Hamburger Menu Button
Thermo Fisher Scientific Logo
登录
没有账号?建立账号 注册
  • 产品
    • 抗体
    • 引物合成
    • GeneArt Gene Synthesis Instant Designer
    • TaqMan Assay and Array Search
    • PCR 设备和耗材
    • 色谱柱和纯化柱
    • 实验室离心机
    • 分子生物学试剂和试剂盒
    • 实验室塑料耗材及用品
    • 查看所有产品分类
  • 应用和技术
    • 色谱
    • 细胞转染和培养
    • 实时荧光定量PCR
    • 质谱
    • 实验室塑料耗材及用品
    • 电子显微镜
    • 蛋白质生物学
    • PCR
    • RNAi
    • 环境
    • 查看所有应用和技术
  • 服务
    • 定制服务
    • 企业级实验室信息化服务
    • 金融&租赁服务
    • 仪器服务
    • OEM和商业供应
    • 培训服务
    • 360° CDMO 和 CRO 服务
    • CDMO 服务
    • 临床试验 CRO 服务
    • Unity Lab Services
    • 查看所有帮助和支持
  • 帮助和支持
    • 学习中心
    • 联系我们
    • 更改国家或地区
    • 查看所有帮助和支持
  • 热门产品
    • TaqMan Real-Time PCR Assays
      TaqMan 实时荧光定量 PCR 试剂盒
    • Antibodies
      抗体
    • Oligos, Primers & Probes
      寡核苷酸、引物、探针
    • GeneArt Gene Synthesis
      GeneArt 基因合成
    • Cell Culture Plastics
      细胞培养耗材
  • Who We Serve
    • 抗体治疗解决方案
    • 细胞与基因治疗解决方案
    • 学术科研
    • 工业与应用
  • 联系我们
  • 货号直购
  • 订单查询
  • 查找文件&证书
Thermo Fisher Scientific Logo

Search

搜索全部或下列指定分类
Search button
          • 联系我们
          • 货号直购
          • 登录
            登录
            没有账号?建立账号 注册
            • 我的账号
            • 订单
            • 会员中心
            • 账单及发票查询
            • 定制产品及项目
          • Primary Antibodies ›
          • Endothelin 1 Antibodies

          Invitrogen

          Endothelin 1 Monoclonal Antibody (TR.ET.48.5)

          7个已发表图片
          41 篇参考文献
          查看其他9个Endothelin 1抗体

          {{$productOrderCtrl.translations['antibody.pdp.commerceCard.promotion.promotions']}}

          {{$productOrderCtrl.translations['antibody.pdp.commerceCard.promotion.viewpromo']}}

          {{$productOrderCtrl.translations['antibody.pdp.commerceCard.promotion.promocode']}}: {{promo.promoCode}} {{promo.promoTitle}} {{promo.promoDescription}}. {{$productOrderCtrl.translations['antibody.pdp.commerceCard.promotion.learnmore']}}

          说明书
          证书
          实验方案
          问题与答案
          技术支持
          说明书
          证书
          实验方案
          问题与答案
          技术支持
          说明书
          证书
          实验方案
          问题与答案
          技术支持

          Cite Endothelin 1 Monoclonal Antibody (TR.ET.48.5)

          Additional Information:
          {{banner.description}}
          {{$ctrl.isSkuNotesCollapsed ? 'View more' : 'View less'}}
          • 抗体检测数据 (9)
          • 已发表图片 (7)
          Endothelin 1 Antibody in Immunocytochemistry (ICC/IF)
          Group 53 Created with Sketch.
          Endothelin 1 Antibody in Immunocytochemistry (ICC/IF)
          Group 53 Created with Sketch.

          图: 1 / 16

          {{ $ctrl.currentElement.advancedVerification.fullName }}
          {{ $ctrl.currentElement.advancedVerification.text }}

          Endothelin 1 Antibody (MA3-005) in ICC/IF

          Immunofluorescent analysis of Endothelin 1 (green) showing positive staining in the secretion of HUVEC cells (right) compared with a negative control in the absence of primary antibody (left). Formalin-fixed cells were permeabilized with 0.1% Triton X-100 in TBS for 5-10 minutes, blocked with 3% BSA-PBS for 30 minutes at room temperature and probed with an Endothelin 1 monoclonal antibody (Product # MA3-005... View More {{ $ctrl.currentElement.advancedVerification.fullName }} 验证信息 View more
          已发表图片由___提供 benchsci-logo
          PMID: {{$ctrl.currentElement.benchSciPubmedId}}
          查看产品

