Hamburger Menu Button
Thermo Fisher Scientific Logo
登录
没有账号?建立账号 注册
  • 产品
    • 抗体
    • 引物合成
    • GeneArt Gene Synthesis Instant Designer
    • TaqMan Assay and Array Search
    • PCR 设备和耗材
    • 色谱柱和纯化柱
    • 实验室离心机
    • 分子生物学试剂和试剂盒
    • 实验室塑料耗材及用品
    • 查看所有产品分类
  • 应用和技术
    • 色谱
    • 细胞转染和培养
    • 实时荧光定量PCR
    • 质谱
    • 实验室塑料耗材及用品
    • 电子显微镜
    • 蛋白质生物学
    • PCR
    • RNAi
    • 环境
    • 查看所有应用和技术
  • 服务
    • 定制服务
    • 企业级实验室信息化服务
    • 金融&租赁服务
    • 仪器服务
    • OEM和商业供应
    • 培训服务
    • 360° CDMO 和 CRO 服务
    • CDMO 服务
    • 临床试验 CRO 服务
    • Unity Lab Services
    • 查看所有帮助和支持
  • 帮助和支持
    • 学习中心
    • 联系我们
    • 更改国家或地区
    • 查看所有帮助和支持
  • 热门产品
    • TaqMan Real-Time PCR Assays
      TaqMan 实时荧光定量 PCR 试剂盒
    • Antibodies
      抗体
    • Oligos, Primers & Probes
      寡核苷酸、引物、探针
    • GeneArt Gene Synthesis
      GeneArt 基因合成
    • Cell Culture Plastics
      细胞培养耗材
  • Who We Serve
    • 抗体治疗解决方案
    • 细胞与基因治疗解决方案
    • 学术科研
    • 工业与应用
  • 联系我们
  • 货号直购
  • 订单查询
  • 查找文件&证书
Thermo Fisher Scientific Logo

Search

搜索全部或下列指定分类
Search button
          • 联系我们
          • 货号直购
          • 登录
            登录
            没有账号?建立账号 注册
            • 我的账号
            • 订单
            • 会员中心
            • 账单及发票查询
            • 定制产品及项目
          • Primary Antibodies ›
          • GDF15 Antibodies

          Rockland

          NAG-1 Polyclonal Antibody, HRP

          查看其他48个GDF15抗体

          {{$productOrderCtrl.translations['antibody.pdp.commerceCard.promotion.promotions']}}

          {{$productOrderCtrl.translations['antibody.pdp.commerceCard.promotion.viewpromo']}}

          {{$productOrderCtrl.translations['antibody.pdp.commerceCard.promotion.promocode']}}: {{promo.promoCode}} {{promo.promoTitle}} {{promo.promoDescription}}. {{$productOrderCtrl.translations['antibody.pdp.commerceCard.promotion.learnmore']}}

          说明书
          证书
          实验方案
          问题与答案
          技术支持
          说明书
          证书
          实验方案
          问题与答案
          技术支持
          说明书
          证书
          实验方案
          问题与答案
          技术支持

          Cite NAG-1 Polyclonal Antibody, HRP

          Additional Information:
          {{banner.description}}
          {{$ctrl.isSkuNotesCollapsed ? 'View more' : 'View less'}}
          • 抗体检测数据 (3)
          NAG-1 Antibody in Western Blot (WB)
          Group 53 Created with Sketch.
          NAG-1 Antibody in Western Blot (WB)
          Group 53 Created with Sketch.

