Hamburger Menu Button
Thermo Fisher Scientific Logo
登录
没有账号?建立账号 注册
  • 产品
    • 抗体
    • 引物合成
    • GeneArt Gene Synthesis Instant Designer
    • TaqMan Assay and Array Search
    • PCR 设备和耗材
    • 色谱柱和纯化柱
    • 实验室离心机
    • 分子生物学试剂和试剂盒
    • 实验室塑料耗材及用品
    • 查看所有产品分类
  • 应用和技术
    • 色谱
    • 细胞转染和培养
    • 实时荧光定量PCR
    • 质谱
    • 实验室塑料耗材及用品
    • 电子显微镜
    • 蛋白质生物学
    • PCR
    • RNAi
    • 环境
    • 查看所有应用和技术
  • 服务
    • 定制服务
    • 企业级实验室信息化服务
    • 金融&租赁服务
    • 仪器服务
    • OEM和商业供应
    • 培训服务
    • 360° CDMO 和 CRO 服务
    • CDMO 服务
    • 临床试验 CRO 服务
    • Unity Lab Services
    • 查看所有帮助和支持
  • 帮助和支持
    • 学习中心
    • 联系我们
    • 更改国家或地区
    • 查看所有帮助和支持
  • 热门产品
    • TaqMan Real-Time PCR Assays
      TaqMan 实时荧光定量 PCR 试剂盒
    • Antibodies
      抗体
    • Oligos, Primers & Probes
      寡核苷酸、引物、探针
    • GeneArt Gene Synthesis
      GeneArt 基因合成
    • Cell Culture Plastics
      细胞培养耗材
  • Who We Serve
    • 抗体治疗解决方案
    • 细胞与基因治疗解决方案
    • 学术科研
    • 工业与应用
  • 联系我们
  • 货号直购
  • 订单查询
  • 查找文件&证书
Thermo Fisher Scientific Logo

Search

搜索全部或下列指定分类
Search button
          • 联系我们
          • 货号直购
          • 登录
            登录
            没有账号?建立账号 注册
            • 我的账号
            • 订单
            • 会员中心
            • 账单及发票查询
            • 定制产品及项目
          • Primary Antibodies ›
          • GPX1 Antibodies

          Invitrogen

          GPX1 Monoclonal Antibody (8B10)

          查看其他23个GPX1抗体

          {{$productOrderCtrl.translations['antibody.pdp.commerceCard.promotion.promotions']}}

          {{$productOrderCtrl.translations['antibody.pdp.commerceCard.promotion.viewpromo']}}

          {{$productOrderCtrl.translations['antibody.pdp.commerceCard.promotion.promocode']}}: {{promo.promoCode}} {{promo.promoTitle}} {{promo.promoDescription}}. {{$productOrderCtrl.translations['antibody.pdp.commerceCard.promotion.learnmore']}}

          说明书
          证书
          实验方案
          问题与答案
          技术支持
          说明书
          证书
          实验方案
          问题与答案
          技术支持
          说明书
          证书
          实验方案
          问题与答案
          技术支持

          Cite GPX1 Monoclonal Antibody (8B10)

          Additional Information:
          {{banner.description}}
          {{$ctrl.isSkuNotesCollapsed ? 'View more' : 'View less'}}
          • 抗体检测数据 (8)
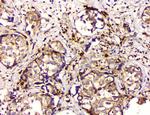
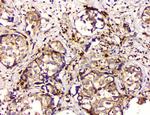
          GPX1 Antibody in Immunohistochemistry (Paraffin) (IHC (P))
          Group 53 Created with Sketch.
          GPX1 Antibody in Immunohistochemistry (Paraffin) (IHC (P))
          Group 53 Created with Sketch.

          图: 1 / 8

          {{ $ctrl.currentElement.advancedVerification.fullName }}
          {{ $ctrl.currentElement.advancedVerification.text }}

          GPX1 Antibody (MA5-49180) in IHC (P)

          Immunohistochemistry analysis of GPX1 in paraffin-embedded section of human colon cancer tissue. Heat mediated antigen retrieval was performed in EDTA buffer (pH8.0, epitope retrieval solution). The tissue section was blocked with 10% goat serum. Samples were incubated with GPX1 Monoclonal antibody (Product # MA5-49180) using a dilution of 5 μg/mL overnight at 4°C. Biotin conjugated goat anti-mouse IgG was ... View More {{ $ctrl.currentElement.advancedVerification.fullName }} 验证信息 View more
          已发表图片由___提供 benchsci-logo
          PMID: {{$ctrl.currentElement.benchSciPubmedId}}
          查看产品

