Hamburger Menu Button
Thermo Fisher Scientific Logo
登录
没有账号?建立账号 注册
  • 产品
    • 抗体
    • 引物合成
    • GeneArt Gene Synthesis Instant Designer
    • TaqMan Assay and Array Search
    • PCR 设备和耗材
    • 色谱柱和纯化柱
    • 实验室离心机
    • 分子生物学试剂和试剂盒
    • 实验室塑料耗材及用品
    • 查看所有产品分类
  • 应用和技术
    • 色谱
    • 细胞转染和培养
    • 实时荧光定量PCR
    • 质谱
    • 实验室塑料耗材及用品
    • 电子显微镜
    • 蛋白质生物学
    • PCR
    • RNAi
    • 环境
    • 查看所有应用和技术
  • 服务
    • 定制服务
    • 企业级实验室信息化服务
    • 金融&租赁服务
    • 仪器服务
    • OEM和商业供应
    • 培训服务
    • 360° CDMO 和 CRO 服务
    • CDMO 服务
    • 临床试验 CRO 服务
    • Unity Lab Services
    • 查看所有帮助和支持
  • 帮助和支持
    • 学习中心
    • 联系我们
    • 更改国家或地区
    • 查看所有帮助和支持
  • 热门产品
    • TaqMan Real-Time PCR Assays
      TaqMan 实时荧光定量 PCR 试剂盒
    • Antibodies
      抗体
    • Oligos, Primers & Probes
      寡核苷酸、引物、探针
    • GeneArt Gene Synthesis
      GeneArt 基因合成
    • Cell Culture Plastics
      细胞培养耗材
  • Who We Serve
    • 抗体治疗解决方案
    • 细胞与基因治疗解决方案
    • 学术科研
    • 工业与应用
  • 联系我们
  • 货号直购
  • 订单查询
  • 查找文件&证书
Thermo Fisher Scientific Logo

Search

搜索全部或下列指定分类
Search button
          • 联系我们
          • 货号直购
          • 登录
            登录
            没有账号?建立账号 注册
            • 我的账号
            • 订单
            • 会员中心
            • 账单及发票查询
            • 定制产品及项目
          • Primary Antibodies ›
          • PYK2 Antibodies

          Invitrogen

          PYK2 Recombinant Rabbit Monoclonal Antibody (SC06-15)

          查看其他34个PYK2抗体

          {{$productOrderCtrl.translations['antibody.pdp.commerceCard.promotion.promotions']}}

          {{$productOrderCtrl.translations['antibody.pdp.commerceCard.promotion.viewpromo']}}

          {{$productOrderCtrl.translations['antibody.pdp.commerceCard.promotion.promocode']}}: {{promo.promoCode}} {{promo.promoTitle}} {{promo.promoDescription}}. {{$productOrderCtrl.translations['antibody.pdp.commerceCard.promotion.learnmore']}}

          说明书
          证书
          实验方案
          问题与答案
          技术支持
          说明书
          证书
          实验方案
          问题与答案
          技术支持
          说明书
          证书
          实验方案
          问题与答案
          技术支持

          Cite PYK2 Recombinant Rabbit Monoclonal Antibody (SC06-15)

          Additional Information:
          {{banner.description}}
          {{$ctrl.isSkuNotesCollapsed ? 'View more' : 'View less'}}
          • 抗体检测数据 (9)
          PYK2 Antibody in Immunocytochemistry (ICC/IF)
          Group 53 Created with Sketch.
          PYK2 Antibody in Immunocytochemistry (ICC/IF)
          Group 53 Created with Sketch.

