Search
Search
Molecular Probes fluorescent nucleic acid gel stains—SYBR Gold, SYBR Green I, SYBR Green II and SYBR Safe dyes—are high-sensitivity reagents for staining DNA and RNA in electrophoretic gels.
These gel stains provide greater sensitivity with lower background fluorescence than the conventional ethidium bromide gel stain. In addition, SYBR Safe DNA gel stain showed very low mutagenic activity when tested by an independent, licensed testing laboratory, and it is not classified as hazardous waste or as a pollutant under U.S. Federal regulations.
SYBR Gold nucleic acid gel stain (S11494) is our most sensitive stain for detecting DNA or RNA in gels using a standard 300 nm UV transilluminator and Polaroid 667 black-and-white print film. Although SYBR Green I and SYBR Green II gel stains are preferred for specific applications, several characteristics of SYBR Gold stain represent a further improvement over our SYBR Green I and SYBR Green II gel stains for routine gel analysis. SYBR Gold nucleic acid gel stain provides:
- Maximum sensitivity. Upon binding to nucleic acids, SYBR Gold stain exhibits a >1000-fold fluorescence enhancement and a quantum yield of ~0.6.
By comparison, ethidium bromide exhibits <30-fold fluorescence enhancement upon binding nucleic acids
and a quantum yield of ~0.15.
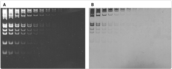
Because of its superior fluorescence characteristics, SYBR Gold stain is greater than 10-fold more sensitive than ethidium bromide for detecting DNA and RNA in gels using a 300 nm UV transilluminator and black-and-white photography (Figure 8.4.1). We routinely detect as little as 25 pg of dsDNA or 1 ng of RNA per band using a 300 nm UV transilluminator or a blue-light transilluminator—sensitivity levels even higher than those of silver staining.
For detecting glyoxalated RNA with 300 nm transillumination, SYBR Gold stain is 25–100 times more sensitive than ethidium bromide (Figure 8.4.2) and thus represents a significant advance for protocols requiring sensitive RNA detection. SYBR Gold stain has also proven to be more sensitive than SYBR Green II RNA gel stain for detecting single-strand conformation polymorphism (SSCP) products.
- Rapid gel penetration. Staining gels with SYBR Gold stain after electrophoresis followed by gel photography provides the optimal sensitivity. SYBR Gold stain penetrates agarose gels faster and stains thick and high-percentage gels better than other post-electrophoresis stains.
- Versatility. SYBR Gold stain is a universal nucleic acid gel stain that provides high detection sensitivity for dsDNA, ssDNA and RNA detection in many gel types, including high-percentage agarose, glyoxal/agarose, formaldehyde/agarose, native polyacrylamide– and urea–polyacrylamide gels. No wash step is required in order to achieve maximal sensitivities.
- Ease of use. As a result of the low intrinsic fluorescence of the unbound dye, gel staining with SYBR Gold dye shows extremely low background fluorescence and does not require a destaining step, even when staining agarose/formaldehyde gels. After incubating the gel in SYBR Gold staining solution for 10–40 minutes (depending on the thickness and percentage of the agarose or polyacrylamide gel) the golden-yellow–fluorescent DNA or RNA bands are ready to be photographed.
- Compatibility with other molecular biology techniques. The presence of unbound SYBR Gold dye in stained gels at standard staining concentrations does not interfere with restriction endonuclease or ligase activity or with subsequent PCR reactions. SYBR Gold nucleic acid staining is compatible with both northern and Southern blotting—the stain transfers with the DNA or RNA to the blot and is washed off during incubation in the prehybridization mix.
SYBR Gold stain is also easily removed from dsDNA by simple ethanol precipitation, leaving templates ready for subsequent manipulation or analysis.
- Instrument compatibility. Because the nucleic acid–bound SYBR Gold dye exhibits excitation maxima at both ~495 nm and ~300 nm (the emission maximum is ~537 nm) (Figure 8.4.3), it is compatible with a wide variety of instrumentation, ranging from UV epi- and transilluminators and blue-light transilluminators, to mercury-arc lamp– and argon-ion laser–based gel scanners. Short-wavelength (254 nm) epi-illumination is not required to obtain high sensitivity with SYBR Gold stain. For optimal sensitivity with black-and-white print film and UV illumination, SYBR Gold dye–stained gels should be photographed through a SYBR photographic filter (S7569, see below).
SYBR Gold dye should prove invaluable in applications such as agarose/formaldehyde gel electrophoresis prior to northern blot analysis, denaturing gradient gel electrophoresis (DGGE) and single-strand conformation polymorphism (SSCP) studies (
), as well as routine gel analysis. The high signals of the dye–DNA complex and the remarkable photostability observed with 300 nm transilluminators will make it easier to cut out low-abundance bands for subsequent manipulation, including subcloning, bandshift assays or other dsDNA template–based reactions. SYBR Gold nucleic acid stain is useful for methylation-sensitive single-strand conformation analysis
(MS-SSCA). It is also reportedly more sensitive and easier to use than silver staining in the telomeric repeat amplification protocol
(TRAP). In the electrophoretic analysis of DNA forms in liposomes, the dye showed 40-fold greater sensitivity and more consistent staining between different isoforms of DNA compared with ethidium bromide.
