Hamburger Menu Button
Thermo Fisher Scientific Logo
登录
没有账号?建立账号 注册
  • 产品
    • 抗体
    • 引物合成
    • GeneArt Gene Synthesis Instant Designer
    • TaqMan Assay and Array Search
    • PCR 设备和耗材
    • 色谱柱和纯化柱
    • 实验室离心机
    • 分子生物学试剂和试剂盒
    • 实验室塑料耗材及用品
    • 查看所有产品分类
  • 应用和技术
    • 色谱
    • 细胞转染和培养
    • 实时荧光定量PCR
    • 质谱
    • 实验室塑料耗材及用品
    • 电子显微镜
    • 蛋白质生物学
    • PCR
    • RNAi
    • 环境
    • 查看所有应用和技术
  • 服务
    • 定制服务
    • 企业级实验室信息化服务
    • 金融&租赁服务
    • 仪器服务
    • OEM和商业供应
    • 培训服务
    • 360° CDMO 和 CRO 服务
    • CDMO 服务
    • 临床试验 CRO 服务
    • Unity Lab Services
    • 查看所有帮助和支持
  • 帮助和支持
    • 学习中心
    • 联系我们
    • 更改国家或地区
    • 查看所有帮助和支持
  • 热门产品
    • TaqMan Real-Time PCR Assays
      TaqMan 实时荧光定量 PCR 试剂盒
    • Antibodies
      抗体
    • Oligos, Primers & Probes
      寡核苷酸、引物、探针
    • GeneArt Gene Synthesis
      GeneArt 基因合成
    • Cell Culture Plastics
      细胞培养耗材
  • Who We Serve
    • 抗体治疗解决方案
    • 细胞与基因治疗解决方案
    • 学术科研
    • 工业与应用
  • 联系我们
  • 货号直购
  • 订单查询
  • 查找文件&证书
Thermo Fisher Scientific Logo

Search

搜索全部或下列指定分类
Search button
          • 联系我们
          • 货号直购
          • 登录
            登录
            没有账号?建立账号 注册
            • 我的账号
            • 订单
            • 会员中心
            • 账单及发票查询
            • 定制产品及项目
          • Primary Antibodies ›
          • RAC1/RAC2/RAC3 Antibodies

          Invitrogen

          RAC1/RAC2/RAC3 Polyclonal Antibody

          高级验证
          查看其他7个RAC1/RAC2/RAC3抗体

          {{$productOrderCtrl.translations['antibody.pdp.commerceCard.promotion.promotions']}}

          {{$productOrderCtrl.translations['antibody.pdp.commerceCard.promotion.viewpromo']}}

          {{$productOrderCtrl.translations['antibody.pdp.commerceCard.promotion.promocode']}}: {{promo.promoCode}} {{promo.promoTitle}} {{promo.promoDescription}}. {{$productOrderCtrl.translations['antibody.pdp.commerceCard.promotion.learnmore']}}

          说明书
          证书
          实验方案
          问题与答案
          技术支持
          说明书
          证书
          实验方案
          问题与答案
          技术支持
          说明书
          证书
          实验方案
          问题与答案
          技术支持

          Cite RAC1/RAC2/RAC3 Polyclonal Antibody

          Additional Information:
          {{banner.description}}
          {{$ctrl.isSkuNotesCollapsed ? 'View more' : 'View less'}}
          • 抗体检测数据 (7)
          • 高级验证 (1)
          RAC1/RAC2/RAC3 Antibody in Immunohistochemistry (Paraffin) (IHC (P))
          Group 53 Created with Sketch.
          RAC1/RAC2/RAC3 Antibody in Immunohistochemistry (Paraffin) (IHC (P))
          Group 53 Created with Sketch.

          图: 1 / 8

          {{ $ctrl.currentElement.advancedVerification.fullName }}
          {{ $ctrl.currentElement.advancedVerification.text }}

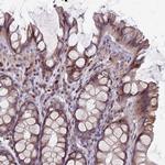
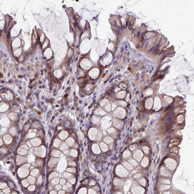
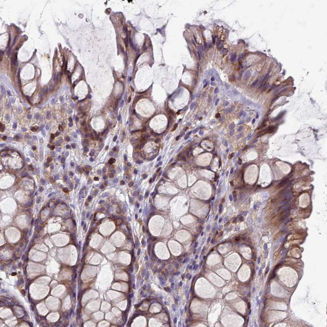
          RAC1/RAC2/RAC3 Antibody (PA5-61600) in IHC (P)

          Immunohistochemical analysis of RAC1/RAC2/RAC3 in human colon using RAC1/RAC2/RAC3 Polyclonal Antibody (Product # PA5-61600) shows weak to moderate membranous/ cytoplasmic positivity in glandular cells. {{ $ctrl.currentElement.advancedVerification.fullName }} 验证信息 View more
          已发表图片由___提供 benchsci-logo
          PMID: {{$ctrl.currentElement.benchSciPubmedId}}
          查看产品

