Hamburger Menu Button
Thermo Fisher Scientific Logo
登录
没有账号?建立账号 注册
  • 产品
    • 抗体
    • 引物合成
    • GeneArt Gene Synthesis Instant Designer
    • TaqMan Assay and Array Search
    • PCR 设备和耗材
    • 色谱柱和纯化柱
    • 实验室离心机
    • 分子生物学试剂和试剂盒
    • 实验室塑料耗材及用品
    • 查看所有产品分类
  • 应用和技术
    • 色谱
    • 细胞转染和培养
    • 实时荧光定量PCR
    • 质谱
    • 实验室塑料耗材及用品
    • 电子显微镜
    • 蛋白质生物学
    • PCR
    • RNAi
    • 环境
    • 查看所有应用和技术
  • 服务
    • 定制服务
    • 企业级实验室信息化服务
    • 金融&租赁服务
    • 仪器服务
    • OEM和商业供应
    • 培训服务
    • 360° CDMO 和 CRO 服务
    • CDMO 服务
    • 临床试验 CRO 服务
    • Unity Lab Services
    • 查看所有帮助和支持
  • 帮助和支持
    • 学习中心
    • 联系我们
    • 更改国家或地区
    • 查看所有帮助和支持
  • 热门产品
    • TaqMan Real-Time PCR Assays
      TaqMan 实时荧光定量 PCR 试剂盒
    • Antibodies
      抗体
    • Oligos, Primers & Probes
      寡核苷酸、引物、探针
    • GeneArt Gene Synthesis
      GeneArt 基因合成
    • Cell Culture Plastics
      细胞培养耗材
  • Who We Serve
    • 抗体治疗解决方案
    • 细胞与基因治疗解决方案
    • 学术科研
    • 工业与应用
  • 联系我们
  • 货号直购
  • 订单查询
  • 查找文件&证书
Thermo Fisher Scientific Logo

Search

搜索全部或下列指定分类
Search button
          • 联系我们
          • 货号直购
          • 登录
            登录
            没有账号?建立账号 注册
            • 我的账号
            • 订单
            • 会员中心
            • 账单及发票查询
            • 定制产品及项目
          • Primary Antibodies ›
          • Claudin 2 Antibodies

          Invitrogen

          Claudin 2 Monoclonal Antibody (12H12)

          高级验证
          74个已发表图片
          165 篇参考文献
          查看其他8个Claudin 2抗体

          {{$productOrderCtrl.translations['antibody.pdp.commerceCard.promotion.promotions']}}

          {{$productOrderCtrl.translations['antibody.pdp.commerceCard.promotion.viewpromo']}}

          {{$productOrderCtrl.translations['antibody.pdp.commerceCard.promotion.promocode']}}: {{promo.promoCode}} {{promo.promoTitle}} {{promo.promoDescription}}. {{$productOrderCtrl.translations['antibody.pdp.commerceCard.promotion.learnmore']}}

          说明书
          证书
          实验方案
          问题与答案
          技术支持
          说明书
          证书
          实验方案
          问题与答案
          技术支持
          说明书
          证书
          实验方案
          问题与答案
          技术支持

          Cite Claudin 2 Monoclonal Antibody (12H12)