          {{$ctrl.videoDesc}}

          {{$ctrl.videoLongDesc}}

          Endothelin 1 Antibody in Immunocytochemistry (ICC/IF)
          Endothelin 1 Antibody in Immunocytochemistry (ICC/IF)
          Endothelin 1 Antibody in Immunocytochemistry (ICC/IF)
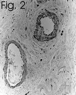
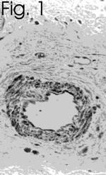
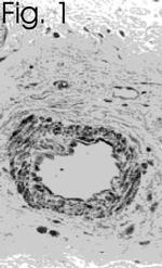
          Endothelin 1 Antibody in Immunohistochemistry (IHC)
          Endothelin 1 Antibody in Immunohistochemistry (IHC)
          Endothelin 1 Antibody in Western Blot (WB)
          Endothelin 1 Antibody in Flow Cytometry (Flow)
          Endothelin 1 Antibody in Flow Cytometry (Flow)
          Endothelin 1 Antibody in Flow Cytometry (Flow)
          Endothelin 1 Antibody in Western Blot (WB)
          Endothelin 1 Antibody in Immunohistochemistry (IHC)
          Endothelin 1 Antibody in Immunohistochemistry (IHC)
          Endothelin 1 Antibody in Immunohistochemistry (IHC)
          Endothelin 1 Antibody in Western Blot (WB)
          Endothelin 1 Antibody in Western Blot (WB)
          Endothelin 1 Antibody in Western Blot (WB)

          产品信息

          MA3-005

          应用
          建议稀释比
          已发表文章

          免疫印迹 (WB)

          1:100-1:1,000
          查看10篇已发表文章 10篇已发表文章

          免疫组化 (IHC)

          -
          查看28篇已发表文章 28篇已发表文章

          免疫组化(石蜡) (IHC (P))

          1:250
          查看1篇已发表文章 1篇已发表文章

          免疫组化(冰冻) (IHC (F))

          1:250
          -

          免疫细胞化学 (ICC/IF)

          1:200-1:1,000
          查看1篇已发表文章 1篇已发表文章

          流式细胞分析 (Flow)

          0.5 µg/test
          查看1篇已发表文章 1篇已发表文章

          放射免疫测定 (RIA)

          1:25,000
          -
          产品规格

          种属反应

          Human, Mouse, Sheep, Rat

          已发表种属

          Chicken, Dog, Human, Mouse, Pig, Rat, Sheep

          宿主/亚型

          Mouse / IgG1

          分类

          Monoclonal

          类型

          Antibody

          克隆号

          TR.ET.48.5

          抗原

          Pure endothelin-1 conjugated to KLH.

          偶联物

          Unconjugated Unconjugated Unconjugated

          形式

          Liquid

          浓度

          2.5 mg/mL

          规格

          250 µg

          纯化类型

          Affinity chromatography

          保存液

          PBS

          内含物

          0.05% sodium azide

          保存条件

          -20°C, Avoid Freeze/Thaw Cycles

          运输条件

          Ambient (domestic); Wet ice (international)

          RRID

          AB_2096246

          产品详细信息

          MA3-005 detects ET-1 from human, sheep, mouse and rat tissues. This antibody shows little cross-reactivity to related peptides and no known cross-reactivity to non-related peptides.

          MA3-005 has been successfully used in Western blot, flow cytometry, immunofluorescence, immunohistochemistry, immunocytochemistry, and radioimmune assay procedures. Immunohistochemical staining of ET-1 in human corpus cavernosum tissue with MA3-005 results in staining of endothelial cells. Radioimmune assays using MA3-005 can be used to concentrate ET-1 in solution (e.g. serµm/plasma, milk, urine). This antibody is not recommended for human placenta tissue or HepG2 cells in Western blot applications.

          For immunohistochemistry with MA3-005 formalin-fixed, paraffin-embedded tissue sections has been used.

          The MA3-005 antigen is purified human endothelin-1. Studies suggest that this antibody binds to an epitope in the region of ET-1 represented by amino acids 8-16.