In addition, it has been used to monitor the formation of crosslinked peptide–DNA complexes.![]()
Each 500 µL vial of SYBR Gold nucleic acid gel stain (S11494) contains sufficient reagent to stain at least 100 agarose or polyacrylamide minigels. SYBR Gold nucleic acid stain is accompanied by detailed instructions for use of the dye in staining nucleic acids (SYBR Gold Nucleic Acid Gel Stain). Answers to frequently asked questions about all our SYBR dyes are available in a separate information sheet (SYBR Nucleic Acid Gel Stains—Useful Tips).
Figure 8.4.2 Comparison of glyoxylated RNA stained with ethidium bromide and with SYBR Gold nucleic acid gel stain (S11494). Identical twofold dilutions of glyoxylated Escherichia coli 16S and 23S ribosomal RNA were separated on 1% agarose minigels using standard methods and stained for 30 minutes with SYBR Gold stain in TBE buffer (A) or 0.5 µg/mL ethidium bromide in 0.1 M ammonium acetate (B). Both gels were subjected to 300 nm transillumination and photographed using Polaroid 667 black-and-white print film and a SYBR photographic filter (S7569, A) or an ethidium bromide photographic filter (B)
Figure 8.4.3 Fluorescence excitation and emission spectra of SYBR Gold nucleic acid gel stain (S11494) bound to double-stranded DNA.
SYBR Green I nucleic acid gel stain
(S7563, S7567, S7585) is an extremely sensitive fluorescent stain for detecting nucleic acids in agarose and polyacrylamide gels (
). As with SYBR Gold stain, this remarkable sensitivity can be attributed to a combination of unique dye characteristics. SYBR Green I stain exhibits exceptional affinity for DNA and a large fluorescence enhancement upon binding to DNA—at least an order of magnitude greater than that of ethidium bromide when detected by photography. Also, the fluorescence quantum yield of the SYBR Green I dye–DNA complex (~0.8) is over five times greater than that of the ethidium complex of DNA (~0.15). Furthermore, SYBR Green I stain has been shown to be significantly less mutagenic than EtBr by Ames testing.
SYBR Green I stain is somewhat less sensitive than our SYBR Gold stain, but has some important characteristics that make it the preferred reagent for certain applications:
Like SYBR Gold stain, SYBR Green I dye is very easy to use—the staining procedure can be completed in 10–40 minutes (somewhat longer for thicker gels), with no destaining step required prior to photography. Presence of typical staining concentrations of SYBR Green I dye does not significantly inhibit the ability of several restriction endonucleases to cleave DNA.
This property makes staining with SYBR Green I dye compatible with in-gel subcloning protocols.
SYBR Green I stain is also easily removed from dsDNA by simple ethanol precipitation. For optimal sensitivity with black-and-white print film and UV illumination, gels stained with SYBR Green dye should be photographed through a SYBR photographic filter (S7569); a CCD camera also provides good detection sensitivity.
The ultrasensitivity of SYBR Green I dye makes it useful for detecting the products of DNA and RNA amplification reactions by gel electrophoresis,
restriction mapping small amounts of DNA and detecting the products of bandshift
and nuclease-protection assays. PCR amplification products that are at the limit of detection using ethidium bromide are easily detected using SYBR Green I dye. Reverse-transcription PCR (RT-PCR) reaction products have been detected with high sensitivity following gel electrophoresis and staining with SYBR Green I dye, allowing the cycle number to be lowered, which reduces heteroduplex formation during amplification.
SYBR Green I stain was used to detect RT-PCR products amplified from B cells,
Xenopus laevis embryos
and smooth muscle cells.
Using a laser scanner and SYBR Green I stain, researchers have developed a high-throughput RT-PCR DNA profiling assay in multiwell agarose gels.
SYBR Green I dye was used to stain DNA in high-resolution gels capable of resolving 100–200 base-pair DNA fragments and differing by as few as two base pairs.
Use of SYBR Green I stain also eliminates the need to label PCR products with radioisotopes in a kinetic PCR assay.
The high chemical stability of SYBR Green I nucleic acid stain and the dye's selective sensitivity for detecting double-stranded products made in the presence of single-stranded oligonucleotide primers make SYBR Green I stain the preferred dye for real-time quantitative analysis of PCR products in a solution assay (Nucleic Acid Quantitation in Solution—Section 8.3).
In other gel-based techniques, SYBR Green I nucleic acid gel stain has enabled researchers to eliminate silver staining and radioactivity from their protocols. SYBR Green I dye staining was shown to be as sensitive as silver staining—as well as being more rapid, less laborious and less expensive—in a nonradioactive method for detecting hypervariable simple sequence repeats in electrophoretic gels.
SYBR Green I dye staining has replaced conventional silver staining techniques for routine identity testing in some forensics laboratories. In addition, SYBR Green I stain is as sensitive as silver staining, but less expensive, for detecting STR (short tandem repeat) polymorphisms,
and mitochondrial DNA deletions.![]()
Likewise, in a gel assay for detection of telomerase activity (telomeric repeat amplification protocol or TRAP) in human cells and tumors, SYBR Green I dye staining was found to be more sensitive than silver staining and gave results comparable to those achieved with a radioisotope-based TRAP assay.
Moreover, unlike silver stains, SYBR Green I stain does not label proteins carried over from the reaction mixture. SYBR Green I dye staining has also been shown to be as sensitive as 3H-labeled thymidine for detecting double-strand breaks in mammalian cells.
