Hamburger Menu Button
Thermo Fisher Scientific Logo
登录
没有账号?建立账号 注册
  • 产品
    • 抗体
    • 引物合成
    • GeneArt Gene Synthesis Instant Designer
    • TaqMan Assay and Array Search
    • PCR 设备和耗材
    • 色谱柱和纯化柱
    • 实验室离心机
    • 分子生物学试剂和试剂盒
    • 实验室塑料耗材及用品
    • 查看所有产品分类
  • 应用和技术
    • 色谱
    • 细胞转染和培养
    • 实时荧光定量PCR
    • 质谱
    • 实验室塑料耗材及用品
    • 电子显微镜
    • 蛋白质生物学
    • PCR
    • RNAi
    • 环境
    • 查看所有应用和技术
  • 服务
    • 定制服务
    • 企业级实验室信息化服务
    • 金融&租赁服务
    • 仪器服务
    • OEM和商业供应
    • 培训服务
    • 360° CDMO 和 CRO 服务
    • CDMO 服务
    • 临床试验 CRO 服务
    • Unity Lab Services
    • 查看所有帮助和支持
  • 帮助和支持
    • 学习中心
    • 联系我们
    • 更改国家或地区
    • 查看所有帮助和支持
  • 热门产品
    • TaqMan Real-Time PCR Assays
      TaqMan 实时荧光定量 PCR 试剂盒
    • Antibodies
      抗体
    • Oligos, Primers & Probes
      寡核苷酸、引物、探针
    • GeneArt Gene Synthesis
      GeneArt 基因合成
    • Cell Culture Plastics
      细胞培养耗材
  • Who We Serve
    • 抗体治疗解决方案
    • 细胞与基因治疗解决方案
    • 学术科研
    • 工业与应用
  • 联系我们
  • 货号直购
  • 订单查询
  • 查找文件&证书
Thermo Fisher Scientific Logo

Search

搜索全部或下列指定分类
Search button
          • 联系我们
          • 货号直购
          • 登录
            登录
            没有账号?建立账号 注册
            • 我的账号
            • 订单
            • 会员中心
            • 账单及发票查询
            • 定制产品及项目
          • Primary Antibodies ›
          • HES1 Antibodies

          OriGene

          HES1 Monoclonal Antibody (OTI1B5), TrueMAB™

          查看其他17个HES1抗体

          {{$productOrderCtrl.translations['antibody.pdp.commerceCard.promotion.promotions']}}

          {{$productOrderCtrl.translations['antibody.pdp.commerceCard.promotion.viewpromo']}}

          {{$productOrderCtrl.translations['antibody.pdp.commerceCard.promotion.promocode']}}: {{promo.promoCode}} {{promo.promoTitle}} {{promo.promoDescription}}. {{$productOrderCtrl.translations['antibody.pdp.commerceCard.promotion.learnmore']}}

          说明书
          证书
          实验方案
          问题与答案
          技术支持
          说明书
          证书
          实验方案
          问题与答案
          技术支持
          说明书
          证书
          实验方案
          问题与答案
          技术支持

          Cite HES1 Monoclonal Antibody (OTI1B5), TrueMAB™

          Additional Information:
          {{banner.description}}
          {{$ctrl.isSkuNotesCollapsed ? 'View more' : 'View less'}}
          • 抗体检测数据 (6)
          HES1 Antibody in Immunocytochemistry (ICC/IF)
          Group 53 Created with Sketch.
          HES1 Antibody in Immunocytochemistry (ICC/IF)
          Group 53 Created with Sketch.

          图: 1 / 6

          {{ $ctrl.currentElement.advancedVerification.fullName }}
          {{ $ctrl.currentElement.advancedVerification.text }}

          HES1 Antibody (TA504046) in ICC/IF

          Anti-HES1 mouse monoclonal antibody (TA504046) immunofluorescent staining of COS7 cells transiently transfected by pCMV6-ENTRY HES1(RC211709). {{ $ctrl.currentElement.advancedVerification.fullName }} 验证信息 View more
          已发表图片由___提供 benchsci-logo
          PMID: {{$ctrl.currentElement.benchSciPubmedId}}
          查看产品

          {{$ctrl.videoDesc}}

          {{$ctrl.videoLongDesc}}

          HES1 Antibody in Immunocytochemistry (ICC/IF)
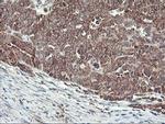
          HES1 Antibody in Immunohistochemistry (Paraffin) (IHC (P))
          HES1 Antibody in Immunohistochemistry (Paraffin) (IHC (P))
          HES1 Antibody in Immunohistochemistry (Paraffin) (IHC (P))
          HES1 Antibody in Immunohistochemistry (Paraffin) (IHC (P))
          HES1 Antibody in Western Blot (WB)
          HES1 Monoclonal Antibody (OTI1B5), TrueMAB™

