Hamburger Menu Button
Thermo Fisher Scientific Logo
登录
没有账号?建立账号 注册
  • 产品
    • 抗体
    • 引物合成
    • GeneArt Gene Synthesis Instant Designer
    • TaqMan Assay and Array Search
    • PCR 设备和耗材
    • 色谱柱和纯化柱
    • 实验室离心机
    • 分子生物学试剂和试剂盒
    • 实验室塑料耗材及用品
    • 查看所有产品分类
  • 应用和技术
    • 色谱
    • 细胞转染和培养
    • 实时荧光定量PCR
    • 质谱
    • 实验室塑料耗材及用品
    • 电子显微镜
    • 蛋白质生物学
    • PCR
    • RNAi
    • 环境
    • 查看所有应用和技术
  • 服务
    • 定制服务
    • 企业级实验室信息化服务
    • 金融&租赁服务
    • 仪器服务
    • OEM和商业供应
    • 培训服务
    • 360° CDMO 和 CRO 服务
    • CDMO 服务
    • 临床试验 CRO 服务
    • Unity Lab Services
    • 查看所有帮助和支持
  • 帮助和支持
    • 学习中心
    • 联系我们
    • 更改国家或地区
    • 查看所有帮助和支持
  • 热门产品
    • TaqMan Real-Time PCR Assays
      TaqMan 实时荧光定量 PCR 试剂盒
    • Antibodies
      抗体
    • Oligos, Primers & Probes
      寡核苷酸、引物、探针
    • GeneArt Gene Synthesis
      GeneArt 基因合成
    • Cell Culture Plastics
      细胞培养耗材
  • Who We Serve
    • 抗体治疗解决方案
    • 细胞与基因治疗解决方案
    • 学术科研
    • 工业与应用
  • 联系我们
  • 货号直购
  • 订单查询
  • 查找文件&证书
Thermo Fisher Scientific Logo

Search

搜索全部或下列指定分类
Search button
          • 联系我们
          • 货号直购
          • 登录
            登录
            没有账号?建立账号 注册
            • 我的账号
            • 订单
            • 会员中心
            • 账单及发票查询
            • 定制产品及项目
          • Primary Antibodies ›
          • IL1F10 Antibodies

          Invitrogen

          IL-38 Monoclonal Antibody (H127C), Biotin, eBioscience™

          查看其他11个IL1F10抗体

          {{$productOrderCtrl.translations['antibody.pdp.commerceCard.promotion.promotions']}}

          {{$productOrderCtrl.translations['antibody.pdp.commerceCard.promotion.viewpromo']}}

          {{$productOrderCtrl.translations['antibody.pdp.commerceCard.promotion.promocode']}}: {{promo.promoCode}} {{promo.promoTitle}} {{promo.promoDescription}}. {{$productOrderCtrl.translations['antibody.pdp.commerceCard.promotion.learnmore']}}

          说明书
          证书
          实验方案
          问题与答案
          技术支持
          说明书
          证书
          实验方案
          问题与答案
          技术支持
          说明书
          证书
          实验方案
          问题与答案
          技术支持

          Cite IL-38 Monoclonal Antibody (H127C), Biotin, eBioscience™

          Additional Information:
          {{banner.description}}
          {{$ctrl.isSkuNotesCollapsed ? 'View more' : 'View less'}}
          • 抗体检测数据 (1)
          IL-38 Antibody in Immunohistochemistry (Paraffin) (IHC (P))
          Group 53 Created with Sketch.
          IL-38 Antibody in Immunohistochemistry (Paraffin) (IHC (P))
          Group 53 Created with Sketch.

          图: 1 / 1

          {{ $ctrl.currentElement.advancedVerification.fullName }}
          {{ $ctrl.currentElement.advancedVerification.text }}

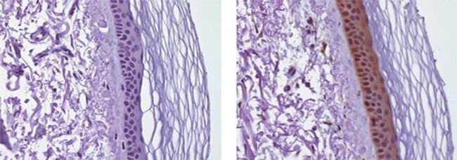
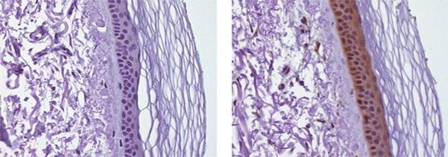
          IL-38 Antibody (13-7385-82) in IHC (P)

          Immunohistochemistry of formalin-fixed paraffin embedded human skin tissue using 5 µg/mL of Mouse IgG2b K Isotype Control Biotin (left) or 5 µg/mL of Anti-Human IL-38 Biotin (right) followed by Streptavidin-HRP and DAB visualization. Nuclei are counterstained with hematoxylin. {{ $ctrl.currentElement.advancedVerification.fullName }} 验证信息 View more
          已发表图片由___提供 benchsci-logo
          PMID: {{$ctrl.currentElement.benchSciPubmedId}}
          查看产品

          {{$ctrl.videoDesc}}

          {{$ctrl.videoLongDesc}}

          IL-38 Antibody in Immunohistochemistry (Paraffin) (IHC (P))

          产品信息

          13-7385-82

          应用
          建议稀释比
          已发表文章

          免疫组化(石蜡) (IHC (P))

          5 µg/mL
          -
          产品规格

          种属反应

          Human

          宿主/亚型

          Mouse / IgG2b, kappa

          推荐的同型对照

          Mouse IgG2b kappa Isotype Control (eBMG2b), Biotin, eBioscience™

          分类

          Monoclonal

          类型

          Antibody

          克隆号

          H127C

          偶联物

          Biotin Biotin Biotin
          • Unconjugated
          • eFluor 660
          • Request custom conjugation

          形式

          Liquid

          浓度

          0.5 mg/mL

          规格

          100 µg

          纯化类型

          Affinity chromatography

          保存液

          PBS, pH 7.2

          内含物

          0.09% sodium azide

          保存条件

          4°C, store in dark, DO NOT FREEZE!