It may be possible to further increase the sensitivity of some of these reported applications of SYBR Green I stain by using SYBR Gold nucleic acid gel stain (see above).
Each milliliter of our concentrated SYBR Green I nucleic acid gel stain (S7563, S7567, S7585) contains sufficient reagent to stain at least 100 agarose or polyacrylamide minigels. Reuse of the staining solution can significantly increase the number of gels stained per vial. In some applications, such as preparative agarose gel electrophoresis, the amount of SYBR Green I dye used per gel can be significantly reduced if the dye is added directly to the loading buffer. However, because the dye affects DNA mobility and dissociates from the smaller DNA fragments during electrophoresis, this method should not be used for size determination or for DNA fragments less than ~100 base pairs in length.![]()
Figure 8.4.5 Comparison of single-stranded oligonucleotide detection using SYBR Green I nucleic acid gel stain and ethidium bromide. Identical threefold dilutions of a synthetic, single-stranded 24-mer were electrophoresed on 10% polyacrylamide gels. Gels were stained for 30 minutes with a 1:10,000 dilution of SYBR Green I nucleic acid gel stain (S7563, S7567, S7585) and not destained (A and B), or with 5 µg/mL ethidium bromide for 30 minutes and destained for a further 30 minutes in water (C). Gel staining was visualized using 254 nm epi-illumination (A) or 300 nm transillumination (B and C), and then photographed using Polaroid 667 black-and-white print film and a SYBR photographic filter (S7569, A and B) or an ethidium bromide gel stain photographic filter (C)
SYBR Green II RNA gel stain (S7564, S7568, S7586) is a highly sensitive dye for detecting RNA or ssDNA in agarose or polyacrylamide gels (Figure 8.4.7,
). Some outstanding features of SYBR Green II RNA gel stain include its high binding affinity for RNA and its large fluorescence enhancement and exceptionally high quantum yield upon binding to RNA. Although it is not a specific stain for RNA, SYBR Green II dye exhibits a larger fluorescence quantum yield when bound to RNA (~0.54) than to dsDNA (~0.36). This property is unusual among nucleic acid stains; most show far greater quantum yields and fluorescence enhancements when bound to double-stranded nucleic acids. Moreover, the fluorescence quantum yield of the SYBR Green II complex of RNA is over seven times greater than that of the ethidium bromide–RNA complex
(~0.07). The affinity of SYBR Green II RNA gel stain for RNA is also higher than that of ethidium bromide, and its fluorescence enhancement upon binding to RNA is well over an order of magnitude greater. Like SYBR Green I stain, our SYBR Green II stain gives the greatest sensitivity on 254 nm transillumination or laser scanners. However, the best sensitivity for RNA detection using 300 nm transillumination is achieved with SYBR Gold dye (see above). Other important properties of SYBR Green II RNA gel stain include:
SYBR Green II RNA gel stain facilitates the detection of viroid RNAs and other multicopy cellular RNA species. This gel stain has been used to visualize the migration behavior of 5S rRNA species after electrophoresis through a denaturing gradient gel, a method that was used to discriminate among different acidophile species in a mixed culture.
SYBR Green II RNA gel stain should also improve the analysis of small aliquots from an RNA preparation, leaving the researcher with more material to carry out the primary experiment, be it northern blotting, start-site mapping or cDNA preparation.
In addition to its use for detecting RNA, SYBR Green II RNA gel stain is useful for single-strand conformation polymorphism (SSCP) analysis,
which demands extremely sensitive detection techniques.
Many of the nonradioisotopic SSCP methods currently in use, such as silver staining or chemiluminescence-mediated signal amplification, require long, complex procedures.
An SSCP assay using precast polyacrylamide minigels and SYBR Green II stain not only provides the precise temperature control required for the assay,
but it is more rapid and less labor-intensive than assays that use silver staining for detection.
In another report, SYBR Green II RNA gel stain was used to detect Ki-ras mutants by SSCP analysis and was reported to yield 10-fold better sensitivity than standard silver-staining techniques.
SYBR Green II stain is compatible with amplification by PCR; after SSCP analysis, SYBR Green II dye–stained bands can be excised out of the gel and used in cycle-sequencing.
SYBR Green II nucleic acid stain also provides high-sensitivity staining for rRNA separated by high-resolution denaturing gradient electrophoresis (DGGE), making it possible to discriminate between closely related species of bacteria.![]()
Figure 8.4.7 Comparison of RNA detection in nondenaturing gels using SYBR Green II RNA gel stain and ethidium bromide. Identical twofold dilutions of Escherichia coli ribosomal RNA were electrophoresed on 1% agarose gels using Tris-borate buffer. Gels were stained for 20 minutes with a 1:10,000 dilution of SYBR Green II RNA gel stain (S7564, S7568, S7586) and not destained (A and B), or with 5 µg/mL ethidium bromide for 20 minutes and destained for a further 20 minutes in water (C). Gel staining was visualized using 254 nm epi-illumination (A) or 300 nm transillumination (B and C), and then photographed using Polaroid 667 black-and-white print film and a SYBR photographic filter (S7569, A and B) or an ethidium bromide gel stain photographic filter (C).
