Hamburger Menu Button
Thermo Fisher Scientific Logo
登录
没有账号?建立账号 注册
  • 产品
    • 抗体
    • 引物合成
    • GeneArt Gene Synthesis Instant Designer
    • TaqMan Assay and Array Search
    • PCR 设备和耗材
    • 色谱柱和纯化柱
    • 实验室离心机
    • 分子生物学试剂和试剂盒
    • 实验室塑料耗材及用品
    • 查看所有产品分类
  • 应用和技术
    • 色谱
    • 细胞转染和培养
    • 实时荧光定量PCR
    • 质谱
    • 实验室塑料耗材及用品
    • 电子显微镜
    • 蛋白质生物学
    • PCR
    • RNAi
    • 环境
    • 查看所有应用和技术
  • 服务
    • 定制服务
    • 企业级实验室信息化服务
    • 金融&租赁服务
    • 仪器服务
    • OEM和商业供应
    • 培训服务
    • 360° CDMO 和 CRO 服务
    • CDMO 服务
    • 临床试验 CRO 服务
    • Unity Lab Services
    • 查看所有帮助和支持
  • 帮助和支持
    • 学习中心
    • 联系我们
    • 更改国家或地区
    • 查看所有帮助和支持
  • 热门产品
    • TaqMan Real-Time PCR Assays
      TaqMan 实时荧光定量 PCR 试剂盒
    • Antibodies
      抗体
    • Oligos, Primers & Probes
      寡核苷酸、引物、探针
    • GeneArt Gene Synthesis
      GeneArt 基因合成
    • Cell Culture Plastics
      细胞培养耗材
  • Who We Serve
    • 抗体治疗解决方案
    • 细胞与基因治疗解决方案
    • 学术科研
    • 工业与应用
  • 联系我们
  • 货号直购
  • 订单查询
  • 查找文件&证书
Thermo Fisher Scientific Logo

Search

搜索全部或下列指定分类
Search button
          • 联系我们
          • 货号直购
          • 登录
            登录
            没有账号?建立账号 注册
            • 我的账号
            • 订单
            • 会员中心
            • 账单及发票查询
            • 定制产品及项目
          • Primary Antibodies ›
          • CCR1 Antibodies

          Invitrogen

          CCR1 Polyclonal Antibody

          4个已发表图片
          10 篇参考文献
          查看其他24个CCR1抗体

          {{$productOrderCtrl.translations['antibody.pdp.commerceCard.promotion.promotions']}}

          {{$productOrderCtrl.translations['antibody.pdp.commerceCard.promotion.viewpromo']}}

          {{$productOrderCtrl.translations['antibody.pdp.commerceCard.promotion.promocode']}}: {{promo.promoCode}} {{promo.promoTitle}} {{promo.promoDescription}}. {{$productOrderCtrl.translations['antibody.pdp.commerceCard.promotion.learnmore']}}

          说明书
          证书
          实验方案
          问题与答案
          技术支持
          说明书
          证书
          实验方案
          问题与答案
          技术支持
          说明书
          证书
          实验方案
          问题与答案
          技术支持

          Cite CCR1 Polyclonal Antibody

          Additional Information:
          {{banner.description}}
          {{$ctrl.isSkuNotesCollapsed ? 'View more' : 'View less'}}
          • 抗体检测数据 (7)
          • 已发表图片 (4)
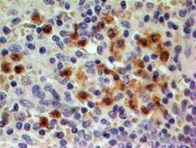
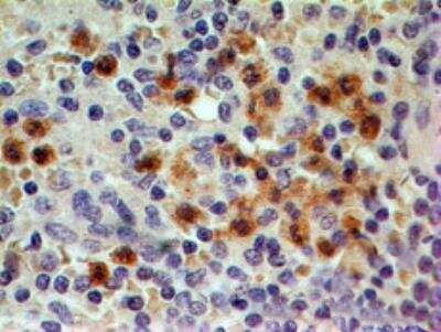
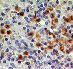
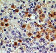
          CCR1 Antibody in Immunohistochemistry (Paraffin) (IHC (P))
          Group 53 Created with Sketch.
          CCR1 Antibody in Immunohistochemistry (Paraffin) (IHC (P))
          Group 53 Created with Sketch.

