Hamburger Menu Button
Thermo Fisher Scientific Logo
登录
没有账号?建立账号 注册
  • 产品
    • 抗体
    • 引物合成
    • GeneArt Gene Synthesis Instant Designer
    • TaqMan Assay and Array Search
    • PCR 设备和耗材
    • 色谱柱和纯化柱
    • 实验室离心机
    • 分子生物学试剂和试剂盒
    • 实验室塑料耗材及用品
    • 查看所有产品分类
  • 应用和技术
    • 色谱
    • 细胞转染和培养
    • 实时荧光定量PCR
    • 质谱
    • 实验室塑料耗材及用品
    • 电子显微镜
    • 蛋白质生物学
    • PCR
    • RNAi
    • 环境
    • 查看所有应用和技术
  • 服务
    • 定制服务
    • 企业级实验室信息化服务
    • 金融&租赁服务
    • 仪器服务
    • OEM和商业供应
    • 培训服务
    • 360° CDMO 和 CRO 服务
    • CDMO 服务
    • 临床试验 CRO 服务
    • Unity Lab Services
    • 查看所有帮助和支持
  • 帮助和支持
    • 学习中心
    • 联系我们
    • 更改国家或地区
    • 查看所有帮助和支持
  • 热门产品
    • TaqMan Real-Time PCR Assays
      TaqMan 实时荧光定量 PCR 试剂盒
    • Antibodies
      抗体
    • Oligos, Primers & Probes
      寡核苷酸、引物、探针
    • GeneArt Gene Synthesis
      GeneArt 基因合成
    • Cell Culture Plastics
      细胞培养耗材
  • Who We Serve
    • 抗体治疗解决方案
    • 细胞与基因治疗解决方案
    • 学术科研
    • 工业与应用
  • 联系我们
  • 货号直购
  • 订单查询
  • 查找文件&证书
Thermo Fisher Scientific Logo

Search

搜索全部或下列指定分类
Search button
          • 联系我们
          • 货号直购
          • 登录
            登录
            没有账号?建立账号 注册
            • 我的账号
            • 订单
            • 账单及发票查询
            • 定制产品及项目
          • Primary Antibodies ›
          • H-Ras Antibodies

          Invitrogen

          H-Ras Polyclonal Antibody

          查看其他23个H-Ras抗体

          {{$productOrderCtrl.translations['antibody.pdp.commerceCard.promotion.promotions']}}

          {{$productOrderCtrl.translations['antibody.pdp.commerceCard.promotion.viewpromo']}}

          {{$productOrderCtrl.translations['antibody.pdp.commerceCard.promotion.promocode']}}: {{promo.promoCode}} {{promo.promoTitle}} {{promo.promoDescription}}. {{$productOrderCtrl.translations['antibody.pdp.commerceCard.promotion.learnmore']}}

          说明书
          证书
          实验方案
          问题与答案
          技术支持
          说明书
          证书
          实验方案
          问题与答案
          技术支持
          说明书
          证书
          实验方案
          问题与答案
          技术支持

          Cite H-Ras Polyclonal Antibody

          Additional Information:
          {{banner.description}}
          {{$ctrl.isSkuNotesCollapsed ? 'View more' : 'View less'}}
          • 抗体检测数据 (2)
          H-Ras Antibody in Immunohistochemistry (Paraffin) (IHC (P))
          Group 53 Created with Sketch.
          H-Ras Antibody in Immunohistochemistry (Paraffin) (IHC (P))
          Group 53 Created with Sketch.

          图: 1 / 2

          {{ $ctrl.currentElement.advancedVerification.fullName }}
          {{ $ctrl.currentElement.advancedVerification.text }}

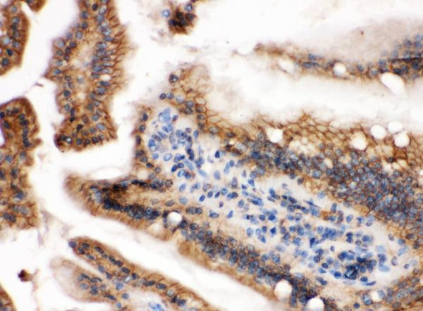
          H-Ras Antibody (PA5-94930) in IHC (P)

          Immunohistochemical analysis of GTPase HRAS in paraffin-embedded section of mouse intestine tissue. Heat mediated antigen retrieval was performed in citrate buffer (pH6, epitope retrieval solution) for 20 mins. The tissue section was blocked with 10% goat serum. The tissue section was then incubated with 1μg/mL rabbit anti-GTPase HRAS antibody (Product # PA5-94930) overnight at 4°C. Biotinylated goat anti-r... View More {{ $ctrl.currentElement.advancedVerification.fullName }} 验证信息 View more
          已发表图片由___提供 benchsci-logo
          PMID: {{$ctrl.currentElement.benchSciPubmedId}}
          查看产品

