Hamburger Menu Button
Thermo Fisher Scientific Logo
登录
没有账号?建立账号 注册
  • 产品
    • 抗体
    • 引物合成
    • GeneArt Gene Synthesis Instant Designer
    • TaqMan Assay and Array Search
    • PCR 设备和耗材
    • 色谱柱和纯化柱
    • 实验室离心机
    • 分子生物学试剂和试剂盒
    • 实验室塑料耗材及用品
    • 查看所有产品分类
  • 应用和技术
    • 色谱
    • 细胞转染和培养
    • 实时荧光定量PCR
    • 质谱
    • 实验室塑料耗材及用品
    • 电子显微镜
    • 蛋白质生物学
    • PCR
    • RNAi
    • 环境
    • 查看所有应用和技术
  • 服务
    • 定制服务
    • 企业级实验室信息化服务
    • 金融&租赁服务
    • 仪器服务
    • OEM和商业供应
    • 培训服务
    • 360° CDMO 和 CRO 服务
    • CDMO 服务
    • 临床试验 CRO 服务
    • Unity Lab Services
    • 查看所有帮助和支持
  • 帮助和支持
    • 学习中心
    • 联系我们
    • 更改国家或地区
    • 查看所有帮助和支持
  • 热门产品
    • TaqMan Real-Time PCR Assays
      TaqMan 实时荧光定量 PCR 试剂盒
    • Antibodies
      抗体
    • Oligos, Primers & Probes
      寡核苷酸、引物、探针
    • GeneArt Gene Synthesis
      GeneArt 基因合成
    • Cell Culture Plastics
      细胞培养耗材
  • Who We Serve
    • 抗体治疗解决方案
    • 细胞与基因治疗解决方案
    • 学术科研
    • 工业与应用
  • 联系我们
  • 货号直购
  • 订单查询
  • 查找文件&证书
Thermo Fisher Scientific Logo

Search

搜索全部或下列指定分类
Search button
          • 联系我们
          • 货号直购
          • 登录
            登录
            没有账号?建立账号 注册
            • 我的账号
            • 订单
            • 会员中心
            • 账单及发票查询
            • 定制产品及项目
          • Primary Antibodies ›
          • PU.1 Antibodies

          Invitrogen

          PU.1 Polyclonal Antibody

          高级验证
          12个已发表图片
          14 篇参考文献
          查看其他35个PU.1抗体

          {{$productOrderCtrl.translations['antibody.pdp.commerceCard.promotion.promotions']}}

          {{$productOrderCtrl.translations['antibody.pdp.commerceCard.promotion.viewpromo']}}

          {{$productOrderCtrl.translations['antibody.pdp.commerceCard.promotion.promocode']}}: {{promo.promoCode}} {{promo.promoTitle}} {{promo.promoDescription}}. {{$productOrderCtrl.translations['antibody.pdp.commerceCard.promotion.learnmore']}}

          说明书
          证书
          实验方案
          问题与答案
          技术支持
          说明书
          证书
          实验方案
          问题与答案
          技术支持
          说明书
          证书
          实验方案
          问题与答案
          技术支持

          Cite PU.1 Polyclonal Antibody

          Additional Information:
          {{banner.description}}
          {{$ctrl.isSkuNotesCollapsed ? 'View more' : 'View less'}}
          • 抗体检测数据 (3)
          • 已发表图片 (12)
          • 高级验证 (2)
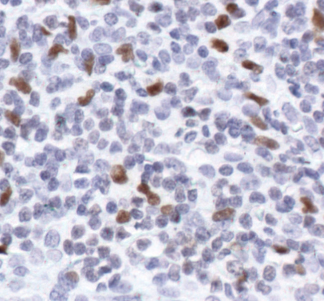
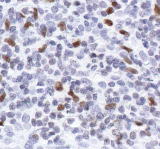
          PU.1 Antibody in Immunohistochemistry (Paraffin) (IHC (P))
          Group 53 Created with Sketch.
          PU.1 Antibody in Immunohistochemistry (Paraffin) (IHC (P))
          Group 53 Created with Sketch.

          图: 1 / 17

          {{ $ctrl.currentElement.advancedVerification.fullName }}
          {{ $ctrl.currentElement.advancedVerification.text }}

          PU.1 Antibody (PA5-17505) in IHC (P)

          Immunohistochemical analysis of PU.1 in paraffin-embedded human tonsil using a PU.1 polyclonal antibody (Product # PA5-17505) showing nuclear localization. {{ $ctrl.currentElement.advancedVerification.fullName }} 验证信息 View more
          已发表图片由___提供 benchsci-logo
          PMID: {{$ctrl.currentElement.benchSciPubmedId}}
          查看产品

