Hamburger Menu Button
Thermo Fisher Scientific Logo
登录
没有账号?建立账号 注册
  • 产品
    • 抗体
    • 引物合成
    • GeneArt Gene Synthesis Instant Designer
    • TaqMan Assay and Array Search
    • PCR 设备和耗材
    • 色谱柱和纯化柱
    • 实验室离心机
    • 分子生物学试剂和试剂盒
    • 实验室塑料耗材及用品
    • 查看所有产品分类
  • 应用和技术
    • 色谱
    • 细胞转染和培养
    • 实时荧光定量PCR
    • 质谱
    • 实验室塑料耗材及用品
    • 电子显微镜
    • 蛋白质生物学
    • PCR
    • RNAi
    • 环境
    • 查看所有应用和技术
  • 服务
    • 定制服务
    • 企业级实验室信息化服务
    • 金融&租赁服务
    • 仪器服务
    • OEM和商业供应
    • 培训服务
    • 360° CDMO 和 CRO 服务
    • CDMO 服务
    • 临床试验 CRO 服务
    • Unity Lab Services
    • 查看所有帮助和支持
  • 帮助和支持
    • 学习中心
    • 联系我们
    • 更改国家或地区
    • 查看所有帮助和支持
  • 热门产品
    • TaqMan Real-Time PCR Assays
      TaqMan 实时荧光定量 PCR 试剂盒
    • Antibodies
      抗体
    • Oligos, Primers & Probes
      寡核苷酸、引物、探针
    • GeneArt Gene Synthesis
      GeneArt 基因合成
    • Cell Culture Plastics
      细胞培养耗材
  • Who We Serve
    • 抗体治疗解决方案
    • 细胞与基因治疗解决方案
    • 学术科研
    • 工业与应用
  • 联系我们
  • 货号直购
  • 订单查询
  • 查找文件&证书
Thermo Fisher Scientific Logo

Search

搜索全部或下列指定分类
Search button
          • 联系我们
          • 货号直购
          • 登录
            登录
            没有账号?建立账号 注册
            • 我的账号
            • 订单
            • 账单及发票查询
            • 定制产品及项目
          • Primary Antibodies ›
          • c-Cbl Antibodies

          Proteintech

          c-Cbl Polyclonal Antibody

          19 篇参考文献
          查看其他46个c-Cbl抗体

          {{$productOrderCtrl.translations['antibody.pdp.commerceCard.promotion.promotions']}}

          {{$productOrderCtrl.translations['antibody.pdp.commerceCard.promotion.viewpromo']}}

          {{$productOrderCtrl.translations['antibody.pdp.commerceCard.promotion.promocode']}}: {{promo.promoCode}} {{promo.promoTitle}} {{promo.promoDescription}}. {{$productOrderCtrl.translations['antibody.pdp.commerceCard.promotion.learnmore']}}

          说明书
          证书
          实验方案
          问题与答案
          技术支持
          说明书
          证书
          实验方案
          问题与答案
          技术支持
          说明书
          证书
          实验方案
          问题与答案
          技术支持

          Cite c-Cbl Polyclonal Antibody

          Additional Information:
          {{banner.description}}
          {{$ctrl.isSkuNotesCollapsed ? 'View more' : 'View less'}}
          • 抗体检测数据 (11)
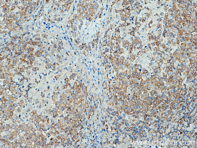
          c-Cbl Antibody in Immunohistochemistry (Paraffin) (IHC (P))
          Group 53 Created with Sketch.
          c-Cbl Antibody in Immunohistochemistry (Paraffin) (IHC (P))
          Group 53 Created with Sketch.

          图: 1 / 11

          {{ $ctrl.currentElement.advancedVerification.fullName }}
          {{ $ctrl.currentElement.advancedVerification.text }}

          c-Cbl Antibody (25818-1-AP) in IHC (P)

          Immunohistochemical analysis of paraffin-embedded human lymphoma tissue slide using (Product # 25818-1-AP) (c-Cbl antibody) at dilution of 1:1,000 (under 10x lens). Heat mediated antigen retrieval with Tris-EDTA buffer (pH 9.0). {{ $ctrl.currentElement.advancedVerification.fullName }} 验证信息 View more
          已发表图片由___提供 benchsci-logo
          PMID: {{$ctrl.currentElement.benchSciPubmedId}}
          查看产品

