Hamburger Menu Button
Thermo Fisher Scientific Logo
登录
没有账号?建立账号 注册
  • 产品
    • 抗体
    • 引物合成
    • GeneArt Gene Synthesis Instant Designer
    • TaqMan Assay and Array Search
    • PCR 设备和耗材
    • 色谱柱和纯化柱
    • 实验室离心机
    • 分子生物学试剂和试剂盒
    • 实验室塑料耗材及用品
    • 查看所有产品分类
  • 应用和技术
    • 色谱
    • 细胞转染和培养
    • 实时荧光定量PCR
    • 质谱
    • 实验室塑料耗材及用品
    • 电子显微镜
    • 蛋白质生物学
    • PCR
    • RNAi
    • 环境
    • 查看所有应用和技术
  • 服务
    • 定制服务
    • 企业级实验室信息化服务
    • 金融&租赁服务
    • 仪器服务
    • OEM和商业供应
    • 培训服务
    • 360° CDMO 和 CRO 服务
    • CDMO 服务
    • 临床试验 CRO 服务
    • Unity Lab Services
    • 查看所有帮助和支持
  • 帮助和支持
    • 学习中心
    • 联系我们
    • 更改国家或地区
    • 查看所有帮助和支持
  • 热门产品
    • TaqMan Real-Time PCR Assays
      TaqMan 实时荧光定量 PCR 试剂盒
    • Antibodies
      抗体
    • Oligos, Primers & Probes
      寡核苷酸、引物、探针
    • GeneArt Gene Synthesis
      GeneArt 基因合成
    • Cell Culture Plastics
      细胞培养耗材
  • Who We Serve
    • 抗体治疗解决方案
    • 细胞与基因治疗解决方案
    • 学术科研
    • 工业与应用
  • 联系我们
  • 货号直购
  • 订单查询
  • 查找文件&证书
Thermo Fisher Scientific Logo

Search

搜索全部或下列指定分类
Search button
          • 联系我们
          • 货号直购
          • 登录
            登录
            没有账号?建立账号 注册
            • 我的账号
            • 订单
            • 账单及发票查询
            • 定制产品及项目
          • Primary Antibodies ›
          • PTPRS Antibodies

          Proteintech

          PTPRS Polyclonal Antibody

          7 篇参考文献
          查看其他6个PTPRS抗体

          {{$productOrderCtrl.translations['antibody.pdp.commerceCard.promotion.promotions']}}

          {{$productOrderCtrl.translations['antibody.pdp.commerceCard.promotion.viewpromo']}}

          {{$productOrderCtrl.translations['antibody.pdp.commerceCard.promotion.promocode']}}: {{promo.promoCode}} {{promo.promoTitle}} {{promo.promoDescription}}. {{$productOrderCtrl.translations['antibody.pdp.commerceCard.promotion.learnmore']}}

          说明书
          证书
          实验方案
          问题与答案
          技术支持
          说明书
          证书
          实验方案
          问题与答案
          技术支持
          说明书
          证书
          实验方案
          问题与答案
          技术支持

          Cite PTPRS Polyclonal Antibody

          Additional Information:
          {{banner.description}}
          {{$ctrl.isSkuNotesCollapsed ? 'View more' : 'View less'}}
          • 抗体检测数据 (7)
          PTPRS Antibody in Immunohistochemistry (Paraffin) (IHC (P))
          Group 53 Created with Sketch.
          PTPRS Antibody in Immunohistochemistry (Paraffin) (IHC (P))
          Group 53 Created with Sketch.