          {{$ctrl.videoDesc}}

          {{$ctrl.videoLongDesc}}

          H-Ras Antibody in Immunohistochemistry (Paraffin) (IHC (P))
          H-Ras Antibody in Western Blot (WB)
          H-Ras Polyclonal Antibody

          产品信息

          PA5-94930

          应用
          建议稀释比
          已发表文章

          免疫印迹 (WB)

          0.1-0.5 µg/mL
          -

          免疫组化(石蜡) (IHC (P))

          0.5-1 µg/mL
          -
          产品规格

          种属反应

          Human, Mouse, Rat

          宿主/亚型

          Rabbit / IgG

          分类

          Polyclonal

          类型

          Antibody

          抗原

          A synthetic peptide corresponding to a sequence at the C-terminus of human GTPase HRAS (101-137aa KRVKDSDDVPMVLVGNKCDLAARTVESRQAQDLAR SY).
          3D表位/免疫原

          偶联物

          Unconjugated Unconjugated Unconjugated

          形式

          Lyophilized

          浓度

          500 µg/mL

          规格

          100 µg

          纯化类型

          Affinity chromatography

          保存液

          PBS with 5mg BSA

          内含物

          0.05mg sodium azide

          保存条件

          -20°C

          运输条件

          Ambient (domestic); Wet ice (international)

          RRID

          AB_2806736

          产品详细信息

          Reconstitute with 0.2 mL of distilled water to yield a concentration of 500 µg/mL.

          Positive Control - WB: Rat Brain Tissue, Mouse Brain Tissue, HEPA whole cell. IHC: mouse intestine tissue.|Store at -20°C for one year from date of receipt. After reconstitution, at 4°C for one month. It can also be aliquotted and stored frozen at -20°C for six months. Avoid repeated freeze-thaw cycles.

          靶标信息

          Monomeric G protein Ras functions as a molecular switch linking receptor and nonreceptor tyrosine kinase activation to a number of downstream signaling pathways leading to distinct cytoplasmic or nuclear events. Each mammalian cell contains three Ras proto-oncogene coding for closely related Ras proteins: H-, K-, N-Ras. Oncogenic mutations in Ras genes are present in ~30% of all human cancers. Constitutive activation of Ras due to mutations or overexpression stimulates proliferation and inhibition of apoptosis. K-Ras mutations are common in pancreatic, colorectal and nonsmall-cell lung carcinomas; H-Ras mutations are common in bladder, kidney and thyroid carcinomas; N-Ras mutations are found in melanoma, hematological malignancies and hepatocellular carcinaoma.

          仅用于科研。不用于诊断过程。未经明确授权不得转售。

          篇参考文献 (0)

          您是否在文献中引用过该产品?请点击下方按钮邮件告知我们。
          引用该产品

          生物信息学

          蛋白别名: c-H-ras; c-Ha-ras p21 protein; c-Ha-ras transgene; c-has/bas p21 protein; GTP- and GDP-binding peptide B; GTPase HRas; GTPase Hras1; H-ras 1 protein; H-Ras-1; Ha-Ras; Ha-Ras1 proto-oncoprotein; Harvey ras1 protein; Harvey rat sarcoma viral (v-Ha-ras) oncogene homolog; Harvey rat sarcoma viral oncogene homolog; Harvey rat sarcoma viral oncoprotein; Harvey rat sarcoma virus oncogene 1; HRAS; p19 H-RasIDX protein; p21ras; Ras family small GTP binding protein H-Ras; small GTP binding protein; transformation gene: oncogene HAMSV; Transforming protein p21; v-Ha-ras Harvey rat sarcoma viral oncogene homolog

          查看更多 收起

          基因别名: C-BAS/HAS; C-H-RAS; c-Ha-ras; C-HA-RAS1; c-rasHa; CTLO; H-ras; H-RASIDX; Ha-ras; HAMSV; Harvey-ras; HRAS; Hras-1; HRAS1; Kras2; p21ras; ras; RASH1