          图: 1 / 9

          {{ $ctrl.currentElement.advancedVerification.fullName }}
          {{ $ctrl.currentElement.advancedVerification.text }}

          PYK2 Antibody (MA5-42439) in ICC/IF

          Immunocytochemistry-Immunofluorescence analysis of of PYK2 in SH-SY5Y cells (green). Formalin fixed cells were permeabilized with 0.1% Triton X-100 in TBS for 10 minutes at room temperature and blocked with 1% Blocker BSA for 15 minutes at room temperature. Cells were probed with PYK2 Recombinant Monoclonal Antibody (Product # MA5-42439) at a dilution of 1:50 for 1 hour at room temperature, washed with PBS. Alexa Fluor 488 Goat anti-Rabbit IgG was used as the secondary antibody at 1:1,000 dilution. The nuclear counter stain is DAPI (blue). {{ $ctrl.currentElement.advancedVerification.fullName }} 验证信息 View more
          已发表图片由___提供 benchsci-logo
          PMID: {{$ctrl.currentElement.benchSciPubmedId}}
          查看产品

          {{$ctrl.videoDesc}}

          {{$ctrl.videoLongDesc}}

          PYK2 Antibody in Immunocytochemistry (ICC/IF)
          PYK2 Antibody in Immunocytochemistry (ICC/IF)
          PYK2 Antibody in Immunocytochemistry (ICC/IF)
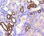
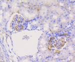
          PYK2 Antibody in Immunohistochemistry (Paraffin) (IHC (P))
          PYK2 Antibody in Immunohistochemistry (Paraffin) (IHC (P))
          PYK2 Antibody in Immunohistochemistry (Paraffin) (IHC (P))
          PYK2 Antibody in Immunohistochemistry (Paraffin) (IHC (P))
          PYK2 Antibody in Immunohistochemistry (Paraffin) (IHC (P))
          PYK2 Antibody in Western Blot (WB)
          PYK2 Recombinant Rabbit Monoclonal Antibody (SC06-15)

          产品信息

          MA5-42439

          应用
          建议稀释比
          已发表文章

          免疫印迹 (WB)

          1:1,000
          -

          免疫组化(石蜡) (IHC (P))

          1:50-1:200
          -

          免疫细胞化学 (ICC/IF)

          1:50-1:200
          -
          产品规格

          种属反应

          Human, Mouse, Rat

          宿主/亚型

          Rabbit / IgG

          Expression System

          HEK293 cells

          分类

          Recombinant Monoclonal

          类型

          Antibody

          克隆号

          SC06-15

          抗原

          Synthetic peptide within N-terminal human PYK2.
          3D表位/免疫原

          偶联物

          Unconjugated Unconjugated Unconjugated

          形式

          Liquid

          浓度

          1 mg/mL

          规格

          100 µg

          纯化类型

          Protein A

          保存液

          TBS, pH 7.4, with 40% glycerol, 0.05% BSA

          内含物

          0.05% sodium azide

          保存条件

          Store at 4°C short term. For long term storage, store at -20°C, avoiding freeze/thaw cycles.

          运输条件

          Ambient (domestic); Wet ice (international)

          RRID

          AB_2911580

          产品详细信息

          Positive Control: Mouse brain tissue lysates, Hela, SHG-44, SH-SY5Y, human tonsil tissue, human spleen tissue, human kidney tissue, mouse brain tissue, mouse kidney tissue.

          Subcellular Location: Cell membrane, Nucleus, Cytoplasm, perinuclear region, focal adhesion, lamellipodium, cell cortex.

          靶标信息

          PTK2B (FAK2) is a cytoplasmic tyrosine kinase involved in calcium-induced regulation of ion channels and activation of the map kinase signaling pathway. PTK2B regulates reorganization of the actin cytoskeleton, cell polarization, cell migration, adhesion, spreading, and bone remodeling. FAK2 plays a role in the regulation of the humoral immune response and is required for normal levels of marginal B-cells in the spleen and normal migration of splenic B-cells. It functions in signaling downstream of integrin and collagen receptors, immune receptors, G-protein coupled receptors, cytokine, chemokine, and growth factor receptors, and mediates responses to cellular stress. Aberrant FAK2 expression may play a role in cancer cell proliferation, migration, and invasion in tumor formation and metastasis. Elevated expression has been seen in gliomas, hepatocellular carcinoma, lung cancer, and breast cancer.