          {{$ctrl.videoDesc}}

          {{$ctrl.videoLongDesc}}

          RAC1/RAC2/RAC3 Antibody in Immunohistochemistry (Paraffin) (IHC (P))
          RAC1/RAC2/RAC3 Antibody in Immunohistochemistry (Paraffin) (IHC (P))
          RAC1/RAC2/RAC3 Antibody in Immunohistochemistry (Paraffin) (IHC (P))
          RAC1/RAC2/RAC3 Antibody in Immunohistochemistry (IHC)
          RAC1/RAC2/RAC3 Antibody in Western Blot (WB)
          RAC1/RAC2/RAC3 Antibody in Western Blot (WB)
          RAC1/RAC2/RAC3 Antibody in Western Blot (WB)
          RAC1/RAC2/RAC3 Antibody

          产品信息

          PA5-61600

          应用
          建议稀释比
          已发表文章

          免疫印迹 (WB)

          0.04-0.4 µg/mL
          -

          免疫组化(石蜡) (IHC (P))

          1:50-1:200
          -
          产品规格

          种属反应

          Human

          宿主/亚型

          Rabbit / IgG

          分类

          Polyclonal

          类型

          Antibody

          抗原

          Recombinant protein corresponding to Human RAC1/RAC2/RAC3

          偶联物

          Unconjugated Unconjugated Unconjugated

          形式

          Liquid

          浓度

          0.1 mg/mL

          规格

          10 µg

          纯化类型

          Antigen affinity chromatography

          保存液

          PBS, pH 7.2, with 40% glycerol

          内含物

          0.02% sodium azide

          保存条件

          Store at 4°C short term. For long term storage, store at -20°C, avoiding freeze/thaw cycles.

          运输条件

          Ambient (domestic); Wet ice (international)

          RRID

          AB_2646272

          产品详细信息

          Immunogen sequence: TKLDLRDDKD TIERLRDKKL APITYPQGLA MAREI

          Highest antigen sequence identity to the following orthologs: Mouse - 100%, Rat - 100%.

          靶标信息

          The protein encoded by this gene is a GTPase which belongs to the RAS superfamily of small GTP-binding proteins. Members of this superfamily appear to regulate a diverse array of cellular events, including the control of cell growth, cytoskeletal reorganization, and the activation of protein kinases. Two transcript variants encoding different isoforms have been found for this gene.

          仅用于科研。不用于诊断过程。未经明确授权不得转售。

          篇参考文献 (0)

          您是否在文献中引用过该产品?请点击下方按钮邮件告知我们。
          引用该产品

          生物信息学

          蛋白别名: Cell migration-inducing gene 5 protein; GX; p21-Rac1; p21-Rac2; p21-Rac3; Rac1ins; RAC2; ras-like protein; Ras-like protein TC25; ras-related C3 botulinum toxin substrate; Ras-related C3 botulinum toxin substrate 1; ras-related C3 botulinum toxin substrate 1 (rho family, small GTP binding protein Rac1); Ras-related C3 botulinum toxin substrate 2; ras-related C3 botulinum toxin substrate 2 (rho family, small GTP binding protein Rac2); Ras-related C3 botulinum toxin substrate 3; ras-related C3 botulinum toxin substrate 3 (rho family, small GTP binding protein Rac3); Ras-related C3 botulinum toxin substrate 3 (rho family, small GTP-binding protein Rac2); rho family, small GTP binding protein Rac3; Small G protein; unnamed protein product

          查看更多 收起

          基因别名: EN-7; Gx; HSPC022; IMD73A; IMD73B; IMD73C; MIG5; MRD48; p21-Rac1; p21-Rac2; Rac-1; RAC1; RAC2; RAC3; TC-25; TC25

