Hamburger Menu Button
Thermo Fisher Scientific Logo
登录
没有账号?建立账号 注册
  • 产品
    • 抗体
    • 引物合成
    • GeneArt Gene Synthesis Instant Designer
    • TaqMan Assay and Array Search
    • PCR 设备和耗材
    • 色谱柱和纯化柱
    • 实验室离心机
    • 分子生物学试剂和试剂盒
    • 实验室塑料耗材及用品
    • 查看所有产品分类
  • 应用和技术
    • 色谱
    • 细胞转染和培养
    • 实时荧光定量PCR
    • 质谱
    • 实验室塑料耗材及用品
    • 电子显微镜
    • 蛋白质生物学
    • PCR
    • RNAi
    • 环境
    • 查看所有应用和技术
  • 服务
    • 定制服务
    • 企业级实验室信息化服务
    • 金融&租赁服务
    • 仪器服务
    • OEM和商业供应
    • 培训服务
    • 360° CDMO 和 CRO 服务
    • CDMO 服务
    • 临床试验 CRO 服务
    • Unity Lab Services
    • 查看所有帮助和支持
  • 帮助和支持
    • 学习中心
    • 联系我们
    • 更改国家或地区
    • 查看所有帮助和支持
  • 热门产品
    • TaqMan Real-Time PCR Assays
      TaqMan 实时荧光定量 PCR 试剂盒
    • Antibodies
      抗体
    • Oligos, Primers & Probes
      寡核苷酸、引物、探针
    • GeneArt Gene Synthesis
      GeneArt 基因合成
    • Cell Culture Plastics
      细胞培养耗材
  • Who We Serve
    • 抗体治疗解决方案
    • 细胞与基因治疗解决方案
    • 学术科研
    • 工业与应用
  • 联系我们
  • 货号直购
  • 订单查询
  • 查找文件&证书
Thermo Fisher Scientific Logo

Search

搜索全部或下列指定分类
Search button
          • 联系我们
          • 货号直购
          • 登录
            登录
            没有账号?建立账号 注册
            • 我的账号
            • 订单
            • 会员中心
            • 账单及发票查询
            • 定制产品及项目
          • Primary Antibodies ›
          • Histone H2B Antibodies

          Invitrogen

          Histone H2B Polyclonal Antibody

          查看其他49个Histone H2B抗体

          {{$productOrderCtrl.translations['antibody.pdp.commerceCard.promotion.promotions']}}

          {{$productOrderCtrl.translations['antibody.pdp.commerceCard.promotion.viewpromo']}}

          {{$productOrderCtrl.translations['antibody.pdp.commerceCard.promotion.promocode']}}: {{promo.promoCode}} {{promo.promoTitle}} {{promo.promoDescription}}. {{$productOrderCtrl.translations['antibody.pdp.commerceCard.promotion.learnmore']}}

          说明书
          证书
          实验方案
          问题与答案
          技术支持
          说明书
          证书
          实验方案
          问题与答案
          技术支持
          说明书
          证书
          实验方案
          问题与答案
          技术支持

          Cite Histone H2B Polyclonal Antibody

          Additional Information:
          {{banner.description}}
          {{$ctrl.isSkuNotesCollapsed ? 'View more' : 'View less'}}
          • 抗体检测数据 (2)
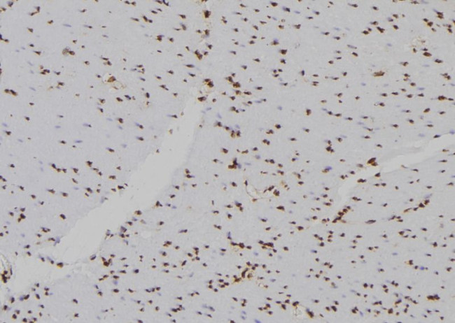
          Histone H2B Antibody in Immunohistochemistry (Paraffin) (IHC (P))
          Group 53 Created with Sketch.
          Histone H2B Antibody in Immunohistochemistry (Paraffin) (IHC (P))
          Group 53 Created with Sketch.