          图: 1 / 3

          {{ $ctrl.currentElement.advancedVerification.fullName }}
          {{ $ctrl.currentElement.advancedVerification.text }}

          NAG-1 Antibody (600-403-B07) in WB

          Western blot using Rocklands affinity purified anti-NAG-1/GDF15 (C-terminal) antibody shows detection NAG-1 purified from CHO cells as a 14 kDa band corresponding to monomer and a 28 kDa band corresponding to dimerized NAG-1. Samples were electro-phoresed on a 4-20% gradient gel under reducing conditions. Lane 1 shows NAG-1 detection. Lane 2 shows reactivity is blocked when this antibody is pre-incubated with the immunizing peptide prior to Western blotting. {{ $ctrl.currentElement.advancedVerification.fullName }} 验证信息 View more
          已发表图片由___提供 benchsci-logo
          PMID: {{$ctrl.currentElement.benchSciPubmedId}}
          查看产品

          {{$ctrl.videoDesc}}

          {{$ctrl.videoLongDesc}}

          NAG-1 Antibody in Western Blot (WB)
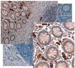
          NAG-1 Antibody in Immunohistochemistry (IHC)
          NAG-1 Antibody in Immunohistochemistry (IHC)
          NAG-1 Polyclonal Antibody, HRP

          产品信息

          600-403-B07

          应用
          建议稀释比
          已发表文章

          免疫印迹 (WB)

          1:1,000-1:5,000
          -

          免疫组化 (IHC)

          1:500-1:2,500
          -

          酶联免疫吸附实验 (ELISA)

          1:10,000-1:50,000
          -

          免疫沉淀 (IP)

          1:1,000-1:5,000
          -
          产品规格

          种属反应

          Human, Mouse

          宿主/亚型

          Rabbit / IgG

          分类

          Polyclonal

          类型

          Antibody

          抗原

          Anti-NAG-1 (C-terminal specific) antibody was prepared by repeated immunizations with a synthetic peptide corresponding to a region near the carboxy terminal end of human NAG-1 protein. A residue of cysteine was added to facilitate coupling to KLH.
          3D表位/免疫原

          偶联物

          HRP HRP HRP

          形式

          Lyophilized

          浓度

          1.07 mg/mL

          规格

          100 µg

          纯化类型

          Affinity chromatography

          保存液

          0.02M potassium phosphate, pH 7.2, with 0.15M NaCl, 10mg/mL BSA

          内含物

          0.01% gentamicin sulfate

          保存条件

          Store at 4°C short term. For long term storage, store at -20°C, avoiding freeze/thaw cycles.

          运输条件

          Ambient (domestic); Wet ice (international)

          产品详细信息

          Store vial at 4° C prior to restoration. For extended storage aliquot contents and freeze at -20° C or below. Avoid cycles of freezing and thawing. Centrifuge product if not completely clear after standing at room temperature. This product is stable for several weeks at 4° C as an undiluted liquid. Dilute only prior to immediate use.

          This antibody reacts with the C-terminus of endogenous NAG-1 protein from human and mouse tissues. A BLAST analysis suggests reactivity with NAG-1 from chimpanzee and macaque based on a 100% homology. Partial reactivity is expected against rat based on an 86% homology with the immunizing sequence. Cross-reactivity with NAG-1 from other sources has not been determined.

          靶标信息

          GDF-15 belongs to the TGF-beta cytokine family, whose members play an important role during prenatal development and postnatal growth, and the remodeling and maintenance of a variety of tissues and organs. GDF-15 is expressed predominantly in the placenta and, to a much lesser extent, in various other tissues. The presence of GDF-15 in amniotic fluid and its elevated levels in the sera of pregnant women suggest GDF-15's involvement in gestation and embryonic development. GDF-15 generally exerts tumor suppressive activities and is one of the predominant factors produced and secreted in response to activation of the p53 pathway. Interestingly, the serum level of GDF-15 is positively correlated with neoplastic progression of several tumor types, including certain colorectal, pancreatic, and prostate cancers.

          仅用于科研。不用于诊断过程。未经明确授权不得转售。

          篇参考文献 (0)

          您是否在文献中引用过该产品?请点击下方按钮邮件告知我们。
          引用该产品

          生物信息学

          蛋白别名: GDF-15; Growth/differentiation factor 15; macrophage inhibiting cytokine-1; Macrophage inhibitory cytokine 1; MIC-1; NAG-1; NAG1; non-steroidal anti-inflammatory drug-activated gene-1; NRG-1; NSAID (nonsteroidal anti-inflammatory drug)-activated protein 1; NSAID-activated gene 1 protein; NSAID-regulated gene 1 protein; PDF; Placental bone morphogenetic protein; Placental TGF-beta; Prostate differentiation factor; PTGF-beta; TGF-b superfamily cytokine; unnamed protein product