          {{$ctrl.videoDesc}}

          {{$ctrl.videoLongDesc}}

          GPX1 Antibody in Immunohistochemistry (Paraffin) (IHC (P))
          GPX1 Antibody in Immunohistochemistry (Paraffin) (IHC (P))
          GPX1 Antibody in Immunohistochemistry (Paraffin) (IHC (P))
          GPX1 Antibody in Western Blot (WB)
          GPX1 Antibody in Flow Cytometry (Flow)
          GPX1 Antibody in Flow Cytometry (Flow)
          GPX1 Antibody in Flow Cytometry (Flow)
          GPX1 Antibody in Flow Cytometry (Flow)
          GPX1 Monoclonal Antibody (8B10)

          产品信息

          MA5-49180

          应用
          建议稀释比
          已发表文章

          免疫印迹 (WB)

          0.1-0.5 µg/mL
          -

          免疫组化(石蜡) (IHC (P))

          0.5-1 µg/mL
          -

          免疫细胞化学 (ICC/IF)

          5 µg/mL
          -

          流式细胞分析 (Flow)

          1-3 µg/1x10^6 cells
          -
          产品规格

          种属反应

          Human, Mouse, Rat

          宿主/亚型

          Mouse / IgG2b

          分类

          Monoclonal

          类型

          Antibody

          克隆号

          8B10

          抗原

          A synthetic peptide corresponding to a sequence in the middle region of human GPX1 (116-146aa EVNGAGAHPLFAFLREALPAPSDDATALMTD).
          3D表位/免疫原

          偶联物

          Unconjugated Unconjugated Unconjugated

          形式

          Lyophilized

          浓度

          500 µg/mL

          规格

          100 µg

          纯化类型

          Antigen affinity chromatography

          保存液

          PBS with 4mg trehalose

          内含物

          0.05mg sodium azide

          保存条件

          -20°C

          运输条件

          Ambient (domestic); Wet ice (international)

          RRID

          AB_3074838

          产品详细信息

          Adding 0.2 mL of distilled water will yield a concentration of 500 µg/mL.

          Immunogen sequence is different from the related mouse sequence by six amino acids and from the related rat sequence by five amino acids.

          Positive Control - WB: human placenta tissue, human U-87 whole cell, human THP-1 whole cell, human U-937 whole cell, human HepG2 whole cell, rat brain tissue, rat thymus tissue, rat lung tissue, rat liver tissue, mouse brain tissue, mouse thymus tissue, mouse lung tissue, mouse liver tissue. IHC: human lung cancer tissue, human mammary cancer tissue. Flow: U87 cell, U251 cell.|Store at -20°C for one year from date of receipt. After reconstitution, at 4°C for one month. It can also be aliquotted and stored frozen at -20°C for six months. Avoid repeated freeze-thaw cycles.

          靶标信息

          Glutathione peroxidases (Gpxs) are ubiquitously expressed proteins which catalyze the reduction of hydrogen peroxides and organic hydroperoxides by glutathione. There are several isoforms which differ in their primary structure and localization. The classical cytosolic/mitochondrial GPx1 (cGPx) is a selenium-dependent enzyme, first of the GPx family to be discovered. GPx2, also known as gastrointestinal GPx (GI-GPx), is an intracellular enzyme expressed only at the epithelium of the gastrointestinal tract. Extracellular plasma GPx (pGPx or GPx3) is mainly expressed by the kidney from where it is released into the blood circulation. Phospholipid hydroperoxide GPx4 (PH-GPx) expressed in most tissues, can reduce many hydroperoxides including hydroperoxides integrated in membranes, hydroperoxy lipids in low density lipoprotein or thymine. All mammalian GPx family members, except for the recently described Cys containing GPx3 and epididymis-specific secretory GPx (eGPx or GPx5) isoforms, possess selenocysteine at the active site.

          仅用于科研。不用于诊断过程。未经明确授权不得转售。

          篇参考文献 (0)

          您是否在文献中引用过该产品?请点击下方按钮邮件告知我们。
          引用该产品

          生物信息学

          蛋白别名: Cellular glutathione peroxidase; Glutathione peroxidase 1; GPx-1; GSHPx-1; HGNC:4553; MGC14399; MGC88245; OTTHUMP00000210766; Phospholipid-hydroperoxide glutathione peroxidase GPX1; Selenium-dependent glutathione peroxidase 1; selenoprotein GPX1; unnamed protein product