          图: 1 / 2

          {{ $ctrl.currentElement.advancedVerification.fullName }}
          {{ $ctrl.currentElement.advancedVerification.text }}

          Histone H2B Antibody (PA5-115360) in IHC (P)

          Immunohistochemistry analysis of Histone H2B in human gastric tissue. Samples were treated with formaldehyde and treated with citrate buffer for antigen retrieval, blocked, and incubated (1.5 hours at 22°C) with polyclonal antibody (Product # PA5-115360) at a dilution of 1:100. Secondary staining was applied with HRP conjugated goat anti-rabbit. {{ $ctrl.currentElement.advancedVerification.fullName }} 验证信息 View more
          已发表图片由___提供 benchsci-logo
          PMID: {{$ctrl.currentElement.benchSciPubmedId}}
          查看产品

          {{$ctrl.videoDesc}}

          {{$ctrl.videoLongDesc}}

          Histone H2B Antibody in Immunohistochemistry (Paraffin) (IHC (P))
          Histone H2B Antibody in Western Blot (WB)
          Histone H2B Polyclonal Antibody

          产品信息

          PA5-115360

          应用
          建议稀释比
          已发表文章

          免疫印迹 (WB)

          1:500-1:2,000
          -

          免疫组化(石蜡) (IHC (P))

          1:50-1:200
          -
          产品规格

          种属反应

          Human

          宿主/亚型

          Rabbit / IgG

          分类

          Polyclonal

          类型

          Antibody

          抗原

          A synthesized peptide derived from human HIST2H2BE, corresponding to a region within C-terminal amino acids.
          3D表位/免疫原

          偶联物

          Unconjugated Unconjugated Unconjugated

          形式

          Liquid

          浓度

          1 mg/mL

          规格

          100 µg

          纯化类型

          Affinity chromatography

          保存液

          PBS with 50% glycerol

          内含物

          0.02% sodium azide

          保存条件

          -20°C

          运输条件

          Ambient (domestic); Wet ice (international)

          RRID

          AB_2899996

          产品详细信息

          Antibody detects endogenous levels of total HIST2H2BE.

          靶标信息

          Histones are basic nuclear proteins that are responsible for the nucleosome structure of the chromosomal fiber in eukaryotes. Nucleosomes consist of approximately 146 bp of DNA wrapped around a histone octamer composed of pairs of each of the four core histones (H2A, H2B, H3, and H4). The nucleosomes wrap further and compact DNA into chromotin, limiting DNA accessibility to the cellular machineries which require DNA as a template. Histones play a central role in transciption regulation, DNA repair, DNA replication, and chromosomal stability. H2B has a broad antibacterial activity.

          仅用于科研。不用于诊断过程。未经明确授权不得转售。

          篇参考文献 (0)

