Hamburger Menu Button
Thermo Fisher Scientific Logo
登录
没有账号?建立账号 注册
  • 产品
    • 抗体
    • 引物合成
    • GeneArt Gene Synthesis Instant Designer
    • TaqMan Assay and Array Search
    • PCR 设备和耗材
    • 色谱柱和纯化柱
    • 实验室离心机
    • 分子生物学试剂和试剂盒
    • 实验室塑料耗材及用品
    • 查看所有产品分类
  • 应用和技术
    • 色谱
    • 细胞转染和培养
    • 实时荧光定量PCR
    • 质谱
    • 实验室塑料耗材及用品
    • 电子显微镜
    • 蛋白质生物学
    • PCR
    • RNAi
    • 环境
    • 查看所有应用和技术
  • 服务
    • 定制服务
    • 企业级实验室信息化服务
    • 金融&租赁服务
    • 仪器服务
    • OEM和商业供应
    • 培训服务
    • 360° CDMO 和 CRO 服务
    • CDMO 服务
    • 临床试验 CRO 服务
    • Unity Lab Services
    • 查看所有帮助和支持
  • 帮助和支持
    • 学习中心
    • 联系我们
    • 更改国家或地区
    • 查看所有帮助和支持
  • 热门产品
    • TaqMan Real-Time PCR Assays
      TaqMan 实时荧光定量 PCR 试剂盒
    • Antibodies
      抗体
    • Oligos, Primers & Probes
      寡核苷酸、引物、探针
    • GeneArt Gene Synthesis
      GeneArt 基因合成
    • Cell Culture Plastics
      细胞培养耗材
  • Who We Serve
    • 抗体治疗解决方案
    • 细胞与基因治疗解决方案
    • 学术科研
    • 工业与应用
  • 联系我们
  • 货号直购
  • 订单查询
  • 查找文件&证书
Thermo Fisher Scientific Logo

Search

搜索全部或下列指定分类
Search button
          • 联系我们
          • 货号直购
          • 登录
            登录
            没有账号?建立账号 注册
            • 我的账号
            • 订单
            • 会员中心
            • 账单及发票查询
            • 定制产品及项目
          • Primary Antibodies ›
          • LRRK2 Antibodies

          Invitrogen

          Phospho-LRRK2 (Ser935) Recombinant Rabbit Monoclonal Antibody (3H8L19)

          1 篇参考文献
          查看其他52个LRRK2抗体

          {{$productOrderCtrl.translations['antibody.pdp.commerceCard.promotion.promotions']}}

          {{$productOrderCtrl.translations['antibody.pdp.commerceCard.promotion.viewpromo']}}

          {{$productOrderCtrl.translations['antibody.pdp.commerceCard.promotion.promocode']}}: {{promo.promoCode}} {{promo.promoTitle}} {{promo.promoDescription}}. {{$productOrderCtrl.translations['antibody.pdp.commerceCard.promotion.learnmore']}}

          说明书
          证书
          实验方案
          问题与答案
          技术支持
          说明书
          证书
          实验方案
          问题与答案
          技术支持
          说明书
          证书
          实验方案
          问题与答案
          技术支持

          Cite Phospho-LRRK2 (Ser935) Recombinant Rabbit Monoclonal Antibody (3H8L19)

          Additional Information:
          {{banner.description}}
          {{$ctrl.isSkuNotesCollapsed ? 'View more' : 'View less'}}
          • 抗体检测数据 (3)
          Phospho-LRRK2 (Ser935) Antibody in Immunocytochemistry (ICC/IF)
          Group 53 Created with Sketch.
          Phospho-LRRK2 (Ser935) Antibody in Immunocytochemistry (ICC/IF)
          Group 53 Created with Sketch.

          图: 1 / 3

          {{ $ctrl.currentElement.advancedVerification.fullName }}
          {{ $ctrl.currentElement.advancedVerification.text }}

          Phospho-LRRK2 (Ser935) Antibody (701066) in ICC/IF

          Immunofluorescence analysis of LRRK2 (pS935) was done on 70% confluent log phase SH-SY5Y cells. The cells were fixed with 4% paraformaldehyde for 15 minutes, permeabilized with 0.25% Triton™ X-100 for 10 minutes, and blocked with 5% BSA for 1 hour at room temperature. The cells were labeled with Phospho-LRRK2/PARK8 pSer935 (3H8L19) Recombinant Rabbit Monoclonal Antibody (Product # 701066) at 1 µg/mL in 1% B... View More {{ $ctrl.currentElement.advancedVerification.fullName }} 验证信息 View more
          已发表图片由___提供 benchsci-logo
          PMID: {{$ctrl.currentElement.benchSciPubmedId}}
          查看产品

