Hamburger Menu Button
Thermo Fisher Scientific Logo
登录
没有账号?建立账号 注册
  • 产品
    • 抗体
    • 引物合成
    • GeneArt Gene Synthesis Instant Designer
    • TaqMan Assay and Array Search
    • PCR 设备和耗材
    • 色谱柱和纯化柱
    • 实验室离心机
    • 分子生物学试剂和试剂盒
    • 实验室塑料耗材及用品
    • 查看所有产品分类
  • 应用和技术
    • 色谱
    • 细胞转染和培养
    • 实时荧光定量PCR
    • 质谱
    • 实验室塑料耗材及用品
    • 电子显微镜
    • 蛋白质生物学
    • PCR
    • RNAi
    • 环境
    • 查看所有应用和技术
  • 服务
    • 定制服务
    • 企业级实验室信息化服务
    • 金融&租赁服务
    • 仪器服务
    • OEM和商业供应
    • 培训服务
    • 360° CDMO 和 CRO 服务
    • CDMO 服务
    • 临床试验 CRO 服务
    • Unity Lab Services
    • 查看所有帮助和支持
  • 帮助和支持
    • 学习中心
    • 联系我们
    • 更改国家或地区
    • 查看所有帮助和支持
  • 热门产品
    • TaqMan Real-Time PCR Assays
      TaqMan 实时荧光定量 PCR 试剂盒
    • Antibodies
      抗体
    • Oligos, Primers & Probes
      寡核苷酸、引物、探针
    • GeneArt Gene Synthesis
      GeneArt 基因合成
    • Cell Culture Plastics
      细胞培养耗材
  • Who We Serve
    • 抗体治疗解决方案
    • 细胞与基因治疗解决方案
    • 学术科研
    • 工业与应用
  • 联系我们
  • 货号直购
  • 订单查询
  • 查找文件&证书
Thermo Fisher Scientific Logo

Search

搜索全部或下列指定分类
Search button
          • 联系我们
          • 货号直购
          • 登录
            登录
            没有账号?建立账号 注册
            • 我的账号
            • 订单
            • 账单及发票查询
            • 定制产品及项目
          • Primary Antibodies ›
          • TERT Antibodies

          AbboMax

          Telomerase Reverse Transcriptase (TERT) Monoclonal Antibody (2C4)

          查看其他19个TERT抗体

          {{$productOrderCtrl.translations['antibody.pdp.commerceCard.promotion.promotions']}}

          {{$productOrderCtrl.translations['antibody.pdp.commerceCard.promotion.viewpromo']}}

          {{$productOrderCtrl.translations['antibody.pdp.commerceCard.promotion.promocode']}}: {{promo.promoCode}} {{promo.promoTitle}} {{promo.promoDescription}}. {{$productOrderCtrl.translations['antibody.pdp.commerceCard.promotion.learnmore']}}

          说明书
          证书
          实验方案
          问题与答案
          技术支持
          说明书
          证书
          实验方案
          问题与答案
          技术支持
          说明书
          证书
          实验方案
          问题与答案
          技术支持

          Cite Telomerase Reverse Transcriptase (TERT) Monoclonal Antibody (2C4)

          Additional Information:
          {{banner.description}}
          {{$ctrl.isSkuNotesCollapsed ? 'View more' : 'View less'}}
          • 抗体检测数据 (1)
          Telomerase Reverse Transcriptase (TERT) Antibody in Immunohistochemistry (Paraffin) (IHC (P))
          Group 53 Created with Sketch.
          Telomerase Reverse Transcriptase (TERT) Antibody in Immunohistochemistry (Paraffin) (IHC (P))
          Group 53 Created with Sketch.