In addition to providing SYBR Green nucleic acid gel stains packaged as 500 µL or 1 mL stock solutions in DMSO (S7563, S7564, S7567, S7568), we make both SYBR Green I and SYBR Green II available as a set of 20 individual vials, each containing 50 µL of the DMSO stock solution (S7585, S7586). This convenient packaging makes it easy to supply members of the laboratory with an aliquot of stock solution, or to share stock with other laboratories. Special packaging also minimizes potential losses due to contamination, spills and light exposure. Each milliliter of the concentrated gel stain provides sufficient reagent to prepare 10 liters of a staining solution. Although best results are obtained with freshly diluted dye, properly prepared staining solution can be stored for up to a week, if kept refrigerated and protected from light, and can be reused 2–3 times with little loss of signal. SYBR Green nucleic acid stains are accompanied by detailed instructions for their use in staining gels (SYBR Green I Nucleic Acid Gel Stain, SYBR Green II RNA Gel Stain); answers to frequently asked questions about all SYBR dyes are available in a separate information sheet (SYBR Nucleic Acid Gel Stains—Useful Tips).
Our SYBR Green Nucleic Acid Gel Stain Starter Kit (S7580) is designed for laboratories that want to sample these products. The kit includes single 50 µL vials of both SYBR Green I and SYBR Green II stains and a SYBR gel stain photographic filter, along with complete directions for their use.
SYBR Safe DNA gel stain (S33100, S33101, S33102, S33111, S33112) provides sensitive DNA detection with significantly reduced mutagenicity, making it safer than ethidium bromide for staining DNA in agarose or acrylamide gels. Not only is SYBR Safe stain less mutagenic than ethidium bromide, but the detection sensitivity of SYBR Safe gel stain is comparable to that of ethidium bromide and 400 times greater than that of colorimetric stains for detecting DNA in electrophoretic gels. SYBR Safe stain is provided as a premixed solution that can directly replace ethidium bromide in standard protocols; SYBR Safe stain can either be cast into the gel or be used as a post-electrophoresis stain. DNA bands stained with SYBR Safe DNA gel stain can be detected using a standard UV transilluminator, a visible-light transilluminator or a laser scanner. SYBR Safe stain is also suitable for detecting RNA in gels. Bound to nucleic acids, SYBR Safe stain has fluorescence excitation maxima at 280 nm and 502 nm, and an emission maximum at 530 nm (Figure 8.4.8). SYBR Safe DNA gel stain offers:
Furthermore, we have demonstrated a vast improvement in cloning efficiency with DNA fragments isolated from agarose gels using SYBR Safe stain and blue light versus the same DNA fragments isolated using ethidium bromide and UV light. In the experiment, a 1.25 kilobase gene was amplified by PCR. Seven equal amounts of the PCR product were electrophoresed on duplicate agarose gels; one gel was visualized with SYBR Safe stain and blue-light illumination, while the other gel was visualized with ethidium bromide and UV illumination. Bands were excised after defined exposure times, then purified using the Invitrogen PureLink Gel Extraction Kit. The purified product was then used in a Gateway BxP cloning reaction. A portion of each reaction product was transformed into OneShot TOP10 chemically competent bacteria; three serial dilutions were plated, and colonies were counted using an Alpha Innotech imaging system. The results showed an 80% reduction in transformation efficiency after only 30 seconds of exposure to ethidium bromide and UV light; after only 2 minutes of exposure, the number of transformants was nearly zero. In contrast, the transformation efficiency attained using SYBR Safe stain and blue light remained at virtually 100% of the control value throughout the entire 16-minute time course of the experiment.
SYBR Safe DNA gel stain is supplied ready-to-use in two different sizes and in two different buffers. The 1 L unit size in 0.5X TBE or 1X TAE (S33100, S33111) provides sufficient reagent to stain ~20 minigels; the 4 L unit size in 0.5X TBE or 1X TAE (S33101, S33112) provides sufficient reagent to stain ~80 minigels and is supplied in a cube-shaped container with a removable spigot. We also offer a 400 µL unit size of 10,000X concentrate in DMSO (S33102). SYBR Safe DNA Gel Stain Starter Kit (S33110) is a convenient packaging of the 1 L unit size of SYBR Safe stain in 0.5X TBE plus one SYBR Safe photographic filter (S37100).
Ethidium bromide (EtBr, 15585-011) is the most commonly used dye for DNA and RNA detection in gels.
It binds to single-, double- and triple-stranded DNA.
Ethidium bromide has also been used to detect protein–DNA complex formation in bandshift assays
and to observe single DNA molecules undergoing gel electrophoresis.
We offer a 10 mg/mL aqueous solution of ethidium bromide (15585-011), which can be used as provided or diluted to the desired concentration.
Although SYBR dyes are now the preferred gel stains, at least six of the monomeric cyanine dyes—TO-PRO-1, YO-PRO-1, BO-PRO-1, PO-PRO-1, JO-PRO-1 and LO-PRO-1 (Nucleic Acid Stains—Section 8.1, Cell membrane–impermeant cyanine nucleic acid stains—Table 8.2)—are also sensitive reagents for staining gels after electrophoresis and are compatible with UV trans- or epi-illumination or with laser-excited gel scanners. Their range of absorption maxima may make them superior to SYBR dyes when using some lasers as excitation sources. We have determined that the limit of detection of dsDNA with some of these dyes is about 60 pg/band, using 254 nm epi-illumination and Polaroid 667 black-and-white print film photography.
Our TO-PRO-3 dye (T3605) can detect less than 0.1 ng/band DNA in an ultrathin-layer agarose gel–based electrophoretogram when excited by an inexpensive 640 nm red diode laser.
