Hamburger Menu Button
Thermo Fisher Scientific Logo
登录
没有账号?建立账号 注册
  • 产品
    • 抗体
    • 引物合成
    • GeneArt Gene Synthesis Instant Designer
    • TaqMan Assay and Array Search
    • PCR 设备和耗材
    • 色谱柱和纯化柱
    • 实验室离心机
    • 分子生物学试剂和试剂盒
    • 实验室塑料耗材及用品
    • 查看所有产品分类
  • 应用和技术
    • 色谱
    • 细胞转染和培养
    • 实时荧光定量PCR
    • 质谱
    • 实验室塑料耗材及用品
    • 电子显微镜
    • 蛋白质生物学
    • PCR
    • RNAi
    • 环境
    • 查看所有应用和技术
  • 服务
    • 定制服务
    • 企业级实验室信息化服务
    • 金融&租赁服务
    • 仪器服务
    • OEM和商业供应
    • 培训服务
    • 360° CDMO 和 CRO 服务
    • CDMO 服务
    • 临床试验 CRO 服务
    • Unity Lab Services
    • 查看所有帮助和支持
  • 帮助和支持
    • 学习中心
    • 联系我们
    • 更改国家或地区
    • 查看所有帮助和支持
  • 热门产品
    • TaqMan Real-Time PCR Assays
      TaqMan 实时荧光定量 PCR 试剂盒
    • Antibodies
      抗体
    • Oligos, Primers & Probes
      寡核苷酸、引物、探针
    • GeneArt Gene Synthesis
      GeneArt 基因合成
    • Cell Culture Plastics
      细胞培养耗材
  • Who We Serve
    • 抗体治疗解决方案
    • 细胞与基因治疗解决方案
    • 学术科研
    • 工业与应用
  • 联系我们
  • 货号直购
  • 订单查询
  • 查找文件&证书
Thermo Fisher Scientific Logo

Search

搜索全部或下列指定分类
Search button
          • 联系我们
          • 货号直购
          • 登录
            登录
            没有账号?建立账号 注册
            • 我的账号
            • 订单
            • 会员中心
            • 账单及发票查询
            • 定制产品及项目
          • Primary Antibodies ›
          • RARA/RARB/RARG Antibodies

          Invitrogen

          RARA/RARB/RARG Recombinant Rabbit Monoclonal Antibody (PSH08-74)

          {{$productOrderCtrl.translations['antibody.pdp.commerceCard.promotion.promotions']}}

          {{$productOrderCtrl.translations['antibody.pdp.commerceCard.promotion.viewpromo']}}

          {{$productOrderCtrl.translations['antibody.pdp.commerceCard.promotion.promocode']}}: {{promo.promoCode}} {{promo.promoTitle}} {{promo.promoDescription}}. {{$productOrderCtrl.translations['antibody.pdp.commerceCard.promotion.learnmore']}}

          说明书
          证书
          实验方案
          问题与答案
          技术支持
          说明书
          证书
          实验方案
          问题与答案
          技术支持
          说明书
          证书
          实验方案
          问题与答案
          技术支持

          Cite RARA/RARB/RARG Recombinant Rabbit Monoclonal Antibody (PSH08-74)

          Additional Information:
          {{banner.description}}
          {{$ctrl.isSkuNotesCollapsed ? 'View more' : 'View less'}}
          • 抗体检测数据 (3)
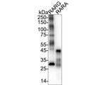
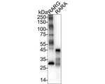
          RARA/RARB/RARG Antibody in Western Blot (WB)
          Group 53 Created with Sketch.
          RARA/RARB/RARG Antibody in Western Blot (WB)
          Group 53 Created with Sketch.

          图: 1 / 3

          {{ $ctrl.currentElement.advancedVerification.fullName }}
          {{ $ctrl.currentElement.advancedVerification.text }}

          RARA/RARB/RARG Antibody (MA570053) in WB

          Western blot analysis of RARA/RARB/RARG in various lysates. Samples were incubated with RARA/RARB/RARG monoclonal antibody (Product # MA570053) using a dilution of 1:1,000 in 5% NFDM/TBST at 4°C overnight followed by Goat Anti-Rabbit IgG - HRP Secondary Antibody at a dilution of 1:50,000 for 1 hour at room temperature. Lane 1: SK-Br-3 cell lysate; Lane 2: T-47D cell lysate; Lane 3: A375 cell lysate; Lane 4: HeLa cell lysate. Lysates/proteins at 20 µg/Lane. Predicted band size: 50 kDa; Observed band size: 58 kDa. Exposure time: 3 minutes; E... View More {{ $ctrl.currentElement.advancedVerification.fullName }} 验证信息 View more
          已发表图片由___提供 benchsci-logo
          PMID: {{$ctrl.currentElement.benchSciPubmedId}}
          查看产品

