Hamburger Menu Button
Thermo Fisher Scientific Logo
登录
没有账号?建立账号 注册
  • 产品
    • 抗体
    • 引物合成
    • GeneArt Gene Synthesis Instant Designer
    • TaqMan Assay and Array Search
    • PCR 设备和耗材
    • 色谱柱和纯化柱
    • 实验室离心机
    • 分子生物学试剂和试剂盒
    • 实验室塑料耗材及用品
    • 查看所有产品分类
  • 应用和技术
    • 色谱
    • 细胞转染和培养
    • 实时荧光定量PCR
    • 质谱
    • 实验室塑料耗材及用品
    • 电子显微镜
    • 蛋白质生物学
    • PCR
    • RNAi
    • 环境
    • 查看所有应用和技术
  • 服务
    • 定制服务
    • 企业级实验室信息化服务
    • 企业服务
    • 金融&租赁服务
    • 仪器服务
    • OEM和商业供应
    • 培训服务
    • 360° CDMO 和 CRO 服务
    • CDMO 服务
    • 临床试验 CRO 服务
    • 查看所有帮助和支持
  • 帮助和支持
    • 学习中心
    • 联系我们
    • 更改国家或地区
    • 查看所有帮助和支持
  • 热门产品
    • TaqMan Real-Time PCR Assays
      TaqMan 实时荧光定量 PCR 试剂盒
    • Antibodies
      抗体
    • Oligos, Primers & Probes
      寡核苷酸、引物、探针
    • GeneArt Gene Synthesis
      GeneArt 基因合成
    • Cell Culture Plastics
      细胞培养耗材
  • 联系我们
  • 货号直购
  • 订单查询
  • 查找文件&证书
Thermo Fisher Scientific Logo

Search

搜索全部或下列指定分类
Search button
          • 联系我们
          • 货号直购
          • 登录
            登录
            没有账号?建立账号 注册
            • 我的账号
            • 订单
            • 账单及发票查询
            • 定制产品及项目

          Disclaimer

          Clicking the images or links will redirect you to a website hosted by BenchSci that provides third-party scientific content. Neither the content nor the BenchSci technology and processes for selection have been evaluated by us; we are providing them as-is and without warranty of any kind, including for use or application of the Thermo Fisher Scientific products presented.

          • Primary Antibodies ›
          • HDAC6 Antibodies

          OriGene

          HDAC6 Monoclonal Antibody (OTI3E7), TrueMAB™

          查看其他29个HDAC6抗体

          {{$productOrderCtrl.translations['antibody.pdp.commerceCard.promotion.promotions']}}

          {{$productOrderCtrl.translations['antibody.pdp.commerceCard.promotion.viewpromo']}}

          {{$productOrderCtrl.translations['antibody.pdp.commerceCard.promotion.promocode']}}: {{promo.promoCode}} {{promo.promoTitle}} {{promo.promoDescription}}. {{$productOrderCtrl.translations['antibody.pdp.commerceCard.promotion.learnmore']}}

          说明书
          证书
          实验方案
          问题与答案
          技术支持
          说明书
          证书
          实验方案
          问题与答案
          技术支持
          说明书
          证书
          实验方案
          问题与答案
          技术支持

          Cite HDAC6 Monoclonal Antibody (OTI3E7), TrueMAB™

          • 抗体检测数据 (13)
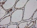
          HDAC6 Antibody in Immunohistochemistry (Paraffin) (IHC (P))
          Group 53 Created with Sketch.
          HDAC6 Antibody in Immunohistochemistry (Paraffin) (IHC (P))
          Group 53 Created with Sketch.