Preloading of the gel buffer with the TO-PRO-3 dye has been recommended for this application when analyzing migrating allele-specific PCR fragments.![]()
The extraordinary stability of the nucleic acid complexes formed with our dimeric cyanine dyes or ethidium homodimers
(Cell membrane–impermeant cyanine nucleic acid stains—Table 8.2) allows the dye–DNA association to remain stable during electrophoresis. Thus, samples can be prestained with subsaturating nanomolar dye concentrations before electrophoresis
(
), thereby reducing the hazards inherent in handling large volumes of ethidium bromide staining solutions.
The fluorescence intensities of both the EthD-1–DNA and TOTO-1–DNA complexes are directly proportional to the amount of DNA in a band; however, TOTO-1 dye staining has less effect on the electrophoretic mobility of DNA fragments than does EthD-1. Furthermore, unlike EthD-1–labeled DNA, in which up to two-thirds of the bound dye can be transferred to excess unlabeled DNA, the extent of transfer of TOTO-1 dye to unlabeled DNA is reported to be only about 15–20%, even when the TOTO-1–DNA complexes are incubated for up to 10 hours with a 100-fold excess of uncomplexed dsDNA.
This property is valuable for multiplexed electrophoretic separations,
especially because our cyanine nucleic acid stains are available in so many visually distinct colors. If two DNA populations are stained with spectrally distinct cyanine dimer dyes and run in the same lane, simultaneous two-color detection can potentially eliminate errors caused by lane-to-lane variations in electrophoretic mobility. Binding of the TOTO-1 dye (T3600), YOYO-1 dye (Y3601) and ethidium homodimer-1 (E1169) to DNA initially results in inhomogeneous binding that yields double bands in DNA gel electrophoresis.
These double bands can be avoided by incubating complexes for times long enough to allow binding to come to equilibrium or by heating samples to 50°C for at least two hours. Binding of our other dimeric nucleic acid stains (Cell membrane–impermeant cyanine nucleic acid stains—Table 8.2) to DNA does not seem to give this problem.
An extremely sensitive confocal laser–based gel scanner has been exploited in multiplexed electrophoretic separations to detect as little as four picograms per band of TOTO-1 dye– and YOYO-1 dye–stained dsDNA;
although sophisticated equipment is required for achieving these low detection limits, such equipment is not essential for detecting somewhat larger quantities of these nucleic acid–dye complexes. TOTO-1 dye has been used to label DNA prior to electrophoresis in order to detect cystic fibrosis mutant alleles with a laser-excited fluorescence gel scanner,
as well as to detect DNA amplification products on agarose gels with standard UV transillumination.
TOTO-1 dye has also been used to label nine DNA fragments of the dystrophin gene that were simultaneously generated using the polymerase chain reaction.
The resolution obtained by gel electrophoresis of these labeled fragments compared favorably to that observed using fluorophore-labeled primers. TOTO-3 and POPO-1 dyes (T3604, P3580; Nucleic Acid Stains—Section 8.1) have been similarly used to analyze DNA with a xenon lamp–based luminescence analyzer.![]()
Ethidium homodimer-1 (EthD-1, E1169) has been used for fluorescence detection of 30–60 picograms DNA per band on polyacrylamide gels using a confocal laser–based scanning system.
Ethidium homodimer-2 (EthD-2, E3599), which has a higher affinity for nucleic acids than does ethidium homodimer-1, may also be useful for this application.
The Electrophoretic Mobility-Shift Assay (EMSA) Kit (E33075) provides a fast and quantitative fluorescence-based method to detect both nucleic acids and proteins in the same gel (
), doubling the information that can be obtained from bandshift assays.
This kit uses two fluorescent dyes for detection—SYBR Green EMSA nucleic acid gel stain for RNA or DNA and SYPRO Ruby EMSA protein gel stain for proteins. Because the nucleic acids and proteins are stained in the gel after electrophoresis, there is no need to prelabel the DNA or RNA with a radioisotope, biotin or a fluorescent dye before the binding reaction, and therefore there is no possibility that the label will interfere with protein binding. Staining takes only about 20 minutes for the nucleic acid stain, and about 4 hours for the subsequent protein stain, yielding results much faster than radioisotope labeling (which may require multiple exposure times) or chemiluminescence-based detection (which requires blotting and multiple incubation steps).
This kit also makes it possible to perform ratiometric measurements of nucleic acid and protein in the same band, providing more detailed information on the binding interaction. The signals from the two stains are linear over a broad range, allowing accurate determination of the amount of nucleic acid and protein, even in a single band, with detection limits of ~1 ng for nucleic acids and ~20 ng for proteins. Both stains can be detected using a standard 300 nm UV illuminator, a 254 nm epi-illuminator or a laser scanner (
). Digital images can easily be overlaid for a two-color representation of nucleic acid and protein in the gel. The EMSA Kit contains sufficient reagents for 10 nondenaturing polyacrylamide minigel assays, including:
- SYBR Green EMSA nucleic acid gel stain
- SYPRO Ruby EMSA protein gel stain
- Trichloroacetic acid, for preparing the working solution of SYPRO Ruby EMSA protein gel stain
- Concentrated EMSA gel-loading solution
- Concentrated binding buffer
- Detailed protocols (Electrophoretic Mobility Shift Assay (EMSA) Kit)
DAPI (D1306, D3571, D21490; Nucleic Acid Stains—Section 8.1) reportedly provides a significantly more sensitive means of detecting dsDNA in agarose gels than ethidium bromide.