          {{$ctrl.videoDesc}}

          {{$ctrl.videoLongDesc}}

          c-Cbl Antibody in Immunohistochemistry (Paraffin) (IHC (P))
          c-Cbl Antibody in Immunohistochemistry (Paraffin) (IHC (P))
          c-Cbl Antibody in Western Blot (WB)
          c-Cbl Antibody in Western Blot (WB)
          c-Cbl Antibody in Western Blot (WB)
          c-Cbl Antibody in Western Blot (WB)
          c-Cbl Antibody in Western Blot (WB)
          c-Cbl Antibody in Western Blot (WB)
          c-Cbl Antibody in Immunoprecipitation (IP)
          c-Cbl Antibody in Immunoprecipitation (IP)
          c-Cbl Antibody in Immunoprecipitation (IP)
          c-Cbl Polyclonal Antibody

          产品信息

          25818-1-AP

          应用
          建议稀释比
          已发表文章

          免疫印迹 (WB)

          1:5,000-1:50,000
          查看11篇已发表文章 11篇已发表文章

          免疫组化(石蜡) (IHC (P))

          1:1,000
          -

          免疫细胞化学 (ICC/IF)

          Assay-dependent
          查看3篇已发表文章 3篇已发表文章

          免疫沉淀 (IP)

          0.5-4.0 µg
          查看5篇已发表文章 5篇已发表文章
          产品规格

          种属反应

          Human, Mouse

          已发表种属

          Human, Mouse

          宿主/亚型

          Rabbit / IgG

          分类

          Polyclonal

          类型

          Antibody

          抗原

          c-Cbl Fusion Protein Ag23033 (578-906 aa encoded by BC132733)
          3D表位/免疫原

          偶联物

          Unconjugated Unconjugated Unconjugated

          形式

          Liquid

          浓度

          0.29 mg/mL

          规格

          43.5 µg

          纯化类型

          Antigen affinity chromatography

          保存液

          PBS, pH 7.3, with 50% glycerol

          内含物

          0.02% sodium azide

          保存条件

          -20°C

          运输条件

          Wet ice (domestic); Dry ice (international)

          产品详细信息

          Immunogen sequence: LPPVPSSRL GDSWLPRPIP KVPVSAPSSS DPWTGRELTN RHSLPFSLPS QMEPRPDVPR LGSTFSLDTS MSMNSSPLVG PECDHPKIKP SSSANAIYSL AARPLPVPKL PPGEQCEGEE DTEYMTPSSR PLRPLDTSQS SRACDCDQQI DSCTYEAMYN IQSQAPSITE SSTFGEGNLA AAHANTGPEE SENEDDGYDV PKPPVPAVLA RRTLSDISNA SSSFGWLSLD GDPTTNVTEG SQVPERPPKP FPRRINSERK AGSCQQGSGP AASAATASPQ LSSEIENLMS QGYSYQDIQK ALVIAQNNIE MAKNILREFV SISSPAHVAT (578-906 aa encoded by BC132733)

          靶标信息

          Cbl proteins are a family of ubiquitin protein ligases (E3s) that negatively regulate signaling by targeting activated tyrosine kinases for degradation. Cbl- c is the most recently cloned member of the Cbl proteins and is expressed only in epithelial cells (the other Cbl proteins are ubiquitously expressed). Cbl-c, like the other mammalian Cbl proteins, can ubiquitinate the activated EGFR and target it for degradation. Through interactions with proteins containing SRC homology-2 (SH2) and SH3 domains, CBL proteins modulate downstream cell signaling.

          仅用于科研。不用于诊断过程。未经明确授权不得转售。

          生物信息学

          蛋白别名: c-cbl; Cas-Br-M (murine) ecotropic retroviral transforming sequence; Casitas B-lineage lymphoma proto-oncogene; Cbl proto-oncogene, E3 ubiquitin protein ligase; CBL-3; CBLC; E3 ubiquitin-protein ligase CBL; fragile site, folic acid type, rare, fra(11)(q23.3); oncogene CBL2; Proto-oncogene c-Cbl; RING finger protein 55; RING-type E3 ubiquitin transferase CBL; RNF57; Signal transduction protein CBL