          图: 1 / 11

          {{ $ctrl.currentElement.advancedVerification.fullName }}
          {{ $ctrl.currentElement.advancedVerification.text }}

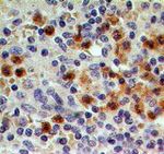
          CCR1 Antibody (PA1-41062) in IHC (P)

          Immunohistochemistry analysis of CCR1 in normal human spleen tissue. Samples were incubated with CCR1 polyclonal antibody (Product # PA1-41062) using a dilution of 5 µg/mL. Peroxidase-conjugate and DAB chromogen. Note granulocyte staining. {{ $ctrl.currentElement.advancedVerification.fullName }} 验证信息 View more
          已发表图片由___提供 benchsci-logo
          PMID: {{$ctrl.currentElement.benchSciPubmedId}}
          查看产品

          {{$ctrl.videoDesc}}

          {{$ctrl.videoLongDesc}}

          CCR1 Antibody in Immunohistochemistry (Paraffin) (IHC (P))
          CCR1 Antibody in Immunohistochemistry (Paraffin) (IHC (P))
          CCR1 Antibody in Western Blot (WB)
          CCR1 Antibody in Western Blot (WB)
          CCR1 Antibody in Flow Cytometry (Flow)
          CCR1 Antibody in Flow Cytometry (Flow)
          CCR1 Antibody in Flow Cytometry (Flow)
          CCR1 Antibody in Western Blot, Immunohistochemistry (WB, IHC)
          CCR1 Antibody in Western Blot (WB)
          CCR1 Antibody in Western Blot (WB)
          CCR1 Antibody in Flow Cytometry (Flow)

          产品信息

          PA1-41062

          应用
          建议稀释比
          已发表文章

          免疫印迹 (WB)

          1-3 µg/mL
          查看4篇已发表文章 4篇已发表文章

          免疫组化 (IHC)

          -
          查看1篇已发表文章 1篇已发表文章

          免疫组化(石蜡) (IHC (P))

          1:200
          -

          免疫细胞化学 (ICC/IF)

          1 µg/mL
          查看1篇已发表文章 1篇已发表文章

          流式细胞分析 (Flow)

          5-10 µL/test
          查看3篇已发表文章 3篇已发表文章

          免疫沉淀 (IP)

          -
          查看1篇已发表文章 1篇已发表文章
          产品规格

          种属反应

          Human, Mouse, Rabbit

          已发表种属

          Human, Mouse

          宿主/亚型

          Rabbit / IgG

          分类

          Polyclonal

          类型

          Antibody

          抗原

          Synthetic peptide of human CCR1 protein.

          偶联物

          Unconjugated Unconjugated Unconjugated

          形式

          Liquid

          浓度

          1 mg/mL

          规格

          100 µg

          纯化类型

          Antigen affinity chromatography

          保存液

          PBS

          内含物

          0.02% sodium azide

          保存条件

          Store at 4°C short term. For long term storage, store at -20°C, avoiding freeze/thaw cycles.

          运输条件

          Ambient (domestic); Wet ice (international)

          RRID

          AB_2074018

          产品详细信息

          Suggested positive control: A375, antigen standard for CCR1 (transient overexpression lysate).

          靶标信息

          Chemokines play important roles in inflammation and are critical for the recruitment of effector immune cells to sites of infection. Chemokines activate leukocytes by binding to G protein coupled receptors. The ever-growing chemokine receptor subtypes can be divided into 2 major groups, CXCR and CCR, based on the 2 major classes of chemokines. One of the CCR receptors, CCR1, is expressed on neutrophils, monocytes, lymphocytes, and eosinophils and binds the leukocyte chemoattractant and hemopoiesis regulator macrophage-inflammatory protein (MIP-1 ), eotaxin, as well as several other related chemokines. Mice lacking the chemokine receptor CCR1 have defects in neutrophil trafficking and proliferation.

