Hamburger Menu Button
Thermo Fisher Scientific Logo
登录
没有账号?建立账号 注册
  • 产品
    • 抗体
    • 引物合成
    • GeneArt Gene Synthesis Instant Designer
    • TaqMan Assay and Array Search
    • PCR 设备和耗材
    • 色谱柱和纯化柱
    • 实验室离心机
    • 分子生物学试剂和试剂盒
    • 实验室塑料耗材及用品
    • 查看所有产品分类
  • 应用和技术
    • 色谱
    • 细胞转染和培养
    • 实时荧光定量PCR
    • 质谱
    • 实验室塑料耗材及用品
    • 电子显微镜
    • 蛋白质生物学
    • PCR
    • RNAi
    • 环境
    • 查看所有应用和技术
  • 服务
    • 定制服务
    • 企业级实验室信息化服务
    • 金融&租赁服务
    • 仪器服务
    • OEM和商业供应
    • 培训服务
    • 360° CDMO 和 CRO 服务
    • CDMO 服务
    • 临床试验 CRO 服务
    • Unity Lab Services
    • 查看所有帮助和支持
  • 帮助和支持
    • 学习中心
    • 联系我们
    • 更改国家或地区
    • 查看所有帮助和支持
  • 热门产品
    • TaqMan Real-Time PCR Assays
      TaqMan 实时荧光定量 PCR 试剂盒
    • Antibodies
      抗体
    • Oligos, Primers & Probes
      寡核苷酸、引物、探针
    • GeneArt Gene Synthesis
      GeneArt 基因合成
    • Cell Culture Plastics
      细胞培养耗材
  • Who We Serve
    • 抗体治疗解决方案
    • 细胞与基因治疗解决方案
    • 学术科研
    • 工业与应用
  • 联系我们
  • 货号直购
  • 订单查询
  • 查找文件&证书
Thermo Fisher Scientific Logo

Search

搜索全部或下列指定分类
Search button
          • 联系我们
          • 货号直购
          • 登录
            登录
            没有账号?建立账号 注册
            • 我的账号
            • 订单
            • 会员中心
            • 账单及发票查询
            • 定制产品及项目
          • Primary Antibodies ›
          • PP2A alpha/beta Antibodies

          Invitrogen

          PP2A alpha/beta Polyclonal Antibody

          查看其他10个PP2A alpha/beta抗体

          {{$productOrderCtrl.translations['antibody.pdp.commerceCard.promotion.promotions']}}

          {{$productOrderCtrl.translations['antibody.pdp.commerceCard.promotion.viewpromo']}}

          {{$productOrderCtrl.translations['antibody.pdp.commerceCard.promotion.promocode']}}: {{promo.promoCode}} {{promo.promoTitle}} {{promo.promoDescription}}. {{$productOrderCtrl.translations['antibody.pdp.commerceCard.promotion.learnmore']}}

          说明书
          证书
          实验方案
          问题与答案
          技术支持
          说明书
          证书
          实验方案
          问题与答案
          技术支持
          说明书
          证书
          实验方案
          问题与答案
          技术支持

          Cite PP2A alpha/beta Polyclonal Antibody

          Additional Information:
          {{banner.description}}
          {{$ctrl.isSkuNotesCollapsed ? 'View more' : 'View less'}}
          • 抗体检测数据 (6)
          PP2A alpha/beta Antibody in Immunocytochemistry (ICC/IF)
          Group 53 Created with Sketch.
          PP2A alpha/beta Antibody in Immunocytochemistry (ICC/IF)
          Group 53 Created with Sketch.

          图: 1 / 6

          {{ $ctrl.currentElement.advancedVerification.fullName }}
          {{ $ctrl.currentElement.advancedVerification.text }}

          PP2A alpha/beta Antibody (PA5-17980) in ICC/IF

          Immunofluorescence analysis of PP2A alpha/beta was performed using 70% confluent log phase PC-3 cells. The cells were fixed with 4% paraformaldehyde for 10 minutes, permeabilized with 0.1% Triton™ X-100 for 15 minutes, and blocked with 1% BSA for 1 hour at room temperature. The cells were labeled with PP2A alpha/beta Polyclonal Antibody (Product # PA5-17980) at 5 µg/mL in 0.1% BSA, incubated at 4 degree Cel... View More {{ $ctrl.currentElement.advancedVerification.fullName }} 验证信息 View more
          已发表图片由___提供 benchsci-logo
          PMID: {{$ctrl.currentElement.benchSciPubmedId}}
          查看产品

          {{$ctrl.videoDesc}}

          {{$ctrl.videoLongDesc}}

          PP2A alpha/beta Antibody in Immunocytochemistry (ICC/IF)
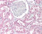
          PP2A alpha/beta Antibody in Immunohistochemistry (Paraffin) (IHC (P))
          PP2A alpha/beta Antibody in Immunohistochemistry (Paraffin) (IHC (P))
          PP2A alpha/beta Antibody in Western Blot (WB)
          PP2A alpha/beta Antibody in Western Blot (WB)
          PP2A alpha/beta Antibody in Western Blot (WB)
          PP2A alpha/beta Polyclonal Antibody

