Hamburger Menu Button
Thermo Fisher Scientific Logo
登录
没有账号?建立账号 注册
  • 产品
    • 抗体
    • 引物合成
    • GeneArt Gene Synthesis Instant Designer
    • TaqMan Assay and Array Search
    • PCR 设备和耗材
    • 色谱柱和纯化柱
    • 实验室离心机
    • 分子生物学试剂和试剂盒
    • 实验室塑料耗材及用品
    • 查看所有产品分类
  • 应用和技术
    • 色谱
    • 细胞转染和培养
    • 实时荧光定量PCR
    • 质谱
    • 实验室塑料耗材及用品
    • 电子显微镜
    • 蛋白质生物学
    • PCR
    • RNAi
    • 环境
    • 查看所有应用和技术
  • 服务
    • 定制服务
    • 企业级实验室信息化服务
    • 金融&租赁服务
    • 仪器服务
    • OEM和商业供应
    • 培训服务
    • 360° CDMO 和 CRO 服务
    • CDMO 服务
    • 临床试验 CRO 服务
    • Unity Lab Services
    • 查看所有帮助和支持
  • 帮助和支持
    • 学习中心
    • 联系我们
    • 更改国家或地区
    • 查看所有帮助和支持
  • 热门产品
    • TaqMan Real-Time PCR Assays
      TaqMan 实时荧光定量 PCR 试剂盒
    • Antibodies
      抗体
    • Oligos, Primers & Probes
      寡核苷酸、引物、探针
    • GeneArt Gene Synthesis
      GeneArt 基因合成
    • Cell Culture Plastics
      细胞培养耗材
  • Who We Serve
    • 抗体治疗解决方案
    • 细胞与基因治疗解决方案
    • 学术科研
    • 工业与应用
  • 联系我们
  • 货号直购
  • 订单查询
  • 查找文件&证书
Thermo Fisher Scientific Logo

Search

搜索全部或下列指定分类
Search button
          • 联系我们
          • 货号直购
          • 登录
            登录
            没有账号?建立账号 注册
            • 我的账号
            • 订单
            • 会员中心
            • 账单及发票查询
            • 定制产品及项目
          • Primary Antibodies ›
          • Connexin 26 Antibodies

          Invitrogen

          Connexin 26 Monoclonal Antibody (CX-12H10)

          52个已发表图片
          89 篇参考文献
          查看其他8个Connexin 26抗体

          {{$productOrderCtrl.translations['antibody.pdp.commerceCard.promotion.promotions']}}

          {{$productOrderCtrl.translations['antibody.pdp.commerceCard.promotion.viewpromo']}}

          {{$productOrderCtrl.translations['antibody.pdp.commerceCard.promotion.promocode']}}: {{promo.promoCode}} {{promo.promoTitle}} {{promo.promoDescription}}. {{$productOrderCtrl.translations['antibody.pdp.commerceCard.promotion.learnmore']}}

          说明书
          证书
          实验方案
          问题与答案
          技术支持
          说明书
          证书
          实验方案
          问题与答案
          技术支持
          说明书
          证书
          实验方案
          问题与答案
          技术支持

          Cite Connexin 26 Monoclonal Antibody (CX-12H10)

          Additional Information:
          {{banner.description}}
          {{$ctrl.isSkuNotesCollapsed ? 'View more' : 'View less'}}
          • 抗体检测数据 (1)
          • 已发表图片 (52)
          Connexin 26 Antibody in Western Blot (WB)
          Group 53 Created with Sketch.
          Connexin 26 Antibody in Western Blot (WB)
          Group 53 Created with Sketch.