          靶标信息

          The protein encoded by this gene is proteolytically processed to release a secreted peptide termed endothelin 1. This peptide is a potent vasoconstrictor and is produced by vascular endothelial cells. Endothelin 1 also can affect the central nervous system. Two transcript variants encoding different isoforms have been found for this gene.

          仅用于科研。不用于诊断过程。未经明确授权不得转售。

          生物信息学

          蛋白别名: Big endothelin 1; Big ET; Big ET 1; Big ET1; BigET; EDN1; Endothelin-1; Et; ET-1; ppET-1; PPET1; preproendothelin; Preproendothelin-1; unnamed protein product

          查看更多 收起

          基因别名: ARCND3; EDN1; ET-1; ET1; HDLCQ7; PPET-1; PPET1; preproET; QME

          查看更多 收起

          UniProt ID: (Sheep) Q9BG76, (Human) P05305, (Rat) P22388, (Mouse) P22387

          查看更多 收起

          Entrez Gene ID: (Sheep) 443498, (Human) 1906, (Rat) 24323, (Mouse) 13614

          查看更多 收起

          功能
          receptor binding cytokine activity hormone activity protein binding endothelin A receptor binding endothelin B receptor binding receptor agonist activity peptide hormone
          参与通路
          negative regulation of transcription from RNA polymerase II promoter MAPK cascade skeletal system development patterning of blood vessels response to hypoxia in utero embryonic development histamine secretion response to amphetamine heart process glomerular filtration regulation of systemic arterial blood pressure by endothelin cardiac neural crest cell migration involved in outflow tract morphogenesis noradrenergic neuron differentiation transcription from RNA polymerase II promoter cellular calcium ion homeostasis regulation of pH smooth muscle contraction mitochondrion organization cell surface receptor signaling pathway G-protein coupled receptor signaling pathway adenylate cyclase-inhibiting G-protein coupled receptor signaling pathway phospholipase C-activating G-protein coupled receptor signaling pathway positive regulation of cytosolic calcium ion concentration cell-cell signaling axon guidance heart development respiratory gaseous exchange body fluid secretion regulation of blood pressure positive regulation of cell proliferation response to xenobiotic stimulus dorsal/ventral pattern formation response to ozone positive regulation of heart rate gene expression positive regulation of endothelial cell migration positive regulation of cardiac muscle hypertrophy negative regulation of gene expression regulation of glucose transport neural crest cell development neural crest cell differentiation neural crest cell fate commitment response to activity artery smooth muscle contraction vein smooth muscle contraction regulation of vasoconstriction calcium-mediated signaling signal transduction involved in regulation of gene expression peptide hormone secretion nitric oxide transport negative regulation of blood coagulation positive regulation of cell migration neutrophil chemotaxis thyroid gland development neuron projection development positive regulation of prostaglandin biosynthetic process phospholipase D-activating G-protein coupled receptor signaling pathway positive regulation of prostaglandin secretion response to lipopolysaccharide response to testosterone negative regulation of smooth muscle cell apoptotic process response to prostaglandin F embryonic heart tube development response to nicotine intracellular signal transduction positive regulation of urine volume positive regulation of renal sodium excretion response to muscle stretch epithelial fluid transport vasoconstriction middle ear morphogenesis positive regulation of odontogenesis superoxide anion generation positive regulation of I-kappaB kinase/NF-kappaB signaling rhythmic excitation response to amino acid positive regulation of MAPK cascade protein kinase B signaling response to leptin cellular response to human chorionic gonadotropin stimulus leukocyte activation positive regulation of nitric oxide biosynthetic process positive regulation of cell size positive regulation of mitotic nuclear division positive regulation of transcription from RNA polymerase II promoter positive regulation of smooth muscle contraction positive regulation of JNK cascade positive regulation of hormone secretion negative regulation of hormone secretion blood vessel morphogenesis positive regulation of smooth muscle cell proliferation axon extension positive regulation of calcium-mediated signaling cartilage development negative regulation of protein metabolic process membrane depolarization canonical Wnt signaling pathway maternal process involved in parturition positive regulation of sarcomere organization axonogenesis involved in innervation positive regulation of cell growth involved in cardiac muscle cell development pharyngeal arch artery morphogenesis positive regulation of chemokine-mediated signaling pathway renal sodium ion absorption cellular response to hydrogen peroxide ERK1 and ERK2 cascade calcium ion transmembrane transport cellular response to calcium ion cellular response to interferon-gamma cellular response to interleukin-1 cellular response to tumor necrosis factor cellular response to follicle-stimulating hormone stimulus cellular response to luteinizing hormone stimulus cellular response to peptide hormone stimulus cellular response to glucocorticoid stimulus cellular response to mineralocorticoid stimulus cellular response to fatty acid cellular response to hypoxia cellular response to xenobiotic stimulus response to dexamethasone response to transforming growth factor beta cellular response to transforming growth factor beta stimulus glomerular endothelium development glomerular visceral epithelial cell differentiation endothelin receptor signaling pathway endothelin receptor signaling pathway involved in heart process positive regulation of neutrophil chemotaxis cellular response to toxic substance sympathetic neuron axon guidance regulation of blood vessel diameter cAMP/PKA signal transduction negative regulation of phospholipase C/protein kinase C signal transduction positive regulation of protein localization to nucleus positive regulation of NIK/NF-kappaB signaling response to salt semaphorin-plexin signaling pathway involved in axon guidance meiotic cell cycle process involved in oocyte maturation positive regulation of vascular smooth muscle cell proliferation positive regulation of artery morphogenesis prostaglandin biosynthetic process protein kinase C-activating G-protein coupled receptor signaling pathway multicellular organism aging positive regulation of receptor biosynthetic process phosphatidylinositol 3-kinase signaling glucose transport cell growth sensory perception of pain negative regulation of cAMP biosynthetic process negative regulation of cellular protein metabolic process cellular response to drug protein kinase C deactivation response to drug positive regulation of MAP kinase activity positive regulation of JUN kinase activity inositol phosphate-mediated signaling positive regulation of cytosolic calcium ion concentration involved in phospholipase C-activating G-protein coupled signaling pathway negative regulation of nitric-oxide synthase biosynthetic process regulation of sensory perception of pain positive regulation of prostaglandin-endoperoxide synthase activity regulation of blood vessel size
          It has to be done as per old AB suggested Products section.