          Additional Information:
          {{banner.description}}
          {{$ctrl.isSkuNotesCollapsed ? 'View more' : 'View less'}}
          • 抗体检测数据 (4)
          • 已发表图片 (74)
          • 高级验证 (1)
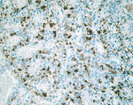
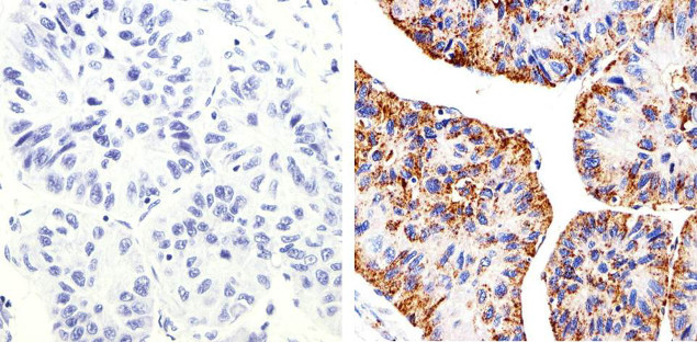
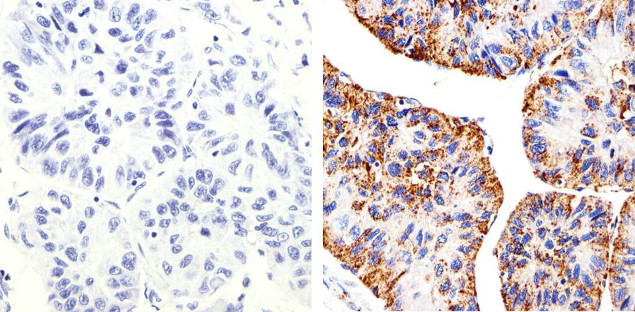
          Claudin 2 Antibody in Immunohistochemistry (Paraffin) (IHC (P))
          Group 53 Created with Sketch.
          Claudin 2 Antibody in Immunohistochemistry (Paraffin) (IHC (P))
          Group 53 Created with Sketch.

          图: 1 / 79

          {{ $ctrl.currentElement.advancedVerification.fullName }}
          {{ $ctrl.currentElement.advancedVerification.text }}

          Claudin 2 Antibody (32-5600) in IHC (P)

          Immunohistochemistry analysis of Claudin 2 showing staining in the cytoplasm and membrane of paraffin-embedded human hepatocarcinoma (right) compared to a negative control without primary antibody (left). To expose target proteins, antigen retrieval was performed using 10mM sodium citrate (pH 6.0), microwaved for 8-15 min. Following antigen retrieval, tissues were blocked in 3% H2O2-methanol for 15 min at r... View More {{ $ctrl.currentElement.advancedVerification.fullName }} 验证信息 View more
          已发表图片由___提供 benchsci-logo
          PMID: {{$ctrl.currentElement.benchSciPubmedId}}
          查看产品

