Hamburger Menu Button
Thermo Fisher Scientific Logo
登录
没有账号?建立账号 注册
  • 产品
    • 抗体
    • 引物合成
    • GeneArt Gene Synthesis Instant Designer
    • TaqMan Assay and Array Search
    • PCR 设备和耗材
    • 色谱柱和纯化柱
    • 实验室离心机
    • 分子生物学试剂和试剂盒
    • 实验室塑料耗材及用品
    • 查看所有产品分类
  • 应用和技术
    • 色谱
    • 细胞转染和培养
    • 实时荧光定量PCR
    • 质谱
    • 实验室塑料耗材及用品
    • 电子显微镜
    • 蛋白质生物学
    • PCR
    • RNAi
    • 环境
    • 查看所有应用和技术
  • 服务
    • 定制服务
    • 企业级实验室信息化服务
    • 金融&租赁服务
    • 仪器服务
    • OEM和商业供应
    • 培训服务
    • 360° CDMO 和 CRO 服务
    • CDMO 服务
    • 临床试验 CRO 服务
    • Unity Lab Services
    • 查看所有帮助和支持
  • 帮助和支持
    • 学习中心
    • 联系我们
    • 更改国家或地区
    • 查看所有帮助和支持
  • 热门产品
    • TaqMan Real-Time PCR Assays
      TaqMan 实时荧光定量 PCR 试剂盒
    • Antibodies
      抗体
    • Oligos, Primers & Probes
      寡核苷酸、引物、探针
    • GeneArt Gene Synthesis
      GeneArt 基因合成
    • Cell Culture Plastics
      细胞培养耗材
  • Who We Serve
    • 抗体治疗解决方案
    • 细胞与基因治疗解决方案
    • 学术科研
    • 工业与应用
  • 联系我们
  • 货号直购
  • 订单查询
  • 查找文件&证书
Thermo Fisher Scientific Logo

Search

搜索全部或下列指定分类
Search button
          • 联系我们
          • 货号直购
          • 登录
            登录
            没有账号?建立账号 注册
            • 我的账号
            • 订单
            • 会员中心
            • 账单及发票查询
            • 定制产品及项目
          • Primary Antibodies ›
          • NMDAR2A Antibodies

          Proteintech

          NMDAR2A/GRIN2A Polyclonal Antibody

          5 篇参考文献
          查看其他33个NMDAR2A抗体

          {{$productOrderCtrl.translations['antibody.pdp.commerceCard.promotion.promotions']}}

          {{$productOrderCtrl.translations['antibody.pdp.commerceCard.promotion.viewpromo']}}

          {{$productOrderCtrl.translations['antibody.pdp.commerceCard.promotion.promocode']}}: {{promo.promoCode}} {{promo.promoTitle}} {{promo.promoDescription}}. {{$productOrderCtrl.translations['antibody.pdp.commerceCard.promotion.learnmore']}}

          说明书
          证书
          实验方案
          问题与答案
          技术支持
          说明书
          证书
          实验方案
          问题与答案
          技术支持
          说明书
          证书
          实验方案
          问题与答案
          技术支持

          Cite NMDAR2A/GRIN2A Polyclonal Antibody

          Additional Information:
          {{banner.description}}
          {{$ctrl.isSkuNotesCollapsed ? 'View more' : 'View less'}}
          • 抗体检测数据 (3)
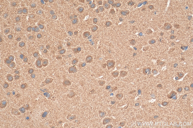
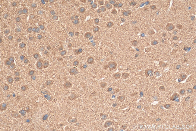
          NMDAR2A/GRIN2A Antibody in Immunohistochemistry (Paraffin) (IHC (P))
          Group 53 Created with Sketch.
          NMDAR2A/GRIN2A Antibody in Immunohistochemistry (Paraffin) (IHC (P))
          Group 53 Created with Sketch.

