Hamburger Menu Button
Thermo Fisher Scientific Logo
登录
没有账号?建立账号 注册
  • 产品
    • 抗体
    • 引物合成
    • GeneArt Gene Synthesis Instant Designer
    • TaqMan Assay and Array Search
    • PCR 设备和耗材
    • 色谱柱和纯化柱
    • 实验室离心机
    • 分子生物学试剂和试剂盒
    • 实验室塑料耗材及用品
    • 查看所有产品分类
  • 应用和技术
    • 色谱
    • 细胞转染和培养
    • 实时荧光定量PCR
    • 质谱
    • 实验室塑料耗材及用品
    • 电子显微镜
    • 蛋白质生物学
    • PCR
    • RNAi
    • 环境
    • 查看所有应用和技术
  • 服务
    • 定制服务
    • 企业级实验室信息化服务
    • 金融&租赁服务
    • 仪器服务
    • OEM和商业供应
    • 培训服务
    • 360° CDMO 和 CRO 服务
    • CDMO 服务
    • 临床试验 CRO 服务
    • Unity Lab Services
    • 查看所有帮助和支持
  • 帮助和支持
    • 学习中心
    • 联系我们
    • 更改国家或地区
    • 查看所有帮助和支持
  • 热门产品
    • TaqMan Real-Time PCR Assays
      TaqMan 实时荧光定量 PCR 试剂盒
    • Antibodies
      抗体
    • Oligos, Primers & Probes
      寡核苷酸、引物、探针
    • GeneArt Gene Synthesis
      GeneArt 基因合成
    • Cell Culture Plastics
      细胞培养耗材
  • Who We Serve
    • 抗体治疗解决方案
    • 细胞与基因治疗解决方案
    • 学术科研
    • 工业与应用
  • 联系我们
  • 货号直购
  • 订单查询
  • 查找文件&证书
Thermo Fisher Scientific Logo

Search

搜索全部或下列指定分类
Search button
          • 联系我们
          • 货号直购
          • 登录
            登录
            没有账号?建立账号 注册
            • 我的账号
            • 订单
            • 会员中心
            • 账单及发票查询
            • 定制产品及项目
          • Primary Antibodies ›
          • NMDAR2B Antibodies

          Invitrogen

          NMDAR2B Monoclonal Antibody (NR2B)

          23个已发表图片
          37 篇参考文献
          查看其他48个NMDAR2B抗体

          {{$productOrderCtrl.translations['antibody.pdp.commerceCard.promotion.promotions']}}

          {{$productOrderCtrl.translations['antibody.pdp.commerceCard.promotion.viewpromo']}}

          {{$productOrderCtrl.translations['antibody.pdp.commerceCard.promotion.promocode']}}: {{promo.promoCode}} {{promo.promoTitle}} {{promo.promoDescription}}. {{$productOrderCtrl.translations['antibody.pdp.commerceCard.promotion.learnmore']}}

          说明书
          证书
          实验方案
          问题与答案
          技术支持
          说明书
          证书
          实验方案
          问题与答案
          技术支持
          说明书
          证书
          实验方案
          问题与答案
          技术支持

          Cite NMDAR2B Monoclonal Antibody (NR2B)

          Additional Information:
          {{banner.description}}
          {{$ctrl.isSkuNotesCollapsed ? 'View more' : 'View less'}}
          • 抗体检测数据 (3)
          • 已发表图片 (23)
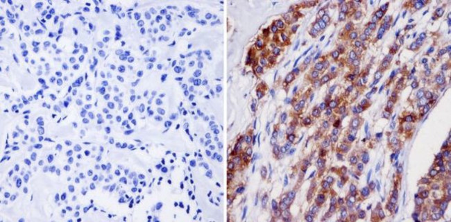
          NMDAR2B Antibody in Immunohistochemistry (Paraffin) (IHC (P))
          Group 53 Created with Sketch.
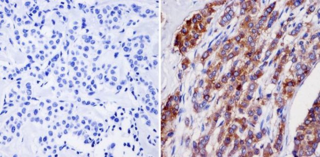
          NMDAR2B Antibody in Immunohistochemistry (Paraffin) (IHC (P))
          Group 53 Created with Sketch.