          查看更多 收起

          基因别名: AI195024; AL033363; CGPx; Gpx; GPx-1; GPX1; GPXD; GSHPx; GSHPx-1; GSHPX1

          查看更多 收起

          UniProt ID: (Human) P07203, (Rat) P04041, (Mouse) P11352

          查看更多 收起

          Entrez Gene ID: (Human) 2876, (Rat) 24404, (Mouse) 14775

          查看更多 收起

          功能
          peroxidase activity glutathione peroxidase activity protein binding oxidoreductase activity SH3 domain binding phospholipid-hydroperoxide glutathione peroxidase activity protein tyrosine kinase binding selenium binding glutathione binding peroxidase
          参与通路
          response to reactive oxygen species temperature homeostasis endothelial cell development negative regulation of inflammatory response to antigenic stimulus lipid metabolic process triglyceride metabolic process glutathione metabolic process apoptotic process response to oxidative stress sensory perception of sound intrinsic apoptotic signaling pathway in response to oxidative stress response to xenobiotic stimulus response to symbiotic bacterium response to wounding response to toxic substance UV protection response to hormone response to glucose response to selenium ion response to gamma radiation myotube differentiation arachidonic acid metabolic process lipoxygenase pathway response to estradiol response to lipopolysaccharide response to hydroperoxide response to vitamin E regulation of mammary gland epithelial cell proliferation cellular response to oxidative stress response to nicotine regulation of gene expression, epigenetic vasodilation response to hydrogen peroxide hydrogen peroxide catabolic process skeletal muscle tissue regeneration blood vessel endothelial cell migration fat cell differentiation myoblast differentiation cell redox homeostasis fibroblast proliferation skeletal muscle fiber development neuron apoptotic process myoblast proliferation response to folic acid interaction with symbiont positive regulation of protein kinase B signaling heart contraction angiogenesis involved in wound healing regulation of proteasomal protein catabolic process cellular response to glucose stimulus negative regulation of release of cytochrome c from mitochondria cellular oxidant detoxification negative regulation of extrinsic apoptotic signaling pathway via death domain receptors negative regulation of oxidative stress-induced intrinsic apoptotic signaling pathway positive regulation of supramolecular fiber organization response to lipid hydroperoxide aging cell proliferation response to organic cyclic compound protein oxidation negative regulation of apoptotic process negative regulation of cysteine-type endopeptidase activity involved in apoptotic process regulation of neuron apoptotic process oxidation-reduction process
          It has to be done as per old AB suggested Products section.

          Disclaimer

          Close

          Clicking the images or links will redirect you to a website hosted by BenchSci that provides third-party scientific content. Neither the content nor the BenchSci technology and processes for selection have been evaluated by us; we are providing them as-is and without warranty of any kind, including for use or application of the Thermo Fisher Scientific products presented.

          guarantee_icon

          性能保障

          只要您发现Invitrogen抗体在实验中的表现与网站或说明书的所述内容不符,您即可享受免费退换货服务。*

          了解更多
          help_icon

          随时为您服务

          获取常见问题的专家解答,或者直接联系我们的技术专家,咨询应用、设备、常规产品使用问题。

          联系技术支持
          订购 Plus Icon Minus Icon
          • 订单状态查询
          • 订单支持
          • 货号直购
          • 现货供应中心
          • 电子采购
          支持 Plus Icon Minus Icon
          • 帮助&支持
          • 联系我们 - 400 820 8982
          • 技术支持中心
          • 查找文件&证书
          • 报告网站问题
          资源 Plus Icon Minus Icon
          • 学习中心
          • 促销
          • 活动&研讨会
          • 社交媒体
          关于赛默飞 Plus Icon Minus Icon
          • 关于我们
          • 招聘 招聘
          • 投资者关系 投资者关系
          • 新闻 新闻
          • 社会责任 社会责任
          • 商标
          • 政策和通知
          品牌 Plus Icon Minus Icon
          • Thermo Scientific
          • Applied Biosystems
          • Invitrogen
          • Gibco
          • Ion Torrent
          • Unity Lab Services
          • Patheon
          • PPD
          • 服务条款
          • 隐私政策
          • 定价和运输保险政策
          © 2006-2026 Thermo Fisher Scientific Inc. All rights reserved. All trademarks are the property of Thermo Fisher Scientific and its subsidiaries unless otherwise specified.
          China flag icon
          China
          本网站销售的所有产品均不得用于人类或动物之临床诊断或治疗,仅可用于工业或者科研等非医疗目的。
             电子营业执照 | 经营证照公示 | ICP备案号:沪ICP备11003924号 | 沪公网安备 31011502006935号

          Your items have has been added!


          Host server : magellan-search-green-6479c7f679-v472f:80/100.66.78.195:80.
          git-commit: b70c0dceb888abc3b0dcebb5bc3a5b8753e7e816
          git-url: https://github.com/thermofisher/magellan-search
          git-branch: release/2.50.0-Offline