Hamburger Menu Button
Thermo Fisher Scientific Logo
登录
没有账号?建立账号 注册
  • 产品
    • 抗体
    • 引物合成
    • GeneArt Gene Synthesis Instant Designer
    • TaqMan Assay and Array Search
    • PCR 设备和耗材
    • 色谱柱和纯化柱
    • 实验室离心机
    • 分子生物学试剂和试剂盒
    • 实验室塑料耗材及用品
    • 查看所有产品分类
  • 应用和技术
    • 色谱
    • 细胞转染和培养
    • 实时荧光定量PCR
    • 质谱
    • 实验室塑料耗材及用品
    • 电子显微镜
    • 蛋白质生物学
    • PCR
    • RNAi
    • 环境
    • 查看所有应用和技术
  • 服务
    • 定制服务
    • 企业级实验室信息化服务
    • 金融&租赁服务
    • 仪器服务
    • OEM和商业供应
    • 培训服务
    • 360° CDMO 和 CRO 服务
    • CDMO 服务
    • 临床试验 CRO 服务
    • Unity Lab Services
    • 查看所有帮助和支持
  • 帮助和支持
    • 学习中心
    • 联系我们
    • 更改国家或地区
    • 查看所有帮助和支持
  • 热门产品
    • TaqMan Real-Time PCR Assays
      TaqMan 实时荧光定量 PCR 试剂盒
    • Antibodies
      抗体
    • Oligos, Primers & Probes
      寡核苷酸、引物、探针
    • GeneArt Gene Synthesis
      GeneArt 基因合成
    • Cell Culture Plastics
      细胞培养耗材
  • Who We Serve
    • 抗体治疗解决方案
    • 细胞与基因治疗解决方案
    • 学术科研
    • 工业与应用
  • 联系我们
  • 货号直购
  • 订单查询
  • 查找文件&证书
Thermo Fisher Scientific Logo

Search

搜索全部或下列指定分类
Search button
          • 联系我们
          • 货号直购
          • 登录
            登录
            没有账号?建立账号 注册
            • 我的账号
            • 订单
            • 会员中心
            • 账单及发票查询
            • 定制产品及项目
          • Primary Antibodies ›
          • PI3K p85 alpha Antibodies

          Invitrogen

          PI3K p85 alpha Monoclonal Antibody (L3-D6)

          查看其他31个PI3K p85 alpha抗体

          {{$productOrderCtrl.translations['antibody.pdp.commerceCard.promotion.promotions']}}

          {{$productOrderCtrl.translations['antibody.pdp.commerceCard.promotion.viewpromo']}}

          {{$productOrderCtrl.translations['antibody.pdp.commerceCard.promotion.promocode']}}: {{promo.promoCode}} {{promo.promoTitle}} {{promo.promoDescription}}. {{$productOrderCtrl.translations['antibody.pdp.commerceCard.promotion.learnmore']}}

          说明书
          证书
          实验方案
          问题与答案
          技术支持
          说明书
          证书
          实验方案
          问题与答案
          技术支持
          说明书
          证书
          实验方案
          问题与答案
          技术支持

          Cite PI3K p85 alpha Monoclonal Antibody (L3-D6)

          Additional Information:
          {{banner.description}}
          {{$ctrl.isSkuNotesCollapsed ? 'View more' : 'View less'}}
          • 抗体检测数据 (7)
          PI3K p85 alpha Antibody in Immunocytochemistry (ICC/IF)
          Group 53 Created with Sketch.
          PI3K p85 alpha Antibody in Immunocytochemistry (ICC/IF)
          Group 53 Created with Sketch.

          图: 1 / 7

          {{ $ctrl.currentElement.advancedVerification.fullName }}
          {{ $ctrl.currentElement.advancedVerification.text }}

          PI3K p85 alpha Antibody (MA5-34900) in ICC/IF

          Immunofluorescent analysis of PI3-kinase p85 subunit alpha in HepG2 cells (green). Samples were fixed in paraformaldehyde and permeabilised with 0.25% Triton X100/PBS, incubated with PI3-kinase p85 subunit alpha monoclonal antibody (Product # MA5-34900), followed by DAPI (blue). {{ $ctrl.currentElement.advancedVerification.fullName }} 验证信息 View more
          已发表图片由___提供 benchsci-logo
          PMID: {{$ctrl.currentElement.benchSciPubmedId}}
          查看产品