          您是否在文献中引用过该产品?请点击下方按钮邮件告知我们。
          引用该产品

          生物信息学

          蛋白别名: Acetyl-Histone H2; H2B GL105 antibody; H2B histone family member M; H2B histone family member W testis-specific; H2B histone family member W, testis specific; H2B histone family, member A; H2B histone family, member B; H2B histone family, member C; H2B histone family, member D; H2B histone family, member E; H2B histone family, member F; H2B histone family, member J; H2B histone family, member K; H2B histone family, member L; H2B histone family, member N; H2B histone family, member Q; H2B histone family, member R; H2B histone family, member T; H2B histone family, member U, (testis-specific); H2B K; H2B type 12; H2B-clustered histone 17; H2B-clustered histone 18; H2B-clustered histone 21; H2B-clustered histone 26; H2B-clustered histone 3; H2B-clustered histone 5; H2B-clustered histone 9; H2B.1 antibody; H2B.E variant histone 1; H2B.M histone; H2B.U histone 1; H2B.W histone 1; H2B/a; H2B/b; H2B/c; H2B/d; H2B/e; H2B/f; H2B/g; H2B/h; H2B/I; H2B/j; H2B/k; H2B/l; H2B/n; H2B/q; H2B/r; H2B/s; H2BK12ac; H2BK15ac; H2BK5ac; H2BS14; H2BS14p; HIRA-interacting protein 1; HIRA-interacting protein 2; HIST1H2BB antibody; HIST1H3I; HIST2H2BE; histone 1, H2ba; histone 1, H2bb; histone 1, H2bc; histone 1, H2bd; histone 1, H2bg; histone 1, H2bh; histone 1, H2bi; histone 1, H2bj; histone 1, H2bk; histone 1, H2bl; histone 1, H2bm; histone 1, H2bn; histone 1, H2bo; histone 2, H2be; Histone 2B; histone 3, H2bb; histone cluster 1 H2B family member a; histone cluster 1 H2B family member b; histone cluster 1 H2B family member c; histone cluster 1 H2B family member d; histone cluster 1 H2B family member g; histone cluster 1 H2B family member h; histone cluster 1 H2B family member i; histone cluster 1 H2B family member j; histone cluster 1 H2B family member k; histone cluster 1 H2B family member l; histone cluster 1 H2B family member m; histone cluster 1 H2B family member n; histone cluster 1 H2B family member o; histone cluster 1, H2ba; histone cluster 1, H2bb; histone cluster 1, H2bc; histone cluster 1, H2bd; histone cluster 1, H2bg; histone cluster 1, H2bh; histone cluster 1, H2bi; histone cluster 1, H2bj; histone cluster 1, H2bk; histone cluster 1, H2bl; histone cluster 1, H2bm; histone cluster 1, H2bn; histone cluster 1, H2bo; histone cluster 2 H2B family member e; histone cluster 2 H2B family member f; histone cluster 2, H2be; histone cluster 2, H2bf; histone cluster 3 H2B family member b; histone cluster 3, H2bb; histone family member; Histone H2B type 1-A; Histone H2B type 1-B; Histone H2B type 1-C/E/F/G/I; Histone H2B type 1-D; Histone H2B type 1-H; Histone H2B type 1-J; Histone H2B type 1-K; Histone H2B type 1-L; Histone H2B type 1-M; Histone H2B type 1-N; Histone H2B type 1-O; Histone H2B type 2-E; Histone H2B type 2-E1; Histone H2B type 2-F; Histone H2B type 2-K1; Histone H2B type 3-B; Histone H2B type F-M; Histone H2B type W-T; Histone H2B, testis; Histone H2B-GL105; Histone H2B.1; Histone H2B.1 A; Histone H2B.1 B; Histone H2B.2; Histone H2B.a; Histone H2B.b; Histone H2B.c; Histone H2B.d; Histone H2B.e; Histone H2B.f; Histone H2B.g; Histone H2B.h; Histone H2B.I; Histone H2B.j; Histone H2B.k; Histone H2B.l; Histone H2B.n; Histone H2B.q; Histone H2B.r; Histone H2B.s; MGC125414; MGC125415; MGC125416; MGC9388; novel histone H2B-like protein; RP1-193B12.10; Testis-specific histone H2B; TSH2B.1; unnamed protein product

          查看更多 收起

          基因别名: bA317E16.3; dJ160A22.3; dJ193B12.2; dJ221C16.3; dJ221C16.6; dJ221C16.8; dJ97D16.4; GL105; H2B; H2B-GL105; H2B.1; H2B.1A; H2B.1B; H2B.2; H2B/a; H2B/b; H2B/c; H2B/d; H2B/e; H2B/f; H2B/g; H2B/h; H2B/j; H2B/k; H2B/l; H2B/n; H2B/r; H2B/S; H2Bb; H2BC1; H2BC10; H2BC11; H2BC12; H2BC13; H2BC14; H2BC15; H2BC17; H2BC18; H2BC21; H2BC26; H2BC3; H2BC4; H2BC5; H2BC6; H2BC7; H2BC8; H2BC9; H2BE; H2BE1; H2BFA; H2BFAiii; H2BFB; H2BFC; H2BFD; H2BFE; H2BFF; H2BFG; H2BFH; H2BFJ; H2BFK; H2BFL; H2BFM; H2BFN; H2BFQ; H2BFR; H2BFT; H2BFU; H2BFWT; H2BGL105; H2BJ; H2BK; H2BK1; H2BM; H2BQ; H2BU1; H2BW1; H2BW2; HIRIP1; HIRIP2; HIST1H2BA; HIST1H2BB; HIST1H2BC; HIST1H2BD; HIST1H2BE; HIST1H2BF; HIST1H2BG; HIST1H2BH; HIST1H2BI; HIST1H2BJ; HIST1H2BK; HIST1H2BL; HIST1H2BM; HIST1H2BN; HIST1H2BO; HIST2H2BE; HIST2H2BF; HIST3H2BB; hTSH2B; STBP; TH2B; TH2B-175; TSH2B; TSH2B.1

