Hamburger Menu Button
Thermo Fisher Scientific Logo
登录
没有账号?建立账号 注册
  • 产品
    • 抗体
    • 引物合成
    • GeneArt Gene Synthesis Instant Designer
    • TaqMan Assay and Array Search
    • PCR 设备和耗材
    • 色谱柱和纯化柱
    • 实验室离心机
    • 分子生物学试剂和试剂盒
    • 实验室塑料耗材及用品
    • 查看所有产品分类
  • 应用和技术
    • 色谱
    • 细胞转染和培养
    • 实时荧光定量PCR
    • 质谱
    • 实验室塑料耗材及用品
    • 电子显微镜
    • 蛋白质生物学
    • PCR
    • RNAi
    • 环境
    • 查看所有应用和技术
  • 服务
    • 定制服务
    • 企业级实验室信息化服务
    • 金融&租赁服务
    • 仪器服务
    • OEM和商业供应
    • 培训服务
    • 360° CDMO 和 CRO 服务
    • CDMO 服务
    • 临床试验 CRO 服务
    • Unity Lab Services
    • 查看所有帮助和支持
  • 帮助和支持
    • 学习中心
    • 联系我们
    • 更改国家或地区
    • 查看所有帮助和支持
  • 热门产品
    • TaqMan Real-Time PCR Assays
      TaqMan 实时荧光定量 PCR 试剂盒
    • Antibodies
      抗体
    • Oligos, Primers & Probes
      寡核苷酸、引物、探针
    • GeneArt Gene Synthesis
      GeneArt 基因合成
    • Cell Culture Plastics
      细胞培养耗材
  • Who We Serve
    • 抗体治疗解决方案
    • 细胞与基因治疗解决方案
    • 学术科研
    • 工业与应用
  • 联系我们
  • 货号直购
  • 订单查询
  • 查找文件&证书
Thermo Fisher Scientific Logo

Search

搜索全部或下列指定分类
Search button
          • 联系我们
          • 货号直购
          • 登录
            登录
            没有账号?建立账号 注册
            • 我的账号
            • 订单
            • 会员中心
            • 账单及发票查询
            • 定制产品及项目
          • Primary Antibodies ›
          • SIRT2 Antibodies

          Proteintech

          SIRT2 Monoclonal Antibody (1D8G10)

          6 篇参考文献
          查看其他24个SIRT2抗体

          {{$productOrderCtrl.translations['antibody.pdp.commerceCard.promotion.promotions']}}

          {{$productOrderCtrl.translations['antibody.pdp.commerceCard.promotion.viewpromo']}}

          {{$productOrderCtrl.translations['antibody.pdp.commerceCard.promotion.promocode']}}: {{promo.promoCode}} {{promo.promoTitle}} {{promo.promoDescription}}. {{$productOrderCtrl.translations['antibody.pdp.commerceCard.promotion.learnmore']}}

          说明书
          证书
          实验方案
          问题与答案
          技术支持
          说明书
          证书
          实验方案
          问题与答案
          技术支持
          说明书
          证书
          实验方案
          问题与答案
          技术支持

          Cite SIRT2 Monoclonal Antibody (1D8G10)

          Additional Information:
          {{banner.description}}
          {{$ctrl.isSkuNotesCollapsed ? 'View more' : 'View less'}}
          • 抗体检测数据 (14)
          SIRT2 Antibody in Immunocytochemistry (ICC/IF)
          Group 53 Created with Sketch.
          SIRT2 Antibody in Immunocytochemistry (ICC/IF)
          Group 53 Created with Sketch.