Selective detection of dsDNA in the presence of dsRNA in gels with DAPI has been reported.
Likewise, the Hoechst 33258 and Hoechst 33342 dyes (Nucleic Acid Stains—Section 8.1) have been used to detect DNA in the presence of RNA in agarose gels.
DNA conformational changes during gel electrophoresis have been investigated with acridine orange
(A1301, A3568; Nucleic Acid Stains—Section 8.1).
The Safe Imager 2.0 blue-light transilluminator (G6600) is a blue-light transilluminator designed for viewing stained gels on the laboratory bench top. Light from the LED source inside the transilluminator passes through a blue filter, producing light with a narrow emission peak centered at approximately 470 nm. This 470 nm transillumination is effective for the excitation of the SYBR Safe DNA gel stain, as well as many of our other nucleic acid and protein stains such as the SYBR Gold, SYBR Green I and SYBR Green II nucleic acid stains and the SYPRO Ruby, SYPRO Orange, Coomassie Fluor Orange and Pro-Q Diamond protein stains. Sensitivity obtained using this instrument is comparable to that obtained with a standard UV transilluminator. Unlike UV transilluminators, however, the Safe Imager blue-light transilluminator does not produce UV light and therefore does not require UV-protective equipment during use. Moreover, as compared to UV transillumination, blue-light transillumination results in dramatically increased cloning efficiencies.
The Safe Imager 2.0 blue-light transilluminator is supplied with viewing glasses (S37103), amber filter (G6601) and an international power cord (G6602), each of which is also available separately. The Safe Imager viewing glasses allow the user to visualize gel bands on the Safe Imager transilluminator without the use of the Safe Imager amber filter, thereby facilitating band excision.
We offer a number of fluorescent reagents for staining nucleic acids and proteins in gels and on blots. Preeminent among these stains are our SYBR Gold, SYBR Green and SYBR Safe nucleic acid gel stains (Nucleic Acid Detection on Gels, Blots and Arrays—Section 8.4) and our SYPRO protein stains for gels and blots (Protein Detection on Gels, Blots and Arrays—Section 9.3). To achieve optimal sensitivity with these exceptional fluorescent dyes, it is essential to photograph the gel or blot because the camera's integrating capability can make bands visible that are not detected by eye. Photographs should be taken using a photographic filter with spectral properties closely matched to those of the fluorescent dye used. We offer 75 mm × 75 mm gelatin filters (Figure 8.4.9) optimized for photographing stained gels or blots with a Polaroid camera and Polaroid 667 black-and-white print film. Note that these gelatin filters are generally not suitable for use with portable or stationary gel-documentation systems or with CCD cameras.
![]() | Figure 8.4.9 Molecular Probes 75 mm × 75 mm gelatin photographic filters for use with Polaroid black-and-white print film photography. |
To achieve optimal sensitivity using Polaroid 667 black-and-white print film and UV illumination, DNA or RNA gels stained with SYBR Gold, SYBR Green I and SYBR Green II nucleic acid gel stains should be photographed through the SYBR photographic filter (S7569, Figure 8.4.10).
![]() | Figure 8.4.10 Transmission profile of the SYBR photographic filter (S7569). |
The SYBR Safe photographic filter (S37100) is ideal for black-and-white photography of gels stained with the SYBR Safe DNA gel stain. Note that the SYBR Safe photographic filter is identical to the SYPRO photographic filter (Figure 8.4.11).
Capillary gel electrophoresis (CGE) performs separations of nucleic acids in a manner analogous to standard slab-gel electrophoresis, but with the advantages of faster run times, higher resolution and greater sensitivity. The use of on-line detection by laser-induced fluorescence (LIF) increases the sensitivity by several orders of magnitude over UV detection, eliminates the time spent staining and photographing the gel and allows for the possibility of automated sample processing. CGE-LIF is widely used for the separation and identification of DNA fragments and has increased the efficiency of DNA typing and forensics analyses.
Researchers are using several of our high-sensitivity nucleic acid stains with CGE for resolving similar-length DNA fragments.![]()
In CGE applications, the nucleic acid stain can be chosen to match available laser excitation sources;
furthermore, multiple dyes can be used to prestain samples, which can then be used for multiplexed capillary electrophoresis.![]()
- SYBR Green I nucleic acid gel stain exhibits a large linear detection range and high resolution of DNA fragments from 100 to 1000 base pairs in length. A clinically applicable high-throughput screen was developed using SYBR Green I stain to detect mutations in the methylenetetrahydrofolate reductase gene.
- SYBR Gold stain has sufficient sensitivity to detect electrophoretically separated nucleic acids from single cells.
- Quant-iT OliGreen ssDNA reagent (O7582, O11492; Nucleic Acid Quantitation in Solution—Section 8.3) has been employed to detect short single-stranded oligonucleotides using CGE with laser-induced fluorescence detection; formation of the fluorescent oligonucleotide complexes is accomplished on the column.
- Both TOTO-1 dye (T3600) and ethidium bromide (E1305, E3565) have been used with capillary array electrophoresis for high-speed, high-throughput parallel separation of DNA fragments.
- YOYO-1 dye (Y3601) has been used with CGE to quantitate DNA complexes in polymerase chain reaction (PCR) mixtures.