          图: 1 / 26

          {{ $ctrl.currentElement.advancedVerification.fullName }}
          {{ $ctrl.currentElement.advancedVerification.text }}

          NMDAR2B Antibody (MA1-2014) in IHC (P)

          Immunohistochemistry analysis of NMDA Receptor 2B showing staining in the cytoplasm and membrane of paraffin-embedded human breast tissue (right) compared with a negative control without primary antibody (left). To expose target proteins, antigen retrieval was performed using 10mM sodium citrate (pH 6.0), microwaved for 8-15 min. Following antigen retrieval, tissues were blocked in 3% H2O2-methanol for 15 m... View More {{ $ctrl.currentElement.advancedVerification.fullName }} 验证信息 View more
          已发表图片由___提供 benchsci-logo
          PMID: {{$ctrl.currentElement.benchSciPubmedId}}
          查看产品

          {{$ctrl.videoDesc}}

          {{$ctrl.videoLongDesc}}

          NMDAR2B Antibody in Immunohistochemistry (Paraffin) (IHC (P))
          NMDAR2B Antibody in Western Blot (WB)
          NMDAR2B Antibody in Western Blot (WB)
          NMDAR2B Antibody in Western Blot (WB)
          NMDAR2B Antibody in Immunohistochemistry (IHC)
          NMDAR2B Antibody in Immunohistochemistry (IHC)
          NMDAR2B Antibody in Western Blot (WB)
          NMDAR2B Antibody in Western Blot (WB)
          NMDAR2B Antibody in Western Blot, Immunoprecipitation (WB, IP)
          NMDAR2B Antibody in Western Blot (WB)
          NMDAR2B Antibody in Western Blot (WB)
          NMDAR2B Antibody in Western Blot (WB)
          NMDAR2B Antibody in Western Blot (WB)
          NMDAR2B Antibody in Western Blot (WB)
          NMDAR2B Antibody in Western Blot (WB)
          NMDAR2B Antibody in Western Blot (WB)
          NMDAR2B Antibody in Western Blot (WB)
          NMDAR2B Antibody in Western Blot (WB)
          NMDAR2B Antibody in Western Blot (WB)
          NMDAR2B Antibody in Western Blot (WB)
          NMDAR2B Antibody in Western Blot (WB)
          NMDAR2B Antibody in Western Blot (WB)
          NMDAR2B Antibody in Western Blot (WB)
          NMDAR2B Antibody in Western Blot (WB)
          NMDAR2B Antibody in Western Blot (WB)
          NMDAR2B Antibody in Western Blot (WB)
          NMDAR2B Monoclonal Antibody (NR2B)

          产品信息

          MA1-2014

          应用
          建议稀释比
          已发表文章

          免疫印迹 (WB)

          1-2 µg/mL
          查看28篇已发表文章 28篇已发表文章

          免疫组化 (IHC)

          -
          查看2篇已发表文章 2篇已发表文章

          免疫组化(石蜡) (IHC (P))

          1:10-1:100
          -

          免疫组化(冰冻) (IHC (F))

          -
          查看1篇已发表文章 1篇已发表文章

          免疫细胞化学 (ICC/IF)

          1 µg/mL
          查看5篇已发表文章 5篇已发表文章

          免疫沉淀 (IP)

          -
          查看1篇已发表文章 1篇已发表文章
          产品规格

          种属反应

          Human, Mouse, Rat

          已发表种属

          Human, Mouse, Rat

          宿主/亚型

          Mouse / IgG1

          分类

          Monoclonal

          类型

          Antibody

          克隆号

          NR2B

          抗原

          Recombinant protein: NR2B subunit of amino acid residues 934-1457.
          3D表位/免疫原

          偶联物

          Unconjugated Unconjugated Unconjugated

          形式

          Liquid

          浓度

          1 mg/mL

          规格

          100 µg

          纯化类型

          Protein A

          保存液

          PBS with 1mg/mL BSA

          内含物

          0.05% sodium azide

          保存条件

          -20°C, Avoid Freeze/Thaw Cycles

          运输条件

          Ambient (domestic); Wet ice (international)

          RRID

          AB_560347

          产品详细信息

          MA1-2014 detects the N-methyl-D-aspartate (NMDA) receptor type 2B in human and mouse samples.

