Hamburger Menu Button
Thermo Fisher Scientific Logo
登录
没有账号?建立账号 注册
  • 产品
    • 抗体
    • 引物合成
    • GeneArt Gene Synthesis Instant Designer
    • TaqMan Assay and Array Search
    • PCR 设备和耗材
    • 色谱柱和纯化柱
    • 实验室离心机
    • 分子生物学试剂和试剂盒
    • 实验室塑料耗材及用品
    • 查看所有产品分类
  • 应用和技术
    • 色谱
    • 细胞转染和培养
    • 实时荧光定量PCR
    • 质谱
    • 实验室塑料耗材及用品
    • 电子显微镜
    • 蛋白质生物学
    • PCR
    • RNAi
    • 环境
    • 查看所有应用和技术
  • 服务
    • 定制服务
    • 企业级实验室信息化服务
    • 金融&租赁服务
    • 仪器服务
    • OEM和商业供应
    • 培训服务
    • 360° CDMO 和 CRO 服务
    • CDMO 服务
    • 临床试验 CRO 服务
    • Unity Lab Services
    • 查看所有帮助和支持
  • 帮助和支持
    • 学习中心
    • 联系我们
    • 更改国家或地区
    • 查看所有帮助和支持
  • 热门产品
    • TaqMan Real-Time PCR Assays
      TaqMan 实时荧光定量 PCR 试剂盒
    • Antibodies
      抗体
    • Oligos, Primers & Probes
      寡核苷酸、引物、探针
    • GeneArt Gene Synthesis
      GeneArt 基因合成
    • Cell Culture Plastics
      细胞培养耗材
  • Who We Serve
    • 抗体治疗解决方案
    • 细胞与基因治疗解决方案
    • 学术科研
    • 工业与应用
  • 联系我们
  • 货号直购
  • 订单查询
  • 查找文件&证书
Thermo Fisher Scientific Logo

Search

搜索全部或下列指定分类
Search button
          • 联系我们
          • 货号直购
          • 登录
            登录
            没有账号?建立账号 注册
            • 我的账号
            • 订单
            • 会员中心
            • 账单及发票查询
            • 定制产品及项目
          • Primary Antibodies ›
          • NR3C2 Antibodies

          Invitrogen

          NR3C2 Monoclonal Antibody (H10E4C9F)

          4个已发表图片
          21 篇参考文献
          查看其他12个NR3C2抗体

          {{$productOrderCtrl.translations['antibody.pdp.commerceCard.promotion.promotions']}}

          {{$productOrderCtrl.translations['antibody.pdp.commerceCard.promotion.viewpromo']}}

          {{$productOrderCtrl.translations['antibody.pdp.commerceCard.promotion.promocode']}}: {{promo.promoCode}} {{promo.promoTitle}} {{promo.promoDescription}}. {{$productOrderCtrl.translations['antibody.pdp.commerceCard.promotion.learnmore']}}

          说明书
          证书
          实验方案
          问题与答案
          技术支持
          说明书
          证书
          实验方案
          问题与答案
          技术支持
          说明书
          证书
          实验方案
          问题与答案
          技术支持

          Cite NR3C2 Monoclonal Antibody (H10E4C9F)

          Additional Information:
          {{banner.description}}
          {{$ctrl.isSkuNotesCollapsed ? 'View more' : 'View less'}}
          • 抗体检测数据 (6)
          • 已发表图片 (4)
          NR3C2 Antibody in Immunocytochemistry (ICC/IF)
          Group 53 Created with Sketch.
          NR3C2 Antibody in Immunocytochemistry (ICC/IF)
          Group 53 Created with Sketch.

          图: 1 / 10

          {{ $ctrl.currentElement.advancedVerification.fullName }}
          {{ $ctrl.currentElement.advancedVerification.text }}

          NR3C2 Antibody (MA1-620) in ICC/IF

          Immunofluorescent analysis of Mineralocorticoid Receptor using Mineralocorticoid Receptor Monoclonal antibody (H10E4C9F) (Product # MA1-620) shows staining in HEK293 cells. Mineralocorticoid Receptor staining (green), F-Actin staining with Phalloidin (red) and nuclei with DAPI (blue) is shown. Cells were grown on chamber slides and fixed with formaldehyde prior to staining. Cells were probed without (control) or with or an antibody recognizing Mineralocorticoid Receptor (Product # MA1-620) at a dilution of 1:20-1:200 over night at 4 °C, wa... View More {{ $ctrl.currentElement.advancedVerification.fullName }} 验证信息 View more
          已发表图片由___提供 benchsci-logo
          PMID: {{$ctrl.currentElement.benchSciPubmedId}}
          查看产品