          查看更多 收起

          UniProt ID: (Human) Q96A08, (Human) P62807, (Human) P06899, (Human) O60814, (Human) Q99880, (Human) Q99879, (Human) Q99877, (Human) P23527, (Human) Q5QNW6, (Human) Q16778, (Human) Q8N257, (Human) P33778, (Human) Q93079, (Human) A0A2R8Y619, (Human) Q7Z2G1, (Human) P0C1H6

          查看更多 收起

          Entrez Gene ID: (Human) 255626, (Human) 8346, (Human) 8970, (Human) 85236, (Human) 8340, (Human) 8342, (Human) 8341, (Human) 8348, (Human) 440689, (Human) 8349, (Human) 128312, (Human) 3018, (Human) 8347, (Human) 3017, (Human) 8339, (Human) 8345, (Human) 114483833, (Human) 158983, (Human) 286436, (Human) 102724334

          查看更多 收起

          功能
          DNA binding structural constituent of chromatin histone binding protein heterodimerization activity protein binding identical protein binding lipopolysaccharide binding enzyme binding ubiquitin-like protein ligase binding STAT family protein binding
          参与通路
          nucleosome assembly innate immune response in mucosa antibacterial humoral response defense response to bacterium defense response to Gram-positive bacterium antimicrobial humoral immune response mediated by antimicrobial peptide mitotic chromosome condensation chromatin organization negative regulation of tumor necrosis factor-mediated signaling pathway killing of cells of other organism defense response to Gram-negative bacterium protein localization to CENP-A containing chromatin nucleosome disassembly inflammatory response plasminogen activation sperm chromatin condensation chromosome organization mononuclear cell migration
          It has to be done as per old AB suggested Products section.

          Disclaimer

          Close

          Clicking the images or links will redirect you to a website hosted by BenchSci that provides third-party scientific content. Neither the content nor the BenchSci technology and processes for selection have been evaluated by us; we are providing them as-is and without warranty of any kind, including for use or application of the Thermo Fisher Scientific products presented.

          guarantee_icon

          性能保障

          只要您发现Invitrogen抗体在实验中的表现与网站或说明书的所述内容不符,您即可享受免费退换货服务。*

          了解更多
          help_icon

          随时为您服务

          获取常见问题的专家解答,或者直接联系我们的技术专家,咨询应用、设备、常规产品使用问题。

          联系技术支持
          订购 Plus Icon Minus Icon
          • 订单状态查询
          • 订单支持
          • 货号直购
          • 现货供应中心
          • 电子采购
          支持 Plus Icon Minus Icon
          • 帮助&支持
          • 联系我们 - 400 820 8982
          • 技术支持中心
          • 查找文件&证书
          • 报告网站问题
          资源 Plus Icon Minus Icon
          • 学习中心
          • 促销
          • 活动&研讨会
          • 社交媒体
          关于赛默飞 Plus Icon Minus Icon
          • 关于我们
          • 招聘 招聘
          • 投资者关系 投资者关系
          • 新闻 新闻
          • 社会责任 社会责任
          • 商标
          • 政策和通知
          品牌 Plus Icon Minus Icon
          • Thermo Scientific
          • Applied Biosystems
          • Invitrogen
          • Gibco
          • Ion Torrent
          • Unity Lab Services
          • Patheon
          • PPD
          • 服务条款
          • 隐私政策
          • 定价和运输保险政策
          © 2006-2026 Thermo Fisher Scientific Inc. All rights reserved. All trademarks are the property of Thermo Fisher Scientific and its subsidiaries unless otherwise specified.
          China flag icon
          China
          本网站销售的所有产品均不得用于人类或动物之临床诊断或治疗,仅可用于工业或者科研等非医疗目的。
             电子营业执照 | 经营证照公示 | ICP备案号:沪ICP备11003924号 | 沪公网安备 31011502006935号

          Your items have has been added!


          Host server : magellan-search-green-6479c7f679-v472f:80/100.66.78.195:80.
          git-commit: b70c0dceb888abc3b0dcebb5bc3a5b8753e7e816
          git-url: https://github.com/thermofisher/magellan-search
          git-branch: release/2.50.0-Offline