          图: 1 / 14

          {{ $ctrl.currentElement.advancedVerification.fullName }}
          {{ $ctrl.currentElement.advancedVerification.text }}

          SIRT2 Antibody (66410-1-IG) in ICC/IF

          Immunofluorescent analysis of ( -20°C Ethanol ) fixed HepG2 cells using 66410-1-IG (SIRT2 antibody) at dilution of 1:100 and Alexa Fluor 488-conjugated AffiniPure Goat Anti-Mouse IGG (H+L). {{ $ctrl.currentElement.advancedVerification.fullName }} 验证信息 View more
          已发表图片由___提供 benchsci-logo
          PMID: {{$ctrl.currentElement.benchSciPubmedId}}
          查看产品

          {{$ctrl.videoDesc}}

          {{$ctrl.videoLongDesc}}

          SIRT2 Antibody in Immunocytochemistry (ICC/IF)
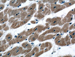
          SIRT2 Antibody in Immunohistochemistry (Paraffin) (IHC (P))
          SIRT2 Antibody in Immunohistochemistry (Paraffin) (IHC (P))
          SIRT2 Antibody in Immunohistochemistry (Paraffin) (IHC (P))
          SIRT2 Antibody in Immunohistochemistry (Paraffin) (IHC (P))
          SIRT2 Antibody in Western Blot (WB)
          SIRT2 Antibody in Western Blot (WB)
          SIRT2 Antibody in Western Blot (WB)
          SIRT2 Antibody in Western Blot (WB)
          SIRT2 Antibody in Western Blot (WB)
          SIRT2 Antibody in Western Blot (WB)
          SIRT2 Antibody in Western Blot (WB)
          SIRT2 Antibody in Western Blot (WB)
          SIRT2 Antibody in Western Blot (WB)
          SIRT2 Monoclonal Antibody (1D8G10)

          产品信息

          66410-1-IG

          应用
          建议稀释比
          已发表文章

          免疫印迹 (WB)

          1:5,000-1:50,000
          查看4篇已发表文章 4篇已发表文章

          免疫组化 (IHC)

          -
          查看2篇已发表文章 2篇已发表文章

          免疫组化(石蜡) (IHC (P))

          1:50-1:500
          -

          免疫细胞化学 (ICC/IF)

          1:50-1:500
          -
          产品规格

          种属反应

          Human, Mouse, Pig, Rat

          宿主/亚型

          Mouse / IgG1

          分类

          Monoclonal

          类型

          Antibody

          克隆号

          1D8G10

          抗原

          SIRT2 Fusion Protein Ag7756 (1-352 aa encoded by BC003547)
          3D表位/免疫原

          偶联物

          Unconjugated Unconjugated Unconjugated
          • CoraLite Plus 488
          • Request custom conjugation

          形式

          Liquid

          浓度

          1 mg/mL

          规格

          150 µg

          纯化类型

          Protein G

          保存液

          PBS, pH 7.3, with 50% glycerol

          内含物

          0.02% sodium azide

          保存条件

          -20°C

          运输条件

          Wet ice (domestic); Dry ice (international)

          产品详细信息

          Immunogen sequence: MDFLRNLFS QTLSLGSQKE RLLDELTLEG VARYMQSERC RRVICLVGAG ISTSAGIPDF RSPSTGLYDN LEKYHLPYPE AIFEISYFKK HPEPFFALAK ELYPGQFKPT ICHYFMRLLK DKGLLLRCYT QNIDTLERIA GLEQEDLVEA HGTFYTSHCV SASCRHEYPL SWMKEKIFSE VTPKCEDCQS LVKPDIVFFG ESLPARFFSC MQSDFLKVDL LLVMGTSLQV QPFASLISKA PLSTPRLLIN KEKAGQSDPF LGMIMGLGGG MDFDSKKAYR DVAWLGECDQ GCLALAELLG WKKELEDLVR REHASIDAQS GAGVPNPSTS ASPKKSPPPA KDEARTTERE KPQ (1-352 aa encoded by BC003547)

          靶标信息

          The SIRT2 protein (also known as Sirtuin for Silent Mating Type Information 2-Homolog) is a NAD-dependent deacytylase (NDAC) that has been shown to control gene silencing, cell cycle, and DNA damage repair. It is believed that SIRT2 may act as a tumor suppressor in human gliomas and may also serve as a novel molecular marker for these cells. SIRT2 has also been shown to act as a redox sensor to help regulate muscle gene expression in response to food intake and exercise. SIRT2 acts in the phosphorylation cascade involving mitosis where SIRT2 is phosphorylated in late G2 phase, during M phase, and into cytokinesis.