          {{$ctrl.videoDesc}}

          {{$ctrl.videoLongDesc}}

          NR3C2 Antibody in Immunocytochemistry (ICC/IF)
          NR3C2 Antibody in Immunocytochemistry (ICC/IF)
          NR3C2 Antibody in Immunocytochemistry (ICC/IF)
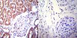
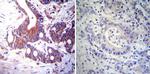
          NR3C2 Antibody in Immunohistochemistry (Paraffin) (IHC (P))
          NR3C2 Antibody in Immunohistochemistry (Paraffin) (IHC (P))
          NR3C2 Antibody in Immunohistochemistry (Paraffin) (IHC (P))
          NR3C2 Antibody in Immunohistochemistry (IHC)
          NR3C2 Antibody in Western Blot (WB)
          NR3C2 Antibody in Western Blot (WB)
          NR3C2 Antibody in Immunoprecipitation (IP)

          产品信息

          MA1-620

          应用
          建议稀释比
          已发表文章

          免疫印迹 (WB)

          1:1,000
          查看7篇已发表文章 7篇已发表文章

          免疫组化 (IHC)

          -
          查看11篇已发表文章 11篇已发表文章

          免疫组化(石蜡) (IHC (P))

          1/100
          -

          免疫细胞化学 (ICC/IF)

          Assay-dependent
          查看1篇已发表文章 1篇已发表文章

          流式细胞分析 (Flow)

          1/20
          -

          免疫沉淀 (IP)

          -
          查看1篇已发表文章 1篇已发表文章

          中和实验 (Neu)

          -
          查看1篇已发表文章 1篇已发表文章

          抑制试剂 (Inhibition)

          Assay-dependent
          -
          产品规格

          种属反应

          Chicken, Human, Rabbit, Rat

          已发表种属

          Chicken, Human, Mouse, Rabbit, Rat, Sheep

          宿主/亚型

          Mouse / IgG1

          分类

          Monoclonal

          类型

          Antibody

          克隆号

          H10E4C9F

          抗原

          Aldosterone-3

          偶联物

          Unconjugated Unconjugated Unconjugated

          形式

          Liquid

          浓度

          1.4 mg/mL

          规格

          140 µg

          纯化类型

          Protein A

          保存液

          PBS

          内含物

          0.05% sodium azide

          保存条件

          -20°C, Avoid Freeze/Thaw Cycles

          运输条件

          Ambient (domestic); Wet ice (international)

          RRID

          AB_2298880

          产品详细信息

          MA1-620 detects mineralocorticoid receptor (MR) in human, rat, rabbit and chicken tissues.

          MA1-620 has been successfully used in Western blot, immunocytochemistry and immunohistochemistry procedures. By Western blot, this antibody detects a 116 kDa protein representing MR in rat heart homogenate. Immunohistochemical staining of MR in rabbit atrium with MA1-620 results in strong staining of myocytes and endothelial cells. MA1-620 cannot be used for immunoprecipitation.

          In immunohistochemical studies, staining with MA1-620 is blocked by pre-incubating the sample with aldosterone. MA1-620 can also be used in formalin-fixed, paraffin-embedded sections. Due to the extremely low levels of MR expressed in native tissues, it is recommended that enhanced detection systems be used for Western blotting such as enhanced chemiluminescence. MA1-620 blocks the binding of aldosterone since it is directed against the steroid binding domain of the mineralocorticoid receptor. The antibody can also react with the steroid binding domain for aldosterone on other receptors.

          The MA1-620 immunogen is aldosterone-3. This antibody was produced using the anti-idiotypic method.

          靶标信息

          Steroid receptors are ligand-dependent, intracellular proteins that stimulate transcription of specific genes by binding to specific DNA sequences following activation by the appropriate hormone. Mineralocorticoids are a family of steroids, secreted by the adrenal cortex, necessary for the regulation of a number of metabolic processes including electrolyte regulation. These compounds exert their effect through their interaction with the mineralocorticoid receptor (MR) and that complex's subsequent association with DNA. Given the function of mineralocorticoids, it is not surprising to find that the kidney is a primary target organ for mineralocorticoids and that this organ has been shown to contain MR. The corresponding gene for the mineralocorticoid receptor is NR3C2.

