Search
Search

TALEN 和 CRISPR 验证工具 |
强大的基因编辑系统有望在细胞、组织或体内产生特定的基因突变,以用于治疗应用,这仍然是基因编辑研究行业的一个驱动因素。
无论是进行 TALEN 还是 CRISPR 实验,所有基因组编辑策略均需要验证计划来评估预期基因编辑结果的准确度和可靠性,降低非特异性 DNA 编辑的风险。应在基因编辑工作流程中每个步骤(从评估细胞健康状态到靶向表达)进行 TALEN 和 CRISPR 验证。
选择工作流程的具体阶段,查看推荐的验证技术。
切割检测、测序、免疫印迹和 PCR 是确认 CRISPR 编辑的有效技术。
可通过高内涵筛选和细胞培养研究验证表型。TEG-Seq 是一种细胞内方法,用于检测基因编辑后可能产生的脱靶切割事件。
切割检测、测序、免疫印迹和 PCR 是确认 CRISPR 编辑的有效技术。
可通过高内涵筛选和细胞培养研究验证表型。TEG-Seq 是一种细胞内方法,用于检测基因编辑后可能产生的脱靶切割事件。
Invitrogen GeneArt 基因组切割检测 (GCD) 试剂盒 是一种 T7 核酸内切酶检测试剂盒,旨在快速、可靠地确认 CRISPR 或 TALEN 插入、缺失或基因调控。从细胞收获到获得定量结果,手动操作时间缩短,只需 4 小时即可完成基因组编辑事件的分析。
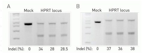
图 1.CRISPR-Cas9 介导的切割效率。适用于 HPRT 基因位点的 Invitrogen GeneArt 基因组切割检测试剂盒的切割检测凝胶成像。(A) 使用表达 HPRT 特异性 CRISPR RNA 的 GeneArt CRISPR 核酸酶 OFP 载体得到的实验结果。(B) 使用表达 HPRT 特异性 CRISPR RNA 的 GeneArt CRISPR 核酸酶 CD4 载体得到的实验结果。HeLa 细胞转染后,进行三重切割检测并计算插入缺失的百分比。
任何基因编辑验证策略的成功都与有适当的阳性、阴性和递送对照相关。在设计从初步设计到验证所有基因编辑工作的基因编辑实验时,请参阅赛默飞世尔科技提供的完整 CRISPR 对照系列。
尽管 GeneArt 基因组切割检测 (GCD) 试验快速且便宜,但必须对其结果进行进一步的分析,以确保仅引入需要的突变。这可以通过 DNA 测序来完成。
Sanger 测序是 TALEN 和 CRISPR 实验的关键验证工具,因为其用于靶向测序的成本较低,工作流程简单,数据分析不复杂。
Sanger 测序可用于测定核酸酶切割的效率。在下列实验中,使用 SeqScanner 2 软件 对处理细胞的裂解物进行测序。结果显示发生编辑的序列是混合序列 (图 2A)。然后通过 Tracking of Indels by Decomposition (TIDE, Brinkman, EK et al.(2014)) 软件分析结果。可使用 Thermo Fisher Connect 上的 SeqScreener Gene Edit Confirmation App 测定靶向突变谱和频率。
图 2.使用 Sanger 测序测定编辑效率。(A) 使用 SeqScanner 2 软件分析在人 HPRT 基因位点发生基因组编辑事件的混合 HEK293 细胞群。记录编辑的位置,用红色箭头表示。(B) 使用 TIDE 软件分析序列轨迹。显示了预计存在 -1、-2、-3 等缺失的细胞分数,以及总体的预测编辑效率。
提示: 测定核酸酶切割效率的另一种方法是将来自处理细胞的扩增子亚克隆至质粒中,并对具体细菌亚克隆中的插入片段进行 Sanger 测序。计算成功编辑的亚克隆数量可以衡量编辑反应的效率,并可目视观察编辑产生的序列类型。
下载应用指南:使用 Sanger 测序加快 CRISPR 和 TALEN 介导的基因组编辑工作流程NGS 是一种强大的高通量工具,适用于 TALEN 和 CRISPR 分析。该方法可对所有 TALEN 和 CRISPR 靶向突变同时进行定性和定量筛选。NGS 可以同时分析许多样品,准确测定哪些细胞含有需要的 TALEN 或 CRISPR 靶向突变。此外,还可以使用 TALEN 和 CRISPR NGS 分析对多个样品进行脱靶效应评估。
基因编辑工作流程中的每个步骤都必须保持细胞的活力和健康。活力、细胞凋亡或应激响应的测试应该是一个常规过程,不仅是验证有效基因修饰的必要步骤,而且是确定最佳实验条件的必要步骤。
荧光基团表达和抗生素抗性是两种广泛使用的检测转染效率和靶向表达的技术。
免疫细胞化学是确定细胞中特定蛋白质的标准方法。荧光成像利用一个抗 Cas9 一抗和一个已标记二抗可逐个细胞检测 Cas9 表达。