          {{$ctrl.videoDesc}}

          {{$ctrl.videoLongDesc}}

          RARA/RARB/RARG Antibody in Western Blot (WB)
          RARA/RARB/RARG Antibody in Western Blot (WB)
          RARA/RARB/RARG Antibody in Western Blot (WB)
          RARA/RARB/RARG Recombinant Rabbit Monoclonal Antibody (PSH08-74)

          产品信息

          MA570053

          应用
          建议稀释比
          已发表文章

          免疫印迹 (WB)

          1:1,000-1:5,000
          -
          产品规格

          种属反应

          Human

          宿主/亚型

          Rabbit / IgG

          Expression System

          HEK293 cells

          分类

          Recombinant Monoclonal

          类型

          Antibody

          克隆号

          PSH08-74

          抗原

          Recombinant protein within human RARG aa 155-454.
          3D表位/免疫原

          偶联物

          Unconjugated Unconjugated Unconjugated

          形式

          Liquid

          浓度

          1 mg/mL

          规格

          100 µg

          纯化类型

          Protein A

          保存液

          PBS, pH 7.4, with 0.1% BSA, 40% glycerol

          内含物

          0.05% sodium azide

          保存条件

          Store at 4°C short term. For long term storage, store at -20°C, avoiding freeze/thaw cycles.

          运输条件

          Ambient (domestic); Wet ice (international)

          产品详细信息

          Positive control: SK-Br-3 cell lysate, T-47D cell lysate, A375 cell lysate, HeLa cell lysate.

          Subcellular location: Nucleus, Cytoplasm.

          靶标信息

          All three genes are part of the nuclear receptor family and are crucial in regulating cell growth, differentiation, and apoptosis. They share structural similarities, including a DNA-binding domain and a ligand-binding domain, allowing them to bind to specific DNA sequences and regulate target gene expression. RARA (Retinoic Acid Receptor Alpha) is a nuclear receptor that mediates the effects of retinoic acid (a metabolite of vitamin A) by regulating gene transcription. It is located on chromosome 17q21.2. RARB (Retinoic Acid Receptor Beta) also functions as a nuclear receptor for retinoic acid and is involved in gene activation. It is located on chromosome 3p24. RARG (Retinoic Acid Receptor Gamma) plays a similar role in mediating retinoic acid effects and is found on chromosome 12q13.

          仅用于科研。不用于诊断过程。未经明确授权不得转售。

          篇参考文献 (0)

          您是否在文献中引用过该产品?请点击下方按钮邮件告知我们。
          引用该产品

          生物信息学

          蛋白别名: HBV-activated protein; hepatitis B virus activated protein; nuclear receptor; Nuclear receptor subfamily 1 group B member 1; Nuclear receptor subfamily 1 group B member 2; Nuclear receptor subfamily 1 group B member 3; nuclear receptor; RAR beta; nucleophosmin-retinoic acid receptor alpha fusion protein NPM-RAR long form; open reading frame 1; putative; PML gene product; PML-DDX5-RARA fusion; PML-DDX5-RARA fusion protein; RAR beta 1'; RAR-alpha; RAR-beta; RAR-epsilon; RAR-gamma; RARA; RARB; RARbeta isoform 5; Retinoic acid receptor alpha; Retinoic acid receptor beta; Retinoic acid receptor gamma; retinoic acid receptor gamma 2; retinoic acid receptor, alpha polypeptide; retinoic acid receptor, beta polypeptide; TTMV/RARA fusion; TTMV/RARA fusion protein; unnamed protein product

          查看更多 收起

          基因别名: HAP; MCOPS12; NR1B1; NR1B2; NR1B3; RAR; RARA; RARalpha; RARB; RARbeta; RARbeta1; RARC; RARG; RARgamma; RRB2