          查看更多 收起

          基因别名: GDF-15; GDF15; HG; MIC-1; MIC1; NAG-1; PDF; PLAB; PTGFB; SBF

          查看更多 收起

          UniProt ID: (Human) Q99988, (Mouse) Q9Z0J7

          查看更多 收起

          Entrez Gene ID: (Human) 9518, (Mouse) 23886

          查看更多 收起

          功能
          cytokine activity hormone activity protein binding growth factor activity protein homodimerization activity transforming growth factor beta receptor binding growth factor
          参与通路
          reduction of food intake in response to dietary excess negative regulation of leukocyte migration signal transduction transmembrane receptor protein serine/threonine kinase signaling pathway transforming growth factor beta receptor signaling pathway cell-cell signaling negative regulation of transforming growth factor beta receptor signaling pathway negative regulation of appetite negative regulation of multicellular organism growth positive regulation of MAPK cascade positive regulation of fatty acid oxidation positive regulation of protein kinase B signaling negative regulation of SMAD protein import into nucleus negative regulation of growth hormone receptor signaling pathway cellular response to chemical stress energy homeostasis GDF15-GFRAL signaling pathway response to metformin positive regulation of myoblast fusion positive regulation of pathway-restricted SMAD protein phosphorylation regulation of apoptotic process regulation of MAPK cascade cell development SMAD protein signal transduction
          It has to be done as per old AB suggested Products section.

          Disclaimer

          Close

          Clicking the images or links will redirect you to a website hosted by BenchSci that provides third-party scientific content. Neither the content nor the BenchSci technology and processes for selection have been evaluated by us; we are providing them as-is and without warranty of any kind, including for use or application of the Thermo Fisher Scientific products presented.

          guarantee_icon

          性能保障

          只要您发现Invitrogen抗体在实验中的表现与网站或说明书的所述内容不符,您即可享受免费退换货服务。*

          了解更多
          help_icon

          随时为您服务

          获取常见问题的专家解答,或者直接联系我们的技术专家,咨询应用、设备、常规产品使用问题。

          联系技术支持
          订购 Plus Icon Minus Icon
          • 订单状态查询
          • 订单支持
          • 货号直购
          • 现货供应中心
          • 电子采购
          支持 Plus Icon Minus Icon
          • 帮助&支持
          • 联系我们 - 400 820 8982
          • 技术支持中心
          • 查找文件&证书
          • 报告网站问题
          资源 Plus Icon Minus Icon
          • 学习中心
          • 促销
          • 活动&研讨会
          • 社交媒体
          关于赛默飞 Plus Icon Minus Icon
          • 关于我们
          • 招聘 招聘
          • 投资者关系 投资者关系
          • 新闻 新闻
          • 社会责任 社会责任
          • 商标
          • 政策和通知
          品牌 Plus Icon Minus Icon
          • Thermo Scientific
          • Applied Biosystems
          • Invitrogen
          • Gibco
          • Ion Torrent
          • Unity Lab Services
          • Patheon
          • PPD
          • 服务条款
          • 隐私政策
          • 定价和运输保险政策
          © 2006-2026 Thermo Fisher Scientific Inc. All rights reserved. All trademarks are the property of Thermo Fisher Scientific and its subsidiaries unless otherwise specified.
          China flag icon
          China
          本网站销售的所有产品均不得用于人类或动物之临床诊断或治疗,仅可用于工业或者科研等非医疗目的。
             电子营业执照 | 经营证照公示 | ICP备案号:沪ICP备11003924号 | 沪公网安备 31011502006935号

          Your items have has been added!


          Host server : magellan-search-green-6479c7f679-zb4k5:80/100.66.74.142:80.
          git-commit: b70c0dceb888abc3b0dcebb5bc3a5b8753e7e816
          git-url: https://github.com/thermofisher/magellan-search
          git-branch: release/2.50.0-Offline