抗生素选择、基因表达和免疫细胞化学检测常用于监测细胞中基因编辑引发的 CRISPR 组分的组装。荧光蛋白表达可直接检测,且当抗生素选择用于鉴定转染细胞时,细胞存活率检测可用于监测选择过程。
图 4.使用 Countess II FL自动细胞计数仪检测 GFP 的表达。在 MOI 为 1 和 2 时,使用 Invitrogen LentiArray Positive Ctrl gRNA (HPRT-GFP) 和 Invitrogen LentiArray Negative Ctrl gRNA (Scrambled-GFP) 转导表达 Cas9 蛋白的 U2OS 细胞。两天后,在 Countess II FL 自动细胞计数仪上进行细胞计数并检测 GFP 的表达。检测结果显示 GFP 阳性细胞百分比,并指出表达 GFP 和嘌呤霉素抗性基因的转导细胞百分比(2A 和 2B)。
图 6.使用流式细胞仪检测 293T 细胞中转染效率。Invitrogen GeneArt CRISPR 核酸酶载体(配备 OFP 报告试剂盒) 使用橙色荧光蛋白 (OFP) 表达来标记转染细胞。使用 Attune NxT 流式细胞仪检测 293T 细胞中的转染效率,数据显示转染样品中有 >90% 的 OFP 阳性细胞。
免疫印迹是一种广泛用于检测和测定被分析样品中是否存在特定蛋白质的技术。在 CRISPR 实验中,通过免疫印迹测定转染效率以及检测表达。
在图 7 中,通过免疫印迹比较使用不同 CRISPR 形式转染的细胞中的 Cas9 表达。如 图 8 所示, 还可以通过免疫印迹对细胞群中的表型改变进行定量测定。
图 7.免疫印迹检测质粒 DNA、mRNA 和蛋白转染细胞中 Cas9 随时间的累积情况。Cas9 质粒 DNA、mRNA 或蛋白质转染 HEK293FT 细胞。在指定时间收集细胞进行免疫印迹分析。采用 NuPAGE 4–12% Bis-Tris 凝胶分离细胞裂解物中的蛋白质,然后使用 iBlot 2 凝胶转移设备将该蛋白质转移至 PVDF 膜,再用按 1:3,000 的比例稀释的小鼠单克隆 Cas9 抗体和按 1:2,000 的比例稀释的兔抗小鼠 HRP 偶联的二抗 孵育。该膜使用 Pierce ECL 底物显影。(Liang et. al., Journal of Biotechnology, 208, 44–53.)
图 8.CRISPR 编辑的 Hap1 细胞经氯喹处理后会累积 LC3B。 使用定量显微镜检查或免疫印迹法检测 LC3B。
可将靶区的 PCR 扩增与凝胶电泳、限制性内切酶消化、Sanger 测序或 NGS 结合使用,进行 TALEN 和 CRISPR 验证。 此外,还可使用实时 PCR 验证细胞中的基因表达水平。
高内涵成像平台具有卓越的高内涵筛选 (HCS) 性能,具备单细胞分析能力和闪电般快速的数据处理能力。这些自动显微荧光成像和分析平台可检测蛋白表达、区室化和细胞形态的变化;并可对所有这些参数进行精确定量。HCS 能在细胞单层到细胞球上对完整细胞、固定细胞或活细胞进行无偏倚的自发表型分析。
图 9.使用 HCS 自动定量分析自噬。使用 Thermo Scientific CellInsight CX7 平台对 CRISPR 编辑的 HAP1 细胞进行 LC3B 颗粒的识别和计数。用 HCS NuclearMask Blue、HCS CellMask Deep Red 和抗 LC3B 抗体以及 Alexa Fluor 647 山羊抗兔抗体标记细胞。使用 Thermo Scientific HCS Studio 3.0 自动分析识别核(蓝色叠加)细胞周围(绿轮廓)并定量分析 LC3B 颗粒(荧光图像和柱状图中红色叠加)。
调控任何细胞信号通路都会带来近端和远端风险。追踪靶蛋白和监测其对细胞健康和行为的其他方面很重要。高内涵筛选 (HCS) 特别适用于这种多参数研究,Invitrogen 试剂提供各种处理细胞健康和行为的工具。
图 10.使用 Thermo Scientific CellInsight CX5 平台快速分析各种细胞健康参数。采用 CellInsight CX5 HCS 平台分析野生型和 CRISPR 编辑的 Hap1 细胞:(A) 使用 CellEvent Caspase-3/7 绿色检测试剂检测凋亡;(B) 使用 Invitrogen CellROX 试剂检测氧化应激;(C) 使用 Invitrogen LysoTracker 试剂检测蛋白质降解;以及 (D) 使用 Invitrogen Click-iT OPP 检测试剂盒检测蛋白质合成。
有关定制 TALEN 设计和验证的更多信息, 请访问 TALEN 设计到验证服务。
仅供科研使用,不可用于诊断目的。