          运输条件

          Ambient (domestic); Wet ice (international)

          RRID

          AB_2572804

          产品详细信息

          Description: The monoclonal antibody H127C recognizes human IL-38. IL-38 is a member of the Interleukin-1 family (IL-1F) and shares homology with IL-1R antagonist (IL-1Ra) and IL-36R antagonist (IL-36Ra). IL-38 is expressed mostly in the skin and proliferating B cells of the tonsil and is also present at low levels in the heart and placenta. IL-38 functions as an anti-inflammatory cytokine that inhibits IL-36 by binding to IL-36R and also inhibits the production of IL-17 and IL-22. Gene polymorphisms of IL-38 are associated with psoriatic arthritis, ankylosing spondylitis, and heart disease.

          Applications Reported: This H127C antibody has been reported for use in immunohistochemical staining of formalin-fixed paraffin embedded tissue sections.

          Applications Tested: This H127C antibody has been tested tested by immunohistochemistry on human FFPE tissue using low pH antigen retrieval and can be used at less than or equal to 5 µg/mL. It is recommended that the antibody be carefully titrated for optimal performance in the assay of interest.

          Filtration: 0.2 µm post-manufacturing filtered.

          靶标信息

          The cytokine IL-1 is responsible for initiating a variety of activities through the activation of transcription factors, NF-kappa B and AP-1, thereby promoting host response to injury or infection. IL-1F10 (Interleukin-1 family member 10), also known as FIL1T, IL1HY2 or FKSG75, is highly expressed in the skin, spleen and proliferating B-cells of the tonsil. IL-1F10 binds soluble IL-1 receptor type 1, and is one of nine Interleukin 1 families clustered on chromosome 2, where it is thought to participate in the regulation of adapted and innate immune responses. IL-1F10 and IL-1RN polymorphisms may play an important role in the susceptibility to developing rheumatoid arthritis.

          仅用于科研。不用于诊断过程。未经明确授权不得转售。

          篇参考文献 (0)

          您是否在文献中引用过该产品?请点击下方按钮邮件告知我们。
          引用该产品

          生物信息学

          蛋白别名: Family of interleukin 1-theta; FIL1 theta; IL-1 theta; IL-1F10; IL-1F10 (canonical form IL-1F10a); IL-1HY2; IL-38; Interleukin; interleukin 1 family member 10 (theta); Interleukin-1 family member 10; Interleukin-1 HY2; interleukin-1 receptor antagonist FKSG75; interleukin-1 receptor antagonist-like FIL1 theta; Interleukin-1 theta; Interleukin-38

          查看更多 收起

          基因别名: FIL1-theta; FIL1T; FKSG75; IL-1HY2; IL-38; IL1-theta; IL1F10; IL1HY2; IL38; UNQ6119/PRO20041

          查看更多 收起

          UniProt ID: (Human) Q8WWZ1

          查看更多 收起

          Entrez Gene ID: (Human) 84639

          查看更多 收起

          功能
          cytokine activity interleukin-1 receptor binding protein binding
          参与通路
          inflammatory response immune response cytokine-mediated signaling pathway cellular response to lipopolysaccharide
          It has to be done as per old AB suggested Products section.

          Disclaimer

          Close

          Clicking the images or links will redirect you to a website hosted by BenchSci that provides third-party scientific content. Neither the content nor the BenchSci technology and processes for selection have been evaluated by us; we are providing them as-is and without warranty of any kind, including for use or application of the Thermo Fisher Scientific products presented.

          guarantee_icon

          性能保障

          只要您发现Invitrogen抗体在实验中的表现与网站或说明书的所述内容不符,您即可享受免费退换货服务。*

          了解更多
          help_icon

          随时为您服务

          获取常见问题的专家解答,或者直接联系我们的技术专家,咨询应用、设备、常规产品使用问题。

          联系技术支持
          订购 Plus Icon Minus Icon
          • 订单状态查询
          • 订单支持
          • 货号直购
          • 现货供应中心
          • 电子采购
          支持 Plus Icon Minus Icon
          • 帮助&支持
          • 联系我们 - 400 820 8982
          • 技术支持中心
          • 查找文件&证书
          • 报告网站问题
          资源 Plus Icon Minus Icon
          • 学习中心
          • 促销
          • 活动&研讨会
          • 社交媒体
          关于赛默飞 Plus Icon Minus Icon
          • 关于我们
          • 招聘 招聘
          • 投资者关系 投资者关系
          • 新闻 新闻
          • 社会责任 社会责任
          • 商标
          • 政策和通知
          品牌 Plus Icon Minus Icon
          • Thermo Scientific
          • Applied Biosystems
          • Invitrogen
          • Gibco
          • Ion Torrent
          • Unity Lab Services
          • Patheon
          • PPD
          • 服务条款
          • 隐私政策
          • 定价和运输保险政策
          © 2006-2026 Thermo Fisher Scientific Inc. All rights reserved. All trademarks are the property of Thermo Fisher Scientific and its subsidiaries unless otherwise specified.
          China flag icon
          China
          本网站销售的所有产品均不得用于人类或动物之临床诊断或治疗,仅可用于工业或者科研等非医疗目的。
             电子营业执照 | 经营证照公示 | ICP备案号:沪ICP备11003924号 | 沪公网安备 31011502006935号

          Your items have has been added!


          Host server : magellan-search-green-6479c7f679-zb4k5:80/100.66.74.142:80.
          git-commit: b70c0dceb888abc3b0dcebb5bc3a5b8753e7e816
          git-url: https://github.com/thermofisher/magellan-search
          git-branch: release/2.50.0-Offline