          产品信息

          PA5-17980

          应用
          建议稀释比
          已发表文章

          免疫印迹 (WB)

          1-3 µg/mL
          -

          免疫组化(石蜡) (IHC (P))

          10 µg/mL
          -

          免疫细胞化学 (ICC/IF)

          5 µg/mL
          -
          产品规格

          种属反应

          Human, Mouse, Pig, Rat

          宿主/亚型

          Goat / IgG

          分类

          Polyclonal

          类型

          Antibody

          抗原

          Synthetic peptide sequence (EPHVTRRTPDYFL) corresponding to the C-terminus amino acids of PPP2CA / PPP2CB
          3D表位/免疫原

          偶联物

          Unconjugated Unconjugated Unconjugated

          形式

          Liquid

          浓度

          0.5 mg/mL

          规格

          100 µg

          纯化类型

          Ammonium sulfate precipitation

          保存液

          TBS, pH 7.3, with 0.5% BSA

          内含物

          0.02% sodium azide

          保存条件

          -20°C, Avoid Freeze/Thaw Cycles

          运输条件

          Ambient (domestic); Wet ice (international)

          RRID

          AB_10986614

          产品详细信息

          This antibody is predicted to react with bovine, canine, mouse, porcine, rabbit and rat based on sequence homology.

          This antibody is tested in Peptide ELISA: antibody detection limit dilution 128,000.

          靶标信息

          This gene encodes the phosphatase 2A catalytic subunit. Protein phosphatase 2A is one of the four major Ser/Thr phosphatases, and it is implicated in the negative control of cell growth and division. It consists of a common heteromeric core enzyme, which is composed of a catalytic subunit and a constant regulatory subunit, that associates with a variety of regulatory subunits. This gene encodes an alpha isoform of the catalytic subunit.

          仅用于科研。不用于诊断过程。未经明确授权不得转售。

          篇参考文献 (0)

          您是否在文献中引用过该产品?请点击下方按钮邮件告知我们。
          引用该产品

          生物信息学

          蛋白别名: phosphatase 2A; PP2A-alpha; PP2A-beta; PPP2CA; PPP2CB; protein phosphatase 2 (formerly 2A), catalytic subunit, alpha isoform; protein phosphatase 2 (formerly 2A), catalytic subunit, beta isoform; protein phosphatase 2, catalytic subunit, alpha isoform; protein phosphatase 2, catalytic subunit, alpha isozyme; protein phosphatase 2, catalytic subunit, beta isoform; protein phosphatase 2, catalytic subunit, beta isozyme; protein phosphatase 2,catalytic subunit alpha isozyme; protein phosphatase 2A alpha subunit; protein phosphatase 2A beta subunit; protein phosphatase 2A catalytic alpha subunit; protein phosphatase 2A catalytic subunit alpha isoform; protein phosphatase 2A catalytic subunit beta isoform; protein phosphatase 2a, catalytic subunit, alpha isoform; protein phosphatase 2a, catalytic subunit, beta isoform; protein phosphatase type 2A catalytic subunit; protein phosphatase-2A-alpha; protein phosphatase-2A-beta; Replication protein C; RP C; RP-C; Serine/threonine-protein phosphatase 2A catalytic subunit alpha isoform; Serine/threonine-protein phosphatase 2A catalytic subunit beta isoform; testicular tissue protein Li 146; unnamed protein product

          查看更多 收起

          基因别名: AI115466; D8Ertd766e; HJS3; NEDLBA; PP2A; Pp2a1; Pp2a2; PP2Abeta; PP2Ac; PP2CA; PP2Calpha; PP2CB; PPP2CA; PPP2CB; R75353; RP-C

          查看更多 收起

          UniProt ID: (Pig) P67776, (Human) P67775, (Human) P62714, (Mouse) P63330, (Rat) P63331, (Rat) P62716, (Mouse) P62715

          查看更多 收起

          Entrez Gene ID: (Pig) 397656, (Human) 5515, (Human) 5516, (Pig) 397136, (Mouse) 19052, (Rat) 24672, (Rat) 24673, (Mouse) 19053