          {{$ctrl.videoDesc}}

          {{$ctrl.videoLongDesc}}

          PU.1 Antibody in Immunohistochemistry (Paraffin) (IHC (P))
          PU.1 Antibody in Western Blot (WB)
          PU.1 Antibody in Western Blot (WB)
          PU.1 Antibody in Western Blot (WB)
          PU.1 Antibody in Western Blot (WB)
          PU.1 Antibody in Western Blot, ChIP Assay (WB, ChIP)
          PU.1 Antibody in Western Blot (WB)
          PU.1 Antibody in Western Blot, ChIP Assay (WB, ChIP)
          PU.1 Antibody in Western Blot, ChIP Assay (WB, ChIP)
          PU.1 Antibody in Western Blot, ChIP Assay (WB, ChIP)
          PU.1 Antibody in ChIP Assay (ChIP)
          PU.1 Antibody in ChIP Assay (ChIP)
          PU.1 Antibody in ChIP Assay (ChIP)
          PU.1 Antibody in ChIP Assay (ChIP)
          PU.1 Antibody in ChIP Assay (ChIP)
          PU.1 Antibody
          PU.1 Antibody
          PU.1 Polyclonal Antibody

          产品信息

          PA5-17505

          应用
          建议稀释比
          已发表文章

          免疫印迹 (WB)

          1:1,000
          查看5篇已发表文章 5篇已发表文章

          免疫组化 (IHC)

          -
          查看1篇已发表文章 1篇已发表文章

          免疫组化(石蜡) (IHC (P))

          1:400
          -

          免疫细胞化学 (ICC/IF)

          1:100
          查看1篇已发表文章 1篇已发表文章

          流式细胞分析 (Flow)

          1:50
          -

          免疫沉淀 (IP)

          1:100
          查看1篇已发表文章 1篇已发表文章

          染色质免疫沉淀 实验 (ChIP)

          1:25
          查看6篇已发表文章 6篇已发表文章
          产品规格

          种属反应

          Human, Mouse

          已发表种属

          Human, Mouse, Non-human primate, Pig

          宿主/亚型

          Rabbit / IgG

          分类

          Polyclonal

          类型

          Antibody

          抗原

          Synthetic peptide corresponding to amino acids at the amino-terminus of human PU.1
          3D表位/免疫原

          偶联物

          Unconjugated Unconjugated Unconjugated

          形式

          Liquid

          浓度

          20 µg/mL

          规格

          2 µg

          纯化类型

          Antigen affinity chromatography

          保存液

          0.01M HEPES, pH 7.5, with 0.15M NaCl, 100µg/mL BSA, 50% glycerol

          内含物

          no preservative

          保存条件

          -20°C

          运输条件

          Ambient (domestic); Wet ice (international)

          RRID

          AB_10989141

          产品详细信息

          It is not recommended to aliquot this antibody.

          靶标信息

          This gene encodes an ETS-domain transcription factor that activates gene expression during myeloid and B-lymphoid cell development. The nuclear protein binds to a purine-rich sequence known as the PU-box found near the promoters of target genes, and regulates their expression in coordination with other transcription factors and cofactors. The protein can also regulate alternative splicing of target genes. Multiple transcript variants encoding different isoforms have been found for this gene.

          仅用于科研。不用于诊断过程。未经明确授权不得转售。

          生物信息学

          蛋白别名: 31 kDa transforming protein; 31 kDa-transforming protein; 31kDa Transforming Protein; hCG_25181; hematopoietic transcription factor PU.1; SFFV proviral integration 1 protein; SPIA; spleen focus forming virus (SFFV) proviral integration oncogene spi1; Transcription factor PU.1; Transcription Factor spi1

          查看更多 收起

          基因别名: AGM10; Dis-1; Dis1; OF; PU.1; Sfpi-1; SFPI1; SPI-1; SPI-A; SPI1; Tcfpu1; Tfpu.1