          仅用于科研。不用于诊断过程。未经明确授权不得转售。

          生物信息学

          蛋白别名: C-C chemokine receptor type 1; C-C CKR-1; CC-CKR-1; CCR-1; CD191; chemokine (C-C motif) receptor 1; chemokine (C-C) receptor 1; chemokine receptor; HM145; LD78 receptor; Macrophage inflammatory protein 1-alpha receptor; MIP-1 alpha R; MIP-1 alphaR; MIP-1alpha-R; RANTES receptor; RANTES-R

          查看更多 收起

          基因别名: CCR1; CD191; CKR-1; CKR1; CMKBR1; CMKR1; HM145; Mip-1a-R; MIP1aR; SCYAR1

          查看更多 收起

          UniProt ID: (Human) P32246, (Mouse) P51675

          查看更多 收起

          Entrez Gene ID: (Human) 1230, (Rabbit) 100328940, (Mouse) 12768

          查看更多 收起

          功能
          phosphatidylinositol phospholipase C activity G-protein coupled receptor activity chemokine receptor activity protein binding C-C chemokine receptor activity C-C chemokine binding chemokine (C-C motif) ligand 7 binding chemokine (C-C motif) ligand 5 binding signal transducer activity
          参与通路
          calcium ion transport cellular calcium ion homeostasis exocytosis chemotaxis inflammatory response immune response signal transduction G-protein coupled receptor signaling pathway positive regulation of cytosolic calcium ion concentration cell-cell signaling metabolic process negative regulation of gene expression myeloid cell differentiation positive regulation of cell migration negative regulation of bone mineralization leukocyte chemotaxis positive regulation of osteoclast differentiation negative regulation of innate immune response positive regulation of calcium ion transport chemokine-mediated signaling pathway positive regulation of ERK1 and ERK2 cascade positive regulation of monocyte chemotaxis dendritic cell chemotaxis monocyte chemotaxis cell adhesion cell surface receptor signaling pathway G-protein coupled receptor signaling pathway, coupled to cyclic nucleotide second messenger I-kappaB kinase/NF-kappaB signaling response to wounding cytokine-mediated signaling pathway calcium-mediated signaling signal transduction involved in regulation of gene expression positive regulation of inflammatory response cell chemotaxis cellular response to cytokine stimulus positive regulation of neuroinflammatory response negative regulation of cytokine production involved in inflammatory response
          It has to be done as per old AB suggested Products section.

          Disclaimer

          Close

          Clicking the images or links will redirect you to a website hosted by BenchSci that provides third-party scientific content. Neither the content nor the BenchSci technology and processes for selection have been evaluated by us; we are providing them as-is and without warranty of any kind, including for use or application of the Thermo Fisher Scientific products presented.

          guarantee_icon

          性能保障

          只要您发现Invitrogen抗体在实验中的表现与网站或说明书的所述内容不符,您即可享受免费退换货服务。*

          了解更多
          help_icon

          随时为您服务

          获取常见问题的专家解答,或者直接联系我们的技术专家,咨询应用、设备、常规产品使用问题。

          联系技术支持
          订购 Plus Icon Minus Icon
          • 订单状态查询
          • 订单支持
          • 货号直购
          • 现货供应中心
          • 电子采购
          支持 Plus Icon Minus Icon
          • 帮助&支持
          • 联系我们 - 400 820 8982
          • 技术支持中心
          • 查找文件&证书
          • 报告网站问题
          资源 Plus Icon Minus Icon
          • 学习中心
          • 促销
          • 活动&研讨会
          • 社交媒体
          关于赛默飞 Plus Icon Minus Icon
          • 关于我们
          • 招聘 招聘
          • 投资者关系 投资者关系
          • 新闻 新闻
          • 社会责任 社会责任
          • 商标
          • 政策和通知
          品牌 Plus Icon Minus Icon
          • Thermo Scientific
          • Applied Biosystems
          • Invitrogen
          • Gibco
          • Ion Torrent
          • Unity Lab Services
          • Patheon
          • PPD
          • 服务条款
          • 隐私政策
          • 定价和运输保险政策
          © 2006-2026 Thermo Fisher Scientific Inc. All rights reserved. All trademarks are the property of Thermo Fisher Scientific and its subsidiaries unless otherwise specified.
          China flag icon
          China
          本网站销售的所有产品均不得用于人类或动物之临床诊断或治疗,仅可用于工业或者科研等非医疗目的。
             电子营业执照 | 经营证照公示 | ICP备案号:沪ICP备11003924号 | 沪公网安备 31011502006935号

          Your items have has been added!


          Host server : magellan-search-green-6479c7f679-l2s7p:80/100.66.76.236:80.
          git-commit: b70c0dceb888abc3b0dcebb5bc3a5b8753e7e816
          git-url: https://github.com/thermofisher/magellan-search
          git-branch: release/2.50.0-Offline