          {{$ctrl.videoDesc}}

          {{$ctrl.videoLongDesc}}

          PI3K p85 alpha Antibody in Immunocytochemistry (ICC/IF)
          PI3K p85 alpha Antibody in Immunocytochemistry (ICC/IF)
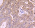
          PI3K p85 alpha Antibody in Immunohistochemistry (Paraffin) (IHC (P))
          PI3K p85 alpha Antibody in Immunohistochemistry (Paraffin) (IHC (P))
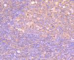
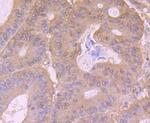
          PI3K p85 alpha Antibody in Immunohistochemistry (Paraffin) (IHC (P))
          PI3K p85 alpha Antibody in Immunohistochemistry (Paraffin) (IHC (P))
          PI3K p85 alpha Antibody in Western Blot (WB)
          PI3K p85 alpha Monoclonal Antibody (L3-D6)

          产品信息

          MA5-34900

          应用
          建议稀释比
          已发表文章

          免疫印迹 (WB)

          1:500-1:2,000
          -

          免疫组化(石蜡) (IHC (P))

          1:50-1:200
          -

          免疫细胞化学 (ICC/IF)

          1:50-1:200
          -
          产品规格

          种属反应

          Human

          宿主/亚型

          Mouse / IgG1

          分类

          Monoclonal

          类型

          Antibody

          克隆号

          L3-D6

          抗原

          Recombinant protein within Human PI3-kinase p85 subunit alpha aa 19-219.
          3D表位/免疫原

          偶联物

          Unconjugated Unconjugated Unconjugated

          形式

          Liquid

          浓度

          2 mg/mL

          规格

          200 µg

          纯化类型

          Protein G

          保存液

          PBS, pH 7.4, with 50% glycerol, 0.2% BSA

          内含物

          0.05% sodium azide

          保存条件

          -20°C, Avoid Freeze/Thaw Cycles, store in dark

          运输条件

          Ambient (domestic); Wet ice (international)

          RRID

          AB_2848806

          产品详细信息

          Positive Control: Raji, U937, HepG2, LOVO, rat brain tissue, human tonsil tissue, human colon cancer tissue, human placenta tissue.

          靶标信息

          Phosphatidylinositol 3-kinase (PIK3) is a signaling protein that phosphorylates the inositol ring of phosphatidylinositol at the 3-prime position. Signaling is initiated when upstream tyrosine kinase receptors or G protein coupled receptors are bound by their ligands. It binds to activated (phosphorylated) protein-Tyr kinases, through its SH2 domain, and acts as an adapter, mediating the association of the p110 catalytic unit to the plasma membrane. Phosphatidylinositol 3-kinase plays an important role in the metabolic actions of insulin, and a mutation in this gene has been associated with insulin resistance. During insulin stimulation, it also binds to IRS-1. Mutations in the gene can result in Agammaglobulinemia 7, SHORT syndrome, or Immunodeficiency 36.

          仅用于科研。不用于诊断过程。未经明确授权不得转售。

          篇参考文献 (0)

          您是否在文献中引用过该产品?请点击下方按钮邮件告知我们。
          引用该产品

          生物信息学

          蛋白别名: growth factor receptor bound 1; p55-GAMMA; p55PIK; p85-alpha; GRB1; phosphatidylinositol 3-kinase 55 kDa regulatory subunit gamma; Phosphatidylinositol 3-kinase 85 kDa regulatory subunit alpha; Phosphatidylinositol 3-kinase regulatory subunit alpha; phosphatidylinositol 3-kinase regulatory subunit gamma; phosphatidylinositol 3-kinase, regulatory subunit, polypeptide 1 (p85 alpha); phosphatidylinositol 3-kinase-associated p-85 alpha; phosphoinositide-3-kinase regulatory subunit alpha; phosphoinositide-3-kinase, regulatory subunit 1 (alpha); PI3 kinase-associated p85; PI3-kinase p85-subunit alpha; PI3-kinase regulatory subunit alpha; PI3-kinase regulatory subunit gamma; PI3-kinase subunit p55-gamma; PI3-kinase subunit p85-alpha; PI3K regulatory subunit alpha; PI3K regulatory subunit gamma; PI3K-p46; polypeptide 1 p85 alpha; ptdIns-3-kinase regulatory subunit alpha; PtdIns-3-kinase regulatory subunit p85-al; RP4-533D7.2; unnamed protein product