          图: 1 / 7

          {{ $ctrl.currentElement.advancedVerification.fullName }}
          {{ $ctrl.currentElement.advancedVerification.text }}

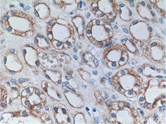
          PTPRS Antibody (13008-1-AP) in IHC (P)

          Immunohistochemistry of paraffin-embedded human kidney tissue slide using 13008-1-AP (PTPRS antibody) at dilution of 1:200 (under 40x lens). {{ $ctrl.currentElement.advancedVerification.fullName }} 验证信息 View more
          已发表图片由___提供 benchsci-logo
          PMID: {{$ctrl.currentElement.benchSciPubmedId}}
          查看产品

          {{$ctrl.videoDesc}}

          {{$ctrl.videoLongDesc}}

          PTPRS Antibody in Immunohistochemistry (Paraffin) (IHC (P))
          PTPRS Antibody in Immunohistochemistry (Paraffin) (IHC (P))
          PTPRS Antibody in Western Blot (WB)
          PTPRS Antibody in Western Blot (WB)
          PTPRS Antibody in Western Blot (WB)
          PTPRS Antibody in Western Blot (WB)
          PTPRS Antibody in Immunoprecipitation (IP)
          PTPRS Polyclonal Antibody

          产品信息

          13008-1-AP

          应用
          建议稀释比
          已发表文章

          免疫印迹 (WB)

          1:500-1:1,000
          查看5篇已发表文章 5篇已发表文章

          免疫组化 (IHC)

          -
          查看1篇已发表文章 1篇已发表文章

          免疫组化(石蜡) (IHC (P))

          1:50-1:500
          -

          免疫细胞化学 (ICC/IF)

          -
          查看1篇已发表文章 1篇已发表文章

          免疫沉淀 (IP)

          0.5-4.0 µg
          -
          产品规格

          种属反应

          Human, Mouse, Rat

          已发表种属

          Mouse, Rat

          宿主/亚型

          Rabbit / IgG

          分类

          Polyclonal

          类型

          Antibody

          抗原

          PTPRS Fusion Protein Ag3691 (25-128 aa encoded by BC029496)
          3D表位/免疫原

          偶联物

          Unconjugated Unconjugated Unconjugated

          形式

          Liquid

          浓度

          0.6 mg/mL

          规格

          90 µg

          纯化类型

          Antigen affinity chromatography

          保存液

          PBS, pH 7.3, with 50% glycerol

          内含物

          0.02% sodium azide

          保存条件

          -20°C

          运输条件

          Wet ice (domestic); Dry ice (international)

          产品详细信息

          Immunogen sequence: GGCAAEEPP RFIKEPKDQI GVSGGVASFV CQATGDPKPR VTWNKKGKKV NSQRFETIEF DESAGAVLRI QPLRTPRDEN VYECVAQNSV GEITVHAKLT VLRGP (25-128 aa encoded by B C029496)

          靶标信息

          PTPRS cell surface receptor that binds to glycosaminoglycans, including chondroitin sulfate proteoglycans and heparan sulfate proteoglycan. Binding to chondroitin sulfate and heparan sulfate proteoglycans has opposite effects on PTPRS oligomerization and regulation of neurite outgrowth. Contributes to the inhibition of neurite and axonal outgrowth by chondroitin sulfate proteoglycans, also after nerve transection. Plays a role in stimulating neurite outgrowth in response to the heparan sulfate proteoglycan GPC2. Required for normal brain development, especially for normal development of the pituitary gland and the olfactory bulb. Functions as tyrosine phosphatase. Mediates dephosphorylation of NTRK1, NTRK2 and NTRK3. Plays a role in down-regulation of signaling cascades that lead to the activation of Akt and MAP kinases. Down-regulates TLR9-mediated activation of NF-kappa-B, as well as production of TNF, interferon alpha and interferon beta.

