Hamburger Menu Button
Thermo Fisher Scientific Logo
登录
没有账号?建立账号 注册
  • 产品
    • 抗体
    • 引物合成
    • GeneArt Gene Synthesis Instant Designer
    • TaqMan Assay and Array Search
    • PCR 设备和耗材
    • 色谱柱和纯化柱
    • 实验室离心机
    • 分子生物学试剂和试剂盒
    • 实验室塑料耗材及用品
    • 查看所有产品分类
  • 应用和技术
    • 色谱
    • 细胞转染和培养
    • 实时荧光定量PCR
    • 质谱
    • 实验室塑料耗材及用品
    • 电子显微镜
    • 蛋白质生物学
    • PCR
    • RNAi
    • 环境
    • 查看所有应用和技术
  • 服务
    • 定制服务
    • 企业级实验室信息化服务
    • 金融&租赁服务
    • 仪器服务
    • OEM和商业供应
    • 培训服务
    • 360° CDMO 和 CRO 服务
    • CDMO 服务
    • 临床试验 CRO 服务
    • Unity Lab Services
    • 查看所有帮助和支持
  • 帮助和支持
    • 学习中心
    • 联系我们
    • 更改国家或地区
    • 查看所有帮助和支持
  • 热门产品
    • TaqMan Real-Time PCR Assays
      TaqMan 实时荧光定量 PCR 试剂盒
    • Antibodies
      抗体
    • Oligos, Primers & Probes
      寡核苷酸、引物、探针
    • GeneArt Gene Synthesis
      GeneArt 基因合成
    • Cell Culture Plastics
      细胞培养耗材
  • Who We Serve
    • 抗体治疗解决方案
    • 细胞与基因治疗解决方案
    • 学术科研
    • 工业与应用
  • 联系我们
  • 货号直购
  • 订单查询
  • 查找文件&证书
Thermo Fisher Scientific Logo

Search

搜索全部或下列指定分类
Search button
          • 联系我们
          • 货号直购
          • 登录
            登录
            没有账号?建立账号 注册
            • 我的账号
            • 订单
            • 会员中心
            • 账单及发票查询
            • 定制产品及项目
          • Primary Antibodies ›
          • Insulin Antibodies

          Invitrogen

          Insulin Monoclonal Antibody (ICBTACLS), Biotin, eBioscience™

          高级验证
          4个已发表图片
          4 篇参考文献
          查看其他49个Insulin抗体

          {{$productOrderCtrl.translations['antibody.pdp.commerceCard.promotion.promotions']}}

          {{$productOrderCtrl.translations['antibody.pdp.commerceCard.promotion.viewpromo']}}

          {{$productOrderCtrl.translations['antibody.pdp.commerceCard.promotion.promocode']}}: {{promo.promoCode}} {{promo.promoTitle}} {{promo.promoDescription}}. {{$productOrderCtrl.translations['antibody.pdp.commerceCard.promotion.learnmore']}}

          说明书
          证书
          实验方案
          问题与答案
          技术支持
          说明书
          证书
          实验方案
          问题与答案
          技术支持
          说明书
          证书
          实验方案
          问题与答案
          技术支持

          Cite Insulin Monoclonal Antibody (ICBTACLS), Biotin, eBioscience™

          Additional Information:
          {{banner.description}}
          {{$ctrl.isSkuNotesCollapsed ? 'View more' : 'View less'}}
          • 抗体检测数据 (1)
          • 已发表图片 (4)
          • 高级验证 (1)
          Insulin Antibody in Immunohistochemistry (Paraffin) (IHC (P))
          Group 53 Created with Sketch.
          Insulin Antibody in Immunohistochemistry (Paraffin) (IHC (P))
          Group 53 Created with Sketch.

          图: 1 / 6

          {{ $ctrl.currentElement.advancedVerification.fullName }}
          {{ $ctrl.currentElement.advancedVerification.text }}

          Insulin Antibody (13-9769-80) in IHC (P)

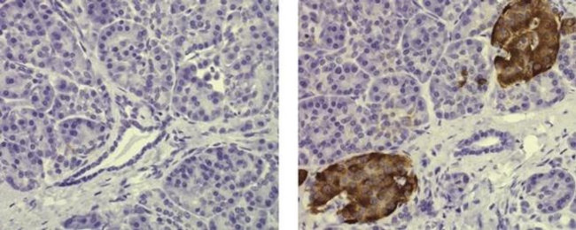
          Immunohistochemistry of formalin-fixed paraffin embedded human pancreas using 0.5 µg/mL of Mouse IgG2a K Isotype Control Biotin (left) or 0.5 µg/mL of Anti-Insulin Biotin (right) followed by Avidin-HRP, and DAB visualization. Nuclei are counterstained with hematoxylin. {{ $ctrl.currentElement.advancedVerification.fullName }} 验证信息 View more
          已发表图片由___提供 benchsci-logo
          PMID: {{$ctrl.currentElement.benchSciPubmedId}}
          查看产品

