6 Apr 2022

Slice by Slice Thinning

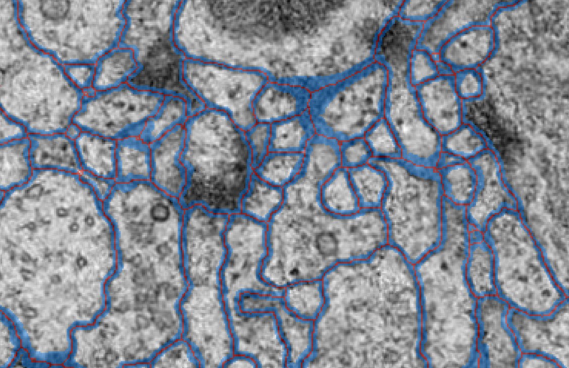
This module performs the thinning of a binary image slice-by-slice.

3-16-2022 11-53-19 AM

In this module, the Zhang-Suen thinning algorithm is applied to a binary image, slice-by-slice, until only a string of connected voxels remains.

If you are interested in using this module in the ISP workroom or within Avizo2d, please contact us.

Download a version compatible with Amira-Avizo 2022.1 HERE, 2022.2 HERE, 2023.1 HERE, 2023.2 HERE, 2024.1 HERE.

Data courtesy of Albert Cardona (Cardona A, et al. 2010. An Integrated Micro- and Macroarchitectural Analysis of the Drosophila Brain by Computer-Assisted Serial Section Electron Microscopy. PLoS Biol 8(10): e1000502. doi:10.1371/journal.pbio.1000502.)