Hamburger Menu Button
Thermo Fisher Scientific Logo
登录
没有账号?建立账号 注册
  • 产品
    • 抗体
    • 引物合成
    • GeneArt Gene Synthesis Instant Designer
    • TaqMan Assay and Array Search
    • PCR 设备和耗材
    • 色谱柱和纯化柱
    • 实验室离心机
    • 分子生物学试剂和试剂盒
    • 实验室塑料耗材及用品
    • 查看所有产品分类
  • 应用和技术
    • 色谱
    • 细胞转染和培养
    • 实时荧光定量PCR
    • 质谱
    • 实验室塑料耗材及用品
    • 电子显微镜
    • 蛋白质生物学
    • PCR
    • RNAi
    • 环境
    • 查看所有应用和技术
  • 服务
    • 定制服务
    • 企业级实验室信息化服务
    • 金融&租赁服务
    • 仪器服务
    • OEM和商业供应
    • 培训服务
    • 360° CDMO 和 CRO 服务
    • CDMO 服务
    • 临床试验 CRO 服务
    • Unity Lab Services
    • 查看所有帮助和支持
  • 帮助和支持
    • 学习中心
    • 联系我们
    • 更改国家或地区
    • 查看所有帮助和支持
  • 热门产品
    • TaqMan Real-Time PCR Assays
      TaqMan 实时荧光定量 PCR 试剂盒
    • Antibodies
      抗体
    • Oligos, Primers & Probes
      寡核苷酸、引物、探针
    • GeneArt Gene Synthesis
      GeneArt 基因合成
    • Cell Culture Plastics
      细胞培养耗材
  • Who We Serve
    • 抗体治疗解决方案
    • 细胞与基因治疗解决方案
    • 学术科研
    • 工业与应用
  • 联系我们
  • 货号直购
  • 订单查询
  • 查找文件&证书
Thermo Fisher Scientific Logo

Search

搜索全部或下列指定分类
Search button
          • 联系我们
          • 货号直购
          • 登录
            登录
            没有账号?建立账号 注册
            • 我的账号
            • 订单
            • 账单及发票查询
            • 定制产品及项目
          • Primary Antibodies ›
          • Leptin Antibodies

          Proteintech

          Leptin Polyclonal Antibody

          4 篇参考文献
          查看其他28个Leptin抗体

          {{$productOrderCtrl.translations['antibody.pdp.commerceCard.promotion.promotions']}}

          {{$productOrderCtrl.translations['antibody.pdp.commerceCard.promotion.viewpromo']}}

          {{$productOrderCtrl.translations['antibody.pdp.commerceCard.promotion.promocode']}}: {{promo.promoCode}} {{promo.promoTitle}} {{promo.promoDescription}}. {{$productOrderCtrl.translations['antibody.pdp.commerceCard.promotion.learnmore']}}

          说明书
          证书
          实验方案
          问题与答案
          技术支持
          说明书
          证书
          实验方案
          问题与答案
          技术支持
          说明书
          证书
          实验方案
          问题与答案
          技术支持

          Cite Leptin Polyclonal Antibody

          Additional Information:
          {{banner.description}}
          {{$ctrl.isSkuNotesCollapsed ? 'View more' : 'View less'}}
          • 抗体检测数据 (20)
          Leptin Antibody in Immunocytochemistry (ICC/IF)
          Group 53 Created with Sketch.
          Leptin Antibody in Immunocytochemistry (ICC/IF)
          Group 53 Created with Sketch.