          仅用于科研。不用于诊断过程。未经明确授权不得转售。

          生物信息学

          蛋白别名: 5E5 antigen; mSIR2L2; NAD-dependent deacetylase sirtuin-2; NAD-dependent protein deacetylase sirtuin-2; NAD-dependent protein deacylase sirtuin-2; NAD-dependent protein defatty-acylase sirtuin-2; Regulatory protein SIR2 homolog 2; silent information regulator 2; silent mating type information regulation 2, (S.cerevisiae, homolog)-like; sirtuin 2; SIR2-h; SIR2-like protein 2; sir2-related protein type 2; sir2-related protein type 2; sirtuin type 2; NAD-dependent deacetylase sirtuin-2; silent information regulator 2; SIR2-like protein 2; regulatory protein SIR2; sirtuin type 2; sirtuin-2; unnamed protein product; yeast silent information regulator 2 (Sir2p) homolog

          查看更多 收起

          基因别名: 5730427M03Rik; SIR2; SIR2L; SIR2L2; SIRT2

          查看更多 收起

          UniProt ID: (Human) Q8IXJ6, (Mouse) Q8VDQ8

          查看更多 收起

          Entrez Gene ID: (Human) 22933, (Pig) 100125964, (Mouse) 64383, (Rat) 361532

          查看更多 收起

          功能
          chromatin binding NAD+ ADP-ribosyltransferase activity histone deacetylase activity protein binding zinc ion binding transferase activity NAD-dependent histone deacetylase activity protein deacetylase activity NAD-dependent protein deacetylase activity histone acetyltransferase binding histone deacetylase binding tubulin deacetylase activity ubiquitin binding metal ion binding NAD-dependent histone deacetylase activity (H4-K16 specific) NAD binding NAD+ binding DNA-binding transcription factor binding NAD-dependent protein demyristoylase activity NAD-dependent protein depalmitoylase activity protein ADP-ribosylase activity transcription factor binding protein-N-terminal asparagine amidohydrolase activity UDP-3-O-[3-hydroxymyristoyl] N-acetylglucosamine deacetylase activity hydrolase activity hydrolase activity, acting on carbon-nitrogen (but not peptide) bonds, in linear amides iprodione amidohydrolase activity (3,5-dichlorophenylurea)acetate amidohydrolase activity 4'-(2-hydroxyisopropyl)phenylurea amidohydrolase activity didemethylisoproturon amidohydrolase activity N-isopropylacetanilide amidohydrolase activity N-cyclohexylformamide amidohydrolase activity isonicotinic acid hydrazide hydrolase activity cis-aconitamide amidase activity gamma-N-formylaminovinylacetate hydrolase activity N2-acetyl-L-lysine deacetylase activity O-succinylbenzoate synthase activity indoleacetamide hydrolase activity N-acetylcitrulline deacetylase activity N-acetylgalactosamine-6-phosphate deacetylase activity beta-tubulin binding diacetylchitobiose deacetylase activity chitooligosaccharide deacetylase activity molecular_function
          参与通路
          negative regulation of transcription from RNA polymerase II promoter transcription, DNA-templated regulation of transcription, DNA-templated protein deacetylation autophagy cell cycle mitotic nuclear division nervous system development negative regulation of cell proliferation negative regulation of autophagy negative regulation of peptidyl-threonine phosphorylation phosphatidylinositol 3-kinase signaling histone deacetylation myelination in peripheral nervous system cell differentiation regulation of myelination positive regulation of proteasomal ubiquitin-dependent protein catabolic process cellular response to oxidative stress peptidyl-lysine deacetylation cellular response to hepatocyte growth factor stimulus negative regulation of protein catabolic process negative regulation of apoptotic process proteasome-mediated ubiquitin-dependent protein catabolic process positive regulation of DNA binding protein kinase B signaling cellular lipid catabolic process regulation of fat cell differentiation negative regulation of fat cell differentiation positive regulation of meiotic nuclear division negative regulation of striated muscle tissue development negative regulation of transcription, DNA-templated positive regulation of transcription from RNA polymerase II promoter hepatocyte growth factor receptor signaling pathway negative regulation of oligodendrocyte differentiation cell division meiotic cell cycle regulation of cell cycle positive regulation of cell division positive regulation of attachment of spindle microtubules to kinetochore negative regulation of transcription from RNA polymerase II promoter in response to hypoxia cellular response to caloric restriction negative regulation of oligodendrocyte progenitor proliferation histone H3 deacetylation histone H4 deacetylation cellular response to molecule of bacterial origin cellular response to hypoxia cellular response to epinephrine stimulus tubulin deacetylation positive regulation of execution phase of apoptosis positive regulation of oocyte maturation negative regulation of NLRP3 inflammasome complex assembly negative regulation of defense response to bacterium ripoptosome assembly involved in necroptotic process negative regulation of reactive oxygen species metabolic process positive regulation of proteasomal ubiquitin-dependent protein catabolic process involved in cellular response to hypoxia central nervous system development substantia nigra development chromatin silencing at rDNA immune system process chromatin organization ubiquitin-dependent protein catabolic process fatty acid biosynthetic process mitotic nuclear envelope reassembly regulation of exit from mitosis skeletal muscle satellite cell differentiation lipid catabolic process heterochromatin assembly telomeric heterochromatin assembly regulation of gene expression, epigenetic regulation of phosphorylation post-translational protein modification NLRP3 inflammasome complex assembly innate immune response negative regulation of fatty acid biosynthetic process positive regulation of fatty acid biosynthetic process regulation of lipid biosynthetic process negative regulation of developmental process regulation of multicellular organismal process response to redox state positive regulation of small molecule metabolic process negative regulation of satellite cell differentiation
          It has to be done as per old AB suggested Products section.