          {{$ctrl.videoDesc}}

          {{$ctrl.videoLongDesc}}

          Insulin Antibody in Immunohistochemistry (Paraffin) (IHC (P))
          Insulin Antibody in Western Blot (WB)
          Insulin Antibody in Immunocytochemistry (ICC/IF)
          Insulin Antibody in Immunohistochemistry (Paraffin) (IHC (P))
          Insulin Antibody in Immunohistochemistry (IHC)
          Insulin Antibody

          产品信息

          13-9769-80

          应用
          建议稀释比
          已发表文章

          免疫印迹 (WB)

          -
          查看1篇已发表文章 1篇已发表文章

          免疫组化 (IHC)

          -
          查看1篇已发表文章 1篇已发表文章

          免疫组化(石蜡) (IHC (P))

          0.5 µg/mL
          查看1篇已发表文章 1篇已发表文章

          免疫细胞化学 (ICC/IF)

          -
          查看1篇已发表文章 1篇已发表文章
          产品规格

          种属反应

          Human, Mouse, Rat

          宿主/亚型

          Mouse / IgG2a, kappa

          推荐的同型对照

          Mouse IgG2a kappa Isotype Control (eBM2a), Biotin, eBioscience™

          分类

          Monoclonal

          类型

          Antibody

          克隆号

          ICBTACLS

          偶联物

          Biotin Biotin Biotin
          • Unconjugated
          • Alexa Fluor 488 
          • Request custom conjugation

          形式

          Liquid

          浓度

          0.5 mg/mL

          规格

          25 µg

          纯化类型

          Affinity chromatography

          保存液

          PBS, pH 7.2

          内含物

          0.09% Sodium Azide

          保存条件

          4°C, store in dark, DO NOT FREEZE!

          运输条件

          Ambient (domestic); Wet ice (international)

          RRID

          AB_2572834

          产品详细信息

          This ICBTACLS monoclonal antibody reacts with the hormone insulin, responsible for regulation of carbohydrate and fat metabolism. Blood glucose levels are maintained by insulin. Insulin secretion from pancreatic beta-cells within the islets of Langerhans results in uptake of excess glucose from the blood into organs and its storage in the form of glycogen. Patients with type 1 diabetes have an autoimmune destruction of insulin-producing beta-cells in the pancreas, resulting in insulin deficiency and elevated levels of blood glucose. Patients with type 2 diabetes have insulin resistance where insulin becomes less effective at reducing the amount of blood glucose. Insulin is also important for proper endothelial cell function in with respect to vascular elasticity in response to changing blood pressure and plays a role in cognition, learning, and memory.The ICBTACLS antibody recognizes human, mouse, and rat insulin.

          This ICBTACLS antibody has been tested by immunohistochemsitry of formalin-fixed paraffin embedded tissue using low or high pH antigen retrieval and can be used at less than or equal to 0.5 µg/mL. It is recommended that the antibody be carefully titrated for optimal performance in the assay of interest.

          Filtration: 0.2 µm post-manufacturing filtered.

          靶标信息

          Insulin is a peptide hormone secreted by beta cells of the pancreatic islets. It regulates carbohydrate, protein and lipid metabolism by enhancing membrane transport of glucose, amino acids, and certain ions. It also promotes glycogen storage, formation of triglycerides and synthesis of proteins and nucleic acids. Insulin is 51-amino acid polypeptide product produced from a precursor peptide, proinsulin. Proinsulin is post-translationally cleaved into two chains (peptide A and peptide B) that are covalently linked via two disulfide bonds and one molecule of C-peptide. Insulin deficiency results in diabetes mellitus, one of the leading causes of morbidity and mortality in the general population. Insulin is also present in tumors of b-cell origin such as insulinoma.

          仅用于科研。不用于诊断过程。未经明确授权不得转售。

          生物信息学

          蛋白别名: Ins; INSU1; INSU2; INSU3B; INSUA; INSUB; INSUC; Insulin; insulin splice variant; insulin variant; INS-splice; Insulin-1; Insulin-2; preproinsulin; proinsulin

          查看更多 收起

          基因别名: AA986540; IDDM; IDDM1; IDDM2; ILPR; INS; Ins-1; Ins-2; Ins1; Ins2; Ins2-rs1; InsII; IRDN; Mody; MODY10; Mody4; PNDM4; proinsulin

          查看更多 收起

          UniProt ID: (Human) P01308, (Rat) P01322, (Mouse) P01325, (Rat) P01323, (Mouse) P01326

          查看更多 收起

          Entrez Gene ID: (Human) 3630, (Rat) 24505, (Mouse) 16333, (Rat) 24506, (Mouse) 16334

