 Antibody in Immunohistochemistry (Paraffin) (IHC (P))
          Cadherin-17 Antibody in Immunohistochemistry (Paraffin) (IHC (P))
          Cadherin-17 Antibody in Immunohistochemistry (PFA fixed) (IHC (PFA))
          Cadherin-17 Antibody in Immunohistochemistry (PFA fixed) (IHC (PFA))
          Cadherin-17 Antibody in Western Blot (WB)
          Cadherin-17 Antibody in Western Blot (WB)
          Cadherin-17 Antibody in Western Blot (WB)
          Cadherin-17 Monoclonal Antibody (3B10A9)

          产品信息

          60351-1-IG

          应用
          建议稀释比
          已发表文章

          免疫印迹 (WB)

          1:2,000-1:20,000
          -

          免疫组化(石蜡) (IHC (P))

          1:150-1:600
          -

          免疫组织化学(多聚甲醛固定) (IHC (PFA))

          1:32,000
          -
          产品规格

          种属反应

          Human, Pig

          宿主/亚型

          Mouse / IgG1

          分类

          Monoclonal

          类型

          Antibody

          克隆号

          3B10A9

          抗原

          Cadherin-17 Fusion Protein Ag19488 (89-406 aa encoded by BC113464)
          3D表位/免疫原

          偶联物

          Unconjugated Unconjugated Unconjugated
          • CoraLite 594
          • CoraLite Plus 488
          • Request custom conjugation

          形式

          Liquid

          浓度

          1 mg/mL

          规格

          150 µg

          纯化类型

          Protein G

          保存液

          PBS, pH 7.3, with 50% glycerol

          内含物

          0.02% sodium azide

          保存条件

          -20°C

          运输条件

          Wet ice (domestic); Dry ice (international)

          产品详细信息

          Immunogen sequence: RSTHNLQVA ALDANGIIVE GPVPITIEVK DINDNRPTFL QSKYEGSVRQ NSRPGKPFLY VNATDLDDPA TPNGQLYYQI VIQLPMINNV MYFQINNKTG AISLTREGSQ ELNPAKNPSY NLVISVKDMG GQSENSFSDT TSVDIIVTEN IWKAPKPVEM VENSTDPHPI KITQVRWNDP GAQYSLVDKE KLPRFPFSID QEGDIYVTQP LDREEKDAYV FYAVAKDEYG KPLSYPLEIH VKVKDINDNP PTCPSPVTVF EVQENERLGN SIGTLTAHDR DEENTANSFL NYRIVEQTPK LPMDGLFLIQ TYAGMLQLA (89-406 aa encoded by BC113464)

          靶标信息

          CDH17 gene is a member of the cadherin superfamily, genes encoding calcium-dependent, membrane-associated glycoproteins. The encoded protein is cadherin-like, consisting of an extracellular region, containing 7 cadherin domains, and a transmembrane region but lacking the conserved cytoplasmic domain. The protein is a component of the gastrointestinal tract and pancreatic ducts, acting as an intestinal proton-dependent peptide transporter in the first step in oral absorption of many medically important peptide-based drugs. The protein may also play a role in the morphological organization of liver and intestine. Alternative splicing results in multiple transcript variants.

          仅用于科研。不用于诊断过程。未经明确授权不得转售。

          篇参考文献 (0)

          您是否在文献中引用过该产品?请点击下方按钮邮件告知我们。
          引用该产品

          生物信息学

          蛋白别名: Cadherin; cadherin 17, LI cadherin (liver-intestine); cadherin-16; Cadherin-17; FLJ26931; HPT-1 cadherin; human intestinal peptide-associated transporter HPT-1; human peptide transporter 1; Intestinal peptide-associated transporter HPT-1; LI cadherin; LI-cadherin; Liver-intestine cadherin; MGC138218; MGC142024; unnamed protein product

          查看更多 收起

          基因别名: CDH16; CDH17; HPT-1; HPT1

          查看更多 收起

          UniProt ID: (Human) Q12864

          查看更多 收起

          Entrez Gene ID: (Human) 1015, (Pig) 100157834

          查看更多 收起

          功能
          integrin binding proton-dependent oligopeptide secondary active transmembrane transporter activity calcium ion binding protein binding beta-catenin binding cadherin binding metal ion binding cadherin
          参与通路
          cell morphogenesis germinal center B cell differentiation marginal zone B cell differentiation oligopeptide transport cell-cell junction assembly cell adhesion homophilic cell adhesion via plasma membrane adhesion molecules integrin-mediated signaling pathway calcium-dependent cell-cell adhesion via plasma membrane cell adhesion molecules cell migration B cell differentiation positive regulation of integrin activation by cell surface receptor linked signal transduction adherens junction organization oligopeptide transmembrane transport cell-cell adhesion mediated by cadherin spleen development cell-cell adhesion
          It has to be done as per old AB suggested Products section.

          Disclaimer

          Close

          Clicking the images or links will redirect you to a website hosted by BenchSci that provides third-party scientific content. Neither the content nor the BenchSci technology and processes for selection have been evaluated by us; we are providing them as-is and without warranty of any kind, including for use or application of the Thermo Fisher Scientific products presented.

          guarantee_icon

          性能保障

          只要您发现Invitrogen抗体在实验中的表现与网站或说明书的所述内容不符,您即可享受免费退换货服务。*

          了解更多
          help_icon

          随时为您服务

          获取常见问题的专家解答,或者直接联系我们的技术专家,咨询应用、设备、常规产品使用问题。

          联系技术支持
          订购 Plus Icon Minus Icon
          • 订单状态查询
          • 订单支持
          • 货号直购
          • 现货供应中心
          • 电子采购
          支持 Plus Icon Minus Icon
          • 帮助&支持
          • 联系我们 - 400 820 8982
          • 技术支持中心
          • 查找文件&证书
          • 报告网站问题
          资源 Plus Icon Minus Icon
          • 学习中心
          • 促销
          • 活动&研讨会
          • 社交媒体
          关于赛默飞 Plus Icon Minus Icon
          • 关于我们
          • 招聘 招聘
          • 投资者关系 投资者关系
          • 新闻 新闻
          • 社会责任 社会责任
          • 商标
          • 政策和通知
          品牌 Plus Icon Minus Icon
          • Thermo Scientific
          • Applied Biosystems
          • Invitrogen
          • Gibco
          • Ion Torrent
          • Unity Lab Services
          • Patheon
          • PPD
          • 服务条款
          • 隐私政策
          • 定价和运输保险政策
          © 2006-2026 Thermo Fisher Scientific Inc. All rights reserved. All trademarks are the property of Thermo Fisher Scientific and its subsidiaries unless otherwise specified.
          China flag icon
          China
          本网站销售的所有产品均不得用于人类或动物之临床诊断或治疗,仅可用于工业或者科研等非医疗目的。
             电子营业执照 | 经营证照公示 | ICP备案号:沪ICP备11003924号 | 沪公网安备 31011502006935号

          Your items have has been added!


          Host server : magellan-search-green-6479c7f679-jmhj8:80/100.66.74.142:80.
          git-commit: b70c0dceb888abc3b0dcebb5bc3a5b8753e7e816
          git-url: https://github.com/thermofisher/magellan-search
          git-branch: release/2.50.0-Offline