Hamburger Menu Button
Thermo Fisher Scientific Logo
登录
没有账号?建立账号 注册
  • 产品
    • 抗体
    • 引物合成
    • GeneArt Gene Synthesis Instant Designer
    • TaqMan Assay and Array Search
    • PCR 设备和耗材
    • 色谱柱和纯化柱
    • 实验室离心机
    • 分子生物学试剂和试剂盒
    • 实验室塑料耗材及用品
    • 查看所有产品分类
  • 应用和技术
    • 色谱
    • 细胞转染和培养
    • 实时荧光定量PCR
    • 质谱
    • 实验室塑料耗材及用品
    • 电子显微镜
    • 蛋白质生物学
    • PCR
    • RNAi
    • 环境
    • 查看所有应用和技术
  • 服务
    • 定制服务
    • 企业级实验室信息化服务
    • 金融&租赁服务
    • 仪器服务
    • OEM和商业供应
    • 培训服务
    • 360° CDMO 和 CRO 服务
    • CDMO 服务
    • 临床试验 CRO 服务
    • Unity Lab Services
    • 查看所有帮助和支持
  • 帮助和支持
    • 学习中心
    • 联系我们
    • 更改国家或地区
    • 查看所有帮助和支持
  • 热门产品
    • TaqMan Real-Time PCR Assays
      TaqMan 实时荧光定量 PCR 试剂盒
    • Antibodies
      抗体
    • Oligos, Primers & Probes
      寡核苷酸、引物、探针
    • GeneArt Gene Synthesis
      GeneArt 基因合成
    • Cell Culture Plastics
      细胞培养耗材
  • Who We Serve
    • 抗体治疗解决方案
    • 细胞与基因治疗解决方案
    • 学术科研
    • 工业与应用
  • 联系我们
  • 货号直购
  • 订单查询
  • 查找文件&证书
Thermo Fisher Scientific Logo

Search

搜索全部或下列指定分类
Search button
          • 联系我们
          • 货号直购
          • 登录
            登录
            没有账号?建立账号 注册
            • 我的账号
            • 订单
            • 会员中心
            • 账单及发票查询
            • 定制产品及项目
          • Primary Antibodies ›
          • Cullin 2 Antibodies

          Invitrogen

          Cullin 2 Polyclonal Antibody

          高级验证
          36个已发表图片
          33 篇参考文献
          查看其他14个Cullin 2抗体

          {{$productOrderCtrl.translations['antibody.pdp.commerceCard.promotion.promotions']}}

          {{$productOrderCtrl.translations['antibody.pdp.commerceCard.promotion.viewpromo']}}

          {{$productOrderCtrl.translations['antibody.pdp.commerceCard.promotion.promocode']}}: {{promo.promoCode}} {{promo.promoTitle}} {{promo.promoDescription}}. {{$productOrderCtrl.translations['antibody.pdp.commerceCard.promotion.learnmore']}}

          说明书
          证书
          实验方案
          问题与答案
          技术支持
          说明书
          证书
          实验方案
          问题与答案
          技术支持
          说明书
          证书
          实验方案
          问题与答案
          技术支持

          Cite Cullin 2 Polyclonal Antibody

          Additional Information:
          {{banner.description}}
          {{$ctrl.isSkuNotesCollapsed ? 'View more' : 'View less'}}
          • 抗体检测数据 (9)
          • 已发表图片 (36)
          • 高级验证 (1)
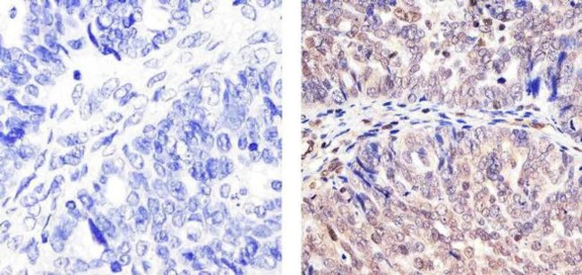
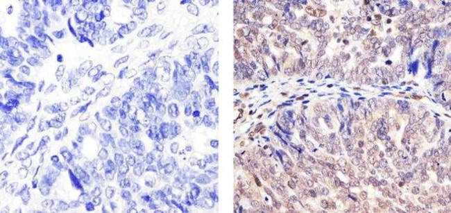
          Cullin 2 Antibody in Immunohistochemistry (Paraffin) (IHC (P))
          Group 53 Created with Sketch.
          Cullin 2 Antibody in Immunohistochemistry (Paraffin) (IHC (P))
          Group 53 Created with Sketch.