          产品信息

          TA504046

          应用
          建议稀释比
          已发表文章

          免疫印迹 (WB)

          1:500-1:2,000
          -

          免疫组化(石蜡) (IHC (P))

          1:150
          -

          免疫细胞化学 (ICC/IF)

          1:100
          -
          产品规格

          种属反应

          Human

          宿主/亚型

          Mouse / IgG2b

          分类

          Monoclonal

          类型

          Antibody

          克隆号

          OTI1B5

          抗原

          Full length human recombinant protein of human HES1 produced in HEK293T cell.
          3D表位/免疫原

          偶联物

          Unconjugated Unconjugated Unconjugated
          • Biotin 
          • Request custom conjugation

          形式

          Liquid

          浓度

          0.99 mg/mL

          规格

          99 µg

          纯化类型

          Affinity chromatography

          保存液

          PBS with 1% BSA, 50% glycerol

          内含物

          0.02% sodium azide

          保存条件

          -20°C, Avoid Freeze/Thaw Cycles

          运输条件

          Ambient (domestic); Wet ice (international)

          靶标信息

          This protein belongs to the basic helix-loop-helix family of transcription factors. It is a transcriptional repressor of genes that require a bHLH protein for their transcription. The protein has a particular type of basic domain that contains a helix interrupting protein that binds to the N-box rather than the canonical E-box.

          仅用于科研。不用于诊断过程。未经明确授权不得转售。

          篇参考文献 (0)

          您是否在文献中引用过该产品?请点击下方按钮邮件告知我们。
          引用该产品

          生物信息学

          蛋白别名: bHLHb39; Class B basic helix-loop-helix protein 39; FLJ20408; Hairy and enhancer of split 1; Hairy homolog; Hairy-like; Hairy-like protein; HES1; hHL; Transcription factor HES-1; unnamed protein product

          查看更多 收起

          基因别名: BHLHB39; HES-1; HES1; HHL; HL; HRY

          查看更多 收起

          UniProt ID: (Human) Q14469

          查看更多 收起

          Entrez Gene ID: (Human) 3280

          查看更多 收起

          功能
          RNA polymerase II transcription factor activity, sequence-specific DNA binding bacterial-type RNA polymerase transcriptional repressor activity, sequence-specific DNA binding transcription corepressor binding transcriptional repressor activity, RNA polymerase II transcription regulatory region sequence-specific binding DNA binding chromatin binding protein binding JUN kinase binding identical protein binding protein homodimerization activity histone deacetylase binding HLH domain binding sequence-specific DNA binding macromolecular complex binding protein dimerization activity chaperone binding RNA polymerase II sequence-specific DNA binding transcription factor binding E-box binding N-box binding sequence-specific double-stranded DNA binding
          参与通路
          negative regulation of transcription from RNA polymerase II promoter in utero embryonic development cell fate determination liver development inhibition of neuroepithelial cell differentiation embryonic heart tube morphogenesis outflow tract morphogenesis regulation of secondary heart field cardioblast proliferation ventricular septum development pancreatic A cell differentiation regulation of transcription, DNA-templated regulation of transcription from RNA polymerase II promoter cell adhesion Notch signaling pathway smoothened signaling pathway pattern specification process nervous system development cell proliferation positive regulation of cell proliferation response to virus anterior/posterior pattern specification positive regulation of gene expression negative regulation of gene expression negative regulation of neuron projection development cell migration telencephalon development midbrain-hindbrain boundary morphogenesis oculomotor nerve development trochlear nerve development hindbrain morphogenesis forebrain radial glial cell differentiation Cajal-Retzius cell differentiation neural tube development central nervous system neuron differentiation pituitary gland development adenohypophysis development neuron differentiation lung development BMP signaling pathway positive regulation of BMP signaling pathway midbrain development pancreas development somatic stem cell population maintenance hair cell differentiation amacrine cell differentiation aorta morphogenesis ascending aorta morphogenesis T cell proliferation positive regulation of T cell proliferation auditory receptor cell differentiation positive regulation of tyrosine phosphorylation of STAT protein regulation of protein complex assembly response to alkaloid positive regulation of DNA binding cell fate commitment negative regulation of cell differentiation regulation of fat cell differentiation negative regulation of auditory receptor cell differentiation regulation of neuron differentiation negative regulation of neuron differentiation positive regulation of glial cell differentiation positive regulation of Notch signaling pathway negative regulation of transcription, DNA-templated positive regulation of transcription, DNA-templated positive regulation of transcription from RNA polymerase II promoter positive regulation of mitotic cell cycle, embryonic lateral inhibition regulation of JAK-STAT cascade positive regulation of JAK-STAT cascade cell maturation regulation of timing of cell differentiation thymus development cell morphogenesis involved in neuron differentiation positive regulation of astrocyte differentiation negative regulation of oligodendrocyte differentiation artery morphogenesis regulation of epithelial cell proliferation regulation of neurogenesis negative regulation of neurogenesis inner ear receptor stereocilium organization regulation of timing of neuron differentiation negative regulation of glial cell proliferation ventricular septum morphogenesis ureteric bud morphogenesis labyrinthine layer blood vessel development common bile duct development neuroendocrine cell differentiation stomach neuroendocrine cell differentiation negative regulation of stomach neuroendocrine cell differentiation cardiac neural crest cell development involved in outflow tract morphogenesis pharyngeal arch artery morphogenesis protein-containing complex assembly cellular response to interleukin-1 cellular response to tumor necrosis factor cellular response to fatty acid glomerulus vasculature development comma-shaped body morphogenesis S-shaped body morphogenesis renal interstitial fibroblast development metanephric nephron tubule morphogenesis cochlea development establishment of epithelial cell polarity negative regulation of calcium ion import response to thyroid hormone vascular smooth muscle cell development neuronal stem cell population maintenance negative regulation of amacrine cell differentiation response to Aroclor 1254 negative regulation of cell fate determination cellular response to nerve growth factor stimulus negative regulation of pancreatic A cell differentiation negative regulation of stem cell differentiation negative regulation of pro-B cell differentiation negative regulation of forebrain neuron differentiation negative regulation of inner ear receptor cell differentiation
          It has to be done as per old AB suggested Products section.