          MA1-2014 has been used successfully in Western blot, IHC (P) and immunocytochemistry procedures. In Western blot analysis of mouse brain tissue this antibody detects a ~166 kDa protein representing NMDA receptor type 2B.

          The MA1-2014 immunogen is a recombinant protein composed of amino acid residues 934-1457 of the rat NMDA receptor type 2B.

          靶标信息

          NMDAR2B is a member of the N-methyl-D-aspartate (NMDA) class of ionotropic glutamate receptors. NMDA receptors (NMDAR) have been shown to be involved in long-term potentiation, an activity-dependent increase in the efficiency of synaptic transmission thought to underlie certain kinds of memory and learning. NMDAR play a role in neuronal development and has been implicated in several disorders of the central nervous system including Alzheimer's Disease, epilepsy and ischemic neuronal cell death. Overexpression of the NR2B subunit of the receptor has been associated with increases in learning and memory while aged, memory impaired animals have deficiencies in NR2B expression. Tyr1472 on NR2B is phosphorylated and this may lead to the increased expression of the NMDAR at the synapse that plays a role in synaptic plasticity. NMDR2B is a heterotrimer comprised of seven enetically encoded and differentially expressed subunits that include NR1, NR2 and NR3. Diseases associated with the dysfunction of NMDAR2B include epileptic encephalopathy, autosomal dominant 6-related mental retardation.

          仅用于科研。不用于诊断过程。未经明确授权不得转售。

          生物信息学

          蛋白别名: GluN2B; GluN2B(alt_5'UTR); GluRepsilon2; Glutamate [NMDA] receptor subunit epsilon-2; glutamate receptor; Glutamate receptor ionotropic, NMDA 2B; glutamate receptor subunit epsilon-2; glutamate receptor, ionotropic, N-methyl D-aspartate 2B; glutamate receptor, ionotropic, NMDA2B; GRIN 2B; HGNC:4586; hNR 3; MGC142178; MGC142180; N-methyl D-aspartate receptor 2B; N-methyl D-aspartate receptor subtype 2B; N-methyl-D-aspartate receptor subunit 3; NMDAR2B; NMDE2; NME2; NR2B; NR3