          图: 1 / 13

          {{ $ctrl.currentElement.advancedVerification.fullName }}
          {{ $ctrl.currentElement.advancedVerification.text }}

          HDAC6 Antibody (CF502177) in IHC (P)

          Immunohistochemical staining of paraffin-embedded human lymphoma tissue using anti-HDAC6 mouse monoclonal antibody. (Heat-induced epitope retrieval by 10mM citric buffer, pH6.0, 100°C for 10min, TA502177) {{ $ctrl.currentElement.advancedVerification.fullName }} 验证信息 View more
          已发表图片由___提供 benchsci-logo
          PMID: {{$ctrl.currentElement.benchSciPubmedId}}
          查看产品

          {{$ctrl.videoDesc}}

          {{$ctrl.videoLongDesc}}

          HDAC6 Antibody in Immunohistochemistry (Paraffin) (IHC (P))
          HDAC6 Antibody in Immunohistochemistry (Paraffin) (IHC (P))
          HDAC6 Antibody in Immunohistochemistry (Paraffin) (IHC (P))
          HDAC6 Antibody in Immunohistochemistry (Paraffin) (IHC (P))
          HDAC6 Antibody in Immunohistochemistry (Paraffin) (IHC (P))
          HDAC6 Antibody in Immunohistochemistry (Paraffin) (IHC (P))
          HDAC6 Antibody in Immunohistochemistry (Paraffin) (IHC (P))
          HDAC6 Antibody in Immunohistochemistry (Paraffin) (IHC (P))
          HDAC6 Antibody in Immunohistochemistry (Paraffin) (IHC (P))
          HDAC6 Antibody in Western Blot (WB)
          HDAC6 Antibody in Western Blot (WB)
          HDAC6 Antibody in Flow Cytometry (Flow)
          HDAC6 Antibody in Flow Cytometry (Flow)
          HDAC6 Monoclonal Antibody (OTI3E7), TrueMAB™

          产品信息

          CF502177

          应用
          建议稀释比
          已发表文章

          免疫印迹 (WB)

          1:500-1:1,000
          -

          免疫组化(石蜡) (IHC (P))

          1:150
          -

          流式细胞分析 (Flow)

          1:100
          -
          产品规格

          种属反应

          Human

          宿主/亚型

          Mouse / IgG1

          分类

          Monoclonal

          类型

          Antibody

          克隆号

          OTI3E7

          抗原

          Full length human recombinant protein of human HDAC6 produced in HEK293T cell.
          查看免疫原

          偶联物

          Unconjugated Unconjugated Unconjugated

          形式

          Lyophilized

          浓度

          1 mg/mL

          纯化类型

          Affinity chromatography

          保存液

          PBS, pH 7.3, with 8% trehalose

          内含物

          no preservative

          保存条件

          -20°C, Avoid Freeze/Thaw Cycles

          运输条件

          Ambient (domestic); Wet ice (international)

          产品详细信息

          For reconstitution, we recommend adding 100 µL distilled water to a final antibody concentration of about 1 mg/mL. To use this carrier-free antibody for conjugation experiments, we strongly recommend performing another round of desalting. (Zeba Spin Desalting Columns, 7KMWCO, 0.5 mL, Product # 89882)

          靶标信息

          Responsible for the deacetylation of lysine residues on the N-terminal part of the core histones (H2A, H2B, H3 and H4). Histone deacetylation gives a tag for epigenetic repression and plays an important role in transcriptional regulation, cell cycle progression and developmental events. Histone deacetylases act via the formation of large multiprotein complexes. Plays a central role in microtubule-dependent cell motility via deacetylation of tubulin.

          仅用于科研。不用于诊断过程。未经明确授权不得转售。

          篇参考文献 (0)

          您是否在文献中引用过该产品?请点击下方按钮邮件告知我们。
          引用该产品

          生物信息学

          蛋白别名: FLJ16239; HD6; HDA6; Histone deacetylase 6; Protein deacetylase HDAC6; protein phosphatase 1, regulatory subunit 90; Tubulin-lysine deacetylase HDAC6