          查看更多 收起

          功能
          protease binding insulin receptor binding insulin-like growth factor receptor binding hormone activity protein binding identical protein binding receptor agonist activity chaperone binding protein complex binding growth factor
          参与通路
          positive regulation of cytokine production negative regulation of acute inflammatory response glucose metabolic process regulation of transcription, DNA-templated acute-phase response G-protein coupled receptor signaling pathway cell-cell signaling positive regulation of cell proliferation insulin receptor signaling pathway positive regulation of gene expression negative regulation of gene expression positive regulation of nitric oxide mediated signal transduction positive regulation of neuron projection development positive regulation of cell growth positive regulation of cell migration regulation of protein localization nitric oxide-cGMP-mediated signaling pathway TORC1 signaling wound healing negative regulation of protein catabolic process vasodilation glucose homeostasis positive regulation of I-kappaB kinase/NF-kappaB signaling positive regulation of MAPK cascade positive regulation of cell differentiation negative regulation of gluconeogenesis positive regulation of glycogen biosynthetic process positive regulation of translation negative regulation of glycogen catabolic process positive regulation of glycolytic process positive regulation of mitotic nuclear division negative regulation of fatty acid metabolic process positive regulation of glucose import positive regulation of insulin receptor signaling pathway alpha-beta T cell activation positive regulation of lipid biosynthetic process regulation of synaptic plasticity regulation of protein secretion negative regulation of protein secretion positive regulation of protein secretion cognition negative regulation of lipid catabolic process positive regulation of nitric-oxide synthase activity positive regulation of protein kinase B signaling fatty acid homeostasis negative regulation of respiratory burst involved in inflammatory response positive regulation of respiratory burst positive regulation of peptide hormone secretion positive regulation of brown fat cell differentiation positive regulation of protein localization to nucleus positive regulation of long-term synaptic potentiation cellular response to oxygen-containing compound negative regulation of oxidative stress-induced intrinsic apoptotic signaling pathway positive regulation of dendritic spine maintenance regulation of protein localization to plasma membrane negative regulation of reactive oxygen species biosynthetic process neuron projection maintenance negative regulation of protein ubiquitination involved in ubiquitin-dependent protein catabolic process negative regulation of feeding behavior MAPK cascade regulation of cellular amino acid metabolic process response to organic substance positive regulation of phosphatidylinositol 3-kinase signaling glucose transport regulation of transmembrane transporter activity activation of protein kinase B activity positive regulation of cellular protein metabolic process negative regulation of protein oligomerization negative regulation of NAD(P)H oxidase activity response to cytokine response to peptide hormone positive regulation of DNA replication negative regulation of proteolysis positive regulation of cytokine secretion positive regulation of peptidyl-tyrosine phosphorylation positive regulation of NF-kappaB transcription factor activity response to cAMP carbohydrate metabolic process negative regulation of transcription from RNA polymerase II promoter activation of MAPK activity ER overload response myoblast fusion biological_process lipid catabolic process regulation of protein binding positive regulation of phosphatidylinositol 3-kinase activity canonical Wnt signaling pathway intrinsic apoptotic signaling pathway in response to endoplasmic reticulum stress activation of JUN kinase activity regulation of gene expression myotube differentiation regulation of phosphorylation
          It has to be done as per old AB suggested Products section.

          Disclaimer

          Close

          Clicking the images or links will redirect you to a website hosted by BenchSci that provides third-party scientific content. Neither the content nor the BenchSci technology and processes for selection have been evaluated by us; we are providing them as-is and without warranty of any kind, including for use or application of the Thermo Fisher Scientific products presented.

          guarantee_icon

          性能保障

          只要您发现Invitrogen抗体在实验中的表现与网站或说明书的所述内容不符,您即可享受免费退换货服务。*

          了解更多
          help_icon

          随时为您服务

          获取常见问题的专家解答,或者直接联系我们的技术专家,咨询应用、设备、常规产品使用问题。

          联系技术支持
          订购 Plus Icon Minus Icon
          • 订单状态查询
          • 订单支持
          • 货号直购
          • 现货供应中心
          • 电子采购
          支持 Plus Icon Minus Icon
          • 帮助&支持
          • 联系我们 - 400 820 8982
          • 技术支持中心
          • 查找文件&证书
          • 报告网站问题
          资源 Plus Icon Minus Icon
          • 学习中心
          • 促销
          • 活动&研讨会
          • 社交媒体
          关于赛默飞 Plus Icon Minus Icon
          • 关于我们
          • 招聘 招聘
          • 投资者关系 投资者关系
          • 新闻 新闻
          • 社会责任 社会责任
          • 商标
          • 政策和通知
          品牌 Plus Icon Minus Icon
          • Thermo Scientific
          • Applied Biosystems
          • Invitrogen
          • Gibco
          • Ion Torrent
          • Unity Lab Services
          • Patheon
          • PPD
          • 服务条款
          • 隐私政策
          • 定价和运输保险政策
          © 2006-2026 Thermo Fisher Scientific Inc. All rights reserved. All trademarks are the property of Thermo Fisher Scientific and its subsidiaries unless otherwise specified.
          China flag icon
          China
          本网站销售的所有产品均不得用于人类或动物之临床诊断或治疗,仅可用于工业或者科研等非医疗目的。
             电子营业执照 | 经营证照公示 | ICP备案号:沪ICP备11003924号 | 沪公网安备 31011502006935号

          Your items have has been added!


          Host server : magellan-search-green-6479c7f679-sz4vp:80/100.66.76.236:80.
          git-commit: b70c0dceb888abc3b0dcebb5bc3a5b8753e7e816
          git-url: https://github.com/thermofisher/magellan-search
          git-branch: release/2.50.0-Offline