- Hepatitis B viral fragments have been detected by incorporation of submicromolar concentrations of either POPO-3 dye (P3584) or ethidium homodimer-2 (E3599) in the detection buffer.
Sensitivity was as great as 3.9 × 10-16 M (390 attomolar) and increased with fragment length.
- YO-PRO-1 dye (Y3603) has been used to develop a more rapid screening technique for identifying hypervariable regions in mitochondrial DNA. RFLP fragments were generated after PCR amplification and detected in CGE-LIF.
Automated CGE-LIF with the YO-PRO-1 dye made it possible to replace time-consuming slab gel methods of analyzing variable number of tandem repeats (VNTR) in DNA typing labs.
YO-PRO-3 dye (T3605) has proven useful for identifying single-sequence-repeat polymorphisms with high accuracy, using as little as 80 zeptomoles of sample DNA.
- CGE using ethidium bromide, SYBR Green I or SYBR Gold stain has been used in single-nucleotide polymorphism (SNP) analysis, making it possible to analyze as many as 96 samples in parallel.
- CGE-LIF has been used for short tandem repeat (STR) genotyping using nucleic acids stained by an on-column labeling technique with either TO-PRO-1, YO-PRO-1, TOTO-1 or YOYO-1.
- YO-PRO-1 dye and ethidium bromide have both been used in heteroduplex analysis (HDA) by CGE.
- The use of CGE-LIF with the YO-PRO-1 dye makes it possible to accurately quantitate RNA transcripts from competitive RT-PCR.
CGE-LIF with the YO-PRO-1 dye can also detect fragmented DNA from apoptotic cells, making it possible to use 1000–2000-fold fewer cells than are needed for ladder detection on conventional slab gels.
- Using POPO-3 dye (P3584) or ethidium homodimer-2, researchers have been able to detect as little as 3.9 × 10-13 M duck hepatitis B virus.
As an alternative to using nucleic acid stains for CGE, amine- or thiol-derivatized oligonucleotides can be chemically derivatized pre- or post-separation with many of the dyes described in Fluorophores and Their Amine-Reactive Derivatives—Chapter 1 and Thiol-Reactive Probes—Chapter 2. The thiol-reactive Alexa Fluor, BODIPY, fluorescein and Oregon Green dyes are particularly suitable for labeling thiolated oligonucleotides and for applications that use ultrasensitive laser-scanning techniques.
Several papers have been published on the separation of fluorescent oligonucleotides by capillary electrophoresis.![]()
Similar in concept to capillary electrophoresis, channel electrophoresis on microchips has the potential to provide even higher throughput by using completely automated nucleic acid analysis. Our intensely fluorescent nucleic acid dyes make sensitive on-line detection possible. SYBR Green I dye was used to detect amplified DNA on a nanoliter device that mixes DNA samples, amplifies DNA fragments and separates the products in a channel for on-line detection.
TO-PRO-1 dye (T3602) was used to detect DNA fragments from bacterial DNA that had been extracted, amplified and separated in channels on the same microchip.
YOYO-1 dye (Y3601) has been used to detect as little as a few zeptomoles (10-21 mole) of DNA fragments on a chip device,
and YO-PRO-1 dye (Y3603) made it possible to distinguish triplet repeat DNA fragments in a 6 mm channel in only 12 seconds.
A novel radial microchip device simultaneously separates 96 DNA samples prestained with YOYO-1 dye.
The TO-PRO-3 dye has been used to detect DNA in a polycarbonate channel electrophoresis device.
Fluorescence-based sequencing using dye-labeled primers (see above) in capillary electrophoresis chips allowed sequencing of ~200 bases in as little as 10 minutes.![]()
Whether using northern blots, macroarrays on membranes or microarrays on glass slides, it is important to normalize the signal to the amount of nucleic acid on the solid support. Differences in purification, loading and transfer may create differences in RNA levels on blots and, even with sophisticated robotics, direct spotting techniques for creating arrays of nucleic acids on solid supports vary widely in reproducibility (Figure 8.4.12, Figure 8.4.13). A method to qualitatively determine the amount of nucleic acid on a support is desirable for quality control purposes. Quantitative data that can be used for signal normalization is even more useful, making it possible to validate perceived changes in RNA expression between samples, despite differences in the nucleic acid levels on the solid support. Often, hybridization of a "constitutively expressed" RNA sequence is used for normalization on northern blots. However, it is sometimes discovered that the level of such RNA sequences is not constant through changing physiological states of a cell or tissue. Direct measurement of the levels of nucleic acid spotted on the slide provides a reliable method for normalization and can also be used to assess the amount of nucleic acid remaining on a support after stripping off a probe and before reusing the blot or array.
In addition to providing a means of normalizing hybridization signals, staining denatured DNA or RNA directly on filter membranes after blotting protocols provides for more accurate comparison of the sample to molecular weight markers and eliminates guesswork about transfer efficiency. However, direct staining on blotting membranes has not been widely used because the most common methods for detecting denatured DNA or RNA—ethidium bromide
or methylene blue staining—give rise to high background fluorescence. Silver staining or gold staining followed by silver enhancement provides 10- to 100-fold better sensitivity than ethidium bromide but is expensive, time-consuming and tedious. Also, because of the affinity of gold for sulfur, only agarose gels containing less than 0.1% sulfate are suitable for use with gold staining; higher amounts of sulfate invariably result in unacceptably high background signals.