          图: 1 / 53

          {{ $ctrl.currentElement.advancedVerification.fullName }}
          {{ $ctrl.currentElement.advancedVerification.text }}

          Connexin 26 Antibody (13-8100) in WB

          Western blot analysis of Connexin26 (Cx26) was performed by loading 30 µg of protein from mouse liver homogenate (not boiled) and 7 µL of EZ-RUN Prestained Rec Protein Ladder per well onto a 10% Tris-Hcl polyacrylamide gel. Proteins were transferred to a nitrocellulose membrane and blocked in blocking buffer composed of 20 mM Tris-HCl pH 8, 150 mM NaCl and 0.2% Tween-20 (TBST) supplemented with 5% skim milk powder (Carnation) for 1 hr at room temperature. Cx26 was detected at ~26 kDa using an anti-Cx26 antibody (Product # 13-8100, lane 1) ... View More {{ $ctrl.currentElement.advancedVerification.fullName }} 验证信息 View more
          已发表图片由___提供 benchsci-logo
          PMID: {{$ctrl.currentElement.benchSciPubmedId}}
          查看产品

          {{$ctrl.videoDesc}}

          {{$ctrl.videoLongDesc}}

          Connexin 26 Antibody in Western Blot (WB)
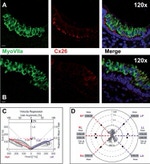
          Connexin 26 Antibody in Immunohistochemistry (IHC)
          Connexin 26 Antibody in Immunohistochemistry (IHC)
          Connexin 26 Antibody in Immunohistochemistry (IHC)
          Connexin 26 Antibody in Immunohistochemistry (IHC)
          Connexin 26 Antibody in Immunohistochemistry (IHC)
          Connexin 26 Antibody in Immunohistochemistry (IHC)
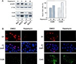
          Connexin 26 Antibody in Western Blot (WB)
          Connexin 26 Antibody in Immunocytochemistry (ICC/IF)
          Connexin 26 Antibody in Immunocytochemistry (ICC/IF)
          Connexin 26 Antibody in Immunohistochemistry, Immunocytochemistry (IHC, ICC/IF)
          Connexin 26 Antibody in Immunocytochemistry (ICC/IF)
          Connexin 26 Antibody in Western Blot, Immunocytochemistry (WB, ICC/IF)
          Connexin 26 Antibody in Immunocytochemistry (ICC/IF)
          Connexin 26 Antibody in Immunocytochemistry (ICC/IF)
          Connexin 26 Antibody in Immunocytochemistry (ICC/IF)
          Connexin 26 Antibody in Immunocytochemistry (ICC/IF)
          Connexin 26 Antibody in Immunocytochemistry (ICC/IF)
          Connexin 26 Antibody in Western Blot, Immunocytochemistry (WB, ICC/IF)
          Connexin 26 Antibody in Immunocytochemistry (ICC/IF)
          Connexin 26 Antibody in Immunocytochemistry (ICC/IF)
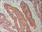
          Connexin 26 Antibody in Immunohistochemistry (Frozen) (IHC (F))
          Connexin 26 Antibody in Immunohistochemistry (IHC)
          Connexin 26 Antibody in Immunohistochemistry (IHC)
          Connexin 26 Antibody in Immunohistochemistry (IHC)
          Connexin 26 Antibody in Immunohistochemistry (IHC)
          Connexin 26 Antibody in Immunohistochemistry (IHC)
          Connexin 26 Antibody in Immunohistochemistry (IHC)
          Connexin 26 Antibody in Immunohistochemistry (IHC)
          Connexin 26 Antibody in Immunohistochemistry (IHC)
          Connexin 26 Antibody in Immunohistochemistry (IHC)
          Connexin 26 Antibody in Immunohistochemistry (IHC)
          Connexin 26 Antibody in Immunohistochemistry (IHC)
          Connexin 26 Antibody in Immunohistochemistry (IHC)
          Connexin 26 Antibody in Immunohistochemistry (IHC)
          Connexin 26 Antibody in Immunohistochemistry (IHC)
          Connexin 26 Antibody in Immunohistochemistry (IHC)
          Connexin 26 Antibody in Immunohistochemistry (IHC)
          Connexin 26 Antibody in Immunohistochemistry (IHC)
          Connexin 26 Antibody in Western Blot (WB)
          Connexin 26 Antibody in Western Blot (WB)
          Connexin 26 Antibody in Western Blot (WB)
          Connexin 26 Antibody in Western Blot (WB)
          Connexin 26 Antibody in Western Blot (WB)
          Connexin 26 Antibody in Western Blot (WB)
          Connexin 26 Antibody in Western Blot (WB)
          Connexin 26 Antibody in Western Blot (WB)
          Connexin 26 Antibody in Western Blot (WB)
          Connexin 26 Antibody in Western Blot (WB)
          Connexin 26 Antibody in Western Blot (WB)
          Connexin 26 Antibody in Western Blot (WB)
          Connexin 26 Antibody in Western Blot (WB)
          Connexin 26 Antibody in Western Blot (WB)