          图: 1 / 1

          {{ $ctrl.currentElement.advancedVerification.fullName }}
          {{ $ctrl.currentElement.advancedVerification.text }}

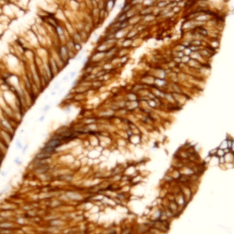
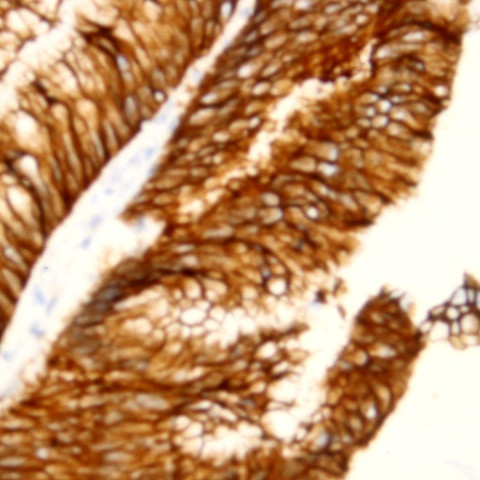
          Telomerase Reverse Transcriptase (TERT) Antibody (606-350) in IHC (P)

          Immunohistochemistry: Human colon carcinoma (FFPE) stained with Mouse anti-TERT (telomerase reverse transcriptase) (Cat# 606-350) at 1:200 for 10 min @ RT. Staining of formalin-fixed tissue requires boiling tissue sections in 10 mM Citrate Buffer, pH 6.0 for 10 min followed by cooling at RT for 20 min. {{ $ctrl.currentElement.advancedVerification.fullName }} 验证信息 View more
          已发表图片由___提供 benchsci-logo
          PMID: {{$ctrl.currentElement.benchSciPubmedId}}
          查看产品

          {{$ctrl.videoDesc}}

          {{$ctrl.videoLongDesc}}

          Telomerase Reverse Transcriptase (TERT) Antibody in Immunohistochemistry (Paraffin) (IHC (P))

          产品信息

          606-350

          应用
          建议稀释比
          已发表文章

          免疫组化(石蜡) (IHC (P))

          2-10 µg/mL
          -
          产品规格

          种属反应

          Human

          宿主/亚型

          Mouse / IgM

          分类

          Monoclonal

          类型

          Antibody

          克隆号

          2C4

          抗原

          A recombinant protein of human TERT

          偶联物

          Unconjugated Unconjugated Unconjugated

          形式

          Liquid

          浓度

          0.5 mg/mL

          规格

          100 µg

          纯化类型

          Antigen affinity chromatography

          保存液

          PBS with proprietary stabilizer

          内含物

          0.01% sodium azide

          保存条件

          Store at 4°C short term. For long term storage, store at -20°C, avoiding freeze/thaw cycles.

          运输条件

          Ambient (domestic); Wet ice (international)

          产品详细信息

          Positive control: HeLa whole cell lysate

          Cellular location: Nucleus.

          靶标信息

          Telomerase is a ribonucleoprotein polymerase that maintains telomere ends by addition of the telomere repeat TTAGGG. The enzyme consists of a protein component with reverse transcriptase activity, encoded by this gene, and an RNA component which serves as a template for the telomere repeat. Telomerase expression plays a role in cellular senescence, as it is normally repressed in postnatal somatic cells resulting in progressive shortening of telomeres. Deregulation of telomerase expression in somatic cells may be involved in oncogenesis. Studies in mouse suggest that telomerase also participates in chromosomal repair, since de novo synthesis of telomere repeats may occur at double-stranded breaks. Alternatively spliced variants encoding different isoforms of telomerase reverse transcriptase (TERT) have been identified; the full-length sequence of some variants has not been determined. Alternative splicing at this locus is thought to be one mechanism of regulation of telomerase activity.

          仅用于科研。不用于诊断过程。未经明确授权不得转售。

          篇参考文献 (0)

          您是否在文献中引用过该产品?请点击下方按钮邮件告知我们。
          引用该产品

          生物信息学

          蛋白别名: HEST2; hTERT; Telomerase catalytic subunit; Telomerase reverse transcriptase; Telomerase-associated protein 2; TP2; unnamed protein product