          仅用于科研。不用于诊断过程。未经明确授权不得转售。

          生物信息学

          蛋白别名: aldosterone receptor; Mineralocorticoid receptor; Mineralocorticoid receptor (aldosterone receptor); mineralocorticoid receptor 1; mineralocorticoid receptor 2; mineralocorticoid receptor delta; MR; nuclear hormone receptor; Nuclear receptor subfamily 3 group C member 2; unnamed protein product

          查看更多 收起

          基因别名: MCR; MLR; MR; NR3C2; NR3C2VIT

          查看更多 收起

          UniProt ID: (Human) P08235, (Rat) P22199

          查看更多 收起

          Entrez Gene ID: (Chicken) 374131, (Rabbit) 100358449, (Human) 4306, (Rat) 25672

          查看更多 收起

          功能
          RNA polymerase II core promoter proximal region sequence-specific DNA binding DNA binding RNA polymerase II transcription factor activity, ligand-activated sequence-specific DNA binding steroid binding RNA polymerase II transcription factor activity, sequence-specific DNA binding transcription factor activity, sequence-specific DNA binding steroid hormone receptor activity protein binding zinc ion binding lipid binding TBP-class protein binding estrogen response element binding sequence-specific DNA binding metal ion binding sequence-specific double-stranded DNA binding double-stranded DNA binding mineralocorticoid receptor activity hormone binding protein homodimerization activity protein heterodimerization activity
          参与通路
          regulation of transcription from RNA polymerase II promoter intracellular steroid hormone receptor signaling pathway transcription, DNA-templated regulation of transcription, DNA-templated cellular sodium ion homeostasis excretion mineralocorticoid receptor signaling pathway regulation of cell proliferation steroid hormone mediated signaling pathway signal transduction cellular response to hormone stimulus response to lipid positive regulation of NIK/NF-kappaB signaling
          It has to be done as per old AB suggested Products section.

          Disclaimer

          Close

          Clicking the images or links will redirect you to a website hosted by BenchSci that provides third-party scientific content. Neither the content nor the BenchSci technology and processes for selection have been evaluated by us; we are providing them as-is and without warranty of any kind, including for use or application of the Thermo Fisher Scientific products presented.

          guarantee_icon

          性能保障

          只要您发现Invitrogen抗体在实验中的表现与网站或说明书的所述内容不符,您即可享受免费退换货服务。*

          了解更多
          help_icon

          随时为您服务

          获取常见问题的专家解答,或者直接联系我们的技术专家,咨询应用、设备、常规产品使用问题。

          联系技术支持
          订购 Plus Icon Minus Icon
          • 订单状态查询
          • 订单支持
          • 货号直购
          • 现货供应中心
          • 电子采购
          支持 Plus Icon Minus Icon
          • 帮助&支持
          • 联系我们 - 400 820 8982
          • 技术支持中心
          • 查找文件&证书
          • 报告网站问题
          资源 Plus Icon Minus Icon
          • 学习中心
          • 促销
          • 活动&研讨会
          • 社交媒体
          关于赛默飞 Plus Icon Minus Icon
          • 关于我们
          • 招聘 招聘
          • 投资者关系 投资者关系
          • 新闻 新闻
          • 社会责任 社会责任
          • 商标
          • 政策和通知
          品牌 Plus Icon Minus Icon
          • Thermo Scientific
          • Applied Biosystems
          • Invitrogen
          • Gibco
          • Ion Torrent
          • Unity Lab Services
          • Patheon
          • PPD
          • 服务条款
          • 隐私政策
          • 定价和运输保险政策
          © 2006-2026 Thermo Fisher Scientific Inc. All rights reserved. All trademarks are the property of Thermo Fisher Scientific and its subsidiaries unless otherwise specified.
          China flag icon
          China
          本网站销售的所有产品均不得用于人类或动物之临床诊断或治疗,仅可用于工业或者科研等非医疗目的。
             电子营业执照 | 经营证照公示 | ICP备案号:沪ICP备11003924号 | 沪公网安备 31011502006935号

          Your items have has been added!


          Host server : magellan-search-green-6479c7f679-zb4k5:80/100.66.74.142:80.
          git-commit: b70c0dceb888abc3b0dcebb5bc3a5b8753e7e816
          git-url: https://github.com/thermofisher/magellan-search
          git-branch: release/2.50.0-Offline