          查看更多 收起

          功能
          protein serine/threonine phosphatase activity protein C-terminus binding metal ion binding protein heterodimerization activity GABA receptor binding phosphoprotein phosphatase activity protein tyrosine phosphatase activity protein binding hydrolase activity tau protein binding RNA polymerase II CTD heptapeptide repeat S2 phosphatase activity RNA polymerase II CTD heptapeptide repeat S5 phosphatase activity RNA polymerase II CTD heptapeptide repeat S7 phosphatase activity ion channel binding enzyme binding protein kinase binding protein phosphatase binding protein domain specific binding protein complex binding protein kinase B binding protein dimerization activity protein phosphatase 2A binding protein antigen binding protein phosphatase
          参与通路
          mesoderm development negative regulation of epithelial to mesenchymal transition peptidyl-threonine dephosphorylation meiotic cell cycle positive regulation of protein serine/threonine kinase activity mitotic cell cycle regulation of transcription from RNA polymerase II promoter transcription from RNA polymerase II promoter transcription elongation from RNA polymerase II promoter protein dephosphorylation response to lead ion regulation of microtubule polymerization negative regulation of hippo signaling intracellular signal transduction regulation of growth T cell homeostasis regulation of cell differentiation negative regulation of protein kinase B signaling negative regulation of canonical Wnt signaling pathway vascular endothelial cell response to oscillatory fluid shear stress RNA polymerase II transcription initiation surveillance positive regulation of NLRP3 inflammasome complex assembly negative regulation of glycolytic process through fructose-6-phosphate regulation of G1/S transition of mitotic cell cycle apoptotic mitochondrial changes regulation of gene expression negative regulation of gene expression negative regulation of tumor necrosis factor-mediated signaling pathway response to endoplasmic reticulum stress response to hydrogen peroxide negative regulation of I-kappaB kinase/NF-kappaB signaling proteasome-mediated ubiquitin-dependent protein catabolic process negative regulation of Ras protein signal transduction response to antibiotic regulation of neurofibrillary tangle assembly negative regulation of transcription from RNA polymerase II promoter regulation of protein phosphorylation negative regulation of protein phosphorylation regulation of receptor activity regulation of protein autophosphorylation positive regulation of protein phosphatase type 2A activity positive regulation of protein dephosphorylation regulation of protein catabolic process negative regulation of transcription factor import into nucleus positive regulation of apoptotic process positive regulation of cysteine-type endopeptidase activity involved in apoptotic process regulation of cell cycle protein heterotrimerization cellular response to glucose stimulus negative regulation of calcium ion transmembrane transporter activity cardiac ventricle development heart development cellular response to insulin stimulus cellular response to calcium ion cellular response to cytokine stimulus cellular response to ethanol cellular response to follicle-stimulating hormone stimulus cellular response to steroid hormone stimulus
          It has to be done as per old AB suggested Products section.

          Disclaimer

          Close

          Clicking the images or links will redirect you to a website hosted by BenchSci that provides third-party scientific content. Neither the content nor the BenchSci technology and processes for selection have been evaluated by us; we are providing them as-is and without warranty of any kind, including for use or application of the Thermo Fisher Scientific products presented.

          guarantee_icon

          性能保障

          只要您发现Invitrogen抗体在实验中的表现与网站或说明书的所述内容不符,您即可享受免费退换货服务。*

          了解更多
          help_icon

          随时为您服务

          获取常见问题的专家解答,或者直接联系我们的技术专家,咨询应用、设备、常规产品使用问题。

          联系技术支持
          订购 Plus Icon Minus Icon
          • 订单状态查询
          • 订单支持
          • 货号直购
          • 现货供应中心
          • 电子采购
          支持 Plus Icon Minus Icon
          • 帮助&支持
          • 联系我们 - 400 820 8982
          • 技术支持中心
          • 查找文件&证书
          • 报告网站问题
          资源 Plus Icon Minus Icon
          • 学习中心
          • 促销
          • 活动&研讨会
          • 社交媒体
          关于赛默飞 Plus Icon Minus Icon
          • 关于我们
          • 招聘 招聘
          • 投资者关系 投资者关系
          • 新闻 新闻
          • 社会责任 社会责任
          • 商标
          • 政策和通知
          品牌 Plus Icon Minus Icon
          • Thermo Scientific
          • Applied Biosystems
          • Invitrogen
          • Gibco
          • Ion Torrent
          • Unity Lab Services
          • Patheon
          • PPD
          • 服务条款
          • 隐私政策
          • 定价和运输保险政策
          © 2006-2026 Thermo Fisher Scientific Inc. All rights reserved. All trademarks are the property of Thermo Fisher Scientific and its subsidiaries unless otherwise specified.
          China flag icon
          China
          本网站销售的所有产品均不得用于人类或动物之临床诊断或治疗,仅可用于工业或者科研等非医疗目的。
             电子营业执照 | 经营证照公示 | ICP备案号:沪ICP备11003924号 | 沪公网安备 31011502006935号

          Your items have has been added!


          Host server : magellan-search-green-6479c7f679-sz4vp:80/100.66.76.236:80.
          git-commit: b70c0dceb888abc3b0dcebb5bc3a5b8753e7e816
          git-url: https://github.com/thermofisher/magellan-search
          git-branch: release/2.50.0-Offline