          {{$ctrl.videoDesc}}

          {{$ctrl.videoLongDesc}}

          Claudin 2 Antibody in Immunohistochemistry (Paraffin) (IHC (P))
          Claudin 2 Antibody in Immunohistochemistry (Paraffin) (IHC (P))
          Claudin 2 Antibody in Immunohistochemistry (IHC)
          Claudin 2 Antibody in Western Blot (WB)
          Claudin 2 Antibody in Immunocytochemistry (ICC/IF)
          Claudin 2 Antibody in Western Blot, Immunocytochemistry (WB, ICC/IF)
          Claudin 2 Antibody in Western Blot, Immunocytochemistry (WB, ICC/IF)
          Claudin 2 Antibody in Immunocytochemistry (ICC/IF)
          Claudin 2 Antibody in Immunocytochemistry (ICC/IF)
          Claudin 2 Antibody in Immunocytochemistry (ICC/IF)
          Claudin 2 Antibody in Immunocytochemistry (ICC/IF)
          Claudin 2 Antibody in Immunocytochemistry (ICC/IF)
          Claudin 2 Antibody in Immunocytochemistry (ICC/IF)
          Claudin 2 Antibody in Immunocytochemistry (ICC/IF)
          Claudin 2 Antibody in Immunocytochemistry (ICC/IF)
          Claudin 2 Antibody in Immunocytochemistry (ICC/IF)
          Claudin 2 Antibody in Immunocytochemistry (ICC/IF)
          Claudin 2 Antibody in Immunocytochemistry (ICC/IF)
          Claudin 2 Antibody in Immunohistochemistry (Frozen) (IHC (F))
          Claudin 2 Antibody in Western Blot, Immunohistochemistry (Frozen) (WB, IHC (F))
          Claudin 2 Antibody in Immunohistochemistry (IHC)
          Claudin 2 Antibody in Immunohistochemistry (IHC)
          Claudin 2 Antibody in Immunohistochemistry (IHC)
          Claudin 2 Antibody in Immunohistochemistry (IHC)
          Claudin 2 Antibody in Immunohistochemistry (IHC)
          Claudin 2 Antibody in Immunohistochemistry (IHC)
          Claudin 2 Antibody in Immunohistochemistry (IHC)
          Claudin 2 Antibody in Immunohistochemistry (IHC)
          Claudin 2 Antibody in Western Blot, Immunohistochemistry (WB, IHC)
          Claudin 2 Antibody in Immunohistochemistry (IHC)
          Claudin 2 Antibody in Immunohistochemistry (IHC)
          Claudin 2 Antibody in Immunohistochemistry (IHC)
          Claudin 2 Antibody in Western Blot, Immunohistochemistry (WB, IHC)
          Claudin 2 Antibody in Immunohistochemistry (IHC)
          Claudin 2 Antibody in Immunohistochemistry (IHC)
          Claudin 2 Antibody in Immunohistochemistry (IHC)
          Claudin 2 Antibody in Western Blot, Immunohistochemistry (WB, IHC)
          Claudin 2 Antibody in Immunohistochemistry (IHC)
          Claudin 2 Antibody in Immunohistochemistry (IHC)
          Claudin 2 Antibody in Western Blot (WB)
          Claudin 2 Antibody in Western Blot (WB)
          Claudin 2 Antibody in Western Blot (WB)
          Claudin 2 Antibody in Western Blot (WB)
          Claudin 2 Antibody in Western Blot (WB)
          Claudin 2 Antibody in Western Blot (WB)
          Claudin 2 Antibody in Western Blot (WB)
          Claudin 2 Antibody in Western Blot (WB)
          Claudin 2 Antibody in Western Blot (WB)
          Claudin 2 Antibody in Western Blot (WB)
          Claudin 2 Antibody in Western Blot (WB)
          Claudin 2 Antibody in Western Blot (WB)
          Claudin 2 Antibody in Western Blot (WB)
          Claudin 2 Antibody in Western Blot (WB)
          Claudin 2 Antibody in Western Blot (WB)
          Claudin 2 Antibody in Western Blot (WB)
          Claudin 2 Antibody in Western Blot (WB)
          Claudin 2 Antibody in Western Blot (WB)
          Claudin 2 Antibody in Western Blot (WB)
          Claudin 2 Antibody in Western Blot (WB)
          Claudin 2 Antibody in Western Blot (WB)
          Claudin 2 Antibody in Western Blot (WB)
          Claudin 2 Antibody in Western Blot (WB)
          Claudin 2 Antibody in Western Blot (WB)
          Claudin 2 Antibody in Western Blot (WB)
          Claudin 2 Antibody in Western Blot (WB)
          Claudin 2 Antibody in Western Blot (WB)
          Claudin 2 Antibody in Western Blot (WB)
          Claudin 2 Antibody in Western Blot (WB)
          Claudin 2 Antibody in Western Blot (WB)
          Claudin 2 Antibody in Western Blot, Immunoprecipitation (WB, IP)
          Claudin 2 Antibody in Western Blot (WB)
          Claudin 2 Antibody in Western Blot (WB)
          Claudin 2 Antibody in Western Blot (WB)
          Claudin 2 Antibody in Western Blot (WB)
          Claudin 2 Antibody in Western Blot (WB)
          Claudin 2 Antibody in Western Blot (WB)
          Claudin 2 Antibody in Western Blot (WB)
          Claudin 2 Antibody in ELISA (ELISA)
          Claudin 2 Antibody
          Claudin 2 Monoclonal Antibody (12H12)

          产品信息

          32-5600

          应用
          建议稀释比
          已发表文章

          免疫印迹 (WB)

          1-3 µg/mL
          查看76篇已发表文章 76篇已发表文章

          免疫组化 (IHC)

          -
          查看34篇已发表文章 34篇已发表文章

          免疫组化(石蜡) (IHC (P))

          1:10-1:100
          查看9篇已发表文章 9篇已发表文章

          免疫组化(冰冻) (IHC (F))

          -
          查看2篇已发表文章 2篇已发表文章

          免疫细胞化学 (ICC/IF)

          -
          查看31篇已发表文章 31篇已发表文章

          流式细胞分析 (Flow)

          -
          查看1篇已发表文章 1篇已发表文章

          酶联免疫吸附实验 (ELISA)