          产品信息

          13-8100

          应用
          建议稀释比
          已发表文章

          免疫印迹 (WB)

          1-2 µg/mL
          查看20篇已发表文章 20篇已发表文章

          免疫组化 (IHC)

          -
          查看29篇已发表文章 29篇已发表文章

          免疫组化(石蜡) (IHC (P))

          -
          查看2篇已发表文章 2篇已发表文章

          免疫组化(冰冻) (IHC (F))

          Assay-dependent
          查看5篇已发表文章 5篇已发表文章

          免疫细胞化学 (ICC/IF)

          -
          查看25篇已发表文章 25篇已发表文章

          酶联免疫吸附实验 (ELISA)

          0.1-1 µg/mL
          -

          免疫沉淀 (IP)

          -
          查看1篇已发表文章 1篇已发表文章

          其他PubMed (Misc)

          -
          查看7篇已发表文章 7篇已发表文章
          产品规格

          种属反应

          Human, Mouse, Rat

          已发表种属

          Bat, Human, Mouse, Non-human primate, Rat

          宿主/亚型

          Mouse / IgG1, kappa

          分类

          Monoclonal

          类型

          Antibody

          克隆号

          CX-12H10

          抗原

          Synthetic peptide corresponding to a segment of the cytoplasmic loop of rat Connexin-26.

          偶联物

          Unconjugated Unconjugated Unconjugated

          形式

          Liquid

          浓度

          0.5 mg/mL

          规格

          100 µg

          纯化类型

          Affinity chromatography

          保存液

          PBS, pH 7.4

          内含物

          0.1% sodium azide

          保存条件

          -20°C

          运输条件

          Ambient (domestic); Wet ice (international)

          RRID

          AB_2533036

          产品详细信息

          13-8100 reacts strongly with Connexin-26, which has a predicted molecular weight of 26.5 kDa. Reactivity of this antibody on western blots has been confirmed by using extracts from mouse liver, mouse brain, and rat brain and it appears to exhibit minimal cross-reaction with Cx30 by western blotting. The degree of cross-reaction with Cx30 by IHC is uncertain, but may be influenced by fixation conditions.

          靶标信息

          Gap junctions are conduits that allow the direct cell-to-cell passage of small cytoplasmic molecules, including ions, metabolic intermediates, and second messengers, and thereby mediate intercellular metabolic and electrical communication. Gap junction channels consist of connexin protein subunits, which are encoded by a multigene family. GJBs (gap-junction proteins or connexins) play crucial functional roles associated with these channels. Defects in GJB3 have been linked to erythrokeratodermia variables (EKV) is an autosomal dominant genodermatosis characterized by transient figurate red patches or hyperkeratosis. Mutations in GJB2 have also been associated with genetically derived hearing impairments, including autosomal recessive nonsyndromic deafness.