          查看更多 收起

          UniProt ID: (Human) P17947, (Mouse) P17433

          查看更多 收起

          Entrez Gene ID: (Human) 6688, (Mouse) 20375

          查看更多 收起

          功能
          transcription regulatory region sequence-specific DNA binding RNA polymerase II core promoter proximal region sequence-specific DNA binding RNA polymerase II transcription factor activity, sequence-specific DNA binding core promoter proximal region sequence-specific DNA binding bacterial-type RNA polymerase transcriptional activator activity, sequence-specific DNA binding bacterial-type RNA polymerase transcriptional repressor activity, sequence-specific DNA binding transcriptional repressor activity, RNA polymerase II transcription regulatory region sequence-specific binding transcriptional activator activity, RNA polymerase II transcription regulatory region sequence-specific binding DNA binding chromatin binding transcription factor activity, sequence-specific DNA binding RNA binding protein binding histone deacetylase binding sequence-specific DNA binding NFAT protein binding RNA polymerase II sequence-specific DNA binding transcription factor binding STAT family protein binding DNA-binding transcription factor binding protein sequestering activity RNA polymerase II core promoter sequence-specific DNA binding RNA polymerase II distal enhancer sequence-specific DNA binding transcription factor activity, RNA polymerase II core promoter proximal region sequence-specific binding core promoter binding transcriptional activator activity, RNA polymerase II core promoter proximal region sequence-specific binding transcriptional repressor activity, RNA polymerase II core promoter proximal region sequence-specific binding RNA polymerase II transcription factor binding transcriptional activator activity, RNA polymerase II distal enhancer sequence-specific binding transcription factor activity, RNA polymerase II distal enhancer sequence-specific binding winged helix/forkhead transcription factor
          参与通路
          negative regulation of transcription from RNA polymerase II promoter vasculature development germinal center B cell differentiation follicular B cell differentiation lymphoid progenitor cell differentiation immature B cell differentiation defense response to tumor cell pro-T cell differentiation myeloid leukocyte differentiation regulation of transcription, DNA-templated regulation of transcription from RNA polymerase II promoter transforming growth factor beta receptor signaling pathway positive regulation of gene expression negative regulation of gene expression lymphocyte differentiation cell differentiation erythrocyte differentiation macrophage differentiation osteoclast differentiation granulocyte differentiation lipopolysaccharide-mediated signaling pathway somatic stem cell population maintenance TRAIL-activated apoptotic signaling pathway myeloid dendritic cell differentiation negative regulation of I-kappaB kinase/NF-kappaB signaling negative regulation of neutrophil degranulation negative regulation of MHC class II biosynthetic process response to ethanol positive regulation of B cell differentiation regulation of erythrocyte differentiation positive regulation of gene expression, epigenetic negative regulation of transcription, DNA-templated positive regulation of transcription, DNA-templated positive regulation of transcription from RNA polymerase II promoter anatomical structure regression interleukin-6-mediated signaling pathway cellular response to ethanol oncogene-induced cell senescence endothelial to hematopoietic transition negative regulation of protein localization to chromatin positive regulation of p38MAPK cascade negative regulation of NIK/NF-kappaB signaling apoptotic process involved in patterning of blood vessels positive regulation of pri-miRNA transcription from RNA polymerase II promoter positive regulation of microglial cell mediated cytotoxicity negative regulation of adipose tissue development pericyte cell differentiation positive regulation of antifungal innate immune response regulation of myeloid progenitor cell differentiation positive regulation of myeloid dendritic cell chemotaxis transcription, DNA-templated transcription from RNA polymerase II promoter histone H3 acetylation hypermethylation of CpG island negative regulation of gene expression, epigenetic negative regulation of histone H4 acetylation
          It has to be done as per old AB suggested Products section.

          Disclaimer

          Close

          Clicking the images or links will redirect you to a website hosted by BenchSci that provides third-party scientific content. Neither the content nor the BenchSci technology and processes for selection have been evaluated by us; we are providing them as-is and without warranty of any kind, including for use or application of the Thermo Fisher Scientific products presented.

          guarantee_icon

          性能保障

          只要您发现Invitrogen抗体在实验中的表现与网站或说明书的所述内容不符,您即可享受免费退换货服务。*

          了解更多
          help_icon

          随时为您服务

          获取常见问题的专家解答,或者直接联系我们的技术专家,咨询应用、设备、常规产品使用问题。

          联系技术支持
          订购 Plus Icon Minus Icon
          • 订单状态查询
          • 订单支持
          • 货号直购
          • 现货供应中心
          • 电子采购
          支持 Plus Icon Minus Icon
          • 帮助&支持
          • 联系我们 - 400 820 8982
          • 技术支持中心
          • 查找文件&证书
          • 报告网站问题
          资源 Plus Icon Minus Icon
          • 学习中心
          • 促销
          • 活动&研讨会
          • 社交媒体
          关于赛默飞 Plus Icon Minus Icon
          • 关于我们
          • 招聘 招聘
          • 投资者关系 投资者关系
          • 新闻 新闻
          • 社会责任 社会责任
          • 商标
          • 政策和通知
          品牌 Plus Icon Minus Icon
          • Thermo Scientific
          • Applied Biosystems
          • Invitrogen
          • Gibco
          • Ion Torrent
          • Unity Lab Services
          • Patheon
          • PPD
          • 服务条款
          • 隐私政策
          • 定价和运输保险政策
          © 2006-2026 Thermo Fisher Scientific Inc. All rights reserved. All trademarks are the property of Thermo Fisher Scientific and its subsidiaries unless otherwise specified.
          China flag icon
          China
          本网站销售的所有产品均不得用于人类或动物之临床诊断或治疗,仅可用于工业或者科研等非医疗目的。
             电子营业执照 | 经营证照公示 | ICP备案号:沪ICP备11003924号 | 沪公网安备 31011502006935号

          Your items have has been added!


          Host server : magellan-search-green-6479c7f679-zb4k5:80/100.66.74.142:80.
          git-commit: b70c0dceb888abc3b0dcebb5bc3a5b8753e7e816
          git-url: https://github.com/thermofisher/magellan-search
          git-branch: release/2.50.0-Offline