          查看更多 收起

          UniProt ID: (Human) P01112, (Mouse) Q61411, (Rat) P20171

          查看更多 收起

          Entrez Gene ID: (Human) 3265, (Mouse) 15461, (Rat) 293621

          查看更多 收起

          功能
          nucleotide binding GTPase activity obsolete small monomeric GTPase activity protein binding GTP binding hydrolase activity GDP binding protein anchor phospholipase C activator activity protein C-terminus binding small GTPase
          参与通路
          MAPK cascade regulation of transcription from RNA polymerase II promoter endocytosis chemotaxis signal transduction cell surface receptor signaling pathway small GTPase mediated signal transduction Ras protein signal transduction positive regulation of cell proliferation negative regulation of cell proliferation insulin receptor signaling pathway organ morphogenesis positive regulation of gene expression negative regulation of gene expression Schwann cell development positive regulation of cell migration positive regulation of interferon-gamma production regulation of actin cytoskeleton organization T-helper 1 type immune response regulation of cell proliferation myelination defense response to protozoan positive regulation of MAPK cascade negative regulation of neuron apoptotic process positive regulation of transcription from RNA polymerase II promoter positive regulation of JNK cascade fibroblast proliferation positive regulation of fibroblast proliferation regulation of long-term neuronal synaptic plasticity positive regulation of epithelial cell proliferation T cell receptor signaling pathway neuron apoptotic process regulation of cell cycle adipose tissue development positive regulation of ERK1 and ERK2 cascade cellular response to gamma radiation positive regulation of wound healing positive regulation of protein targeting to membrane cellular senescence oncogene-induced cell senescence intrinsic apoptotic signaling pathway regulation of neurotransmitter receptor localization to postsynaptic specialization membrane positive regulation of ruffle assembly positive regulation of miRNA metabolic process positive regulation of protein phosphorylation apoptotic process cell cycle arrest mitotic cell cycle checkpoint cell aging cell proliferation negative regulation of GTPase activity positive regulation of MAP kinase activity positive regulation of GTPase activity positive regulation of DNA replication positive regulation of Ras protein signal transduction protein heterooligomerization positive regulation of actin cytoskeleton reorganization visual learning actin cytoskeleton organization regulation of synaptic transmission, GABAergic positive regulation of Rac protein signal transduction social behavior negative regulation of cell differentiation striated muscle cell differentiation epithelial tube branching involved in lung morphogenesis
          It has to be done as per old AB suggested Products section.

          Disclaimer

          Close

          Clicking the images or links will redirect you to a website hosted by BenchSci that provides third-party scientific content. Neither the content nor the BenchSci technology and processes for selection have been evaluated by us; we are providing them as-is and without warranty of any kind, including for use or application of the Thermo Fisher Scientific products presented.

          guarantee_icon

          性能保障

          只要您发现Invitrogen抗体在实验中的表现与网站或说明书的所述内容不符,您即可享受免费退换货服务。*

          了解更多
          help_icon

          随时为您服务

          获取常见问题的专家解答,或者直接联系我们的技术专家,咨询应用、设备、常规产品使用问题。

          联系技术支持
          订购 Plus Icon Minus Icon
          • 订单状态查询
          • 订单支持
          • 货号直购
          • 现货供应中心
          • 电子采购
          支持 Plus Icon Minus Icon
          • 帮助&支持
          • 联系我们 - 400 820 8982
          • 技术支持中心
          • 查找文件&证书
          • 报告网站问题
          资源 Plus Icon Minus Icon
          • 学习中心
          • 促销
          • 活动&研讨会
          • 社交媒体
          关于赛默飞 Plus Icon Minus Icon
          • 关于我们
          • 招聘 招聘
          • 投资者关系 投资者关系
          • 新闻 新闻
          • 社会责任 社会责任
          • 商标
          • 政策和通知
          品牌 Plus Icon Minus Icon
          • Thermo Scientific
          • Applied Biosystems
          • Invitrogen
          • Gibco
          • Ion Torrent
          • Unity Lab Services
          • Patheon
          • PPD
          • 服务条款
          • 隐私政策
          • 定价和运输保险政策
          © 2006-2026 Thermo Fisher Scientific Inc. All rights reserved. All trademarks are the property of Thermo Fisher Scientific and its subsidiaries unless otherwise specified.
          China flag icon
          China
          本网站销售的所有产品均不得用于人类或动物之临床诊断或治疗,仅可用于工业或者科研等非医疗目的。
             电子营业执照 | 经营证照公示 | ICP备案号:沪ICP备11003924号 | 沪公网安备 31011502006935号

          Your items have has been added!


          Host server : magellan-search-blue-744bc48644-nrcn4:80/100.66.78.247:80.
          git-commit: 747bde55a712f6f97bf7760408d445eefba4e16f
          git-url: https://github.com/thermofisher/magellan-search
          git-branch: release/2.48.0-Offline