          图: 1 / 20

          {{ $ctrl.currentElement.advancedVerification.fullName }}
          {{ $ctrl.currentElement.advancedVerification.text }}

          Leptin Antibody (17436-1-AP) in ICC/IF

          Immunofluorescent analysis of (-20°C Ethanol) fixed NIH/3T3 cells using 17436-1-AP (Leptin antibody) at dilution of 1:100 and Alexa Fluor 488-conjugated AffiniPure Goat Anti-Rabbit IgG (H+L). {{ $ctrl.currentElement.advancedVerification.fullName }} 验证信息 View more
          已发表图片由___提供 benchsci-logo
          PMID: {{$ctrl.currentElement.benchSciPubmedId}}
          查看产品

          {{$ctrl.videoDesc}}

          {{$ctrl.videoLongDesc}}

          Leptin Antibody in Immunocytochemistry (ICC/IF)
          Leptin Antibody in Immunocytochemistry (ICC/IF)
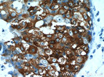
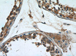
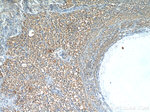
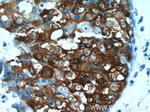
          Leptin Antibody in Immunohistochemistry (Paraffin) (IHC (P))
          Leptin Antibody in Immunohistochemistry (Paraffin) (IHC (P))
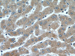
          Leptin Antibody in Immunohistochemistry (Paraffin) (IHC (P))
          Leptin Antibody in Immunohistochemistry (Paraffin) (IHC (P))
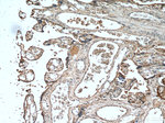
          Leptin Antibody in Immunohistochemistry (Paraffin) (IHC (P))
          Leptin Antibody in Immunohistochemistry (Paraffin) (IHC (P))
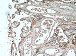
          Leptin Antibody in Immunohistochemistry (Paraffin) (IHC (P))
          Leptin Antibody in Immunohistochemistry (Paraffin) (IHC (P))
          Leptin Antibody in Immunohistochemistry (Paraffin) (IHC (P))
          Leptin Antibody in Immunohistochemistry (Paraffin) (IHC (P))
          Leptin Antibody in Immunohistochemistry (Paraffin) (IHC (P))
          Leptin Antibody in Immunohistochemistry (Paraffin) (IHC (P))
          Leptin Antibody in Immunohistochemistry (Paraffin) (IHC (P))
          Leptin Antibody in Immunohistochemistry (Paraffin) (IHC (P))
          Leptin Antibody in Immunohistochemistry (Paraffin) (IHC (P))
          Leptin Antibody in Immunohistochemistry (Paraffin) (IHC (P))
          Leptin Antibody in Immunohistochemistry (Paraffin) (IHC (P))
          Leptin Antibody in Immunohistochemistry (Paraffin) (IHC (P))
          Leptin Polyclonal Antibody

          产品信息

          17436-1-AP

          应用
          建议稀释比
          已发表文章

          免疫印迹 (WB)

          -
          查看1篇已发表文章 1篇已发表文章

          免疫组化 (IHC)

          -
          查看3篇已发表文章 3篇已发表文章

          免疫组化(石蜡) (IHC (P))

          1:50-1:500
          -

          免疫细胞化学 (ICC/IF)

          1:50-1:500
          -
          产品规格

          种属反应

          Human, Mouse

          宿主/亚型

          Rabbit / IgG

          分类

          Polyclonal

          类型

          Antibody

          抗原

          Leptin Fusion Protein Ag11507 (1-167 aa encoded by BC060830)
          3D表位/免疫原

          偶联物

          Unconjugated Unconjugated Unconjugated

          形式

          Liquid

          浓度

          0.13 mg/mL

          规格

          19.5 µg

          纯化类型

          Antigen affinity chromatography

          保存液

          PBS, pH 7.3, with 50% glycerol

          内含物

          0.02% sodium azide

          保存条件

          -20°C

          运输条件

          Wet ice (domestic); Dry ice (international)

          产品详细信息

          Immunogen sequence: MHWGTLCGF LWLWPYLFYV QAVPIQKVQD DTKTLIKTIV TRINDISHTQ SVSSKQKVTG LDFIPGLHPI LTLSKMDQTL AVYQQILTSM PSRNVIQISN DLENLRDLLH VLAFSKSCHL PWASGLETLD SLGGVLEASG YSTEVVALSR LQGSLQDMLW QLDLSPGC (1-167 aa encoded by BC060830)