          {{$ctrl.videoDesc}}

          {{$ctrl.videoLongDesc}}

          Phospho-LRRK2 (Ser935) Antibody in Immunocytochemistry (ICC/IF)
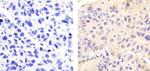
          Phospho-LRRK2 (Ser935) Antibody in Immunohistochemistry (Paraffin) (IHC (P))
          Phospho-LRRK2 (Ser935) Antibody in Western Blot (WB)
          Phospho-LRRK2 (Ser935) Recombinant Rabbit Monoclonal Antibody (3H8L19)

          产品信息

          701066

          应用
          建议稀释比
          已发表文章

          免疫印迹 (WB)

          2-5 µg/mL
          -

          免疫组化(石蜡) (IHC (P))

          1:10-1:50
          -

          免疫细胞化学 (ICC/IF)

          1 µg/mL
          查看1篇已发表文章 1篇已发表文章
          产品规格

          种属反应

          Human

          已发表种属

          Rat

          宿主/亚型

          Rabbit / IgG

          Expression System

          Expi293

          分类

          Recombinant Monoclonal

          类型

          Antibody

          克隆号

          3H8L19

          抗原

          Phosphopeptide corresponding to amino acids 930-940 of human LRRK2
          3D表位/免疫原

          偶联物

          Unconjugated Unconjugated Unconjugated

          形式

          Liquid

          浓度

          0.5 mg/mL

          规格

          100 µg

          纯化类型

          Protein A

          保存液

          PBS

          内含物

          0.09% sodium azide

          保存条件

          Store at 4°C short term. For long term storage, store at -20°C, avoiding freeze/thaw cycles.

          运输条件

          Wet ice

          RRID

          AB_2532367

          产品详细信息

          This antibody is predicted to react with non-human primate, mouse and rat based on sequence homology.

          Intact IgG appears on a non-reducing gel as ~150 kDa band and upon reduction generating a ~25 kDa light chain band and a ~50 kDa heavy chain.

          Recombinant rabbit monoclonal antibodies are produced using in vitro expression systems. The expression systems are developed by cloning in the specific antibody DNA sequences from immunoreactive rabbits. Then, individual clones are screened to select the best candidates for production. The advantages of using recombinant rabbit monoclonal antibodies include: better specificity and sensitivity, lot-to-lot consistency, animal origin-free formulations, and broader immunoreactivity to diverse targets due to larger rabbit immune repertoire.

          靶标信息

          LRRK2 is a multidomain protein that includes a kinase domain, a GTPase domain, and a leucine-rich repeat (LRR) domain. Mutations in LRRK2 have been associated with Parkinson's disease. LRRK2 is a member of the leucine-rich repeat kinase family and encodes a protein with an ankryin repeat region, a leucine-rich repeat domain, a kinase domain, a DFG-like motif, a RAS domain, a GTPase domain, a MLK-like domain, and a WD40 domain. The protein is present largely in the cytoplasm but also associates with the mitochondrial outer membrane.

          仅用于科研。不用于诊断过程。未经明确授权不得转售。

          生物信息学

          蛋白别名: augmented in rheumatoid arthritis 17; BC 300-268; Dardarin; DKFZp434H2111; FLJ45829; Leucine-rich repeat serine/threonine-protein kinase 2; LRR kinase 2; LRRK 2; LRRK-2

