Search
Search
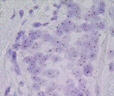
原位杂交 (ISH) 是用于定位固定组织和细胞中特定核酸靶标的强大技术,能够获得与基因表达和遗传位点相关的时间和空间信息。 虽然ISH的基本工作流程与印迹杂交近似,即核酸探针被合成、标记、纯化和特异性靶标退火,但其不同之处在于前者可通过可视化显示组织内的结果来获得更多信息。 如今有两种基本方法来实现可视化显示原位RNA和DNA靶标,即荧光 (FISH) 和显色 (CISH) 检测。 每种检测方法本身的特点(见下表)使得FISH和CISH适用于截然不同的应用。 虽然两种方法均使用标记的、与样本杂交的靶标特异性探针,但每种方法用于可视化显示样本的仪器不同。 这里我们将强调每种方法的不同之处和各自的优势。
查看所有产品
| 技术 | 仪器/可视化方法 | 主要优势 | 主要应用 |
|---|---|---|---|
| CISH | 明视野显微法 | 能够同时查看 CISH 信号和组织形态学 | 分子病理学诊断 |
| DNA-FISH | 荧光显微法 | 多重复用:在同一样本中直观显示多个靶标 | 基因存在、拷贝数和位置;突变分析 |
| RNA-FISH | 荧光显微法、HCS和流式细胞分析 | 多重复用:在同一样本中直观显示多个靶标 | 基因表达、RNA的时间和空间定位 |
显色原位杂交 (CISH) 能让您利用组织学实验室中已经存在的方法在组织形态学背景下获取遗传信息。 我们提供用于CISH分析的CISH DNA探针和关键试剂。
多重荧光原位杂交 (FISH) 能让您利用单一样本同时检测多个靶标并直观显示共定位情况。 使用不同光谱的荧光基团标记每种不同的杂交探针,这种方法能让您在单一样本中解析多种遗传成分或多基因表达模式,并提供多色直观显示。
Invitrogen™ ViewRNA™和PrimeFlow™检测是使用分支DNA信号扩增 (bDNA) 来检测特异性信号的直接荧光RNA ISH方法。 使用独立但兼容的信号扩增系统让RNA靶标的多重复用成为可能。 荧光RNA原位杂交检测分为四个主要步骤:样本制备、靶标杂交、信号扩增以及检测。 该方法可实现更高的特异性,更低的背景值和更高的信噪比。