          查看更多 收起

          基因别名: AGM7; GRB1; IMD36; p85; p85-ALPHA; p85alpha; PIK3R1

          查看更多 收起

          UniProt ID: (Human) P27986

          查看更多 收起

          Entrez Gene ID: (Human) 5295

          查看更多 收起

          功能
          phosphotyrosine binding transmembrane receptor protein tyrosine kinase adaptor activity GTPase activator activity insulin receptor binding insulin-like growth factor receptor binding neurotrophin TRKA receptor binding protein binding kinase regulator activity kinase activator activity protein phosphatase binding phosphatidylinositol 3-kinase regulator activity phosphatidylinositol 3-kinase regulatory subunit binding ErbB-3 class receptor binding phosphatidylinositol 3-kinase binding insulin binding insulin receptor substrate binding 1-phosphatidylinositol-3-kinase regulator activity protein heterodimerization activity phosphatidylinositol kinase activity enzyme-substrate adaptor activity phosphatidylinositol 3-kinase activator activity
          参与通路
          cellular glucose homeostasis negative regulation of cell-matrix adhesion positive regulation of leukocyte migration transcription from RNA polymerase II promoter protein import into nucleus immune response negative regulation of cell adhesion signal transduction insulin receptor signaling pathway extrinsic apoptotic signaling pathway via death domain receptors intrinsic apoptotic signaling pathway in response to DNA damage positive regulation of lamellipodium assembly protein transport cytokine-mediated signaling pathway B cell differentiation T cell differentiation osteoclast differentiation positive regulation of tumor necrosis factor production cellular response to insulin stimulus positive regulation of RNA splicing regulation of toll-like receptor 4 signaling pathway substrate adhesion-dependent cell spreading cellular response to UV response to endoplasmic reticulum stress interleukin-18-mediated signaling pathway natural killer cell mediated cytotoxicity positive regulation of protein import into nucleus negative regulation of apoptotic process protein kinase B signaling negative regulation of osteoclast differentiation positive regulation of transcription from RNA polymerase II promoter positive regulation of glucose import phosphatidylinositol phosphorylation insulin-like growth factor receptor signaling pathway positive regulation of smooth muscle cell proliferation protein stabilization positive regulation of filopodium assembly regulation of stress fiber assembly negative regulation of stress fiber assembly growth hormone receptor signaling pathway T follicular helper cell differentiation myeloid leukocyte migration positive regulation of focal adhesion disassembly positive regulation of endoplasmic reticulum unfolded protein response regulation of protein localization to plasma membrane positive regulation of protein localization to plasma membrane
          It has to be done as per old AB suggested Products section.

          Disclaimer

          Close

          Clicking the images or links will redirect you to a website hosted by BenchSci that provides third-party scientific content. Neither the content nor the BenchSci technology and processes for selection have been evaluated by us; we are providing them as-is and without warranty of any kind, including for use or application of the Thermo Fisher Scientific products presented.

          guarantee_icon

          性能保障

          只要您发现Invitrogen抗体在实验中的表现与网站或说明书的所述内容不符,您即可享受免费退换货服务。*

          了解更多
          help_icon

          随时为您服务

          获取常见问题的专家解答,或者直接联系我们的技术专家,咨询应用、设备、常规产品使用问题。

          联系技术支持
          订购 Plus Icon Minus Icon
          • 订单状态查询
          • 订单支持
          • 货号直购
          • 现货供应中心
          • 电子采购
          支持 Plus Icon Minus Icon
          • 帮助&支持
          • 联系我们 - 400 820 8982
          • 技术支持中心
          • 查找文件&证书
          • 报告网站问题
          资源 Plus Icon Minus Icon
          • 学习中心
          • 促销
          • 活动&研讨会
          • 社交媒体
          关于赛默飞 Plus Icon Minus Icon
          • 关于我们
          • 招聘 招聘
          • 投资者关系 投资者关系
          • 新闻 新闻
          • 社会责任 社会责任
          • 商标
          • 政策和通知
          品牌 Plus Icon Minus Icon
          • Thermo Scientific
          • Applied Biosystems
          • Invitrogen
          • Gibco
          • Ion Torrent
          • Unity Lab Services
          • Patheon
          • PPD
          • 服务条款
          • 隐私政策
          • 定价和运输保险政策
          © 2006-2026 Thermo Fisher Scientific Inc. All rights reserved. All trademarks are the property of Thermo Fisher Scientific and its subsidiaries unless otherwise specified.
          China flag icon
          China
          本网站销售的所有产品均不得用于人类或动物之临床诊断或治疗,仅可用于工业或者科研等非医疗目的。
             电子营业执照 | 经营证照公示 | ICP备案号:沪ICP备11003924号 | 沪公网安备 31011502006935号

          Your items have has been added!


          Host server : magellan-search-green-6479c7f679-sz4vp:80/100.66.76.236:80.
          git-commit: b70c0dceb888abc3b0dcebb5bc3a5b8753e7e816
          git-url: https://github.com/thermofisher/magellan-search
          git-branch: release/2.50.0-Offline