          Disclaimer

          Close

          Clicking the images or links will redirect you to a website hosted by BenchSci that provides third-party scientific content. Neither the content nor the BenchSci technology and processes for selection have been evaluated by us; we are providing them as-is and without warranty of any kind, including for use or application of the Thermo Fisher Scientific products presented.

          guarantee_icon

          性能保障

          只要您发现Invitrogen抗体在实验中的表现与网站或说明书的所述内容不符,您即可享受免费退换货服务。*

          了解更多
          help_icon

          随时为您服务

          获取常见问题的专家解答,或者直接联系我们的技术专家,咨询应用、设备、常规产品使用问题。

          联系技术支持
          订购 Plus Icon Minus Icon
          • 订单状态查询
          • 订单支持
          • 货号直购
          • 现货供应中心
          • 电子采购
          支持 Plus Icon Minus Icon
          • 帮助&支持
          • 联系我们 - 400 820 8982
          • 技术支持中心
          • 查找文件&证书
          • 报告网站问题
          资源 Plus Icon Minus Icon
          • 学习中心
          • 促销
          • 活动&研讨会
          • 社交媒体
          关于赛默飞 Plus Icon Minus Icon
          • 关于我们
          • 招聘 招聘
          • 投资者关系 投资者关系
          • 新闻 新闻
          • 社会责任 社会责任
          • 商标
          • 政策和通知
          品牌 Plus Icon Minus Icon
          • Thermo Scientific
          • Applied Biosystems
          • Invitrogen
          • Gibco
          • Ion Torrent
          • Unity Lab Services
          • Patheon
          • PPD
          • 服务条款
          • 隐私政策
          • 定价和运输保险政策
          © 2006-2026 Thermo Fisher Scientific Inc. All rights reserved. All trademarks are the property of Thermo Fisher Scientific and its subsidiaries unless otherwise specified.
          China flag icon
          China
          本网站销售的所有产品均不得用于人类或动物之临床诊断或治疗,仅可用于工业或者科研等非医疗目的。
             电子营业执照 | 经营证照公示 | ICP备案号:沪ICP备11003924号 | 沪公网安备 31011502006935号

          Your items have has been added!


          Host server : magellan-search-green-6479c7f679-zb4k5:80/100.66.74.142:80.
          git-commit: b70c0dceb888abc3b0dcebb5bc3a5b8753e7e816
          git-url: https://github.com/thermofisher/magellan-search
          git-branch: release/2.50.0-Offline