          -
          查看2篇已发表文章 2篇已发表文章

          免疫沉淀 (IP)

          Assay-dependent
          查看1篇已发表文章 1篇已发表文章

          其他PubMed (Misc)

          -
          查看9篇已发表文章 9篇已发表文章
          产品规格

          种属反应

          Dog, Human, Mouse, Rat

          已发表种属

          Cat, Dog, Hamster, Human, Mouse, Non-human primate, Pig, Rat, Rhesus monkey

          宿主/亚型

          Mouse / IgG2b

          分类

          Monoclonal

          类型

          Antibody

          克隆号

          12H12

          抗原

          Synthetic peptide corresponding to a 26 amino acid sequence at the C-terminus of mouse Claudin-2
          3D表位/免疫原

          偶联物

          Unconjugated Unconjugated Unconjugated

          形式

          Liquid

          浓度

          0.5 mg/mL

          规格

          100 µg

          纯化类型

          Protein A

          保存液

          PBS, pH 7.4

          内含物

          0.1% sodium azide

          保存条件

          -20°C

          运输条件

          Ambient (domestic); Wet ice (international)

          RRID

          AB_2533085

          产品详细信息

          This antibody reacts specifically with the ~22-23 kDa Claudin-2 protein. Reactivity has been confirmed with human, mouse, rat, and dog liver and kidney homogenates, as well MDCK and Caco-2 cell lysates, by western blotting and immunfluorescence. Reactivity has also been confirmed with formalin-fixed, paraffin-embedded (FFPE) human normal colon, spleen, and thyroid, and colon and breast cancer tissues by immunohistochemistry.

          For best results in immunohistochemistry (1-2 µg/mL) with formalin-fixed, paraffin-embedded (FFPE) tissues, heat induced epitope retrieval (HIER) with EDTA buffer, pH 8.0, is required prior to staining. In western blotting a non-specific band at 27 kDa is observed in some lysates. In Caco-2 cells this band appears stronger than the correct band at 22 kDa. An alternative product, rabbit anti-Claudin-2 (Cat. No. 516100) may be used for western blotting of these lysates.

          靶标信息

          Tight junctions are specialized regions of cell-cell contact that are particularly abundant in luminal epithelial cell sheets. In freeze-fracture electron micrographs, tight junctions are visualized as belt-like bands of anastomosing sealing strands (TJ strands) that completely encircle the lateral surfaces of each cell. TJ strands on adjacent cells are presumed to interact with each other to form a sort of "molecular gasket" that prevents ions, water and other molecules from leaking between cells and thus, from one side of the sheet to the other. In addition to this so-called "barrier" function, the "fence" function of tight junctions plays an important role in maintaining epithelial cell-polarity by blocking the diffusion of membrane proteins between apical (luminal) and basolateral cell surfaces. Confinement of, for example, the glucose symport to apical surfaces allows glucose to be transported vectorially from the lumen, through the cell, and into the bloodstream. Several peripheral membrane proteins are associated with tight junctions including ZO-1, ZO-2, ZO-3 (members of membrane-associated guanylate-kinase family), cingulin, the 7H6 antigen, Rab-3b, symplekin. While their precise functions are not known, roles for these proteins have been suggested in tight junction assembly and maintenance; signal transduction; and the regulation of tight junction permeability. Furthermore, a growing body of evidence suggests that actin filaments play a major role in regulating tight junction permeability. Until recently, the only transmembrane protein known to be associated with tight junctions was occludin, an ~65 kDa protein with four transmembrane domains. Despite widespread expectation, a critical structural role for occludin in TJ strands was ruled out by the observation of apparently normal tight junctions formed between cells disrupted at both occludin alleles. Fortunately, a closer examination of isolated tight junctions uncovered two related ~22 kDa, four-transmembrane domain proteins, claudin-1 and claudin-2, with no similarity to occludin. In contrast to occludin, which induces only a small number of short strands at cell-cell contact sites when introduced into fibroblasts lacking tight junctions, claudin-1 and -2 induce networks of strands characteristic of true tight junctions. Though inconclusive, these findings suggest that claudin-1 and -2 are major structural components of TJ strands and that occludin plays some other accessory role. Excitement in the tight junction field continues to rise following the recent discovery of claudins -3, -4, -5, -6, -7, and -8 and experiments suggesting that tight junctions in different tissues are comprised of different sets of claudin family proteins. Claudin-1 and claudin-2 connect to the actin cytoskeleton through ZO-1; Claudin-2 functions as a paracellular channel with cation (Na+) selectivity at tight junctions. The expression of claudin-2 is restricted to the liver and kidney, with small amounts also found in the brain.