          Disclaimer

          Close

          Clicking the images or links will redirect you to a website hosted by BenchSci that provides third-party scientific content. Neither the content nor the BenchSci technology and processes for selection have been evaluated by us; we are providing them as-is and without warranty of any kind, including for use or application of the Thermo Fisher Scientific products presented.

          guarantee_icon

          性能保障

          只要您发现Invitrogen抗体在实验中的表现与网站或说明书的所述内容不符,您即可享受免费退换货服务。*

          了解更多
          help_icon

          随时为您服务

          获取常见问题的专家解答,或者直接联系我们的技术专家,咨询应用、设备、常规产品使用问题。

          联系技术支持
          订购 Plus Icon Minus Icon
          • 订单状态查询
          • 订单支持
          • 货号直购
          • 现货供应中心
          • 电子采购
          支持 Plus Icon Minus Icon
          • 帮助&支持
          • 联系我们 - 400 820 8982
          • 技术支持中心
          • 查找文件&证书
          • 报告网站问题
          资源 Plus Icon Minus Icon
          • 学习中心
          • 促销
          • 活动&研讨会
          • 社交媒体
          关于赛默飞 Plus Icon Minus Icon
          • 关于我们
          • 招聘 招聘
          • 投资者关系 投资者关系
          • 新闻 新闻
          • 社会责任 社会责任
          • 商标
          • 政策和通知
          品牌 Plus Icon Minus Icon
          • Thermo Scientific
          • Applied Biosystems
          • Invitrogen
          • Gibco
          • Ion Torrent
          • Unity Lab Services
          • Patheon
          • PPD
          • 服务条款
          • 隐私政策
          • 定价和运输保险政策
          © 2006-2026 Thermo Fisher Scientific Inc. All rights reserved. All trademarks are the property of Thermo Fisher Scientific and its subsidiaries unless otherwise specified.
          China flag icon
          China
          本网站销售的所有产品均不得用于人类或动物之临床诊断或治疗,仅可用于工业或者科研等非医疗目的。
             电子营业执照 | 经营证照公示 | ICP备案号:沪ICP备11003924号 | 沪公网安备 31011502006935号

          Your items have has been added!


          Host server : magellan-search-green-6479c7f679-zb4k5:80/100.66.74.142:80.
          git-commit: b70c0dceb888abc3b0dcebb5bc3a5b8753e7e816
          git-url: https://github.com/thermofisher/magellan-search
          git-branch: release/2.50.0-Offline