          查看更多 收起

          UniProt ID: (Human) P63000, (Human) P15153, (Human) P60763

          查看更多 收起

          Entrez Gene ID: (Human) 5879, (Human) 5880, (Human) 5881

          查看更多 收起

          功能
          nucleotide binding GTPase activity obsolete small monomeric GTPase activity protein binding GTP binding hydrolase activity enzyme binding protein kinase binding GTP-dependent protein binding thioesterase binding macromolecular complex binding Rho GDP-dissociation inhibitor binding protein kinase regulator activity calcium-dependent protein binding
          参与通路
          actin filament organization establishment or maintenance of cell polarity small GTPase mediated signal transduction motor neuron axon guidance regulation of cell shape regulation of cell-substrate adhesion regulation of neuron maturation Wnt signaling pathway Rac protein signal transduction cerebral cortex GABAergic interneuron development regulation of cell morphogenesis cell projection assembly actin cytoskeleton organization cortical cytoskeleton organization neuron projection development regulation of actin cytoskeleton organization positive regulation of cell adhesion mediated by integrin intracellular signal transduction respiratory burst homeostasis of number of cells within a tissue neuromuscular process controlling balance neuromuscular process synaptic transmission, GABAergic cell chemotaxis postsynaptic actin cytoskeleton organization regulation of postsynapse assembly positive regulation of substrate adhesion-dependent cell spreading regulation of neutrophil migration chemotaxis signal transduction G-protein coupled receptor signaling pathway cell proliferation regulation of hydrogen peroxide metabolic process positive regulation of lamellipodium assembly regulation of T cell proliferation superoxide anion generation erythrocyte enucleation regulation of mast cell degranulation bone resorption regulation of respiratory burst regulation of mast cell chemotaxis mast cell proliferation positive regulation of mast cell proliferation lymphocyte aggregation positive regulation of neutrophil chemotaxis positive regulation of protein targeting to mitochondrion neuron migration positive regulation of protein phosphorylation auditory receptor cell morphogenesis sphingosine-1-phosphate signaling pathway epithelial cell morphogenesis endocytosis phagocytosis, engulfment inflammatory response hyperosmotic response cytoskeleton organization cell adhesion cell-matrix adhesion enzyme linked receptor protein signaling pathway axon guidance response to wounding anatomical structure morphogenesis regulation of lamellipodium assembly positive regulation of endothelial cell migration regulation of fibroblast migration negative regulation of fibroblast migration positive regulation of cell-substrate adhesion dendrite development cell migration cerebral cortex radially oriented cell migration embryonic olfactory bulb interneuron precursor migration lamellipodium assembly actin filament polymerization regulation of cell migration positive regulation of actin filament polymerization forebrain development positive regulation of microtubule polymerization ruffle organization response to lipopolysaccharide negative regulation of interleukin-23 production substrate adhesion-dependent cell spreading positive regulation of Rho protein signal transduction non-canonical Wnt signaling pathway positive regulation of insulin secretion involved in cellular response to glucose stimulus engulfment of apoptotic cell cell-cell junction organization regulation of nitric oxide biosynthetic process regulation of JAK-STAT cascade hepatocyte growth factor receptor signaling pathway regulation of neuronal synaptic plasticity negative regulation of receptor-mediated endocytosis anatomical structure arrangement neuron projection morphogenesis dendrite morphogenesis cell motility regulation of stress fiber assembly positive regulation of stress fiber assembly localization within membrane positive regulation of focal adhesion assembly positive regulation of protein kinase B signaling Wnt signaling pathway, planar cell polarity pathway positive regulation of dendritic spine development regulation of cell adhesion involved in heart morphogenesis regulation of ERK5 cascade semaphorin-plexin signaling pathway dopaminergic neuron differentiation protein localization to plasma membrane angiotensin-activated signaling pathway involved in heart process cochlea morphogenesis ruffle assembly positive regulation of ruffle assembly regulation of synaptic vesicle endocytosis positive regulation of bicellular tight junction assembly positive regulation of skeletal muscle acetylcholine-gated channel clustering interneuron migration midbrain dopaminergic neuron differentiation positive regulation of ovarian follicle development regulation of neuron migration
          It has to be done as per old AB suggested Products section.

          Disclaimer

          Close

          Clicking the images or links will redirect you to a website hosted by BenchSci that provides third-party scientific content. Neither the content nor the BenchSci technology and processes for selection have been evaluated by us; we are providing them as-is and without warranty of any kind, including for use or application of the Thermo Fisher Scientific products presented.

          guarantee_icon

          性能保障

          只要您发现Invitrogen抗体在实验中的表现与网站或说明书的所述内容不符,您即可享受免费退换货服务。*

          了解更多
          help_icon

          随时为您服务

          获取常见问题的专家解答,或者直接联系我们的技术专家,咨询应用、设备、常规产品使用问题。

          联系技术支持
          订购 Plus Icon Minus Icon
          • 订单状态查询
          • 订单支持
          • 货号直购
          • 现货供应中心
          • 电子采购
          支持 Plus Icon Minus Icon
          • 帮助&支持
          • 联系我们 - 400 820 8982
          • 技术支持中心
          • 查找文件&证书
          • 报告网站问题
          资源 Plus Icon Minus Icon
          • 学习中心
          • 促销
          • 活动&研讨会
          • 社交媒体
          关于赛默飞 Plus Icon Minus Icon
          • 关于我们
          • 招聘 招聘
          • 投资者关系 投资者关系
          • 新闻 新闻
          • 社会责任 社会责任
          • 商标
          • 政策和通知
          品牌 Plus Icon Minus Icon
          • Thermo Scientific
          • Applied Biosystems
          • Invitrogen
          • Gibco
          • Ion Torrent
          • Unity Lab Services
          • Patheon
          • PPD
          • 服务条款
          • 隐私政策
          • 定价和运输保险政策
          © 2006-2026 Thermo Fisher Scientific Inc. All rights reserved. All trademarks are the property of Thermo Fisher Scientific and its subsidiaries unless otherwise specified.
          China flag icon
          China
          本网站销售的所有产品均不得用于人类或动物之临床诊断或治疗,仅可用于工业或者科研等非医疗目的。
             电子营业执照 | 经营证照公示 | ICP备案号:沪ICP备11003924号 | 沪公网安备 31011502006935号

          Your items have has been added!


          Host server : magellan-search-blue-7c59b9b899-49tpj:80/100.66.77.222:80.
          git-commit: 8ef7cf686e3c81d28b13492708ce56d167b2f995
          git-url: https://github.com/thermofisher/magellan-search
          git-branch: release/2.49.0-Offline