          查看更多 收起

          基因别名: CPBHM; HD6; HDAC6; JM21; KIAA0901; PPP1R90

          查看更多 收起

          UniProt ID: (Human) Q9UBN7

          查看更多 收起

          Entrez Gene ID: (Human) 10013

          查看更多 收起

          功能
          core promoter binding actin binding histone deacetylase activity protein binding beta-catenin binding microtubule binding zinc ion binding enzyme binding polyubiquitin binding ubiquitin protein ligase binding NAD-dependent histone deacetylase activity (H3-K14 specific) histone deacetylase binding tubulin deacetylase activity alpha-tubulin binding tau protein binding beta-tubulin binding misfolded protein binding Hsp90 protein binding dynein complex binding chromatin/chromatin-binding, or -regulatory protein histone modifying enzyme
          参与通路
          protein polyubiquitination transcription, DNA-templated protein deacetylation misfolded or incompletely synthesized protein catabolic process intracellular protein transport organelle organization negative regulation of microtubule depolymerization response to toxic substance positive regulation of signal transduction response to organic substance regulation of receptor activity regulation of autophagy positive regulation of epithelial cell migration negative regulation of hydrogen peroxide metabolic process positive regulation of receptor biosynthetic process macroautophagy histone deacetylation regulation of protein stability lysosome localization peptidyl-lysine deacetylation cellular response to topologically incorrect protein regulation of gene expression, epigenetic ubiquitin-dependent protein catabolic process via the multivesicular body sorting pathway protein complex disassembly negative regulation of protein complex disassembly regulation of fat cell differentiation negative regulation of proteolysis negative regulation of transcription, DNA-templated negative regulation of oxidoreductase activity mitochondrion localization response to misfolded protein regulation of microtubule-based movement regulation of androgen receptor signaling pathway regulation of establishment of protein localization cellular response to hydrogen peroxide aggresome assembly polyubiquitinated misfolded protein transport Hsp90 deacetylation response to growth factor histone H3 deacetylation cellular response to misfolded protein positive regulation of chaperone-mediated protein complex assembly tubulin deacetylation mitophagy in response to mitochondrial depolarization positive regulation of hydrogen peroxide-mediated programmed cell death regulation of mitophagy
          It has to be done as per old AB suggested Products section.
          guarantee_icon

          性能保障

          只要您发现Invitrogen抗体在实验中的表现与网站或说明书的所述内容不符,您即可享受免费退换货服务。*

          了解更多
          help_icon

          随时为您服务

          获取常见问题的专家解答,或者直接联系我们的技术专家,咨询应用、设备、常规产品使用问题。

          联系技术支持
          订购 Plus Icon Minus Icon
          • 订单状态查询
          • 订单支持
          • 货号直购
          • 现货供应中心
          • 电子采购
          支持 Plus Icon Minus Icon
          • 帮助&支持
          • 联系我们 - 400 820 8982
          • 技术支持中心
          • 查找文件&证书
          • 报告网站问题
          资源 Plus Icon Minus Icon
          • 学习中心
          • 促销
          • 活动&研讨会
          • 社交媒体
          关于赛默飞 Plus Icon Minus Icon
          • 关于我们
          • 招聘 招聘
          • 投资者关系 投资者关系
          • 新闻 新闻
          • 社会责任 社会责任
          • 商标
          • 政策和通知
          品牌 Plus Icon Minus Icon
          • Thermo Scientific
          • Applied Biosystems
          • Invitrogen
          • Gibco
          • Ion Torrent
          • Patheon
          • PPD
          • 服务条款
          • 隐私政策
          • 定价和运输保险政策
          © 2006-2026 Thermo Fisher Scientific Inc. All rights reserved. All trademarks are the property of Thermo Fisher Scientific and its subsidiaries unless otherwise specified.
          China flag icon
          China
          本网站销售的所有产品均不得用于人类或动物之临床诊断或治疗,仅可用于工业或者科研等非医疗目的。
             电子营业执照 | 经营证照公示 | ICP备案号:沪ICP备11003924号 | 沪公网安备 31011502006935号

          Your items have has been added!


          Host server : magellan-search-blue-55ff9ddd88-8xmpc:80/100.66.75.107:80.
          git-commit: d366ff9721d93504b2ac26a183b2b3e3d0e7d9ec
          git-url: https://github.com/thermofisher/magellan-search
          git-branch: release/2.42.0-2026.01.03-1.0