          仅用于科研。不用于诊断过程。未经明确授权不得转售。

          篇参考文献 (0)

          您是否在文献中引用过该产品?请点击下方按钮邮件告知我们。
          引用该产品

          生物信息学

          蛋白别名: CADTK; CAK beta; CAK-beta; Calcium-dependent tyrosine kinase; Calcium-regulated non-receptor proline-rich tyrosine kinase; Cell adhesion kinase beta; cellular adhesion kinase beta; FADK; FADK 2; FAK; FAK1; Focal adhesion kinase 2; FRNK; pp125FAK; Proline-rich tyrosine kinase 2; protein kinase B; protein tyrosine kinase 2 beta; Protein-tyrosine kinase 2-beta; PTK2 protein tyrosine kinase 2 beta; PTK2B protein tyrosine kinase 2 beta; RAFTK; Related adhesion focal tyrosine kinase; unnamed protein product

          查看更多 收起

          基因别名: CADTK; CAKB; CAKbeta; E430023O05Rik; FADK2; FAK2; PKB; PTK; PTK2B; PYK2; RAFTK

          查看更多 收起

          UniProt ID: (Human) Q14289, (Rat) P70600, (Mouse) Q9QVP9

          查看更多 收起

          Entrez Gene ID: (Human) 2185, (Rat) 50646, (Mouse) 19229

          查看更多 收起

          功能
          nucleotide binding protein kinase activity calmodulin-dependent protein kinase activity protein tyrosine kinase activity non-membrane spanning protein tyrosine kinase activity protein binding ATP binding kinase activity transferase activity receptor activator activity ionotropic glutamate receptor binding neurotransmitter receptor regulator activity NMDA glutamate receptor activity receptor binding protein complex binding 3-phosphoinositide-dependent protein kinase binding signal transducer activity transferase activity, transferring phosphorus-containing groups
          参与通路
          MAPK cascade response to reactive oxygen species angiogenesis oocyte maturation response to hypoxia positive regulation of cell-matrix adhesion sprouting angiogenesis marginal zone B cell differentiation protein phosphorylation cellular defense response response to osmotic stress actin filament organization cell adhesion cell surface receptor signaling pathway signal complex assembly epidermal growth factor receptor signaling pathway positive regulation of cytosolic calcium ion concentration integrin-mediated signaling pathway positive regulation of cell proliferation negative regulation of cell proliferation regulation of cell shape response to mechanical stimulus response to hormone response to glucose response to lithium ion response to organonitrogen compound positive regulation of endothelial cell migration negative regulation of muscle cell apoptotic process regulation of cGMP-mediated signaling regulation of macrophage chemotaxis positive regulation of neuron projection development glial cell proliferation peptidyl-tyrosine phosphorylation cell differentiation regulation of cell adhesion negative regulation of ossification positive regulation of cell growth positive regulation of cell migration negative regulation of bone mineralization regulation of cGMP biosynthetic process positive regulation of actin filament polymerization neuron projection development regulation of inositol trisphosphate biosynthetic process tumor necrosis factor-mediated signaling pathway ionotropic glutamate receptor signaling pathway response to immobilization stress peptidyl-tyrosine autophosphorylation response to cocaine response to drug response to hydrogen peroxide activation of Janus kinase activity negative regulation of apoptotic process stress fiber assembly negative regulation of potassium ion transport positive regulation of JUN kinase activity negative regulation of neuron apoptotic process blood vessel endothelial cell migration positive regulation of phosphatidylinositol 3-kinase activity innate immune response regulation of nitric oxide biosynthetic process bone resorption response to ethanol negative regulation of myeloid cell differentiation positive regulation of translation positive regulation of angiogenesis positive regulation of protein kinase activity positive regulation of JNK cascade vascular endothelial growth factor receptor signaling pathway focal adhesion assembly positive regulation of peptidyl-tyrosine phosphorylation regulation of calcium-mediated signaling positive regulation of nitric-oxide synthase activity regulation of release of sequestered calcium ion into cytosol response to cAMP response to calcium ion positive regulation of synaptic transmission, glutamatergic long-term synaptic potentiation chemokine-mediated signaling pathway positive regulation of ERK1 and ERK2 cascade cellular response to retinoic acid cellular response to fluid shear stress activation of GTPase activity regulation of protein ubiquitination involved in ubiquitin-dependent protein catabolic process positive regulation of protein ubiquitination involved in ubiquitin-dependent protein catabolic process regulation of establishment of cell polarity regulation of actin cytoskeleton reorganization regulation of N-methyl-D-aspartate selective glutamate receptor activity positive regulation of reactive oxygen species metabolic process positive regulation of excitatory postsynaptic potential positive regulation of B cell chemotaxis immune system process cytoskeleton organization phosphorylation cell migration neuron migration regulation of cell-matrix adhesion adaptive immune response apoptotic process Golgi organization signal transduction positive regulation of signal transduction cortical cytoskeleton organization regulation of actin cytoskeleton organization protein autophosphorylation regulation of synaptic plasticity regulation of multicellular organismal process positive regulation of protein kinase B signaling protein-containing complex assembly endothelin receptor signaling pathway regulation of postsynaptic density assembly
          It has to be done as per old AB suggested Products section.