          查看更多 收起

          基因别名: 4732447J05Rik; C-CBL; CBL; Cbl-2; CBL2; FRA11B; NSLL; RNF55

          查看更多 收起

          UniProt ID: (Human) P22681, (Mouse) P22682

          查看更多 收起

          Entrez Gene ID: (Human) 867, (Mouse) 12402

          查看更多 收起

          功能
          phosphotyrosine binding ubiquitin-protein transferase activity calcium ion binding protein binding zinc ion binding transferase activity SH3 domain binding protein kinase binding receptor tyrosine kinase binding phosphatidylinositol 3-kinase regulatory subunit binding cadherin binding metal ion binding ephrin receptor binding ubiquitin protein ligase activity protein tyrosine kinase binding signal transducer activity UDP-N-acetylmuramoylalanyl-D-glutamyl-2,6-diaminopimelate-D-alanyl-D-alanine ligase activity ligase activity ribosomal S6-glutamic acid ligase activity coenzyme F420-0 gamma-glutamyl ligase activity coenzyme F420-2 alpha-glutamyl ligase activity protein-glycine ligase activity protein-glycine ligase activity, initiating protein-glycine ligase activity, elongating tubulin-glycine ligase activity protein-glutamic acid ligase activity tubulin-glutamic acid ligase activity ligase metabolite interconversion enzyme
          参与通路
          protein polyubiquitination ubiquitin-dependent protein catabolic process protein monoubiquitination cellular response to DNA damage stimulus signal transduction cell surface receptor signaling pathway male gonad development response to gamma radiation response to activity protein ubiquitination cytokine-mediated signaling pathway regulation of signaling regulation of Rap protein signal transduction response to testosterone cellular response to platelet-derived growth factor stimulus negative regulation of epidermal growth factor receptor signaling pathway response to starvation negative regulation of apoptotic process mast cell degranulation response to ethanol positive regulation of epidermal growth factor receptor signaling pathway viral entry into host cell positive regulation of receptor-mediated endocytosis protein autoubiquitination positive regulation of protein kinase B signaling ubiquitin-dependent endocytosis cellular response to hypoxia regulation of intracellular signal transduction cellular response to nerve growth factor stimulus regulation of platelet-derived growth factor receptor-alpha signaling pathway positive regulation of phosphatidylinositol 3-kinase signaling
          It has to be done as per old AB suggested Products section.

          Disclaimer

          Close

          Clicking the images or links will redirect you to a website hosted by BenchSci that provides third-party scientific content. Neither the content nor the BenchSci technology and processes for selection have been evaluated by us; we are providing them as-is and without warranty of any kind, including for use or application of the Thermo Fisher Scientific products presented.

          guarantee_icon

          性能保障

          只要您发现Invitrogen抗体在实验中的表现与网站或说明书的所述内容不符,您即可享受免费退换货服务。*

          了解更多
          help_icon

          随时为您服务

          获取常见问题的专家解答,或者直接联系我们的技术专家,咨询应用、设备、常规产品使用问题。

          联系技术支持
          订购 Plus Icon Minus Icon
          • 订单状态查询
          • 订单支持
          • 货号直购
          • 现货供应中心
          • 电子采购
          支持 Plus Icon Minus Icon
          • 帮助&支持
          • 联系我们 - 400 820 8982
          • 技术支持中心
          • 查找文件&证书
          • 报告网站问题
          资源 Plus Icon Minus Icon
          • 学习中心
          • 促销
          • 活动&研讨会
          • 社交媒体
          关于赛默飞 Plus Icon Minus Icon
          • 关于我们
          • 招聘 招聘
          • 投资者关系 投资者关系
          • 新闻 新闻
          • 社会责任 社会责任
          • 商标
          • 政策和通知
          品牌 Plus Icon Minus Icon
          • Thermo Scientific
          • Applied Biosystems
          • Invitrogen
          • Gibco
          • Ion Torrent
          • Unity Lab Services
          • Patheon
          • PPD
          • 服务条款
          • 隐私政策
          • 定价和运输保险政策
          © 2006-2026 Thermo Fisher Scientific Inc. All rights reserved. All trademarks are the property of Thermo Fisher Scientific and its subsidiaries unless otherwise specified.
          China flag icon
          China
          本网站销售的所有产品均不得用于人类或动物之临床诊断或治疗,仅可用于工业或者科研等非医疗目的。
             电子营业执照 | 经营证照公示 | ICP备案号:沪ICP备11003924号 | 沪公网安备 31011502006935号

          Your items have has been added!


          Host server : magellan-search-blue-744bc48644-454p7:80/100.66.72.101:80.
          git-commit: 747bde55a712f6f97bf7760408d445eefba4e16f
          git-url: https://github.com/thermofisher/magellan-search
          git-branch: release/2.48.0-Offline