          仅用于科研。不用于诊断过程。未经明确授权不得转售。

          生物信息学

          蛋白别名: LAR-PTP2; Leukocyte common antigen-related protein-tyrosine phosphatase 2; leukocyte common antigen-related proten-tyrosine phosphatase 2; protein tyrosine phosphatase PTPsigma; protein tyrosine phosphatase, receptor type, D; PTPNU-3; R-PTP-S; R-PTP-sigma; Receptor-type tyrosine-protein phosphatase S; Receptor-type tyrosine-protein phosphatase sigma; tissue-specific protein tyrosine phosphatase

          查看更多 收起

          基因别名: AL022616; Larptp2; PTP; PTP-NU3; PTP-sigma; PTPNU-3; Ptprd; PTPRS; PTPSIGMA; Ptpsigma.; Ptpt9; R-PTP-S; R-PTP-sigma; Rptpd; RPTPsigma

          查看更多 收起

          UniProt ID: (Human) Q13332, (Mouse) B0V2N1, (Rat) Q64605

          查看更多 收起

          Entrez Gene ID: (Human) 5802, (Mouse) 19280, (Rat) 25529

          查看更多 收起

          功能
          phosphoprotein phosphatase activity protein tyrosine phosphatase activity protein binding heparin binding hydrolase activity chondroitin sulfate binding heparan sulfate proteoglycan binding phosphatase activity protein phosphatase protein modifying enzyme
          参与通路
          protein dephosphorylation cell adhesion signal transduction negative regulation of neuron projection development spinal cord development cerebellum development hippocampus development cerebral cortex development corpus callosum development negative regulation of axon extension negative regulation of interferon-alpha production negative regulation of interferon-beta production negative regulation of toll-like receptor 9 signaling pathway peptidyl-tyrosine dephosphorylation negative regulation of collateral sprouting negative regulation of axon regeneration modulation of synaptic transmission synapse organization negative regulation of dendritic spine development establishment of endothelial intestinal barrier regulation of postsynaptic density assembly trans-synaptic signaling synaptic membrane adhesion dephosphorylation
          It has to be done as per old AB suggested Products section.

          Disclaimer

          Close

          Clicking the images or links will redirect you to a website hosted by BenchSci that provides third-party scientific content. Neither the content nor the BenchSci technology and processes for selection have been evaluated by us; we are providing them as-is and without warranty of any kind, including for use or application of the Thermo Fisher Scientific products presented.

          guarantee_icon

          性能保障

          只要您发现Invitrogen抗体在实验中的表现与网站或说明书的所述内容不符,您即可享受免费退换货服务。*

          了解更多
          help_icon

          随时为您服务

          获取常见问题的专家解答,或者直接联系我们的技术专家,咨询应用、设备、常规产品使用问题。

          联系技术支持
          订购 Plus Icon Minus Icon
          • 订单状态查询
          • 订单支持
          • 货号直购
          • 现货供应中心
          • 电子采购
          支持 Plus Icon Minus Icon
          • 帮助&支持
          • 联系我们 - 400 820 8982
          • 技术支持中心
          • 查找文件&证书
          • 报告网站问题
          资源 Plus Icon Minus Icon
          • 学习中心
          • 促销
          • 活动&研讨会
          • 社交媒体
          关于赛默飞 Plus Icon Minus Icon
          • 关于我们
          • 招聘 招聘
          • 投资者关系 投资者关系
          • 新闻 新闻
          • 社会责任 社会责任
          • 商标
          • 政策和通知
          品牌 Plus Icon Minus Icon
          • Thermo Scientific
          • Applied Biosystems
          • Invitrogen
          • Gibco
          • Ion Torrent
          • Unity Lab Services
          • Patheon
          • PPD
          • 服务条款
          • 隐私政策
          • 定价和运输保险政策
          © 2006-2026 Thermo Fisher Scientific Inc. All rights reserved. All trademarks are the property of Thermo Fisher Scientific and its subsidiaries unless otherwise specified.
          China flag icon
          China
          本网站销售的所有产品均不得用于人类或动物之临床诊断或治疗,仅可用于工业或者科研等非医疗目的。
             电子营业执照 | 经营证照公示 | ICP备案号:沪ICP备11003924号 | 沪公网安备 31011502006935号

          Your items have has been added!


          Host server : magellan-search-green-6b469b8bb7-p58g2:80/100.66.72.198:80.
          git-commit: a334af76dff23450325448aedefe62379591458a
          git-url: https://github.com/thermofisher/magellan-search
          git-branch: release/2.48.1-2026.04.16-1.0