          图: 1 / 46

          {{ $ctrl.currentElement.advancedVerification.fullName }}
          {{ $ctrl.currentElement.advancedVerification.text }}

          Cullin 2 Antibody (51-1800) in IHC (P)

          Immunohistochemistry analysis of CUL-2 showing staining in the cytoplasm and nucleus of paraffin-embedded human Ovarian carcinoma tissue (right) compared to a negative control without primary antibody (left). To expose target proteins, antigen retrieval was performed using 10mM sodium citrate (pH 6.0), microwaved for 8-15 min. Following antigen retrieval, tissues were blocked in 3% H2O2-methanol for 15 min ... View More {{ $ctrl.currentElement.advancedVerification.fullName }} 验证信息 View more
          已发表图片由___提供 benchsci-logo
          PMID: {{$ctrl.currentElement.benchSciPubmedId}}
          查看产品

          {{$ctrl.videoDesc}}

          {{$ctrl.videoLongDesc}}

          Cullin 2 Antibody in Immunohistochemistry (Paraffin) (IHC (P))
          Cullin 2 Antibody in Immunohistochemistry (Paraffin) (IHC (P))
          Cullin 2 Antibody in Immunohistochemistry (Paraffin) (IHC (P))
          Cullin 2 Antibody in Immunohistochemistry (Paraffin) (IHC (P))
          Cullin 2 Antibody in Immunohistochemistry (Paraffin) (IHC (P))
          Cullin 2 Antibody in Western Blot (WB)
          Cullin 2 Antibody in Western Blot (WB)
          Cullin 2 Antibody in Western Blot (WB)
          Cullin 2 Antibody in Immunoprecipitation (IP)
          Cullin 2 Antibody in Western Blot (WB)
          Cullin 2 Antibody in Western Blot (WB)
          Cullin 2 Antibody in Western Blot (WB)
          Cullin 2 Antibody in Western Blot (WB)
          Cullin 2 Antibody in Western Blot (WB)
          Cullin 2 Antibody in Western Blot, Immunoprecipitation (WB, IP)
          Cullin 2 Antibody in Western Blot (WB)
          Cullin 2 Antibody in Western Blot (WB)
          Cullin 2 Antibody in Western Blot (WB)
          Cullin 2 Antibody in Western Blot (WB)
          Cullin 2 Antibody in Western Blot (WB)
          Cullin 2 Antibody in Western Blot (WB)
          Cullin 2 Antibody in Western Blot (WB)
          Cullin 2 Antibody in Western Blot (WB)
          Cullin 2 Antibody in Western Blot (WB)
          Cullin 2 Antibody in Western Blot (WB)
          Cullin 2 Antibody in Western Blot (WB)
          Cullin 2 Antibody in Western Blot (WB)
          Cullin 2 Antibody in Western Blot (WB)
          Cullin 2 Antibody in Western Blot (WB)
          Cullin 2 Antibody in Western Blot (WB)
          Cullin 2 Antibody in Western Blot (WB)
          Cullin 2 Antibody in Western Blot (WB)
          Cullin 2 Antibody in Western Blot (WB)
          Cullin 2 Antibody in Western Blot (WB)
          Cullin 2 Antibody in Western Blot (WB)
          Cullin 2 Antibody in Western Blot, Immunoprecipitation (WB, IP)
          Cullin 2 Antibody in Western Blot (WB)
          Cullin 2 Antibody in Western Blot (WB)
          Cullin 2 Antibody in Western Blot (WB)
          Cullin 2 Antibody in Western Blot (WB)
          Cullin 2 Antibody in Western Blot (WB)
          Cullin 2 Antibody in Western Blot (WB)
          Cullin 2 Antibody in Western Blot (WB)
          Cullin 2 Antibody in Western Blot (WB)
          Cullin 2 Antibody in Western Blot (WB)
          Cullin 2 Antibody
          Cullin 2 Polyclonal Antibody

          产品信息

          51-1800

          应用
          建议稀释比
          已发表文章

          免疫印迹 (WB)

          1:250-1:1,000
          查看26篇已发表文章 26篇已发表文章

          免疫组化 (IHC)

          -
          查看1篇已发表文章 1篇已发表文章

          免疫组化(石蜡) (IHC (P))

          1:10-1:50
          -

          酶联免疫吸附实验 (ELISA)

          0.1-1.0 µg/mL
          -

          免疫沉淀 (IP)

          2-3 µg/mL
          查看4篇已发表文章 4篇已发表文章

          GST融合蛋白沉降技术 (GST-PD)

          -
          查看1篇已发表文章 1篇已发表文章

          其他PubMed (Misc)

          -
          查看1篇已发表文章 1篇已发表文章
          产品规格

          种属反应

          Human, Mouse, Rat

          已发表种属

          Human, Insect, Mouse, Tag

          宿主/亚型

          Rabbit / IgG

          分类

          Polyclonal

          类型

          Antibody

          抗原

          Synthetic peptide derived from the C-terminus of the human CUL2
          3D表位/免疫原

          偶联物

          Unconjugated Unconjugated Unconjugated

          形式

          Liquid

          浓度

          0.25 mg/mL

          规格

          100 µg

          纯化类型

          Antigen affinity chromatography

          保存液

          PBS, pH 7.4

          内含物

          0.1% sodium azide

          保存条件

          -20°C

          运输条件

          Ambient (domestic); Wet ice (international)