          查看更多 收起

          基因别名: CMM9; DKCA2; DKCB4; EST2; hEST2; hTRT; PFBMFT1; TCS1; TERT; TP2; TRT

          查看更多 收起

          UniProt ID: (Human) O14746

          查看更多 收起

          Entrez Gene ID: (Human) 7015

          查看更多 收起

          功能
          tRNA binding transcription coactivator binding DNA binding telomerase activity RNA binding RNA-directed DNA polymerase activity RNA-directed RNA polymerase activity protein binding transferase activity nucleotidyltransferase activity DNA polymerase activity telomeric DNA binding identical protein binding protein homodimerization activity metal ion binding chaperone binding telomerase RNA binding template-free RNA nucleotidyltransferase
          参与通路
          telomere maintenance via recombination telomere maintenance transcription, RNA-templated RNA-dependent DNA biosynthetic process protein import into nucleus telomere maintenance via telomerase mitochondrion organization heart development DNA strand elongation positive regulation of Wnt signaling pathway production of siRNA involved in RNA interference regulation of protein stability positive regulation of hair cycle negative regulation of apoptotic process negative regulation of neuron apoptotic process positive regulation of angiogenesis positive regulation of glucose import response to cadmium ion establishment of protein localization to telomere cellular response to hypoxia DNA biosynthetic process replicative senescence siRNA transcription positive regulation of G1/S transition of mitotic cell cycle positive regulation of pri-miRNA transcription from RNA polymerase II promoter positive regulation of transdifferentiation positive regulation of vascular smooth muscle cell proliferation positive regulation of protein localization to nucleolus positive regulation of vascular associated smooth muscle cell migration negative regulation of endothelial cell apoptotic process positive regulation of stem cell proliferation negative regulation of cellular senescence negative regulation of extrinsic apoptotic signaling pathway in absence of ligand
          It has to be done as per old AB suggested Products section.

          Disclaimer

          Close

          Clicking the images or links will redirect you to a website hosted by BenchSci that provides third-party scientific content. Neither the content nor the BenchSci technology and processes for selection have been evaluated by us; we are providing them as-is and without warranty of any kind, including for use or application of the Thermo Fisher Scientific products presented.

          guarantee_icon

          性能保障

          只要您发现Invitrogen抗体在实验中的表现与网站或说明书的所述内容不符,您即可享受免费退换货服务。*

          了解更多
          help_icon

          随时为您服务

          获取常见问题的专家解答,或者直接联系我们的技术专家,咨询应用、设备、常规产品使用问题。

          联系技术支持
          订购 Plus Icon Minus Icon
          • 订单状态查询
          • 订单支持
          • 货号直购
          • 现货供应中心
          • 电子采购
          支持 Plus Icon Minus Icon
          • 帮助&支持
          • 联系我们 - 400 820 8982
          • 技术支持中心
          • 查找文件&证书
          • 报告网站问题
          资源 Plus Icon Minus Icon
          • 学习中心
          • 促销
          • 活动&研讨会
          • 社交媒体
          关于赛默飞 Plus Icon Minus Icon
          • 关于我们
          • 招聘 招聘
          • 投资者关系 投资者关系
          • 新闻 新闻
          • 社会责任 社会责任
          • 商标
          • 政策和通知
          品牌 Plus Icon Minus Icon
          • Thermo Scientific
          • Applied Biosystems
          • Invitrogen
          • Gibco
          • Ion Torrent
          • Unity Lab Services
          • Patheon
          • PPD
          • 服务条款
          • 隐私政策
          • 定价和运输保险政策
          © 2006-2026 Thermo Fisher Scientific Inc. All rights reserved. All trademarks are the property of Thermo Fisher Scientific and its subsidiaries unless otherwise specified.
          China flag icon
          China
          本网站销售的所有产品均不得用于人类或动物之临床诊断或治疗,仅可用于工业或者科研等非医疗目的。
             电子营业执照 | 经营证照公示 | ICP备案号:沪ICP备11003924号 | 沪公网安备 31011502006935号

          Your items have has been added!


          Host server : magellan-search-blue-67655d8755-vzwvz:80/100.66.79.173:80.
          git-commit: dddaa802cd395f65bf1581942d0e97a089c38f41
          git-url: https://github.com/thermofisher/magellan-search
          git-branch: release/2.46.0-Offline