          仅用于科研。不用于诊断过程。未经明确授权不得转售。

          生物信息学

          蛋白别名: connexin 26; Connexin-26; connexin26; transmembrane protein; mutant CX26 protein; Cx26; gap junction beta 2 proteinc; Gap junction beta-2 protein; gap junction channel protein connexin 26; gap junction membrane channel protein beta 2; gap junction protein; gap junction protein, beta 2, 26kDa; mutant connexin 26; transmembrane protein; mutant gap junction beta 2 protein; mutant gap junction protein beta 2; unnamed protein product

          查看更多 收起

          基因别名: AI325222; BAPS; Cnx26; CX26; CXN-26; DFNA3; DFNA3A; DFNB1; DFNB1A; Gjb-2; GJB2; HID; KID; NSRD1; PPK

          查看更多 收起

          UniProt ID: (Human) P29033, (Mouse) Q00977, (Rat) P21994

          查看更多 收起

          Entrez Gene ID: (Human) 2706, (Mouse) 14619, (Rat) 394266

          查看更多 收起

          功能
          gap junction channel activity calcium ion binding protein binding identical protein binding metal ion binding gap junction channel activity involved in cell communication by electrical coupling gap junction
          参与通路
          cell communication cell-cell signaling sensory perception of sound cell communication by electrical coupling gap junction assembly transmembrane transport gap junction-mediated intercellular transport female pregnancy male genitalia development response to estradiol response to progesterone cellular response to oxidative stress response to human chorionic gonadotropin decidualization
          It has to be done as per old AB suggested Products section.

          Disclaimer

          Close

          Clicking the images or links will redirect you to a website hosted by BenchSci that provides third-party scientific content. Neither the content nor the BenchSci technology and processes for selection have been evaluated by us; we are providing them as-is and without warranty of any kind, including for use or application of the Thermo Fisher Scientific products presented.

          guarantee_icon

          性能保障

          只要您发现Invitrogen抗体在实验中的表现与网站或说明书的所述内容不符,您即可享受免费退换货服务。*

          了解更多
          help_icon

          随时为您服务

          获取常见问题的专家解答,或者直接联系我们的技术专家,咨询应用、设备、常规产品使用问题。

          联系技术支持
          订购 Plus Icon Minus Icon
          • 订单状态查询
          • 订单支持
          • 货号直购
          • 现货供应中心
          • 电子采购
          支持 Plus Icon Minus Icon
          • 帮助&支持
          • 联系我们 - 400 820 8982
          • 技术支持中心
          • 查找文件&证书
          • 报告网站问题
          资源 Plus Icon Minus Icon
          • 学习中心
          • 促销
          • 活动&研讨会
          • 社交媒体
          关于赛默飞 Plus Icon Minus Icon
          • 关于我们
          • 招聘 招聘
          • 投资者关系 投资者关系
          • 新闻 新闻
          • 社会责任 社会责任
          • 商标
          • 政策和通知
          品牌 Plus Icon Minus Icon
          • Thermo Scientific
          • Applied Biosystems
          • Invitrogen
          • Gibco
          • Ion Torrent
          • Unity Lab Services
          • Patheon
          • PPD
          • 服务条款
          • 隐私政策
          • 定价和运输保险政策
          © 2006-2026 Thermo Fisher Scientific Inc. All rights reserved. All trademarks are the property of Thermo Fisher Scientific and its subsidiaries unless otherwise specified.
          China flag icon
          China
          本网站销售的所有产品均不得用于人类或动物之临床诊断或治疗,仅可用于工业或者科研等非医疗目的。
             电子营业执照 | 经营证照公示 | ICP备案号:沪ICP备11003924号 | 沪公网安备 31011502006935号

          Your items have has been added!


          Host server : magellan-search-green-6479c7f679-v472f:80/100.66.78.195:80.
          git-commit: b70c0dceb888abc3b0dcebb5bc3a5b8753e7e816
          git-url: https://github.com/thermofisher/magellan-search
          git-branch: release/2.50.0-Offline