Figure 8.4.12 DNA microarrays stained with nucleic acid stains for quality control. DNA microarrays were stained with dilutions of SYBR Green II dye (green; S7568, S7564, S7586), POPO-3 dye (orange, P3584) or SYTO 59 dye (magenta, S11341) in aqueous buffer. The microarrays were imaged on a ScanArray 5000XL microarray scanner (PerkinElmer LAS, Inc.) using the appropriate lasers and filters. Staining reveals the variable amounts of DNA spotted onto the different microarrays.

Figure 8.4.13 Panomer 9 oligodeoxynucleotides for quality control of microarray spotting. Three microarrays were made using three different spotting protocols. Each microarray was then hybridized to a Panomer 9 oligonucleotide, conjugated with either the Alexa Fluor 488 dye (top) or the Alexa Fluor 546 dye (middle and bottom), washed and imaged using a ScanArray 5000XL microarray scanner (PerkinElmer LAS, Inc.). One representative spot from each slide was selected for comparison purposes. The spots were analyzed using Metamorph software (Universal Imaging, Inc.), and the data is presented as a three-dimensional graph with high-intensity areas as peaks and low-intensity areas as valleys. For further clarification, the graphs are color coded so that the highest intensity areas are red and the lowest intensity areas are blue. The comparison shows that the Panomer 9 oligodeoxynucleotides are ideal for microanalysis of spot morphology on DNA microarrays.
The simplest technique for comparing the amounts of DNA spotted onto arrays is to use a fluorescent nucleic acid stain. Molecular Probes nucleic acid stains exhibit a strong fluorescence signal when bound to nucleic acids, providing an easy and effective method for measuring the amount of nucleic acids on solid supports (Figure 8.4.12). Nucleic acid stains that have been used effectively for microarrays include:
Other dyes in these families (Nucleic Acid Stains—Section 8.1) should also prove useful in this application. When staining nucleic acids on solid supports with nucleic acid stains, it is important to choose a dye that matches the light sources and filter sets available in the image analysis system or the array reader. For example, the POPO-3 dye has a maximum fluorescence excitation at 534 nm and a maximum fluorescence emission at 570 nm, which is compatible with filter sets for the Alexa Fluor 546 dye, Alexa Fluor 555 dye or Cy3 dyes. In one case in which POPO-3 staining was used to determine the number of spots on the microarray that contained PCR products, 1281 of 9216 spots did not display a significant POPO-3 signal due to poor growth of the bacterial clones, failure of the PCR amplification or improper printing of the spots due to irregularities on the array.
When testing dyes to use for normalization of signals, it is important to carefully test several dilutions of the dye to determine the one that gives the best linear response over the range of DNA in the spot. It is also important to determine any effects of the dye on subsequent hybridization.
Fluorescently labeled random-sequence oligonucleotides—such as the Panomer 9 random oligodeoxynucleotides—provide an alternative method for assessing the level of nucleic acids immobilized on solid supports:
This method assays the capability of spotted DNA to hybridize, making it possible to determine if hybridization efficiency varies across the array
(Figure 8.4.14). These nine-base, random-sequence Panomer oligodeoxynucleotides are covalently labeled on the 5'-end with a fluorescent dye. The variety of available fluorescent dyes makes it possible to use any fluorescence channel of interest and to compare relative signal intensities per spot in several different channels (Figure 8.4.15). It is also possible to use Panomer 9 oligodeoxynucleotides for quality control of spotting techniques or to assay the stability of DNA spots after the array is subjected to washing, boiling, hybridization or other conditions (Figure 8.4.14).
![]() | Figure 8.4.14 DNA microarray hybridized to Panomer 9 random oligodeoxynucleotides. A DNA microarray slide was hybridized sequentially with one of three different Panomer 9 random oligodeoxynucleotides at room temperature for two minutes. After each hybridization, the slide was washed first in 2X SSC and 0.2% SDS and then in 1X SSC. After drying, the slide was imaged on a ScanArray 5000XL microarray reader (PerkinElmer LAS, Inc.), using appropriate lasers and filter sets. After imaging, the Panomer 9 oligodeoxynucleotide was stripped from the microarray by incubation in deionized water for one minute at room temperature and the microarray was hybridized to another Panomer 9 oligodeoxynucleotide. From left to right, the images show the array hybridized to Panomer 9 oligodeoxynucleotides labeled with Alexa Fluor 488 dye (P21680), Alexa Fluor 546 dye (P21681) and Alexa Fluor 647 dye (P21686). Each image has been pseudocolored to indicate the different dyes. The hybridization results reveal the variable amounts of DNA spotted onto this microarray. |
![]() | Figure 8.4.15 Microarray spotted with Panomer 9 random oligodeoxynucleotides labeled with Alexa Fluor 546 dye (P21681) and Alexa Fluor 647 dye (P21686). Equal amounts of two Panomer 9 random oligodeoxyribonucleotides were spotted directly onto microscope slides and the fluorescence documented using two different channels of a ScanArray 5000XL microarray reader (PerkinElmer LAS, Inc.). The Alexa Fluor 546 Panomer 9 random oligodeoxyribonucleotide signal (left panel) was completely separated from the Alexa Fluor 647 Panomer 9 random oligodeoxyribonucleotide signal (right panel). |
For Research Use Only. Not for human or animal therapeutic or diagnostic use.
仅供科研使用,不可用于诊断目的。