          靶标信息

          Leptin is a 167 amino acid long protein hormone with important effects in regulating body weight, metabolism and reproductive function. Leptin is approximately 16 kDa in mass and encoded by the obese (ob) gene. Leptin is expressed predominantly by adipocytes, which fits with the idea that body weight is sensed as the total mass of fat in the body. Smaller amounts of leptin are also secreted by cells in the epithelium of the stomach and in the placenta. Leptin receptors are highly expressed in areas of the hypothalamus known to be important in regulating body weight, as well as in T lymphocytes and vascular endothelial cells. Leptin's effects on body weight are mediated through effects on hypothalamic centers that control feeding behavior and hunger, body temperature and energy expenditure. Leptin is involved in regulating food intake, energy expenditure, and adiposity through hypothalamic leptin receptors. Leptin promotes hematopoiesis, angiogenesis, wound healing, inflammation, immune responses, influences pubertal development and fetal growth. Studies have investigated the role of leptin in obesity, anorexia nervosa, insulin resistance, and hypertension. Leptin also has thermogenic actions and regulates enzymes of fatty acid oxidation. Severe hereditary obesity in rodents and humans can be caused by defects in leptin production.

          仅用于科研。不用于诊断过程。未经明确授权不得转售。

          生物信息学

          蛋白别名: CD295 antigen; H-Leptin; HuB219; LEP-R; Leptin; leptin (murine obesity homolog); leptin (obesity homolog, mouse); ob; OB-R; obese; Obese protein; obese, mouse, homolog of; obesity; Obesity factor; obesity protein; unnamed protein product

          查看更多 收起

          基因别名: LEP; LEPD; OB; obese; OBS

          查看更多 收起

          UniProt ID: (Human) P41159, (Mouse) P41160

          查看更多 收起

          Entrez Gene ID: (Human) 3952, (Mouse) 16846

          查看更多 收起

          功能
          DNA binding receptor binding hormone activity protein binding peptide hormone receptor binding leptin receptor binding growth factor activity peptide hormone
          参与通路
          negative regulation of transcription from RNA polymerase II promoter angiogenesis ovulation from ovarian follicle response to hypoxia positive regulation of cytokine production placenta development regulation of endothelial cell proliferation response to dietary excess cardiac muscle hypertrophy glucose metabolic process regulation of gluconeogenesis energy reserve metabolic process glycerol biosynthetic process lipid metabolic process fatty acid beta-oxidation phagocytosis signal transduction JAK-STAT cascade female pregnancy response to nutrient circadian rhythm cholesterol metabolic process bile acid metabolic process regulation of blood pressure positive regulation of cell proliferation determination of adult lifespan adult feeding behavior fatty acid catabolic process negative regulation of metabolic process negative regulation of autophagy negative regulation of lipid storage response to activity regulation of metabolic process sexual reproduction central nervous system neuron development insulin secretion T cell differentiation regulation of intestinal cholesterol absorption response to nutrient levels positive regulation of TOR signaling negative regulation of appetite prostaglandin secretion response to estradiol positive regulation of interleukin-12 production positive regulation of interleukin-6 production positive regulation of interleukin-8 production positive regulation of tumor necrosis factor production regulation of natural killer cell activation regulation of natural killer cell proliferation response to insulin cellular response to insulin stimulus response to vitamin E leptin-mediated signaling pathway positive regulation of luteinizing hormone secretion positive regulation of peroxisome proliferator activated receptor signaling pathway intracellular signal transduction bone mineralization involved in bone maturation aorta development negative regulation of appetite by leptin-mediated signaling pathway positive regulation of T cell proliferation regulation of natural killer cell mediated cytotoxicity positive regulation of protein import into nucleus hormone metabolic process glucose homeostasis eating behavior negative regulation of apoptotic process positive regulation of ion transport positive regulation of MAPK cascade cellular response to leptin stimulus response to ethanol regulation of fat cell differentiation regulation of angiogenesis negative regulation of vasoconstriction negative regulation of glucose import positive regulation of JAK-STAT cascade positive regulation of insulin receptor signaling pathway regulation of bone remodeling positive regulation of follicle-stimulating hormone secretion regulation of lipid biosynthetic process positive regulation of developmental growth regulation of insulin secretion regulation of steroid biosynthetic process intestinal absorption leukocyte tethering or rolling regulation of nitric-oxide synthase activity negative regulation of transport elastin metabolic process regulation of cell cycle positive regulation of protein kinase B signaling regulation of lipoprotein lipid oxidation adipose tissue development negative regulation of cartilage development negative regulation of glucagon secretion cellular response to L-ascorbic acid cellular response to retinoic acid regulation of brown fat cell differentiation energy homeostasis receptor signaling pathway via STAT bone growth positive regulation of cold-induced thermogenesis regulation of cytokine production involved in inflammatory response regulation of protein localization to nucleus positive regulation of p38MAPK cascade positive regulation of fat cell apoptotic process activation of protein kinase C activity positive regulation of reactive oxygen species metabolic process negative regulation of glutamine transport positive regulation of hepatic stellate cell activation regulation of protein phosphorylation tyrosine phosphorylation of STAT protein positive regulation of tyrosine phosphorylation of Stat3 protein positive regulation of myeloid cell differentiation positive regulation of STAT protein import into nucleus
          It has to be done as per old AB suggested Products section.