          查看更多 收起

          基因别名: AURA17; DARDARIN; LRRK2; PARK8; RIPK7; ROCO2

          查看更多 收起

          UniProt ID: (Human) Q5S007

          查看更多 收起

          Entrez Gene ID: (Human) 120892

          查看更多 收起

          功能
          SNARE binding nucleotide binding magnesium ion binding actin binding GTPase activity protein kinase activity protein serine/threonine kinase activity JUN kinase kinase kinase activity MAP kinase kinase kinase activity GTPase activator activity protein binding ATP binding GTP binding microtubule binding tubulin binding kinase activity transferase activity hydrolase activity syntaxin-1 binding receptor signaling complex scaffold activity clathrin binding small GTPase binding GTP-dependent protein kinase activity peroxidase inhibitor activity co-receptor binding identical protein binding protein homodimerization activity ion channel binding protein kinase A binding protein serine kinase activity beta-catenin destruction complex binding
          参与通路
          MAPK cascade protein phosphorylation protein import into nucleus endocytosis autophagy response to oxidative stress mitochondrion organization endoplasmic reticulum organization Golgi organization lysosome organization cell surface receptor signaling pathway JNK cascade Rho protein signal transduction spermatogenesis neuromuscular junction development protein localization determination of adult lifespan cellular response to starvation anatomical structure morphogenesis negative regulation of signal transduction regulation of gene expression regulation of autophagy positive regulation of autophagy negative regulation of protein processing negative regulation of neuron projection development regulation of neuron maturation vesicle-mediated transport negative regulation of macroautophagy calcium-mediated signaling striatum development olfactory bulb development tangential migration from the subventricular zone to the olfactory bulb cell differentiation regulation of proteolysis neuron differentiation regulation of cell projection organization positive regulation of protein ubiquitination regulation of protein stability positive regulation of proteasomal ubiquitin-dependent protein catabolic process positive regulation of tumor necrosis factor production negative regulation of GTPase activity cellular response to oxidative stress cellular response to reactive oxygen species regulation of SNARE complex assembly intracellular signal transduction regulation of kidney size exploration behavior locomotory exploration behavior regulation of lysosomal lumen pH regulation of locomotion regulation of membrane potential positive regulation of programmed cell death positive regulation of MAPK cascade negative regulation of Notch signaling pathway GTP metabolic process protein autophosphorylation intracellular distribution of mitochondria animal organ development neuron projection morphogenesis modulation of synaptic transmission regulation of multicellular organismal process positive regulation of protein metabolic process mitochondrion localization regulation of mitochondrial depolarization regulation of synaptic transmission, glutamatergic canonical Wnt signaling pathway excitatory postsynaptic potential regulation of dopamine receptor signaling pathway positive regulation of dopamine receptor signaling pathway regulation of vesicle-mediated transport regulation of ER to Golgi vesicle-mediated transport regulation of canonical Wnt signaling pathway regulation of dendritic spine morphogenesis protein localization to mitochondrion protein localization to endoplasmic reticulum exit site cellular response to manganese ion regulation of mitochondrial fission positive regulation of canonical Wnt signaling pathway negative regulation of excitatory postsynaptic potential neuron projection arborization regulation of cAMP/PKA signal transduction regulation of synaptic vesicle endocytosis positive regulation of synaptic vesicle endocytosis positive regulation of mitochondrial outer membrane permeabilization involved in apoptotic signaling pathway negative regulation of endoplasmic reticulum stress-induced intrinsic apoptotic signaling pathway positive regulation of protein autoubiquitination regulation of intracellular signal transduction regulation of neuroblast proliferation regulation of synaptic vesicle transport negative regulation of late endosome to lysosome transport negative regulation of autophagosome assembly negative regulation of protein targeting to mitochondrion negative regulation of protein processing involved in protein targeting to mitochondrion cellular response to dopamine positive regulation of microglial cell activation cellular response to curcumin Wnt signalosome assembly regulation of retrograde transport, endosome to Golgi regulation of CAMKK-AMPK signaling cascade regulation of branching morphogenesis of a nerve regulation of synaptic vesicle exocytosis regulation of reactive oxygen species metabolic process
          It has to be done as per old AB suggested Products section.

          Disclaimer

          Close

          Clicking the images or links will redirect you to a website hosted by BenchSci that provides third-party scientific content. Neither the content nor the BenchSci technology and processes for selection have been evaluated by us; we are providing them as-is and without warranty of any kind, including for use or application of the Thermo Fisher Scientific products presented.

          guarantee_icon

          性能保障

          只要您发现Invitrogen抗体在实验中的表现与网站或说明书的所述内容不符,您即可享受免费退换货服务。*

          了解更多
          help_icon

          随时为您服务

          获取常见问题的专家解答,或者直接联系我们的技术专家,咨询应用、设备、常规产品使用问题。

          联系技术支持
          订购 Plus Icon Minus Icon
          • 订单状态查询
          • 订单支持
          • 货号直购
          • 现货供应中心
          • 电子采购
          支持 Plus Icon Minus Icon
          • 帮助&支持
          • 联系我们 - 400 820 8982
          • 技术支持中心
          • 查找文件&证书
          • 报告网站问题
          资源 Plus Icon Minus Icon
          • 学习中心
          • 促销
          • 活动&研讨会
          • 社交媒体
          关于赛默飞 Plus Icon Minus Icon
          • 关于我们
          • 招聘 招聘
          • 投资者关系 投资者关系
          • 新闻 新闻
          • 社会责任 社会责任
          • 商标
          • 政策和通知
          品牌 Plus Icon Minus Icon
          • Thermo Scientific
          • Applied Biosystems
          • Invitrogen
          • Gibco
          • Ion Torrent
          • Unity Lab Services
          • Patheon
          • PPD
          • 服务条款
          • 隐私政策
          • 定价和运输保险政策
          © 2006-2026 Thermo Fisher Scientific Inc. All rights reserved. All trademarks are the property of Thermo Fisher Scientific and its subsidiaries unless otherwise specified.
          China flag icon
          China
          本网站销售的所有产品均不得用于人类或动物之临床诊断或治疗,仅可用于工业或者科研等非医疗目的。
             电子营业执照 | 经营证照公示 | ICP备案号:沪ICP备11003924号 | 沪公网安备 31011502006935号

          Your items have has been added!


          Host server : magellan-search-green-6479c7f679-zb4k5:80/100.66.74.142:80.
          git-commit: b70c0dceb888abc3b0dcebb5bc3a5b8753e7e816
          git-url: https://github.com/thermofisher/magellan-search
          git-branch: release/2.50.0-Offline