          图: 1 / 3

          {{ $ctrl.currentElement.advancedVerification.fullName }}
          {{ $ctrl.currentElement.advancedVerification.text }}

          NMDAR2A/GRIN2A Antibody (28525-1-AP) in IHC (P)

          Immunohistochemical analysis of paraffin-embedded mouse brain tissue slide using (Product # 28525-1-AP) (NMDAR2A/GRIN2A antibody) at dilution of 1:200 (under 40x lens). Heat mediated antigen retrieval with Tris-EDTA buffer (pH 9.0). {{ $ctrl.currentElement.advancedVerification.fullName }} 验证信息 View more
          已发表图片由___提供 benchsci-logo
          PMID: {{$ctrl.currentElement.benchSciPubmedId}}
          查看产品

          {{$ctrl.videoDesc}}

          {{$ctrl.videoLongDesc}}

          NMDAR2A/GRIN2A Antibody in Immunohistochemistry (Paraffin) (IHC (P))
          NMDAR2A/GRIN2A Antibody in Immunohistochemistry (Paraffin) (IHC (P))
          NMDAR2A/GRIN2A Antibody in Western Blot (WB)

          产品信息

          28525-1-AP

          应用
          建议稀释比
          已发表文章

          免疫印迹 (WB)

          1:3,000
          查看5篇已发表文章 5篇已发表文章

          免疫组化(石蜡) (IHC (P))

          1:200
          -
          产品规格

          种属反应

          Human, Mouse, Rat

          宿主/亚型

          Rabbit / IgG

          分类

          Polyclonal

          类型

          Antibody

          抗原

          NMDAR2A/GRIN2A Fusion Protein Ag29101

          偶联物

          Unconjugated Unconjugated Unconjugated

          形式

          Liquid

          浓度

          780 µg/mL

          规格

          117 µg

          纯化类型

          Antigen affinity chromatography

          保存液

          PBS, pH 7.3, with 50% glycerol

          内含物

          0.02% sodium azide

          保存条件

          -20°C

          运输条件

          Wet ice

          产品详细信息

          Aliquoting is unnecessary for -20°C storage.

          靶标信息

          N-methyl-D-aspartate (NMDA) receptors are a class of ionotropic glutamate-gated ion channels. These receptors have been shown to be involved in long-term potentiation, an activity-dependent increase in the efficiency of synaptic transmission thought to underlie certain kinds of memory and learning. NMDA receptor channels are heteromers composed of the key receptor subunit NMDAR1 (GRIN1) and 1 or more of the 4 NMDAR2 subunits: NMDAR2A (GRIN2A), NMDAR2B (GRIN2B), NMDAR2C (GRIN2C) and NMDAR2D (GRIN2D). Alternatively spliced transcript variants encoding different isoforms have been found for this gene.

          仅用于科研。不用于诊断过程。未经明确授权不得转售。

          生物信息学

          蛋白别名: GluN2A; GluRepsilon1; Glutamate [NMDA] receptor subunit epsilon-1; glutamate ionotropic receptor NMDA 2A; glutamate receptor; Glutamate receptor ionotropic, NMDA 2A; glutamate receptor, ionotropic, N-methyl D-aspartate 2A; hNR2A; N-methyl D-aspartate receptor subtype 2A; N-methyl-D-aspartate receptor channel, subunit epsilon-1; N-methyl-D-aspartate receptor subunit 2A; NMDA Receptor 2A; NMDAR 2A; NMDAR2A; OTTHUMP00000160135; OTTHUMP00000174531; unnamed protein product