          Disclaimer

          Close

          Clicking the images or links will redirect you to a website hosted by BenchSci that provides third-party scientific content. Neither the content nor the BenchSci technology and processes for selection have been evaluated by us; we are providing them as-is and without warranty of any kind, including for use or application of the Thermo Fisher Scientific products presented.

          guarantee_icon

          性能保障

          只要您发现Invitrogen抗体在实验中的表现与网站或说明书的所述内容不符,您即可享受免费退换货服务。*

          了解更多
          help_icon

          随时为您服务

          获取常见问题的专家解答,或者直接联系我们的技术专家,咨询应用、设备、常规产品使用问题。

          联系技术支持
          订购 Plus Icon Minus Icon
          • 订单状态查询
          • 订单支持
          • 货号直购
          • 现货供应中心
          • 电子采购
          支持 Plus Icon Minus Icon
          • 帮助&支持
          • 联系我们 - 400 820 8982
          • 技术支持中心
          • 查找文件&证书
          • 报告网站问题
          资源 Plus Icon Minus Icon
          • 学习中心
          • 促销
          • 活动&研讨会
          • 社交媒体
          关于赛默飞 Plus Icon Minus Icon
          • 关于我们
          • 招聘 招聘
          • 投资者关系 投资者关系
          • 新闻 新闻
          • 社会责任 社会责任
          • 商标
          • 政策和通知
          品牌 Plus Icon Minus Icon
          • Thermo Scientific
          • Applied Biosystems
          • Invitrogen
          • Gibco
          • Ion Torrent
          • Unity Lab Services
          • Patheon
          • PPD
          • 服务条款
          • 隐私政策
          • 定价和运输保险政策
          © 2006-2026 Thermo Fisher Scientific Inc. All rights reserved. All trademarks are the property of Thermo Fisher Scientific and its subsidiaries unless otherwise specified.
          China flag icon
          China
          本网站销售的所有产品均不得用于人类或动物之临床诊断或治疗,仅可用于工业或者科研等非医疗目的。
             电子营业执照 | 经营证照公示 | ICP备案号:沪ICP备11003924号 | 沪公网安备 31011502006935号

          Your items have has been added!


          Host server : magellan-search-green-6b469b8bb7-5xwv5:80/100.66.76.242:80.
          git-commit: a334af76dff23450325448aedefe62379591458a
          git-url: https://github.com/thermofisher/magellan-search
          git-branch: release/2.48.1-2026.04.16-1.0