          查看更多 收起

          基因别名: AW490526; DEE27; EIEE27; GluN2B; GRIN2B; hNR3; MRD6; NMDAR2B; NR2B; NR3

          查看更多 收起

          UniProt ID: (Human) Q13224, (Mouse) Q01097, (Rat) Q00960

          查看更多 收起

          Entrez Gene ID: (Human) 2904, (Mouse) 14812, (Rat) 24410

          查看更多 收起

          功能
          beta-amyloid binding NMDA glutamate receptor activity ion channel activity protein binding zinc ion binding ligand-gated ion channel activity glycine binding glutamate binding glutamate-gated calcium ion channel activity signaling receptor activity metal ion binding ligand-gated monoatomic ion channel activity involved in regulation of presynaptic membrane potential transmitter-gated ion channel activity involved in regulation of postsynaptic membrane potential receptor activity ionotropic glutamate receptor activity receptor binding interleukin-1 receptor binding extracellular-glutamate-gated ion channel activity cation channel activity calcium channel activity beta-catenin binding drug binding D2 dopamine receptor binding ionotropic glutamate receptor binding neurotransmitter binding protein heterodimerization activity cell adhesion molecule binding transmembrane signal receptor
          参与通路
          ion transport glutamate receptor signaling pathway chemical synaptic transmission brain development learning or memory calcium-mediated signaling ion transmembrane transport ionotropic glutamate receptor signaling pathway synaptic transmission, glutamatergic regulation of membrane potential response to ethanol regulation of synaptic plasticity regulation of neuronal synaptic plasticity protein heterotetramerization positive regulation of synaptic transmission, glutamatergic excitatory postsynaptic potential long-term synaptic potentiation calcium ion transmembrane import into cytosol cation transmembrane transport excitatory chemical synaptic transmission regulation of presynaptic membrane potential negative regulation of dendritic spine maintenance regulation of cation transmembrane transport positive regulation of excitatory postsynaptic potential action potential behavioral fear response in utero embryonic development startle response suckling behavior transport cation transport calcium ion transport sensory organ development learning memory associative learning embryo development regulation of protein kinase A signaling positive regulation of cell death positive regulation of glutamate secretion fear response receptor clustering regulation of MAPK cascade regulation of long-term neuronal synaptic plasticity behavioral response to pain rhythmic process positive regulation of synaptic transmission detection of mechanical stimulus involved in sensory perception of pain regulation of postsynaptic membrane potential calcium ion transmembrane transport response to amphetamine long-term memory response to mechanical stimulus response to toxic substance response to carbohydrate response to manganese ion cellular response to magnesium starvation response to organic cyclic compound response to amine hippocampus development cerebral cortex development response to magnesium ion multicellular organismal response to stress response to cytokine response to cocaine response to calcium ion response to methylmercury response to electrical stimulus response to other organism response to growth hormone response to fungicide cellular response to amino acid stimulus cellular response to manganese ion cellular response to dsRNA cellular response to growth factor stimulus cellular response to lipid cellular response to organic cyclic compound
          It has to be done as per old AB suggested Products section.

          Disclaimer

          Close

          Clicking the images or links will redirect you to a website hosted by BenchSci that provides third-party scientific content. Neither the content nor the BenchSci technology and processes for selection have been evaluated by us; we are providing them as-is and without warranty of any kind, including for use or application of the Thermo Fisher Scientific products presented.

          guarantee_icon

          性能保障

          只要您发现Invitrogen抗体在实验中的表现与网站或说明书的所述内容不符,您即可享受免费退换货服务。*

          了解更多
          help_icon

          随时为您服务

          获取常见问题的专家解答,或者直接联系我们的技术专家,咨询应用、设备、常规产品使用问题。

          联系技术支持
          订购 Plus Icon Minus Icon
          • 订单状态查询
          • 订单支持
          • 货号直购
          • 现货供应中心
          • 电子采购
          支持 Plus Icon Minus Icon
          • 帮助&支持
          • 联系我们 - 400 820 8982
          • 技术支持中心
          • 查找文件&证书
          • 报告网站问题
          资源 Plus Icon Minus Icon
          • 学习中心
          • 促销
          • 活动&研讨会
          • 社交媒体
          关于赛默飞 Plus Icon Minus Icon
          • 关于我们
          • 招聘 招聘
          • 投资者关系 投资者关系
          • 新闻 新闻
          • 社会责任 社会责任
          • 商标
          • 政策和通知
          品牌 Plus Icon Minus Icon
          • Thermo Scientific
          • Applied Biosystems
          • Invitrogen
          • Gibco
          • Ion Torrent
          • Unity Lab Services
          • Patheon
          • PPD
          • 服务条款
          • 隐私政策
          • 定价和运输保险政策
          © 2006-2026 Thermo Fisher Scientific Inc. All rights reserved. All trademarks are the property of Thermo Fisher Scientific and its subsidiaries unless otherwise specified.
          China flag icon
          China
          本网站销售的所有产品均不得用于人类或动物之临床诊断或治疗,仅可用于工业或者科研等非医疗目的。
             电子营业执照 | 经营证照公示 | ICP备案号:沪ICP备11003924号 | 沪公网安备 31011502006935号

          Your items have has been added!


          Host server : magellan-search-green-6479c7f679-zb4k5:80/100.66.74.142:80.
          git-commit: b70c0dceb888abc3b0dcebb5bc3a5b8753e7e816
          git-url: https://github.com/thermofisher/magellan-search
          git-branch: release/2.50.0-Offline