Ion Channel Antibodies & Immunoassays - Antibodies

  • All Primary Antibodies
1 - 5 of 5 Products

Phospho-NMDAR2B (Tyr1252) Polyclonal Antibody

Phospho-NMDAR2B (Tyr1252) Polyclonal Antibody for Western Blot, IHC

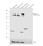
NMDAR2A Polyclonal Antibody

This antibody recognizes the 180 kDa 2A subunit from rat, mouse and human, and does not cross-react with the 2B or 2C subunits. Storage and reconstitution: when stored at -20°C or below, the lyophilized antibody should retain full activity for over one year. Reconstitute using 50 μL PBS, pH 7.

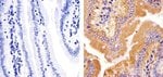
JPH1 Polyclonal Antibody

JPH1 Polyclonal Antibody for IHC (F), IHC (P), Western Blot

JPH2 Polyclonal Antibody

JPH2 Polyclonal Antibody for IHC (F), IHC (P), Western Blot

NMDAR2B Polyclonal Antibody

This antibody is specific for the ~180 kDa 2B subunit from rat, mouse and human. Storage and reconstitution: when stored at -20ºC or below, the lyophilized antibody should retain full activity for over one year. Reconstitute using 50 μL PBS, pH 7.4, to yield a 0.2 mg/mL solution.
spinner