          查看更多 收起

          基因别名: EPND; FESD; GluN2A; GRIN2A; LKS; NMDAR2A; NR2A

          查看更多 收起

          UniProt ID: (Human) Q12879, (Mouse) P35436, (Rat) Q00959

          查看更多 收起

          Entrez Gene ID: (Human) 2903, (Mouse) 14811, (Rat) 24409

          查看更多 收起

          功能
          beta-amyloid binding NMDA glutamate receptor activity ion channel activity cation channel activity calcium channel activity protein binding zinc ion binding ligand-gated ion channel activity glutamate-gated calcium ion channel activity signaling receptor activity metal ion binding transmitter-gated ion channel activity involved in regulation of postsynaptic membrane potential receptor activity ionotropic glutamate receptor activity receptor binding extracellular-glutamate-gated ion channel activity glutamate binding protein kinase binding voltage-gated cation channel activity protein complex binding glutamate receptor binding neurotransmitter binding protein heterodimerization activity protein dimerization activity cell adhesion molecule binding ATPase binding scaffold protein binding transmembrane signal receptor
          参与通路
          startle response response to amphetamine ion transport calcium ion transport glutamate receptor signaling pathway chemical synaptic transmission brain development learning or memory learning memory visual learning response to xenobiotic stimulus response to wounding sensory perception of pain calcium-mediated signaling neurogenesis protein catabolic process sleep directional locomotion ion transmembrane transport ionotropic glutamate receptor signaling pathway synaptic transmission, glutamatergic sodium ion transmembrane transport locomotion negative regulation of protein catabolic process regulation of membrane potential dopamine metabolic process serotonin metabolic process positive regulation of apoptotic process response to ethanol regulation of synaptic plasticity regulation of neuronal synaptic plasticity modulation of synaptic transmission positive regulation of synaptic transmission, glutamatergic regulation of postsynaptic membrane potential excitatory postsynaptic potential long-term synaptic potentiation calcium ion transmembrane transport calcium ion transmembrane import into cytosol cation transmembrane transport excitatory chemical synaptic transmission protein localization to postsynaptic membrane regulation of cation transmembrane transport cellular response to beta-amyloid positive regulation of excitatory postsynaptic potential action potential transport cation transport locomotory behavior protein localization positive regulation of cell death regulation of ion transmembrane transport response to drug regulation of long-term neuronal synaptic plasticity rhythmic process detection of mechanical stimulus involved in sensory perception of pain protein tetramerization regulation of sensory perception of pain cellular response to amino acid stimulus cellular response to zinc ion response to light stimulus response to carbohydrate response to manganese ion response to organic cyclic compound response to amine spinal cord development hippocampus development cerebral cortex development response to cocaine response to calcium ion response to methylmercury response to other organism response to ammonium ion response to fungicide cellular response to magnesium ion cellular response to manganese ion cellular response to dsRNA cellular response to growth factor stimulus cellular response to lipid
          It has to be done as per old AB suggested Products section.

          Disclaimer

          Close

          Clicking the images or links will redirect you to a website hosted by BenchSci that provides third-party scientific content. Neither the content nor the BenchSci technology and processes for selection have been evaluated by us; we are providing them as-is and without warranty of any kind, including for use or application of the Thermo Fisher Scientific products presented.

          guarantee_icon

          性能保障

          只要您发现Invitrogen抗体在实验中的表现与网站或说明书的所述内容不符,您即可享受免费退换货服务。*

          了解更多
          help_icon

          随时为您服务

          获取常见问题的专家解答,或者直接联系我们的技术专家,咨询应用、设备、常规产品使用问题。

          联系技术支持
          订购 Plus Icon Minus Icon
          • 订单状态查询
          • 订单支持
          • 货号直购
          • 现货供应中心
          • 电子采购
          支持 Plus Icon Minus Icon
          • 帮助&支持
          • 联系我们 - 400 820 8982
          • 技术支持中心
          • 查找文件&证书
          • 报告网站问题
          资源 Plus Icon Minus Icon
          • 学习中心
          • 促销
          • 活动&研讨会
          • 社交媒体
          关于赛默飞 Plus Icon Minus Icon
          • 关于我们
          • 招聘 招聘
          • 投资者关系 投资者关系
          • 新闻 新闻
          • 社会责任 社会责任
          • 商标
          • 政策和通知
          品牌 Plus Icon Minus Icon
          • Thermo Scientific
          • Applied Biosystems
          • Invitrogen
          • Gibco
          • Ion Torrent
          • Unity Lab Services
          • Patheon
          • PPD
          • 服务条款
          • 隐私政策
          • 定价和运输保险政策
          © 2006-2026 Thermo Fisher Scientific Inc. All rights reserved. All trademarks are the property of Thermo Fisher Scientific and its subsidiaries unless otherwise specified.
          China flag icon
          China
          本网站销售的所有产品均不得用于人类或动物之临床诊断或治疗,仅可用于工业或者科研等非医疗目的。
             电子营业执照 | 经营证照公示 | ICP备案号:沪ICP备11003924号 | 沪公网安备 31011502006935号

          Your items have has been added!


          Host server : magellan-search-green-6479c7f679-sz4vp:80/100.66.76.236:80.
          git-commit: b70c0dceb888abc3b0dcebb5bc3a5b8753e7e816
          git-url: https://github.com/thermofisher/magellan-search
          git-branch: release/2.50.0-Offline