          Disclaimer

          Close

          Clicking the images or links will redirect you to a website hosted by BenchSci that provides third-party scientific content. Neither the content nor the BenchSci technology and processes for selection have been evaluated by us; we are providing them as-is and without warranty of any kind, including for use or application of the Thermo Fisher Scientific products presented.

          guarantee_icon

          性能保障

          只要您发现Invitrogen抗体在实验中的表现与网站或说明书的所述内容不符,您即可享受免费退换货服务。*

          了解更多
          help_icon

          随时为您服务

          获取常见问题的专家解答,或者直接联系我们的技术专家,咨询应用、设备、常规产品使用问题。

          联系技术支持
          订购 Plus Icon Minus Icon
          • 订单状态查询
          • 订单支持
          • 货号直购
          • 现货供应中心
          • 电子采购
          支持 Plus Icon Minus Icon
          • 帮助&支持
          • 联系我们 - 400 820 8982
          • 技术支持中心
          • 查找文件&证书
          • 报告网站问题
          资源 Plus Icon Minus Icon
          • 学习中心
          • 促销
          • 活动&研讨会
          • 社交媒体
          关于赛默飞 Plus Icon Minus Icon
          • 关于我们
          • 招聘 招聘
          • 投资者关系 投资者关系
          • 新闻 新闻
          • 社会责任 社会责任
          • 商标
          • 政策和通知
          品牌 Plus Icon Minus Icon
          • Thermo Scientific
          • Applied Biosystems
          • Invitrogen
          • Gibco
          • Ion Torrent
          • Unity Lab Services
          • Patheon
          • PPD
          • 服务条款
          • 隐私政策
          • 定价和运输保险政策
          © 2006-2026 Thermo Fisher Scientific Inc. All rights reserved. All trademarks are the property of Thermo Fisher Scientific and its subsidiaries unless otherwise specified.
          China flag icon
          China
          本网站销售的所有产品均不得用于人类或动物之临床诊断或治疗,仅可用于工业或者科研等非医疗目的。
             电子营业执照 | 经营证照公示 | ICP备案号:沪ICP备11003924号 | 沪公网安备 31011502006935号

          Your items have has been added!


          Host server : magellan-search-green-6479c7f679-sz4vp:80/100.66.76.236:80.
          git-commit: b70c0dceb888abc3b0dcebb5bc3a5b8753e7e816
          git-url: https://github.com/thermofisher/magellan-search
          git-branch: release/2.50.0-Offline