          查看更多 收起

          UniProt ID: (Human) P10276, (Human) P10826, (Human) P13631

          查看更多 收起

          Entrez Gene ID: (Human) 5914, (Human) 5915, (Human) 5916

          查看更多 收起

          功能
          translation repressor activity, nucleic acid binding transcription regulatory region sequence-specific DNA binding RNA polymerase II regulatory region sequence-specific DNA binding RNA polymerase II core promoter proximal region sequence-specific DNA binding RNA polymerase II transcription factor activity, sequence-specific DNA binding bacterial-type RNA polymerase transcriptional repressor activity, sequence-specific DNA binding transcription coactivator binding retinoic acid binding DNA binding chromatin binding transcription factor activity, sequence-specific DNA binding RNA polymerase II transcription factor activity, ligand-activated sequence-specific DNA binding receptor binding protein binding zinc ion binding enzyme binding protein domain specific binding chromatin DNA binding histone deacetylase binding protein kinase B binding sequence-specific DNA binding retinoic acid-responsive element binding metal ion binding mRNA 5'-UTR binding protein kinase A binding alpha-actinin binding heterocyclic compound binding sequence-specific double-stranded DNA binding macromolecular complex binding retinoid X receptor binding
          参与通路
          negative regulation of transcription from RNA polymerase II promoter ureteric bud development neural tube closure liver development glandular epithelial cell development outflow tract septum morphogenesis growth plate cartilage development regulation of transcription, DNA-templated protein phosphorylation germ cell development spermatogenesis female pregnancy positive regulation of cell proliferation negative regulation of cell proliferation male gonad development positive regulation of gene expression negative regulation of gene expression negative regulation of translation hippocampus development cell differentiation prostate gland development regulation of granulocyte differentiation negative regulation of granulocyte differentiation embryonic camera-type eye development regulation of myelination response to estradiol response to retinoic acid negative regulation of interferon-gamma production negative regulation of tumor necrosis factor production positive regulation of interleukin-13 production positive regulation of interleukin-4 production positive regulation of interleukin-5 production response to vitamin A response to cytokine multicellular organism growth mRNA transcription from RNA polymerase II promoter regulation of apoptotic process negative regulation of apoptotic process apoptotic cell clearance response to ethanol negative regulation of cell differentiation positive regulation of T-helper 2 cell differentiation positive regulation of neuron differentiation positive regulation of cell cycle negative regulation of transcription, DNA-templated positive regulation of transcription, DNA-templated positive regulation of transcription from RNA polymerase II promoter regulation of synaptic plasticity retinoic acid receptor signaling pathway positive regulation of binding ventricular cardiac muscle cell differentiation Sertoli cell fate commitment limb development face development bone development trachea cartilage development chondroblast differentiation negative regulation of cartilage development cellular response to lipopolysaccharide cellular response to retinoic acid cellular response to estrogen stimulus nucleus-associated proteasomal ubiquitin-dependent protein catabolic process regulation of hematopoietic progenitor cell differentiation negative regulation of pri-miRNA transcription from RNA polymerase II promoter chondrocyte development growth plate cartilage chondrocyte growth apoptotic process cell proliferation regulation of cell size anterior/posterior pattern specification regulation of gene expression programmed cell death negative regulation of chondrocyte differentiation embryonic hindlimb morphogenesis positive regulation of apoptotic process positive regulation of programmed cell death regulation of myeloid cell differentiation embryonic eye morphogenesis reproductive structure development gland development canonical Wnt signaling pathway bone morphogenesis epithelium development prostate gland epithelium morphogenesis Harderian gland development stem cell proliferation cellular response to leukemia inhibitory factor negative regulation of stem cell proliferation signal transduction striatum development neurogenesis embryonic digestive tract development neural precursor cell proliferation
          It has to be done as per old AB suggested Products section.

          Disclaimer

          Close

          Clicking the images or links will redirect you to a website hosted by BenchSci that provides third-party scientific content. Neither the content nor the BenchSci technology and processes for selection have been evaluated by us; we are providing them as-is and without warranty of any kind, including for use or application of the Thermo Fisher Scientific products presented.

          guarantee_icon

          性能保障

          只要您发现Invitrogen抗体在实验中的表现与网站或说明书的所述内容不符,您即可享受免费退换货服务。*

          了解更多
          help_icon

          随时为您服务

          获取常见问题的专家解答,或者直接联系我们的技术专家,咨询应用、设备、常规产品使用问题。

          联系技术支持
          订购 Plus Icon Minus Icon
          • 订单状态查询
          • 订单支持
          • 货号直购
          • 现货供应中心
          • 电子采购
          支持 Plus Icon Minus Icon
          • 帮助&支持
          • 联系我们 - 400 820 8982
          • 技术支持中心
          • 查找文件&证书
          • 报告网站问题
          资源 Plus Icon Minus Icon
          • 学习中心
          • 促销
          • 活动&研讨会
          • 社交媒体
          关于赛默飞 Plus Icon Minus Icon
          • 关于我们
          • 招聘 招聘
          • 投资者关系 投资者关系
          • 新闻 新闻
          • 社会责任 社会责任
          • 商标
          • 政策和通知
          品牌 Plus Icon Minus Icon
          • Thermo Scientific
          • Applied Biosystems
          • Invitrogen
          • Gibco
          • Ion Torrent
          • Unity Lab Services
          • Patheon
          • PPD
          • 服务条款
          • 隐私政策
          • 定价和运输保险政策
          © 2006-2026 Thermo Fisher Scientific Inc. All rights reserved. All trademarks are the property of Thermo Fisher Scientific and its subsidiaries unless otherwise specified.
          China flag icon
          China
          本网站销售的所有产品均不得用于人类或动物之临床诊断或治疗,仅可用于工业或者科研等非医疗目的。
             电子营业执照 | 经营证照公示 | ICP备案号:沪ICP备11003924号 | 沪公网安备 31011502006935号

          Your items have has been added!


          Host server : magellan-search-blue-7c59b9b899-97tfg:80/100.66.76.242:80.
          git-commit: 8ef7cf686e3c81d28b13492708ce56d167b2f995
          git-url: https://github.com/thermofisher/magellan-search
          git-branch: release/2.49.0-Offline