          仅用于科研。不用于诊断过程。未经明确授权不得转售。

          生物信息学

          蛋白别名: Claudin-2; Claudin2; CLD2; integral membrane protein claudin-2; SP82; tight junction-associated protein; unnamed protein product

          查看更多 收起

          基因别名: AL022813; claudin-2; CLDN2; OAZON; PSEC0059; RGD1560247; SP82; UNQ705/PRO1356

          查看更多 收起

          UniProt ID: (Human) P57739, (Dog) Q95KM6, (Mouse) O88552

          查看更多 收起

          Entrez Gene ID: (Human) 9075, (Dog) 403649, (Mouse) 12738, (Rat) 300920

          查看更多 收起

          功能
          structural molecule activity protein binding identical protein binding paracellular tight junction channel activity tight junction
          参与通路
          innate immune response in mucosa calcium-independent cell-cell adhesion via plasma membrane cell-adhesion molecules bicellular tight junction assembly cell-cell adhesion regulation of bile acid secretion paracellular transport regulation of intestinal D-glucose absorption regulation of intestinal lipid absorption
          It has to be done as per old AB suggested Products section.

          Disclaimer

          Close

          Clicking the images or links will redirect you to a website hosted by BenchSci that provides third-party scientific content. Neither the content nor the BenchSci technology and processes for selection have been evaluated by us; we are providing them as-is and without warranty of any kind, including for use or application of the Thermo Fisher Scientific products presented.

          guarantee_icon

          性能保障

          只要您发现Invitrogen抗体在实验中的表现与网站或说明书的所述内容不符,您即可享受免费退换货服务。*

          了解更多
          help_icon

          随时为您服务

          获取常见问题的专家解答,或者直接联系我们的技术专家,咨询应用、设备、常规产品使用问题。

          联系技术支持
          订购 Plus Icon Minus Icon
          • 订单状态查询
          • 订单支持
          • 货号直购
          • 现货供应中心
          • 电子采购
          支持 Plus Icon Minus Icon
          • 帮助&支持
          • 联系我们 - 400 820 8982
          • 技术支持中心
          • 查找文件&证书
          • 报告网站问题
          资源 Plus Icon Minus Icon
          • 学习中心
          • 促销
          • 活动&研讨会
          • 社交媒体
          关于赛默飞 Plus Icon Minus Icon
          • 关于我们
          • 招聘 招聘
          • 投资者关系 投资者关系
          • 新闻 新闻
          • 社会责任 社会责任
          • 商标
          • 政策和通知
          品牌 Plus Icon Minus Icon
          • Thermo Scientific
          • Applied Biosystems
          • Invitrogen
          • Gibco
          • Ion Torrent
          • Unity Lab Services
          • Patheon
          • PPD
          • 服务条款
          • 隐私政策
          • 定价和运输保险政策
          © 2006-2026 Thermo Fisher Scientific Inc. All rights reserved. All trademarks are the property of Thermo Fisher Scientific and its subsidiaries unless otherwise specified.
          China flag icon
          China
          本网站销售的所有产品均不得用于人类或动物之临床诊断或治疗,仅可用于工业或者科研等非医疗目的。
             电子营业执照 | 经营证照公示 | ICP备案号:沪ICP备11003924号 | 沪公网安备 31011502006935号

          Your items have has been added!


          Host server : magellan-search-green-6479c7f679-2z78h:80/100.66.76.236:80.
          git-commit: b70c0dceb888abc3b0dcebb5bc3a5b8753e7e816
          git-url: https://github.com/thermofisher/magellan-search
          git-branch: release/2.50.0-Offline