          RRID

          AB_2533898

          靶标信息

          Core component of multiple cullin-RING-based ECS (ElonginB/C-CUL2/5-SOCS-box protein) E3 ubiquitin-protein ligase complexes, which mediate the ubiquitination of target proteins. ECS complexes and ARIH1 collaborate in tandem to mediate ubiquitination of target proteins (PubMed:27565346). May serve as a rigid scaffold in the complex and may contribute to catalysis through positioning of the substrate and the ubiquitin-conjugating enzyme. The E3 ubiquitin-protein ligase activity of the complex is dependent on the neddylation of the cullin subunit and is inhibited by the association of the deneddylated cullin subunit with TIP120A/CAND1. The functional specificity of the ECS complex depends on the substrate recognition component. ECS(VHL) mediates the ubiquitination of hypoxia-inducible factor (HIF). [UniProt]

          仅用于科研。不用于诊断过程。未经明确授权不得转售。

          生物信息学

          蛋白别名: CUL-2; Cullin family member; Cdc53 homolog; Cullin-2; MGC131970; OTTHUMP00000019437; testis secretory sperm-binding protein Li 238E; unnamed protein product

          查看更多 收起

          基因别名: 1300003D18Rik; 4932411N15Rik; AI327301; CUL2; mKIAA4106

          查看更多 收起

          UniProt ID: (Human) Q13617, (Mouse) Q9D4H8

          查看更多 收起

          Entrez Gene ID: (Human) 8453, (Rat) 361258, (Mouse) 71745

          查看更多 收起

          功能
          ubiquitin-protein transferase activity protein binding protein binding, bridging ubiquitin protein ligase binding ubiquitin ligase complex scaffold activity protein complex binding ubiquitin protein ligase activity ubiquitin-protein ligase
          参与通路
          G1/S transition of mitotic cell cycle ubiquitin-dependent protein catabolic process proteasomal protein catabolic process protein ubiquitination protein catabolic process SCF-dependent proteasomal ubiquitin-dependent protein catabolic process intrinsic apoptotic signaling pathway ubiquitin-dependent protein catabolic process via the C-end degron rule pathway biological_process protein ubiquitination involved in ubiquitin-dependent protein catabolic process
          It has to be done as per old AB suggested Products section.

          Disclaimer

          Close

          Clicking the images or links will redirect you to a website hosted by BenchSci that provides third-party scientific content. Neither the content nor the BenchSci technology and processes for selection have been evaluated by us; we are providing them as-is and without warranty of any kind, including for use or application of the Thermo Fisher Scientific products presented.

          guarantee_icon

          性能保障

          只要您发现Invitrogen抗体在实验中的表现与网站或说明书的所述内容不符,您即可享受免费退换货服务。*

          了解更多
          help_icon

          随时为您服务

          获取常见问题的专家解答,或者直接联系我们的技术专家,咨询应用、设备、常规产品使用问题。

          联系技术支持
          订购 Plus Icon Minus Icon
          • 订单状态查询
          • 订单支持
          • 货号直购
          • 现货供应中心
          • 电子采购
          支持 Plus Icon Minus Icon
          • 帮助&支持
          • 联系我们 - 400 820 8982
          • 技术支持中心
          • 查找文件&证书
          • 报告网站问题
          资源 Plus Icon Minus Icon
          • 学习中心
          • 促销
          • 活动&研讨会
          • 社交媒体
          关于赛默飞 Plus Icon Minus Icon
          • 关于我们
          • 招聘 招聘
          • 投资者关系 投资者关系
          • 新闻 新闻
          • 社会责任 社会责任
          • 商标
          • 政策和通知
          品牌 Plus Icon Minus Icon
          • Thermo Scientific
          • Applied Biosystems
          • Invitrogen
          • Gibco
          • Ion Torrent
          • Unity Lab Services
          • Patheon
          • PPD
          • 服务条款
          • 隐私政策
          • 定价和运输保险政策
          © 2006-2026 Thermo Fisher Scientific Inc. All rights reserved. All trademarks are the property of Thermo Fisher Scientific and its subsidiaries unless otherwise specified.
          China flag icon
          China
          本网站销售的所有产品均不得用于人类或动物之临床诊断或治疗,仅可用于工业或者科研等非医疗目的。
             电子营业执照 | 经营证照公示 | ICP备案号:沪ICP备11003924号 | 沪公网安备 31011502006935号

          Your items have has been added!


          Host server : magellan-search-green-6479c7f679-rv8h9:80/100.66.78.195:80.
          git-commit: b70c0dceb888abc3b0dcebb5bc3a5b8753e7e816
          git-url: https://github.com/thermofisher/magellan-search
          git-branch: release/2.50.0-Offline