          Disclaimer

          Close

          Clicking the images or links will redirect you to a website hosted by BenchSci that provides third-party scientific content. Neither the content nor the BenchSci technology and processes for selection have been evaluated by us; we are providing them as-is and without warranty of any kind, including for use or application of the Thermo Fisher Scientific products presented.

          guarantee_icon

          性能保障

          只要您发现Invitrogen抗体在实验中的表现与网站或说明书的所述内容不符,您即可享受免费退换货服务。*

          了解更多
          help_icon

          随时为您服务

          获取常见问题的专家解答,或者直接联系我们的技术专家,咨询应用、设备、常规产品使用问题。

          联系技术支持
          订购 Plus Icon Minus Icon
          • 订单状态查询
          • 订单支持
          • 货号直购
          • 现货供应中心
          • 电子采购
          支持 Plus Icon Minus Icon
          • 帮助&支持
          • 联系我们 - 400 820 8982
          • 技术支持中心
          • 查找文件&证书
          • 报告网站问题
          资源 Plus Icon Minus Icon
          • 学习中心
          • 促销
          • 活动&研讨会
          • 社交媒体
          关于赛默飞 Plus Icon Minus Icon
          • 关于我们
          • 招聘 招聘
          • 投资者关系 投资者关系
          • 新闻 新闻
          • 社会责任 社会责任
          • 商标
          • 政策和通知
          品牌 Plus Icon Minus Icon
          • Thermo Scientific
          • Applied Biosystems
          • Invitrogen
          • Gibco
          • Ion Torrent
          • Unity Lab Services
          • Patheon
          • PPD
          • 服务条款
          • 隐私政策
          • 定价和运输保险政策
          © 2006-2026 Thermo Fisher Scientific Inc. All rights reserved. All trademarks are the property of Thermo Fisher Scientific and its subsidiaries unless otherwise specified.
          China flag icon
          China
          本网站销售的所有产品均不得用于人类或动物之临床诊断或治疗,仅可用于工业或者科研等非医疗目的。
             电子营业执照 | 经营证照公示 | ICP备案号:沪ICP备11003924号 | 沪公网安备 31011502006935号

          Your items have has been added!


          Host server : magellan-search-green-6479c7f679-v472f:80/100.66.78.195:80.
          git-commit: b70c0dceb888abc3b0dcebb5bc3a5b8753e7e816
          git-url: https://github.com/thermofisher/magellan-search
          git-branch: release/2.50.0-Offline